What skin condition is related to celiac disease? How is this tested for?

Dermatitis Herpetiformis. IgA antibody.
What is it called when a patient with psoriasis rubs and scratches to create a plaque or a plaque develops at a site of injury?
Koebner effect
Patients with this condition cannot repair skin damage from UV light.
Xeroderma pigmentosum
Patients with this condition cannot stop DNA replication when breaks in the DNA strand occur.
Ataxia-telangiectasia, mutation in ATM.
Your neighbor comes to see you a day after clearing brush in his yard and his hand looks like this. Describe what you observe.

Contact dermatitis. Vesiculobullous on his hands.
Your neighbor experienced severe contact dermatitis one day after exposure to poison ivy. How was his body able to elicit such a fast immune response?
This is a type IV hypersensitivity response and he has been previously exposed.
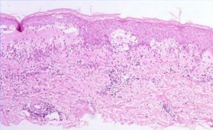
What do you expect to see histologically in a contact dermatitis response?
Intradermal blistering. The immune response causes spongiosis and lymphocyte infiltration.

A 50 year old male complains of red, crusted painful lesions in the mouth and weight loss. How do you arrive at a differential for this guy?

Weight loss points you in the direction of an autoimmune disorder. The lesions in the mouth point you towards pemphigus vulgaris.
What are your major concerns with a patient who has widespread pemphigus vulgaris?
Fluid loss and superinfection
What histologic marker indicates autoantibody against desmoglein?

Acantholysis and rounded epithelial cells
What type of hypersensitivity causes this condition?

Type II. IgG tags desmogleins in the epidermis.
A 20 year old girl comes to your office with limited targetoid lesions on her trunk. In her history you find that she has HSV1. What do you suspect and what do you ask to confirm she doesn’t have a more serious condition?

Erythema multiforme minor. You ask what medications she is taking (look for sulfonamides, penicillin, NSAIDs barbiturates) to rule out Stevens-Johnson Syndrome or Toxic Epidermal Necrolysis.
You look at a patients biopsy section and see blisters, lymphocyte infiltrate, edema and epidermal destruction. The patient tells you they are on penicillin. What do you suspect?

Erythema multiforme
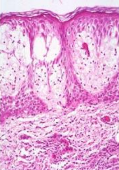
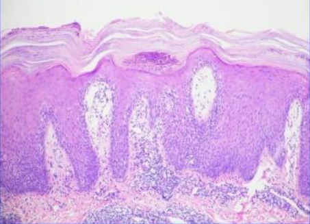
This patient comes to your clinic with onycholysis and Auspitz sign. What observations in this slide help you confirm that the patient has psoriasis?

Hyperkeratosis, parakaratosis, acanthosis, Rete ridges, Munro micro abscess (collection of neutrophils) and thinning of the epidermis over the dermal papilla.
Your patient has neutrophilic (Munro) micro abscesses all over his body. What is his condition?

Pustular psoriasis
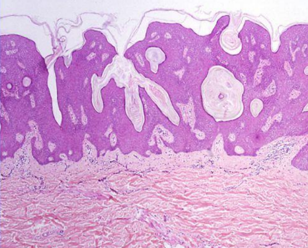
You suspect a patient has malignant melanoma so you have a biopsy done. What do you conclude after seeing this?

Seborrheic Keratosis. Horn cysts, hyperkeratosis and acanthosis with a straight base tells you its not malignant.