Questions complémentaires 6 Flashcards

(54 cards)

1
Q

Quelle est la meilleure interprétation du gaz artériel suivant ? Les valeurs normales sont entre parenthèses.

pH = 7,34 (7,40)
pCO2 = 60 mmHg (40)
pO2 = 57 mmHg (>60)
HCO3 = 31 mEq/L (24)

A

Acidose respiratoire chronique compensée

How well did you know this?
1
Not at all
2
3
4
5
Perfectly
2
Q

En acidose respiratoire aigüe, les HCO3 augmentent d’environ ________ mEq/L pour chaque augmentation de ________ mmHg de pCO2.

A

En acidose respiratoire aigüe, les HCO3 augmentent d’environ 1 mEq/L pour chaque augmentation de 10 mmHg de pCO2.

How well did you know this?
1
Not at all
2
3
4
5
Perfectly
3
Q

En acidose respiratoire chronique, les HCO3 augmentent d’environ ________ mEq/L pour chaque augmentation de ________ mmHg de pCO2.

A

En acidose respiratoire chronique, les HCO3 augmentent d’environ 3 mEq/L pour chaque augmentation de 10 mmHg de pCO2.

How well did you know this?
1
Not at all
2
3
4
5
Perfectly
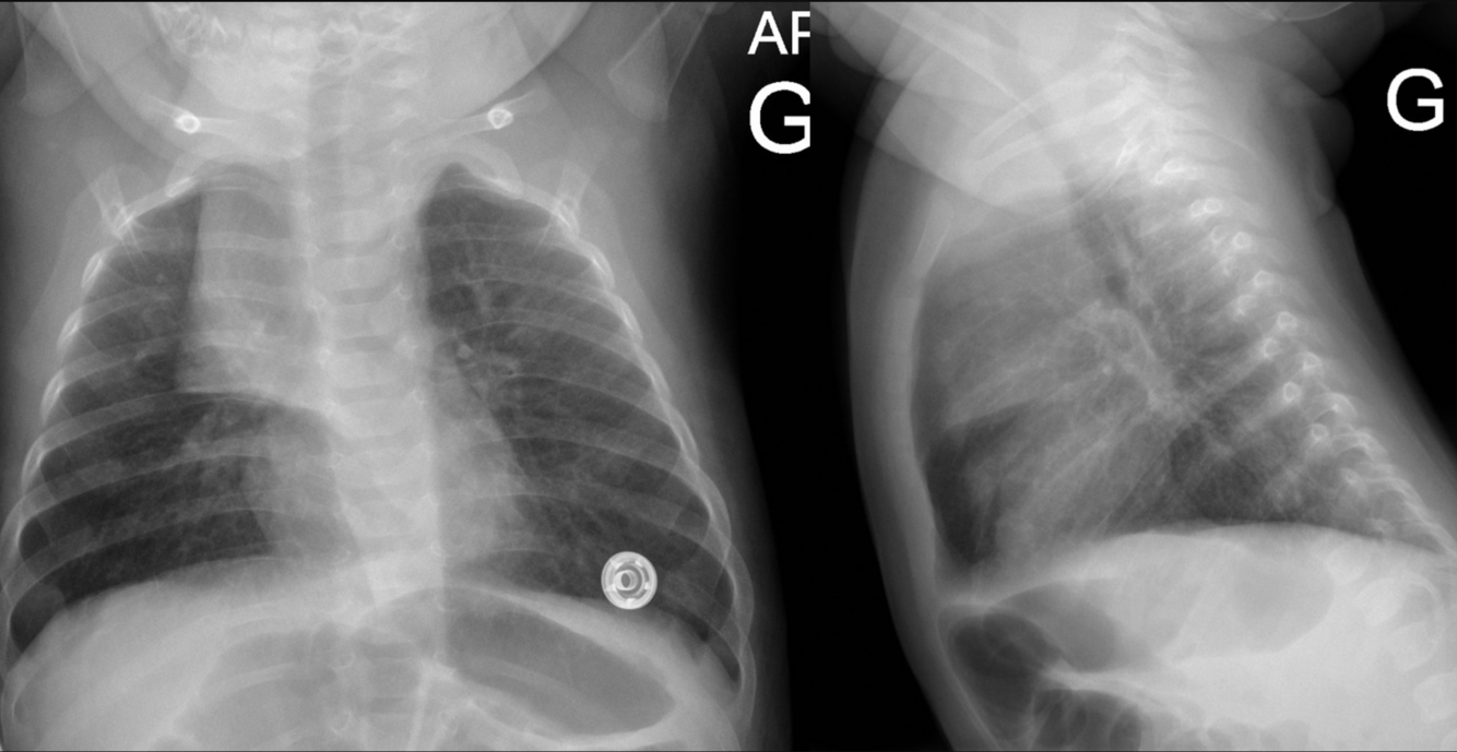
4
Q

Une mère se présente à la clinique avec son bébé de 5 mois qui fait de la fièvre et tousse depuis 48 heures. À l’examen physique, la température rectale est à 39,5°C avec une FR à 24/min. Il y a une rhinorrhée claire profuse. L’auscultation pulmonaire démontre un murmure vésiculaire symétrique sans crépitants ou sibilances. Il n’y a pas de wheezing.

Quelle est la meilleure interprétation de la radiographie pulmonaire?

A

Cet enfant présente une IVRS non compliquée.
Réponse de l’expert: Radiographie pulmonaire normale. Thymus asymétrique, variante de la normale.

How well did you know this?
1
Not at all
2
3
4
5
Perfectly
5
Q

Le thymus est un organe lymphoïde situé où?

A

dans le médiastin supérieur et antérieur
débutant derrière le manubrium et se prolongeant inférieurement jusqu’à l’avant du péricarde

How well did you know this?
1
Not at all
2
3
4
5
Perfectly
6
Q

thymus est présent chez qui? absent chez qui?

A

Il est présent chez l’enfant. Après la puberté, il subit une involution progressive pour être remplacé par du tissu adipeux. Sur la radiographie pulmonaire de l’adulte, il n’est pas visible

How well did you know this?
1
Not at all
2
3
4
5
Perfectly
7
Q

décrire aspect thymus à radiographie

A

est visible surtout chez le jeune enfant et il peut être très imposant, simulant une masse médiastinale. De façon caractéristique, il prend souvent l’aspect d’une voile et malgré sa taille, il est peu dense et n’occasionne pas d’effet de masse sur la trachée. Parfois il est asymétrique, nettement plus volumineux d’un côté. Dans le cas présenté, il est nettement asymétrique vers la droite et pourrait simuler une pneumonie du lobe supérieur droit pour l’oeil non averti

How well did you know this?
1
Not at all
2
3
4
5
Perfectly
8
Q

Une femme de 30 ans, asthmatique, consulte à la clinique médicale pour faire renouveler ses bronchodilatateurs. Au questionnaire, elle se plaint de toux occasionnelle.

Quels critères correspondent à un bon contrôle de l’asthme (critères de maîtrise)?

Activité physique

A

L’asthme n’a pas d’influence sur…

How well did you know this?
1
Not at all
2
3
4
5
Perfectly
9
Q

Une femme de 30 ans, asthmatique, consulte à la clinique médicale pour faire renouveler ses bronchodilatateurs. Au questionnaire, elle se plaint de toux occasionnelle.

Quels critères correspondent à un bon contrôle de l’asthme (critères de maîtrise)?

Activités liées au travail ou à l’école

A

L’asthme n’a pas d’influence sur…

How well did you know this?
1
Not at all
2
3
4
5
Perfectly
10
Q

Une femme de 30 ans, asthmatique, consulte à la clinique médicale pour faire renouveler ses bronchodilatateurs. Au questionnaire, elle se plaint de toux occasionnelle.

Quels critères correspondent à un bon contrôle de l’asthme (critères de maîtrise)?

Besoin de médicament de secours

A

Moins de 3 doses/semaine

How well did you know this?
1
Not at all
2
3
4
5
Perfectly
11
Q

Une femme de 30 ans, asthmatique, consulte à la clinique médicale pour faire renouveler ses bronchodilatateurs. Au questionnaire, elle se plaint de toux occasionnelle.

Quels critères correspondent à un bon contrôle de l’asthme (critères de maîtrise)?

Exacerbations

A

Légères, peu fréquentes

How well did you know this?
1
Not at all
2
3
4
5
Perfectly
12
Q

Une femme de 30 ans, asthmatique, consulte à la clinique médicale pour faire renouveler ses bronchodilatateurs. Au questionnaire, elle se plaint de toux occasionnelle.

Quels critères correspondent à un bon contrôle de l’asthme (critères de maîtrise)?

Symptômes diurnes

A

Moins de 3 jours/semaine

How well did you know this?
1
Not at all
2
3
4
5
Perfectly
13
Q

Une femme de 30 ans, asthmatique, consulte à la clinique médicale pour faire renouveler ses bronchodilatateurs. Au questionnaire, elle se plaint de toux occasionnelle.

Quels critères correspondent à un bon contrôle de l’asthme (critères de maîtrise)?

Symptômes nocturnes

A

Moins de 1 nuit/semaine

How well did you know this?
1
Not at all
2
3
4
5
Perfectly
14
Q

Une femme de 30 ans, asthmatique, consulte à la clinique médicale pour faire renouveler ses bronchodilatateurs. Au questionnaire, elle se plaint de toux occasionnelle.

Quels critères correspondent à un bon contrôle de l’asthme (critères de maîtrise)?

Variation diurne du DEP

A

Moins de 10-15%

How well did you know this?
1
Not at all
2
3
4
5
Perfectly
15
Q

Une femme de 30 ans, asthmatique, consulte à la clinique médicale pour faire renouveler ses bronchodilatateurs. Au questionnaire, elle se plaint de toux occasionnelle.

Quels critères correspondent à un bon contrôle de l’asthme (critères de maîtrise)?

VEMS ou DEP

A

Plus grand ou égal à 90% du meilleur résultat personnel

How well did you know this?
1
Not at all
2
3
4
5
Perfectly
16
Q

Un patient atteint d’asthme devrait être capable de vivre une vie “________”. En effet, une bonne maitrise de l’asthme permet de bien ________ la nuit et de vaquer à aux ________ sans (ou avec très peu) de ________

A

Un patient atteint d’asthme devrait être capable de vivre une vie “normale”. En effet, une bonne maitrise de l’asthme permet de bien dormir la nuit et de vaquer à aux occupations sans (ou avec très peu) de symptômes

How well did you know this?
1
Not at all
2
3
4
5
Perfectly
17
Q

Un patient de 35 ans, travaillant dans une usine de peinture, consulte à la clinique d’inhalothérapie afin d’investiguer une gêne respiratoire survenant en milieu de travail. À la suite du test de provocation à la métacholine, un nouveau diagnostic d’asthme modéré est confirmé. Afin de diminuer l’incidence et l’intensité des crises, quels facteurs déclenchants doivent absolument être évités chez ce patient ?

  • L’air chaud
  • L’exercice physique
  • Les allergènes
  • Les bêtabloquants
  • Les irritants respiratoires
A
  • Les allergènes
  • Les bêtabloquants
  • Les irritants respiratoires
How well did you know this?
1
Not at all
2
3
4
5
Perfectly
18
Q

Asthme : la confirmation du lien entre les symptômes du patient et le milieu de travail est …

A

essentielle

How well did you know this?
1
Not at all
2
3
4
5
Perfectly
19
Q

Le test de provocation à la méthacholine, un dérivé de l’acétylcholine, est utilisé pour diagnostiquer quoi?

A

l’hyperréactivité bronchique (HRB)

How well did you know this?
1
Not at all
2
3
4
5
Perfectly
20
Q

Le test de provocation à la méthacholine, un dérivé de l’acétylcholine, est utilisé pour diagnostiquer l’hyperréactivité bronchique (HRB). En ce qui concerne le diagnostic de l’asthme, l’American Thoracic Society (ATS) mentionne que ce test est plus utilisé pour quoi?

A

exclure un diagnostic d’asthme que pour l’établir, car sa valeur prédictive négative est plus grande que sa valeur prédictive positive

How well did you know this?
1
Not at all
2
3
4
5
Perfectly
21
Q

expliquer le lien entre l’activité physique et l’asthme

A

L’exercice physique ne doit jamais être ÉVITÉ. La bonne maîtrise de l’asthme doit permettre de continuer les activités physiques régulières

How well did you know this?
1
Not at all
2
3
4
5
Perfectly
22
Q

Déterminer si les propositions correspondent à un diagnostic d’asthme ou de MPOC.

Début en général après 40 ans

23
Q

Déterminer si les propositions correspondent à un diagnostic d’asthme ou de MPOC.

Exposition prolongée au tabac: en général plus de 10 PA

24
Q

Déterminer si les propositions correspondent à un diagnostic d’asthme ou de MPOC.

Limitation du débit d’air habituellement réversible

25
Déterminer si les propositions correspondent à un diagnostic d'asthme ou de MPOC. Pas d'association avec les allergies
MPOC
26
Déterminer si les propositions correspondent à un diagnostic d'asthme ou de MPOC. VEMS/CVF plus grand que 70% postbronchodilatateur
Asthme
27
Un homme de 23 ans consulte pour toux persistante depuis 1 semaine. Il rapporte avoir eu des frissons depuis les 2 derniers jours. Une radiographie pulmonaire est effectuée. Sur cette radiographie, quelle est l'anomalie principale? Soyez précis sur la localisation (côté, lobe...).
Pneumonie de la lingula Sémiologie radiologique: * infiltration alvéolaire * signe de silhouette avec le rebord cardiaque gauche (flèches oranges) * se superpose au coeur sur le cliché latéral (flèches vertes)
28
Un homme de 60 ans, habituellement en bonne santé, consulte à la clinique médicale pour toux et perte de poids. Il se dit incapable de travailler au bureau depuis 2 semaines et a maintenant épuisé sa banque de jours de vacances. Il n’a plus d’appétit et dort une grande partie de la journée. L’examen physique complet démontre un patient visiblement amaigri sans autres particularités. En plus d’un bilan sanguin, une radiographie des poumons est effectuée. Quel est le diagnostic le plus probable pour expliquer la toux de ce patient?
Cancer du poumon
29
Qu'est-ce qui est demandé pour déterminer le type histologique du cancer du poumon?
Une biopsie
30
Les principaux types de cancer du poumon sont ... (2)
le carcinome à petites cellules et les cancers non à petites cellules Cette distinction est importante, les traitements et pronostics étant très différents
31
cancer du poumon : Les cancers non à petites cellules sont souvent traités comment?
par chirurgie
32
cancer du poumon : le carcinome à petites cellules est traité comment?
ne s'opère pas et est traité par chimiothérapie et radiothérapie
33
le médecin évalue quoi par rapport au cancer du poumon?
le médecin évalue le type histologique du cancer, le stade (degré de dissémination), et l'état général de santé du patient
34
Cancer du poumon à petites cellules : prévalence
15% des cas
35
Cancer du poumon à petites cellules : * Agressivité * Localisation * Avec quoi?
* Le plus agressif; souvent présence de métastases au moment du diagnostic * Localisation centrale (dans une bronche principale) * AVEC tabagisme
36
Cancer du poumon : NON À PETITES CELLULES (NAPC) -> prévalence
80 à 85% des cas
37
Cancer du poumon : NON À PETITES CELLULES (NAPC) -> types
* Adénocarcinome (cellules qui fabriquent le mucus) * Épidermoïde (cellules qui tapissent les bronches) * Tumeur de l’apex pulmonaire (Pancoast) (à cause de son site anatomique)
38
Cancer du poumon : NON À PETITES CELLULES (NAPC) -> Adénocarcinome (cellules qui fabriquent le mucus) * Fréquence * Localisation * relation avec tabagisme * qui?
* Le plus courant (50% de tous les cancers pulmonaires) * Localisation périphérique * +/- tabagisme * Parfois jeunes femmes
39
Cancer du poumon : NON À PETITES CELLULES (NAPC) -> Épidermoïde (cellules qui tapissent les bronches) * fréquence * localisation * relation avec tabagisme
* Deuxième plus fréquent pour les NAPC * Localisation centrale * AVEC Tabagisme
40
Cancer du poumon : NON À PETITES CELLULES (NAPC) -> Tumeur de l’apex pulmonaire (Pancoast) (à cause de son site anatomique) * type de cancer * envahissement
* Carcinome épidermoïde ou adénocarcinome * La tumeur de l’apex pulmonaire peut envahir les nerfs, les côtes et les os de la colonne vertébrale
41
Cancer du poumon : CARCINOME À GRANDES CELLULES Suite au changement de nomenclature, ce terme est rarement utilisé
42
Cancer du poumon : TUMEURS NEUROENDOCRINES (cellules neuroendocrines du poumon) * Quel est le type le plus courant de tumeur neuroendocrine du poumon?
Le cancer du poumon à petites cellules
43
Cancer du poumon : TUMEURS NEUROENDOCRINES (cellules neuroendocrines du poumon) * autres types
il en existe d’autres types comme la tumeur carcinoïde typique et la tumeur carcinoïde atypique
44
Cancer du poumon : AUTRES TUMEURS RARES (NAPC) * carcinome adénosquameux * carcinome sarcomatoïde * carcinome mucoépidermoïde et carcinome adénoïde kystique * lymphome non hodgkinien * sarcome des tissus mous
45
Monsieur N.H. (le patient de la vignette # 6C) présente une anémie normocytaire normochrome secondaire à une néoplasie pulmonaire. Quel est le résultat attendu au bilan d'investigation de cette anémie inflammatoire ? Réticulocytose
Normal(e) ou diminué(e)
46
Monsieur N.H. (le patient de la vignette # 6C) présente une anémie normocytaire normochrome secondaire à une néoplasie pulmonaire. Quel est le résultat attendu au bilan d'investigation de cette anémie inflammatoire ? Fer sérique
Normal(e) ou diminué(e)
47
Monsieur N.H. (le patient de la vignette # 6C) présente une anémie normocytaire normochrome secondaire à une néoplasie pulmonaire. Quel est le résultat attendu au bilan d'investigation de cette anémie inflammatoire ? Capacité totale de fixation
Normal(e) ou diminué(e)
48
Monsieur N.H. (le patient de la vignette # 6C) présente une anémie normocytaire normochrome secondaire à une néoplasie pulmonaire. Quel est le résultat attendu au bilan d'investigation de cette anémie inflammatoire ? % saturation du fer
Normal(e) ou diminué(e)
49
Monsieur N.H. (le patient de la vignette # 6C) présente une anémie normocytaire normochrome secondaire à une néoplasie pulmonaire. Quel est le résultat attendu au bilan d'investigation de cette anémie inflammatoire ? Ferritine
Normal(e) ou augmenté(e)
50
51
Réticulocytose : habituellement mesurée dans les cas de quoi?
d’anémie normocytaire normochrome pour aider à préciser le diagnostic
52
Réticulocytose : Le taux normal est de ... et en nombre absolu ...
Le taux normal est de 0,2 à 2 % chez l'adulte (généralement 0,5 à 1,5 %) et en nombre absolu entre 50 000 à 150 000/mcL, ou 50 à 150 × 10 9/L.
53
Réticulocytose corrigée ≥ 2% = ...
anémie régénérative = réponse normale de la moelle (↑ érythropoïèse pour compenser l'anémie)
54
Réticulocytose corrigée < 2% = ...
anémie non-régénérative (ou arégénérative) = réponse anormale de la moelle (érythropoïèse normale ou diminuée)