Define peritonitis?
inflammation of the peritoneal lining of the abdominal cavity
it can be localised to one part of the peritoneum or generalised
what are the causes of localised peritonitis?
appendicits
cholecystitis
diverticulitis
salpingitis ( inflammation of fallopian tubes)
duodenal ulcer
intestinal obstruction
outline the aetiology and risk factors of primary generalised peritonitis?
Bacterial infection of the peritoneal cavity without an obvious source
Risk Factors
outline the aetiology of secondary peritonitis?
Caused by bacterial translocation from a localised focus
Could be non-bacterial due to spillage of bowel contents, bile and blood (e.g. perforated peptic ulcer)
outline the epidemiology of primary peritonitis?
rare- more commonly seen in adolescent females
outline the epidemiology of localised and secondary generalised peritonitis?
COMMON in surgical patients (perforated ulcer or appendicitis)
what is tertiary peritonitis?
persistent or recurrence of intraabdominal infection after adequate therapy of primary or secondary peritonitis
what are the presenting symptoms of peritonitis?
Do a full SOCRATES for peritonitis
Inflammation of the parietal peritoneum is usually continuous, sharp, localised, sudden exacerbated by movement and coughing/ breathing
Symptoms may be vague in those with liver disease and ascites (due to confusion caused by encephalopathy)
what other signs should you be aware of for peritonitis?
Check vital signs and look for signs of dehydration or compromised perfusion (e.g. due to sepsis or hypovolaemia)
what are the signs of localised peritonitis?
Tendernesson examination
Guarding– spasm of muscle on palpation
Rebound tenderness
what are the signs of generalised peritonitis?
Very unwell
Systemic signs of toxaemia or sepsis (e.g. fever, tachycardia)
The patient will lie still
Shallow breathing
Rigid abdomen
Generalised abdominal tenderness
Reduced bowel sounds- as it hurts when bowels move (may be absent due to paralytic ileus)
DRE may show anterior tenderness (suggests pelvic peritonitis)
What bloods are needed to investigate peritonitis?
FBC
U&Es
LFTs
Amylase – acute pancreatitis causes similar signs so check amylase!!
CRP
Clotting
Group & Save or Cross-match
Blood cultures– polymorphonuclear leukocytosis (more neutrophils, basophils and eosinophils)
Pregnancy test
ABG
what imaging is needed to investigate peritonitis?
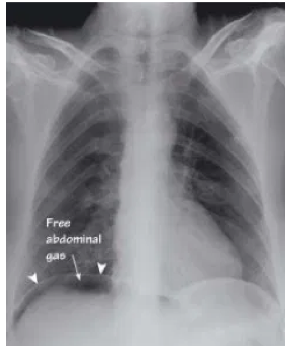
Erect CXR (check for air under the diaphragm)
AXR (check for bowel obstruction)
USS or CT abdomen
Laparoscopy

what investigations would you do if there is ascites?
Ascitic tap and cell count
Spontaneous Bacterial Peritonitis (SBP) = > 250 neutrophils/mm3
Gram stain and culture
outline the management of localised peritonitis?
Depends on CAUSE
Some causes may require surgery (e.g. appendicitis)
Some causes can be treated with antibiotics (e.g. salpingitis)
outline the management of generalised peritonitis?
Patient may be at risk of DEATH from sepsis or shock
IV fluids
IV antibiotics
Urinary catheter
NG tube
Central venous line (to monitor fluid balance)
Laparotomy
Primary Peritonitis - should be treated with antibiotics
outline the management of spontaneous bacterial peritonitis ( SBP)
Quinolone antibiotics
OR
Cefuroxime + Metronidazole
What are the early and late complications of peritonitis?
Early
Late
summarise the prognosis of patients with peritonitis?
Localised peritonitis usually resolves with treatment of the underlying cause
Generalised peritonitis has a much higher mortality (30-50%)
Primary peritonitis has a good prognosis with antibiotic treatment
SBP has a mortality > 30% if diagnosis and treatment is delayed