Ortho general Flashcards

(24 cards)

1
Q

The amount of angulation is the degree of “unbending” needed. But how does describing the direction of angulation different between a mid shaft vs a fracture near the end of the bone?

A

Direction of angulation for shaft is where two fractured ends are pointing
Direction of angalation at end of bone is direction distal fragment is deviated towards

How well did you know this?
1
Not at all
2
3
4
5
Perfectly
2
Q

What is the difference between a segmental fracture and communted?

A

Segmental is single free floating segment of bone between two well defined fracture lines
Comminuted = splintered or shattered bone

How well did you know this?
1
Not at all
2
3
4
5
Perfectly
3
Q

When assessing nerves function in a limb injury , peripheral nerves (not dermatomes) should be checked. What peripheral nerve area is shaded in yellow?

A

saphenous nerve

How well did you know this?
1
Not at all
2
3
4
5
Perfectly
4
Q

When assessing nerves function in a limbi injury , peripheral nerves (not dermatomes) should be checked. What peripheral nerve area is shaded in brown and which one is purple?

A

Brown = sural
Purple = medical calcanea (tibial)

How well did you know this?
1
Not at all
2
3
4
5
Perfectly
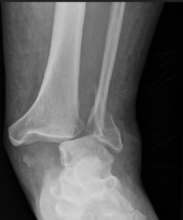
5
Q

What is the term used to descrie the movement of the distal fracture to the right in the picture below?

A

Displacement

How well did you know this?
1
Not at all
2
3
4
5
Perfectly
6
Q

This fracture is both
- shortened and
- displaced 100%
there there are two other common terms used to describe this type of fracture. What are they?

A

Bayonette apposition or
overiding

How well did you know this?
1
Not at all
2
3
4
5
Perfectly
7
Q

What would the opposite to an impacted fracture be?

A

Separated (or distracted)

How well did you know this?
1
Not at all
2
3
4
5
Perfectly
8
Q

What two terms would be used to describe the fracture below?

A

Left fracture = oblique
Right fracture = spiral

How well did you know this?
1
Not at all
2
3
4
5
Perfectly
9
Q

How do you tell if a fracture has a rotational deformity?

A

Assess the pt and look for it
Generally not apparent on xray

How well did you know this?
1
Not at all
2
3
4
5
Perfectly
10
Q

There is more than just a very displaced fracture here. What term must be used when describing this injury?

A

fracture dislocation

Describing as displaced undersells the severity of injury

How well did you know this?
1
Not at all
2
3
4
5
Perfectly
11
Q

What is the gustilo-anderson classification system?

A

A way to classify open fractures

whether antibiotics are necessary for type 1 and 2 is controversial

How well did you know this?
1
Not at all
2
3
4
5
Perfectly
12
Q

What antibiotics should be used for a high energy open fracture with extensive soft tissue injury?

A

cefazolin 2g IV 8 hrly+
metronidazole 500mg IV 12 hrly

Cefazolin 50mg/kg (needs renal adjustment)
Metronidazole 12.5mg/kg

How well did you know this?
1
Not at all
2
3
4
5
Perfectly
13
Q

If a patient has an open fracture that has been immersed in water what antibiotics and dosage/route/frequency do you give

A

Cefepime 2g IV 8 hrly

Add metronidazole if severe injury/ obvious contamination
If delay in sourcing cefepime give cefazoin while waiting
Cefepime is for fresh and marine water

How well did you know this?
1
Not at all
2
3
4
5
Perfectly
14
Q

A patient present with an infected wound with underlying open fracture from a few days ago. What antibioitics incl route and dose and frequency

A

piptaz 4.5g IV 6 hrly

piptaz 100/12.5mg/kg
Give as infusion is shocked and needing ICU
Source: eTG

How well did you know this?
1
Not at all
2
3
4
5
Perfectly
15
Q

A patient present with a suspected infected open fracture after they had a boating injury a few days ago. What antibioitics incl route and dose and frequency

A

cefepime 2g IV 8 hrly +
metronidazole 500mg IV 12 hrly

Cefazolin 50mg/kg (needs renal adjustment)
Metronidazole 12.5mg/kg
Add metronidazole if severe injury/ obvious constaminatin
source : eTG

How well did you know this?
1
Not at all
2
3
4
5
Perfectly
16
Q

What is the maximum time a knee immobiliser should be left on?

A

A week

After a few days in elderly or 2 weeks in young pesons, painful knee from stiffness will begin
Refer to ortho/physio within 1 week as may be able to change to brace that allows some ROM

17
Q

How often shoud a pt remove their knee immobilisater to do gentle extercises?

A

A few times a day

18
Q

What are some late complications of a missed vascular injury sustained from a dislocation?

A
  • thrombosis
  • arteriovenous fistula
  • aneurysm
  • false aneurysm

Perform angiogram on high risk fractures/dislocation even if pulse present e.g tibiofemoral or tibiotalar dislocations

19
Q

What nerve injury is common to these fractures: femoral shaft and lateral tibial plateau

A

Peroneal/fibular nerve injury

20
Q

What nerve is often injury with an acetabular fracture?

21
Q

In addition to the axilary nerve, what other nerve is commonly injured from an anterior shoulder dislocation?

A

musculocutaneous

22
Q

At what compartment pressures does tissue ischaemia begin

A

30 mmHg

roughly

23
Q

What are signs and symptoms of fat embolism?

A

Confusion
SOB/hypoxia
APO
petechial rash

Peak a few days after long bone fracture