:Q Flashcards

(52 cards)

1
Q

define:

anterograde degeneration [1]
retrograde degeneration [1]
transneuronal degeneration [1]

A
  • *- anterograde degeneration:** when the axon distal to the site of injury degenerates
  • *- retrograde degeneration**: when the proximal segment starts to degenerate)
  • transneuronal degeneration: the death of neurons resulting from the disruption of input from or output to other nearby neurons.
How well did you know this?
1
Not at all
2
3
4
5
Perfectly
2
Q

what is wallerian degeneration?

A

Wallerian degeneration is an active process of retrograde degeneration of the distal end of an axon that is a result of a nerve lesion. It occurs between 7 to 21 days after the lesion occurs. After the 21st day, acute nerve degeneration will show on the electromyograph.

How well did you know this?
1
Not at all
2
3
4
5
Perfectly
3
Q

what is neurapraxia? [1]

what is axonotmesis?

what is neurotmesis?

which of the following are reversible?

A

neurapraxia: temporary loss of motor and sensory function due to blockage of nerve conduction (temporary damage to myelin). reversible

axonotmesis: disruption of the axons, resulting from severe crush or contusion. myelin and axon damaged. reversible (epineurium still intact)

neurotmesis: both the axons and nerve sheath are disrupted: 3rd degree damage. myelin and axon AND epineurium damaged. partial recovery possible

How well did you know this?
1
Not at all
2
3
4
5
Perfectly
4
Q

after nerve injury:

how does the cell communicate that its injured? [3]

what transformation does cell undergo (in function?) [1]

A

how does the cell communicate that its injured? [3]

  • get a burst of APs (alerts the cell body in DRG that damage has occurred)
  • disruption of retrograde transport flow of trophic support (this is a negative injury signal bc its a stop to normal procedure)
  • postive injury signals

= all alert DRG that is damaged !!

what transformation does cell undergo (in function?) [1]

cells in the DRG alter their phenotype (switch from transmission of information state to growth state.

How well did you know this?
1
Not at all
2
3
4
5
Perfectly
5
Q

how does nerve regeneration occur? which cells are involved

A

the process of nerve regeneration:

  • schwann cells divide & secrete trophic factors to attract axon then remyelinate new axons
How well did you know this?
1
Not at all
2
3
4
5
Perfectly
6
Q

spinal cord trauma produces what? occurs from here? [2]

what do macrophages and glial cells make when spinal cord injury occurs? [1]

A

spinal cord trauma produces what? occurs from here? [2]

site of primary cell death: rapidly spreads into a zone of secondary cell death|

then produces a zone of secondary cell death

(spinal cord injury occurs from both primary and secondary cell death)

macrophages and microglia engulf debri and injury site becomes walled off by a glial scar

How well did you know this?
1
Not at all
2
3
4
5
Perfectly
7
Q

what are the two main barriers to CNS repair?

A
  • *1. hostile environment**
    i) scar tissue
    ii) myelin-associated inhib proteins (NOGO proteins, MAG, OMGP)

2. poor regenerative response (unlike PNS)

How well did you know this?
1
Not at all
2
3
4
5
Perfectly
8
Q

spinal cord trauma produces what? occurs from here? [2]

what do macrophages and glial cells make when spinal cord injury occurs? [1]

A

spinal cord trauma produces what? occurs from here? [2]

site of primary cell death: rapidly spreads into a zone of secondary cell death|

then produces a zone of secondary cell death

(spinal cord injury occurs from both primary and secondary cell death)

macrophages and microglia engulf debri and injury site becomes walled off by a glial scar:

  • engulfs debris
  • seals lesion site
  • repairs the blood-spinal cord barrier
  • expresses chemicals that inhibit axon growth
    both a physical and chemical barrier for neuroregeneration
How well did you know this?
1
Not at all
2
3
4
5
Perfectly
9
Q

vestibulocochlear nerve:

where does the it arise from?
vestibular part [1]
cochlear part: [1]

A

vestibulocochlear nerve:

where does the it arise from? [2]
vestibular part: pons & medulla
cochlear part: cerebellar peduncle

How well did you know this?
1
Not at all
2
3
4
5
Perfectly
10
Q
A

A: midbrain - identified by the large cerebral peduncles
B: medulla (superior / open)
C: pons - iD by bugle at front
D medulla inferior

How well did you know this?
1
Not at all
2
3
4
5
Perfectly
11
Q

Which of the following extrinsic muscles of the tongue is not innervated by the hypoglossal nerve?

Styloglossus
Hyoglossus
​Genioglossus
Palatoglossus

A

Which of the following extrinsic muscles of the tongue is not innervated by the hypoglossal nerve?

Styloglossus
Hyoglossus
​Genioglossus
Palatoglossus: VN instead

How well did you know this?
1
Not at all
2
3
4
5
Perfectly
12
Q

Which foramen does the hypoglossal nerve travel through in the skull? [1]

A

Acceptable responses: Hypoglossal, Hypoglossal canal

How well did you know this?
1
Not at all
2
3
4
5
Perfectly
13
Q

the ribosomes in neuron cell bodies appear as clumps called what? [1]

A

nissil bodies

How well did you know this?
1
Not at all
2
3
4
5
Perfectly
14
Q

whar are the SL pictured here? [1]

what type of cell? [1]

A

whar are the white lines pictured here? [1]
schmidt-lanterman clefts

what type of cell? [1]
schwann cell

How well did you know this?
1
Not at all
2
3
4
5
Perfectly
15
Q

what is the role of satellite cells? [1]

where do you find? [1]

which type of staining? [1]

what do they look like? [1]

A

what is the role of satellite cells? [1]
help maintain the envrioment around neuronal body in the ganglion

where do you find? [1]
cells bodies of ganglia

which type of staining? [1]
H&E

what do they look like? [1]
cuboidal cells

How well did you know this?
1
Not at all
2
3
4
5
Perfectly
16
Q
A
How well did you know this?
1
Not at all
2
3
4
5
Perfectly
17
Q

which of the following provide physical & metabolic support for the neurons

oligodendrocytes
ependymal
astrocytes
microglial
schwann

A

which of the following provide physical & metabolic support for the neurons

oligodendrocytes
ependymal
astrocytes
microglial
schwann

How well did you know this?
1
Not at all
2
3
4
5
Perfectly
18
Q

which of the following helps to form BBB?

perineurium
endosteum
periosteal
endoneurium
epineurium

A

which of the following helps to form BBB?

perineurium
endosteum
periosteal
endoneurium
epineurium

How well did you know this?
1
Not at all
2
3
4
5
Perfectly
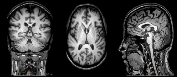
19
Q

what type of imaging is this?

CT
MRI T2
PET
Ultrasound
MRI T1

A

what type of imaging is this?

CT
MRI T2
PET
Ultrasound
MRI T1

How well did you know this?
1
Not at all
2
3
4
5
Perfectly
20
Q

what is A?

oligodendrocytes
ependymal
astrocytes
microglial
schwann

A

what is A?

oligodendrocytes
ependymal
astrocytes
microglial
schwann

How well did you know this?
1
Not at all
2
3
4
5
Perfectly
21
Q

what is the difference between myeline sheath in CNS compared to produced in PNS? [4]

A
  • different myelin-specific proteins
  • fewer schmidt-lanterman clefts
  • no external lamina
  • nodes of ranvier larger
  • thinner
22
Q

how do you differentiate microglial cells?

A

elongated nuclei
small
when stained with heavy metals, exhbit short & twisted processes

23
Q

what is the cellular organisation of the cerebellum?

in the cortex [3]

in the white matter [1]

A
  • outer hypocellular layer
  • middle purkinje cell layer
  • inner / deep hypercellular granular lyaer

white matter:
- climbing fibres
- mossy fibres
(axons and supoorting cells)

24
Q

what are the three cellular layers of blood brain barrier? [3]

A

tigh junctions of the endothelial cells
continous endothelial basal lamina (pericytes)
end foot processes of astrocytes

25
what is the cellular organisation of the cerebral cortex?
26
how can you tell which is the pyramidal layer in the cerebral cortex? [1] where is the pyramidal layer more developed? [2]
how can you tell which is the pyramidal layer in the cerebral cortex? [1] **larger cell bodies** where is the pyramidal layer more developed? [2] **motor & sensory centres**
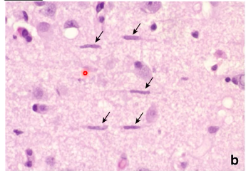
27
which cell does the pink arrow point to? (and the other dark cells) satellite astrocytes oligodendrocytes microglial ependymal
which cell does the pink arrow point to? (and the other dark cells) satellite astrocytes oligodendrocytes **microglial** ependymal
28
which area of the brain contains most of the dopamine neurons in the brain? cerebellum temporal midbrain occipital ​frontal
which area of the brain contains most of the dopamine neurons in the brain? cerebellum temporal midbrain occipital **​frontal**
29
which structures in the brain does CT angiography specifically visualise? [2] apart from looking at ischaemic stroke, what can CT angiography be used for? [1]
which structures in the brain does CT angiography specifically visualise? [2] **carotid arteries (External & internal) circle of willis** apart from looking at ischaemic stroke, what can CT angiography be used for? [1] **aneurysms**
30
31
what is fluid, muscle and fat appearance like in T1 / T2?
T1: - fluid: black - muscle: grey - fat: white T2: - fluid: white - muscle: grey - fat: white
32
what can be used as T1 MRI contrast agent? [1]
**gadolinium**
33
which type of imaging is this? CT venogram PET scan CT angiography CT perfusion MRI
which type of imaging is this? CT venogram PET scan CT angiography **CT perfusion** MRI
34
what type of imaging is this? CT MRI T2 PET Ultrasound MRI T1
what type of imaging is this? CT MRI T2 PET Ultrasound **MRI T1**
35
which of the following would you use to assess subdural haemorrhage? CT venogram plain CT head CT angiography CT perfusion MRI
which of the following would you use to assess subdural haemorrhage? CT venogram **plain CT head** CT angiography CT perfusion MRI
36
what is the opercular cortex? how does it differ between L & R ?
what is the opercular cortex? **cortex on the upper and lower 'lips' of the lateral fissure** how does it differ between L & R ? **left**
37
what characterises broca's aphasia? what characterises wernickes aphasia?
_what characterises broca's aphasia:_ * *- halting speech - repetitive - sense behind words, just cant get them out!** _what characterises wernickes aphasia_ **- speaks fluently but in almost meaningless way**
38
broca's and wernickes areas are joined by WHAT? [1] what is the name for when ^^ is damaged [1] what is this charactersised by? [2]
broca's and wernickes areas are joined by **arcuate fasciculus** What is the name for when A is damaged? [1] **conduction aphasia** what is this charactersised by? [2] **difficulty reading aloud / read back something but good comprehension**
39
broca and wernickes areas are supplied by which artery? [1] know this !!
**middle cerebral artery**
40
what is the function of the right Broca's & Wernickes area? [3] what is the name for lesion of these areas? ^ [1]
- involved in non-semantic speech recognition and generation: **inotation, rhthym and emphasis** * *also: non-language communication skills:** body language / gesture what is the name for lesion of these areas? ^ [1] **aprosodia**
41
which two pieces of evidence suggest that AP starts with at NMJ in skeletal muscle? [2]
1. the latency of AP increases the further move from NMJ. 2. source of greatest depolarisation in the NMJ is closest to the axon terminal
42
what are minature End Plate Potentials cause by? [1]
**_random_** release of **NT** from vesicles sporadically binding with membrane
43
44
what determines whether u find more K inside & Na outside the cell?
Na / K ATPase
45
what causes vesicles to be recycled in nervous system? [1]
clathrin
46
47
know this !! how does EPSP occur in CNS cell? [4]
- K+ is greater inside cell, Na+ greater outside - at rest, K can move across membrane (leak out of the K+ channels): leaves behind a negative resting potential - nicotinic Ach receptor is permeable to both Na- & K+ ions - **Ach binds to Nicotinic Ach R:** causes conformational change: gives rise to **depolarisation** (bc **Na move** in?) * *- activation gives rise to depolarisation of cell**
48
how does IPSP occur in NS?
NT released that are associated with inhib: **GABA & Cl-** - **GABA** binds to **GABAa receptor** - this activates causes an increase in membrane conductance: **Chloride** **ions** moves inwards * *- causes inhib.**
49
which are the two main inhib NTs of CNS? - which one is dom in brain [1] - which one is dom in spinal cord [1]
which are the two main inhib NTs of CNS? - which one is dom in brain: **GABA - B 4 brain !!** - which one is dom in spinal cord: **glycine**
50
1. where does Ach bind to ACh R (specifics !!) 2. describe structure of Ach R what happens when Ach binds to ACHR?
_structure_: α2βγð subunits; spans across **inside** of cell, **cell** **membrane** and **outside** of cell (where the binding sites are) when 2 Ach binds to AchR: change in hydrophobic interactions in alpha helical structure = creates an ion pore binding occurs of Ach occurs at **C loops** (of cysteine-cysteine bond)
51
52
what happens to GABA, glutamate & biological amines after they are initially used? [1]
all transported out of synaptic cleft !! **GABA**: reuptaken into presynaptic terminals by GATs **biogenic** **amines**: reuptaken into presynaptic terminals **glutamate**: transported in both pre & post synaptic terminals and into adjacent glial cells.