Questions complémentaires e1 à e2 Flashcards

(22 cards)

1
Q

Une femme de 30 ans consulte à la clinique pour une douleur abdominale chronique. Elle accuse une alternance de constipation et de diarrhée depuis plusieurs années. Afin de mieux contrôler ses symptômes (ballonnement, flatulences), elle limite la prise alimentaire de viandes rouges. La FSC effectuée démontre une anémie microcytaire hypochrome.

Parmi les éléments du bilan martial, la baisse de quel élément permettra de confirmer le déficit en fer de cette patiente?

  • Capacité de fixation du fer total (CFFT)
  • Ferritine
  • Fer sérique
  • Saturation de la transferrine
  • Transferrine
A

Ferritine

How well did you know this?
1
Not at all
2
3
4
5
Perfectly
2
Q

Le taux de ferritine sérique est en étroite corrélation avec quoi?

A

les réserves totales en fer de l’organisme

How well did you know this?
1
Not at all
2
3
4
5
Perfectly
3
Q

Cependant, la ferritine est également un marqueur …

A

inflammatoire de phase aiguë

How well did you know this?
1
Not at all
2
3
4
5
Perfectly
4
Q

la ferritine augmente quand?

A

taux augmente dans les maladies inflammatoires et infectieuses et dans des maladies néoplasiques

How well did you know this?
1
Not at all
2
3
4
5
Perfectly
5
Q

La ferritine sérique est habituellement mesurée dans quels cas?

A

dans les cas d’anémie microcytaire hypochrome OU dans les cas d’anémie normocytaire normochrome pour aider à préciser le diagnostic

How well did you know this?
1
Not at all
2
3
4
5
Perfectly
6
Q

ferritine sérique < 15 ug/L

A

anémie ferriprive

How well did you know this?
1
Not at all
2
3
4
5
Perfectly
7
Q

ferritine sérique 20-60 ug/L

A

2 interprétations possibles
* valeur normale
* état ferriprive peut être présent surtout si un état inflammatoire coexistant. Pas de bon test disponible pour confirmer dans un tel cas, à part essai thérapeutique avec fer et documentation de la réponse (c.-à-d. si Hb augmente).

How well did you know this?
1
Not at all
2
3
4
5
Perfectly
8
Q

ferritine sérique 200-300 ug/L

A

un manque de fer est exclu

How well did you know this?
1
Not at all
2
3
4
5
Perfectly
9
Q

ferritine sérique > 300 ug/L

A

état inflammatoire non spécifique

How well did you know this?
1
Not at all
2
3
4
5
Perfectly
10
Q

Un homme de 22 ans, originaire du Gabon, consulte pour un épisode de douleur abdominale intense associée à un ictère conjonctival. La FSC démontre une anémie (Hb 90) avec des globules rouges difformes.

Dans ce contexte clinique, quelles seront les modifications attendues du bilan biochimiques?

Bilirubine conjuguée (directe)

A

Normal(e) ou légèrement augmenté(e)

How well did you know this?
1
Not at all
2
3
4
5
Perfectly
11
Q

Un homme de 22 ans, originaire du Gabon, consulte pour un épisode de douleur abdominale intense associée à un ictère conjonctival. La FSC démontre une anémie (Hb 90) avec des globules rouges difformes.

Dans ce contexte clinique, quelles seront les modifications attendues du bilan biochimiques?

Bilirubine non conjuguée (indirecte)

A

Très augmenté(e)

How well did you know this?
1
Not at all
2
3
4
5
Perfectly
12
Q

Un homme de 22 ans, originaire du Gabon, consulte pour un épisode de douleur abdominale intense associée à un ictère conjonctival. La FSC démontre une anémie (Hb 90) avec des globules rouges difformes.

Dans ce contexte clinique, quelles seront les modifications attendues du bilan biochimiques?

Haptoglobine

A

Abaissé(e)

How well did you know this?
1
Not at all
2
3
4
5
Perfectly
13
Q

Un homme de 22 ans, originaire du Gabon, consulte pour un épisode de douleur abdominale intense associée à un ictère conjonctival. La FSC démontre une anémie (Hb 90) avec des globules rouges difformes.

Dans ce contexte clinique, quelles seront les modifications attendues du bilan biochimiques?

Hémoglobine libre

A

Augmenté(e)

How well did you know this?
1
Not at all
2
3
4
5
Perfectly
14
Q

Un homme de 22 ans, originaire du Gabon, consulte pour un épisode de douleur abdominale intense associée à un ictère conjonctival. La FSC démontre une anémie (Hb 90) avec des globules rouges difformes.

Dans ce contexte clinique, quelles seront les modifications attendues du bilan biochimiques?

LDH

A

Augmenté(e)

How well did you know this?
1
Not at all
2
3
4
5
Perfectly
15
Q

Un homme de 22 ans, originaire du Gabon, consulte pour un épisode de douleur abdominale intense associée à un ictère conjonctival. La FSC démontre une anémie (Hb 90) avec des globules rouges difformes.

Dans ce contexte clinique, quelles seront les modifications attendues du bilan biochimiques?

Urobilinogène

A

Augmenté(e)

How well did you know this?
1
Not at all
2
3
4
5
Perfectly
16
Q

Un homme de 22 ans, originaire du Gabon, consulte pour un épisode de douleur abdominale intense associée à un ictère conjonctival. La FSC démontre une anémie (Hb 90) avec des globules rouges difformes.

Ce patient est probablement porteur de quoi?

A

anémie falciforme (drépanocytose) - anémie hémolytique chronique

17
Q

anémie falciforme (drépanocytose) - anémie hémolytique chronique :

est provoquée par quoi?

A

l’hérédité homozygote des gènes de l’hémoglobine (Hb) S

18
Q

anémie falciforme (drépanocytose) - anémie hémolytique chronique :

Les globules rouges en forme de drépanocyte provoquent quoi?

A

une vaso-occlusion et sont sujets à l’hémolyse, entraînant des crises douloureuses sévères, une ischémie d’organe et d’autres complications systémiques

19
Q

À la spirométrie d’une femme de 55 ans, fumeuse, quels critères permettront d’établir le diagnostic de MPOC ?

A

Une spirométrie postbronchodilatateur démontrant une obstruction des voies aériennes non complètement réversible avec un rapport VEMS / CVF < 70% est nécessaire au diagnostic d’une MPOC.

20
Q

Une femme de 52 ans consulte pour de la toux persistante depuis plus d’un mois. Cette toux l’empêche de dormir dans son lit et elle dort maintenant assise sur le fauteuil du salon afin d’être plus confortable. La dame se dit très fatiguée. Par ailleurs, la patiente ne rapporte pas d’infection des voies respiratoires récentes ou de problèmes digestifs. La patiente n’a jamais fumé et ne prend pas de médications sur une base régulière. Elle dit que la prise de sirop antitussif n’aide pas à diminuer ses symptômes.

Dans le contexte de toux subaigüe sans diagnostic clinique précis, une radiographie pulmonaire est demandée. Quelle est la meilleure interprétation de la radiographie?

A

Métastases pulmonaires diffuses

21
Q

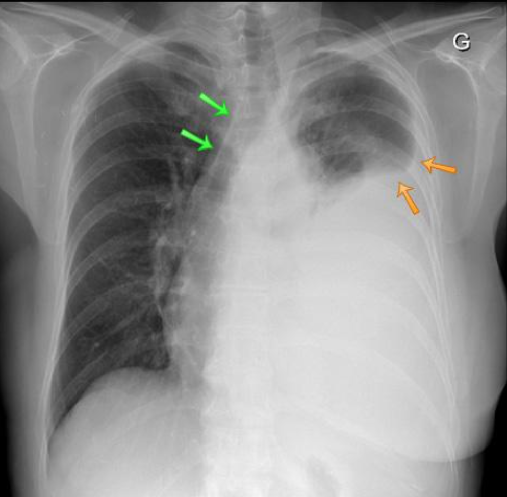
Un cycliste de 25 ans est admis en salle de réanimation à la suite d’une collision avec une voiture.
L’ABC révèle un patient en choc. Il y a une diminution du murmure vésiculaire à l’hémithorax gauche.

Sur cette radiographie pulmonaire, quelle est l’anomalie principale ? Soyez précis.

A

Épanchement pleural gauche, vraisemblablement un hémothorax. Fractures de côtes gauches associées.

Remarquer les signes suivants:

  • hypotransparence (« trop blanc ») de l’hémithorax gauche
  • signe de la silhouette avec la coupole diaphragmatique gauche et le rebord cardiaque gauche
  • atélectasie passive presque complète du poumon gauche
  • déplacement cardio-médiastinal controlatéral (flèches vertes sur la trachée déviée)
  • fractures de côtes gauches (flèches orangées)