März 14 Flashcards

(32 cards)

1
Q

Welche Stellen sind typisch für Druckstellen durch Bettlägerigkeit? (aka Dekubitus)

A
  • Ferse (=Hacke)
  • Steiß
  • Trochanter
  • Darmbeinkamm
How well did you know this?
1
Not at all
2
3
4
5
Perfectly
2
Q

Wo liegt der Thymus?

A

im oberen Mediastinum, ventral des Herzbeutels

How well did you know this?
1
Not at all
2
3
4
5
Perfectly
3
Q

Welche Komplikationen können durch Erbrechen verursacht werden?

A
  • Herzrhythmusstörungen (!)
  • Aspiration
  • Austrocknung
How well did you know this?
1
Not at all
2
3
4
5
Perfectly
4
Q

Wodurch entstehen Ösophagusdivertikel?

A
  1. Überbleibsel einer Verbindung zwischen Speise- und Luftröhre, aus der Zeit im Mutterleib.
    (= Echtes Divertikel / Traktionsdivertikel).
    Die Luftröhre zieht quasi am Ösophagus.
  2. Druckerhöhungen im Ösophagus durch Probleme mit Nerven und Muskulatur.
    (= Falsches Divertikel / Zenker-Divertikel / Pulsions-Divertikel)
How well did you know this?
1
Not at all
2
3
4
5
Perfectly
5
Q

Wie macht man den Weber-Test?

A

Stimmgabel dem Patienten auf den Kopf setzen und fragen welche Seite stärker gehört wird.

(Beide Seiten gleich = Test negativ)

How well did you know this?
1
Not at all
2
3
4
5
Perfectly
6
Q

Welche Seite hört man im Weber-Versuch stärker, wenn man eine Schallleitungs-Schwerhörigkeit hat?

A

Die kaputte Seite

How well did you know this?
1
Not at all
2
3
4
5
Perfectly
7
Q

Welche Seite hört man im Weber-Versuch stärker, wenn man eine Schallempfindungs-Schwerhörigkeit hat?

A

Die gesunde Seite

How well did you know this?
1
Not at all
2
3
4
5
Perfectly
8
Q

Was ist eine Schallleitungs-Schwerhörigkeit?

A

Gehörknöchelchenkette leitet den Schall nicht weiter. (oder zu wenig)

How well did you know this?
1
Not at all
2
3
4
5
Perfectly
9
Q

Was ist eine Schallempfindungs-Schwerhörigkeit?

A

Kaputtes Innenohr (Cochlea)

How well did you know this?
1
Not at all
2
3
4
5
Perfectly
10
Q

Was ist eine Schallempfindungs-Schwerhörigkeit?

A

Kaputtes Innenohr (Cochlea)

How well did you know this?
1
Not at all
2
3
4
5
Perfectly
11
Q

Ursache von Schallempfindungs-Schwerhörigkeit?

A

meistens Alter oder Lärm

How well did you know this?
1
Not at all
2
3
4
5
Perfectly
12
Q

Wie macht man den Rinne-Test?

A

Stimmgabel an den Processus Mastoideus aufsetzen, und Patient bitten, Bescheid zu geben sobald er den Ton nicht mehr hört (Knochenleitung). Danach hält man die Stimmgabel vor das Ohr des Patienten. (Ohne neu anzuschlagen) Ein normal hörender Patient wird den Ton jetzt wieder hören. Ein Schallleitungs-Schwerhöriger nicht.

How well did you know this?
1
Not at all
2
3
4
5
Perfectly
13
Q

Warum hört ein Schwerhöriger den zweiten Teil des Rinne-Tests nicht mehr?

A

Schallleitungs-Schwerhörigkeit:
Seine Gehörknöchelchen transportieren den Luftschall nicht so gut wie sein Mastoideus.

Schallempfindungs-Schwerhörigkeit:
Die Stimmgabel wird über Luftleitung wieder gehört werden.

How well did you know this?
1
Not at all
2
3
4
5
Perfectly
14
Q

Was kann Ursache einer Schallleitungs-Schwerhörigkeit sein?

A
  • Otosklerose
  • Otitis Media
  • Verlegung des Gehörgangs durch Ohrenschmalz
How well did you know this?
1
Not at all
2
3
4
5
Perfectly
15
Q

Symptome von subakuter Thyreoiditis

(Schilddrüsen-Entzündung)

A
  • Druckschmerzhaftigkeit der Schilddrüse (Dolor)
  • Vergrößerung der Schilddrüse (Tumor, im SInne von Entzündung)
  • Fieber (Kalor)
  • schlechter Allgemeinzustand (functio laesa)
How well did you know this?
1
Not at all
2
3
4
5
Perfectly
16
Q

Wie viel Jod braucht ein Mensch pro Tag?

A

150-200 Mikrogramm

Mikro!

17
Q

Was ist der Unterschied zwischen Blase und Quaddel?

A

Die Blase ist ein flüssigkeitsgefüllter Hohlraum.

Die Quaddel ist eine ödematöse Verdickung.

18
Q

Fachbegriff für Blase

19
Q

Wie arbeitet man besonders rückenschonend?

A
  • Lasten nah am Körper bewegen
  • Große Standfläche (Beine breit)
  • Gerade bleiben, in allen Achsen.
  • Überkopfarbeit vermeiden
20
Q

Wodurch zeigt sich eine generalisierte Angststörung?

A
  • Unscharfe, ängstliche Erwartung von schlimmen Dingen.
  • übertriebene und unrealistische Sorgen
  • dauerhafte Angst
21
Q

Symptome von Pfeiffer-Drüsenfieber?

(=inf. Mononukleose)

A
  • Tonsillitis (= Gaumenmandel-Entzündung = Angina t.)
  • Milzschwellung
  • Lymphknotenschwellung
22
Q

Was sind Sulfonylharnstoffe?

A

Medis zur “Auspressung” der Bauchspeicheldrüse,
um noch mehr Insulin herauszubekommen.
(Einsatz bei Diabetes 2)

(Hemmen den Mechanismus zum Stopp der Insulinproduktion.)

23
Q

Wie hoch ist der Bedarf an Insulin pro Tag?

A

zwischen 30 und 40 IE Insulin durchschnittlich

(Quelle: Frank)

24
Q

Was passiert mit ungenutztem Insulin im Blut?

A

Wird innerhalb weniger Minuten abgebaut.

25
Was ist Prednisolon?
Künstliches Cortison
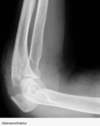
26
Was ist das Olecranon?
Proximales Ende der Ulna (Elle)
27
Wie kann man sich das Olecranon brechen?
Sturz auf den gebeugten Ellenbogen
28
Typische Anzeichen für zweizeitige Milzruptur
Druckdolenz und Abwehrspannung im linken Unterbauch + Trauma vor kurzer Zeit (2 Tagen)
29
Wie kann man einem Lymphödem vorbeugen?
Extremität hoch lagern
30
Typische Anzeichen von Alkoholentzugs-Delir?
- Zittern, - Schwitzen, - Aggression, - Verwirrung, - Halluzinationen
31
Typisches B12-Mangel Symptom
Zungenbrennen
32
Anzeichen für urämisches Koma
- Juckreiz / Kratzspuren (Gifte werden nicht rausgespült) - Café au lait Flecke [Bild] () - Ödeme (weil die Nieren ja insuffizient sind läuft der Körper voll)