which artery is a branch of the ICA that occurs in the cavernous sinus?
middle cerebral artery
anterior cerebral artery
posterior communicating artery
menigeal branch
opthalmic artery
which artery is a branch of the ICA that occurs in the cavernous sinus?
middle cerebral artery
anterior cerebral artery
posterior communicating artery
menigeal branch
opthalmic artery
what is C?
middle cerebral artery
basilar artery
posterior cerebral artery
anterior cerebral artery
internal carotid artery

what is C?
middle cerebral artery
basilar artery
posterior cerebral artery
anterior cerebral artery
internal carotid artery

draw the circle of willis xxx

Label A-C

A: anterior cerebral artery
B: middle cererbral artery
C: internal carotid artery
label A-D [4]

A: vertebral artery
B: superior cerebellar artery
C: posterior cerebral artery
D: basilar artery

what are the main branches of the internal carotid artery? [4]

which of the following supplies the corpus callosum?
middle cerebral artery
anterior cerebral artery
posterior communicating artery
menigeal branch
opthalmic artery
which of the following supplies the corpus callosum?
middle cerebral artery
anterior cerebral artery
posterior communicating artery
menigeal branch
opthalmic artery
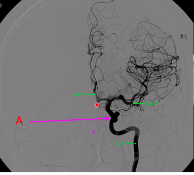
what is A?

cavernous sinus
which artery provides blood to the midbrain & thalamus
PICA
AICA
superior cerebllar artery
pons
posterior cerebral artery
which artery provides blood to the midbrain & thalamus
PICA
AICA
superior cerebllar artery
pons
posterior cerebral artery
which artery provides blood to the dorsal medullar of midbrain?
PICA
AICA
superior cerebllar artery
pons
posterior cerebral artery
which artery provides blood to the dorsal medullar of midbrain?
PICA
AICA
superior cerebllar artery
pons
posterior cerebral artery


posterior spinal arteries come off which arteries? [1]
posterior spinal arteries come off which arteries? [1]
PICA
which of the following is most common site of aortic aneurysm?
middle cerebral artery
anterior cerebral artery
posterior communicating artery
menigeal branch
opthalmic artery
which of the following is most common site of aortic aneurysm?
middle cerebral artery
anterior cerebral artery
posterior communicating artery
menigeal branch
opthalmic artery
which artery reinforces the circulation of 2/3rs of spinal cord?
where does it come from?
which artery reinforces the circulation of 2/3rs of spinal cord?
greater segmental medullary artery (artery of Adamkiewicz)
where does it come from?
branch of intercostal artery
depression is caused by a lack of ? [2]
what is treatment goal for treating depression? [2]
depression is caused by a lack of ? [2]
serotonin & noradrenaline
what is treatment goal for treating depression?
inhibitors of transport / reuptake of monoamines
which of the following inhibits uptake of monoamines?
ketamine
cocaine
heroin
nicotine
ecstasy
which of the following inhibits uptake of monoamines?
ketamine
cocaine
heroin
nicotine
ecstasy
which of the following increases release of monoamines?
ketamine
cocaine
heroin
nicotine
ecstasy
which of the following increases release of monoamines?
ketamine
cocaine
heroin
nicotine
ecstasy
what does the effectiveness of treating neurological pathologies depend on? [1]
how is this achieved/ [1]
what does the effectiveness of treating neurological pathologies depend on? [1]
needs to pass BBB
how is this achieved? [1]
drug solubility in lipids - essential for crossing membranes
which of the following covers the posterior fossa structures (hindbrain) and supports the temporal and occipital lobes.
falx cerebri
tentorium cerebelli
tentorial notch
falx cerebelli
infundibulum
which of the following covers the posterior fossa structures (hindbrain) and supports the temporal and occipital lobes.
falx cerebri
tentorium cerebelli
tentorial notch
falx cerebelli
infundibulum
what is normal function of substancia nigra releasing dopamine?1
Substancia Nigra releases dopamine (DA)
Dopamine binds to Receptors in the striatum of the basal ganglia
Direct pathway – D1 receptors
Indirect pathway – D2 receptor
Treatments of Parkinson’s? [2]