Respiratory 2 Flashcards

(118 cards)

1
Q
A
How well did you know this?
1
Not at all
2
3
4
5
Perfectly
2
Q

What are the main risk factors of COPD?

A

Smoking

enviromental factors: •Climate, air pollution, urbanisation, social class and occupation (dust & silica) also play a role

alpha 1 antitrypsin deficiency

Infections

Low birth weight

How well did you know this?
1
Not at all
2
3
4
5
Perfectly
3
Q

What is the diseases within COPD?

A

CHronic bronchitis

Emphysema

How well did you know this?
1
Not at all
2
3
4
5
Perfectly
4
Q

Pathophysiology of chronic bronchitis breifly?

A

•Increased number of mucous secreting goblet cells in bronchial mucosa due to smoke irritation

  • causes: narrowing of airway, hypertrophy (increase in the size of the mucous glands-bigger), hyperplasia (more mucous)
  • Ciliary dysfunction: Globlet cells also have damage/motility in cilia so mucous build up more
  • Air trapping: less oxygen getting in due to mucous block and less CO2 leaving body

•Hypersecretion à immobile cilia à mucous plugs à airflow obstruction à retention of CO2 and less O2 à hypoxia + acidosis à blue bloaters

  • could lead to hypoxemia and hypercepnia
  • risk of developing pneumonia because mucous plug might contain hemophilus influenza or moraxella which cause infection

-

How well did you know this?
1
Not at all
2
3
4
5
Perfectly
5
Q

Pathophysiology of emphysema?

A
  • structural issue
  • smoking and pollutants causes phagocytosis
  • this releases cytokines
  • cytokines activates neutrophils due to inflammation
  • neutophils starts release specifc protease elastase which breaks down elastin
  • macrophages to releases proteases and chemokines which attract neutrophils that release elastases, nicotine inhibits protease inhibitors (alpha 1 antitrypsin)
  • since you dnt have much alpha 1 antitrypsin to oppose elastase, elastase causes damage to the alveoli.
How well did you know this?
1
Not at all
2
3
4
5
Perfectly
6
Q

Complications from chronic bronchitis?

A
  • could lead to hypoxemia and hypercepnia
  • risk of developing pneumonia because mucous plug might contain hemophilus influenza or moraxella which cause infection
How well did you know this?
1
Not at all
2
3
4
5
Perfectly
7
Q

Function of elastin?

A

Helps increase the recoil of the lungs

When you inhale it is a active process but when you exhale it is passive and so the lungs recoil and go back to its normal shape

How well did you know this?
1
Not at all
2
3
4
5
Perfectly
8
Q

What is the function of alpha 1 antityrpsin

What happens when you are deficient in it?

A

it is a protease inhibitor made in the liver.

it opposes elastase

•Alpha antitrypsin deficiency

  • Protein accumulates in liver meaning low levels in the lungs à cant inhibit neutrophil elastases à destruction of alveolar wall connective tissue
  • 2% of UK cases of emphysema
  • Usually causes COPD in < 40 y/o
How well did you know this?
1
Not at all
2
3
4
5
Perfectly
9
Q

Complications from emphysema?

A
  • damage to the alveoli
  • airways will narrow and wont be able to keep open due to the lack of elastin
  • start to lose sA from alveoli and blows up- Destruction of septa between alveoli creating distended bullae – deceased SA
  • Enlarged air spaces distal to terminal bronchiolesalso build up of Co2 leads to hypoxia and hypercepnia

• loss of elastic recoil in lungs – hold more air (elastases > anti elastases)

How well did you know this?
1
Not at all
2
3
4
5
Perfectly
10
Q

What are the different types of emphysema?

A

centriacinar- dilated pockets of air in the proximal airway

panacinar- distal airways

Distal acinar-distal alveoli can cause spontaneous pneumothorax

How well did you know this?
1
Not at all
2
3
4
5
Perfectly
12
Q

Epidemiology of COPD?

A

Approximately 3 million people in the UK are diagnosed with COPD and a suspected 2 million more may be undiagnosed.

How well did you know this?
1
Not at all
2
3
4
5
Perfectly
13
Q

Clinical features of COPD?

A

Chronic productive cough and dyspnea are the hallmarks of COPD.

Symptoms:

  • Chronic cough: usually productive
  • Sputum production
  • Breathlessness: usually on exertion in early stages
  • Frequent episodes of ‘bronchitis’: usually in the winter
  • Wheeze
  • Pursed lip breathing: (prevents alveolar collapse by increasing the positive end expiratory pressure)
  • Bronchial sounds
How well did you know this?
1
Not at all
2
3
4
5
Perfectly
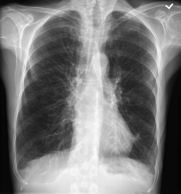
14
Q

What does this scan show?

A

CXR demonstrating COPD with hyperinflation

How well did you know this?
1
Not at all
2
3
4
5
Perfectly
15
Q

Investigations for COPD?

A

Bedside

  • Observations: including pulse oximetry
  • Body mass index (BMI)
  • Sputum culture (if purulent)
  • Arterial blood gas (if hypoxia or hypercapnia is suspected): needed in acute exacerbations or work-up for long-term oxygen therapy
  • ECG (if cor pulmonale suspected)

Bloods

  • Full blood count: important to assess for anaemia and polycythaemia
  • Alpha-1 antitrypsin levels

Imaging

Chest x-ray (CXR):

Hyperexpanded

Flattened hemidiaphragms

Hypodense

Saber-sheath trachea

CT scan: consider performing if

Symptoms disproportionate to spirometric assessment

Alternative diagnosis suspected (e.g. bronchiectasis, fibrosis)

Lung cancer suspected or to investigate abnormalities on chest x-ray

Echocardiogram: if cor pulmonale suspected.

How well did you know this?
1
Not at all
2
3
4
5
Perfectly
17
Q

Management for COPD patients?

A

All patients with COPD should be offered education, smoking cessation, vaccinations(influenza vaccine and pneumococcal), pulmonary rehabilitation (if indicated) and pharmacotherapy (e.g. inhalers).

How well did you know this?
1
Not at all
2
3
4
5
Perfectly
18
Q

Drugs for COPD

A

Beta-receptor agonists: bind to beta receptors of the sympathetic nervous system. Causes relaxation of airway smooth muscle and subsequent bronchodilation. May be short or long-acting.

Muscarinic receptor antagonists: these drugs prevent the activation of muscarinic receptors by acetylcholine. This prevents airway smooth muscle contraction and causes bronchodilation. Can be short or long-acting.

Corticosteroids: inhaled corticosteroids work by reducing inflammation within the lungs. They are thought to reduce the number of exacerbations, improve the efficacy of bronchodilators and decrease dyspnoea in stable COPD.

How well did you know this?
1
Not at all
2
3
4
5
Perfectly
19
Q

Inhaler types for COPD?

A
  • Short-acting beta-agonists (SABA): Salbutamol
  • Long-acting beta-agonists (LABA): Salmeterol
  • Short-acting muscarinic antagonists (SAMA): Ipratropium
  • Long-acting muscarinic antagonists (LAMA): Umeclidinium / tiotropium
  • Inhaled corticosteroid (ICS): Beclomethasone
  • LABA-ICS: Seretide (salmeterol/fluticasone)
  • LABA-LAMA: Ultibro (indacaterol/glycopyrronium)
  • LABA-LAMA-ICS: Trimbow (formoterol/glycopyrronium/beclometasone
How well did you know this?
1
Not at all
2
3
4
5
Perfectly
20
Q

What is Pulmonary embolism?

A

acute/chronic occlusion of pulmonary arteries. Clot breaks off and travels to the lungs (emboli).

Occlusion maybe due to a blood clot, fat, air or tumour

How well did you know this?
1
Not at all
2
3
4
5
Perfectly
21
Q

What is deep vein thrombosis?

A

acute/chronic occlusion of deep vein(s). Commonly affects the lower limbs through the formation of a clot forms (thrombus).

How well did you know this?
1
Not at all
2
3
4
5
Perfectly
22
Q

Venous thromboembolism (VTE) is a term that encompasses two conditions:

A

Pulmonary embolism

Deep vein thrombosis

How well did you know this?
1
Not at all
2
3
4
5
Perfectly
23
Q

What is incidence like with PE?

A

increases with age–doubles everydecade after 20 years

How well did you know this?
1
Not at all
2
3
4
5
Perfectly
24
Q

What is the aetiology of PE?

A

The typical cause of PE is an emboli that arises from a DVT. The DVT itself may be provoked or unprovoked based on the same risk factors of PE (it is also a thromboembolic disease). A history of unilateral leg swelling that precedes the onset of chest pain and dyspnoea is classical for the diagnosis of PE.

How well did you know this?
1
Not at all
2
3
4
5
Perfectly
25
Q

What are the major risk factors of PE?

A
  • DVT
  • Previous VTE
  • Active cancer
  • Recent surgery (e.g. within last 2-3 months)
  • Significant immobility (e.g. hospitalisation, bed-rest)
  • Lower limb trauma/fracture
  • Pregnancy (+ 6 weeks postpartum)
How well did you know this?
1
Not at all
2
3
4
5
Perfectly
26
Q

What are additional risk factors to PE?

A
  • Combined oral contraceptive pill
  • Long-distance sedentary travel (e.g. long-haul flights)
  • Thrombophilia
  • Obesity
  • Others
How well did you know this?
1
Not at all
2
3
4
5
Perfectly
27
Due to the high risk of VTE in patients admitted to secondary care (i.e. hospital), a ____ \_\_\_\_ \_\_\_\_\_\_\_\_\_should be completed on admission. This assesses whether a patient is suitable to receive prophylactic blood thinning medication (e.g. low molecular weight heparin) to reduce the risk of VTE.
VTE risk assessment
28
What is VIrchow triad?
3 factors that are critically important in the development of venous thrombosis: a triad of venous stasis, endothelial injury, and a hypercoagulable state.
29
Staisis of venous circulation What is meant by this What are the conditons that lead to this
We want our blood to flow in our veins. THey do this by **valves**. So if valves are damaged or stop working properly then blood starts to gather and clot. Conditons that lead to stasis of venous circulation: * Varicose veins * Surgery (especially hip or knees) * Obstruction: late pregncancy, obesity * Heart failure * Atrial fibrillation * Muscle weakness, leg injuryor trauma
30
Hypercoagulability What is meant by this What are the conditons that lead to this
high coagulation (rocess of a liquid, especially blood, changing to a solid or semi-solid state) of the blood Conditons that cause this: * Cancer * Severe illness (sepsis) * Dehyrdation * Birth control (oestrogen) * Postpartum Period
31
Endothelial Damage What is meant by this What are the conditons that lead to this
Damage to the endothelium Conditons that lead to this are: * IV drug usuage * indwelling device * medication * trauma or injury to the vessel (surgeyr)
32
What is the pathophysilogy of PE?
The predominant theory for development of VTE is Virchow’s triad. This describes a triad of venous stasis, endothelial injury, and a hypercoagulable state. These are the three broad categories that contribute to the development of blood clots.
33
Natural history of PE
Occlusion of one or more of the pulmonary arteries leads to absence of perfusion to that area of the lung. There is said to be a ventilation/perfusion (V/Q) mismatch because ventilation is unaffected (i.e. the area of lung receives oxygen but not blood). This V/Q mismatch may lead to hypoxia. The area of lung may undergo infarction (death from abnormal blood supply), but is usually prevented by the bronchial circulation. The V/Q mismatch can lead to elevated pulmonary **arterial pressure, alveolar collapse, worsening hypoxaemia and reduction in cardiac output.** The sudden increase in pulmonary arterial pressure may rise to a level the right ventricle cannot overcome. This can lead to **hypotension, syncope and in more serious circumstances shock** and/or death due to acute right ventricular failure.
34
PE clinical features
* Dyspnoea * Pleuritic pain * Cough * Leg swelling * Leg pain * Haemoptysis * Palpitations * Wheezing * Angina-like pain
35
Scoring system for PE?
PE: scoring system * WELLS–likelihood of PE * GENEVA–likelihood of PE * PERC-likelihood of PE * PESI-severity of PE
36
Investigaions for PE
If Wells shows likely PE * CTPA * Parenteral anticoagulanttherapy * Proximal deep vein legUSS If Wells shows unlikely PE * D-dimer→positive?→CTPA,Parenteralanticoagulant therapy * D-dimer has highsensitivity (90%) but lowspecificity (can be raisedin many systemicillnesses) * CXR * V/Q scan
37
Management of PE
nitially = ABCDE-O2, fluids,ionotropes * Risk assess-PE severity * Give LMWH unless renalimpairment, risk ofbleeding,haemodynamically unstable * Warfarin, NOAC and LMWHcontinuous * Thrombolysis * Embolectom
38
What is Bronchiectasis?
permanent, irreversible dilation of airways (chronic and obstructive) Bronchiectasis is a long-term condition where the airways of the lungs become abnormally widened, leading to a build-up of excess mucus that can make the lungs more vulnerable to infection. The most common symptoms of bronchiectasis include: a persistent cough that usually brings up phlegm (sputum) breathlessness and chest pain
39
What disease can lead to bronchiectasis and how?
CF/TB ## Footnote The defective gene and its protein causes the body to produce thick sticky mucous that clogs the lungs and leads to chronic life threatening lung infections with dilation and destruction of airways (bronchiectasis). Eventually it gets so thick that its consistently inflamed and infections that you cant clear ot so you get into chronic progressive pulmonary disease and respiratory failure
40
Pathophysiology of Bronchiectasis?
Chronic inflammation causes destruction of airway elastic tissue and ciliated epithelial cells * Mucociliary stasis and increased mucous production * Fibroblasts try to repair damage, deposits collagen, stiffens airways
41
SIgns and symptoms of Bronchiectasis?
ns and symptoms:•Purulent sputum, haemoptysis, suppuration,SoB, clubbing, crackles, wheeze
42
Investigations for Bronchiectasis?
•PFT= obstructive pattern→decreased FEV1/ FVC ratio Imaging: * HRCT/CT is better than CXR * Dilation of bronchi and bronchioles
43
Management for Bronchiectasis?
•Clear mucus-percussion or postural drainage•Treat cause-Ab
44
Epidemiology of Lung cancer
3rdmost common malignancy in the UKand isthe leading cause of cancer relateddeath * Itismorecommonaspeople get older ( around45% get diagnosed with lung cancer are aged 75years and older) * Higherinmoredeprived areas, in terms ofethnicity and gender group more common inwhite males
45
Aetiology of Lung Cancer
* Smoking! (80%),including passive smoking•Increased risk in high pollution areas * Family history * Occupation; exposure to asbestosis ( carcinogenic building material,increases the risk of mesothelioma as well as other cancersieadenocarcinoma of the lung) * Exposure to radon gas-increased risk to lung cancer * Other comorbidities-pulmonary fibrosis, COPD, HIV infection * Increasing age * Previous history of malignanciesiehead and neck cancer
46
How is lung cancer categorised?
Small-cell (SCLC) Non-small cell lung cancer (NSCLC): 85% of cancers * Adenocarcinoma * Squamous cell carcinoma * Large cell
47
Pathology of lung cancer-Nonsmall cell types adenocarcinoma
* Likely to become the common cell type in the UK in future(most common in US) * Cancer of mucus secreting cells * Appears more common in non smokers compared tosquamous cell carcinoma * Asbestos and Smoking are risk factors * Often causes peripheral lesions in Chest X ray/CT * Metastases common-pleura, lymph nodes, brain, bone,adrenal gland
48
Pathology of lung cancer; Nonsmall cell types squamous cell carinoma
* Remains the common type in Europe, main risk factor issmoking * Arises from epithelial cells, associated with the productionofkeratin (‘keratin pearls’) * Occasionally cavitates with central necrosis * Causes obstructive lesions of the bronchus with postobstructiveinfection * Paraneoplastic (‘hypercalcemia’) * Local spread common-metastases relatively late
49
ClinicalManifestationsof Lung Cancer signs
50
Symptoms of lung cancer?
51
Lung Cancer Treatment
52
Pathology of lung cancer; Non small cell types
* Often poorly differentiated * Metastasize early These are undifferentiated neoplasms accounting for around 5% of lung cancers. They tend to metastasise early.
53
Pathology of lungcancer;small cell
* Arises from neuroendocrinecells APUD cells * ‘salt and pepper’ like appearance * Often secretes polypeptidehormones * Often arises centrally andmetastasizes early * Have a fast doubling time, aggressivecancer * Difficult to treat and associated withparaneoplasticsyndromes (SiADH,LambertEaton, Carcinoid, Cushing’s,SVC syndrome) Considered separately due its fast doubling time, aggressive nature and early metastasis
57
Causes of acute resp failure minutes to hours
COVID-19related complications * Asthma (acute exacerbation) * Obstruction•Pulmonary oedema * Acute epiglottitis * Pulmonary trauma * Inhalation injury (toxic fumes include chlorine, smoke, Carbonmonoxide, hydrogensulfide)•Acute allergy
58
Causes chronic resp failure
▪COPD ▪Muscular dystrophy ▪Motorneuronedisease
59
Non Resp causes of resp failure
- hypovolemia - shock - drug overdose - neuromuscular disorders
60
What is the difference between type 1 and type 2 respiratory failure?
Respiratory failure is divided into type I and type II. Type I respiratory failure involves low oxygen, and normal or low carbon dioxide levels. Type II respiratory failure involves low oxygen, with high carbon dioxide
61
What is CPAP?
(continuous positiveairway pressure) * Type of NIV * CPAP works by providing a positive pressure of air throughthe mask and intothe airway, which helps to keep theairway open. * Helps to prevent breathing difficulties,increase the level ofoxygen in the lungs and removescarbon dioxide out ofthelungs. * Used in obstructive sleep apnoea
62
What is COPD?
* disease characterised progressive obstruction of airflow * Not fully reversible * Associated with abnormal inflammatory response of lungs to noxious particles of gas
63
COPD is associated with other cormorbidities like:
* Ischaemic heart disease * Hypertension * Diabetes * Heart failure * cancer
64
Why is smoking a big rf for COPD?
* Cigarettes – 90% of cases in developed countries * Increased neutrophil granulocytes à Releases elastases and proteases à emphysema * Inhibits activity of alpha 1 antitrypsin * Irritation from inhaling smoke à mucous gland hypertrophy * Affects lung surfactant à over distended lungs * Individual susceptibility and proportional to amount smoked
65
How is emphysema classified?
**Classified according to site of damage** * Centriacinar – most common, seen in smokers, upper lobe * Panacinar – associated w/ alpha 1 antitrypsin deficiency, rare, lower lobe * Irregular- patchy damage independent of the structure of the acini * Paraseptal –peripheries, risk of bursting à pneumothorax
66
how does emphysema impact oxygen and co2?
* Low PaO2 and normal/ increased PaCO2 * Increased alveolar ventilation to correct hypoxia à pink puffers * Overtime PaCO2 increases when the patient fails to maintain respiratory effort à stimulation of respiration à long term insensitivity to CO2, dependent on hypoxemia to drive ventilation à blue bloaters * Ventilation in response to CO2 * expiratory airflow limitation – alveoli collapse during expiration àair trapping à increased TLC + decreased FVC and FEV1
67
Definition of asthma
Condition characterized by reversible airway obstruction caused dueto airway inflammation, bronchial hyper-responsiveness, which mayor may not be triggered by allergens
68
What are the different types of asthma?
allergic asthma non allergic asthma late onset asthma occupational asthma asthma with obesity
69
Pathophysiology of allergic asthm
Th2 mediated asthma * Step 1: Allergen enters the body * Step 2: dendritic cells identify the allergen (throughDAMPS and PAMPS) * Step 3: allergen uptake by dendritic cells * Step 4: activation of the helper T cells-Th2activation * Step 5: B cell activation + mast cell + eosinophil cellrecruitment * Step 6: B cellIgEantibodiesThe patient is now said to be sensitized to the allergen * Step 7: on subsequent exposure,IgEantibodiesbind onto mast cells * Step 8: degranulation of the mast cells (containprestored inflammatory mediators like histamine+leukotriene) * Step 9: allergic reaction: * Histamine causes arteriolar dilatation and venularendothelial contraction * Leukotrienes: primarily cause vasoconstriction andincreased vascular permeability
70
Pathophysiology of non-allergic asthma
Th17 mediated * Step 1: Neutrophil activation * Step 2: extended neutrophil lifespan * Step 3: release of granular enzymes +ROS * Step 4: ROS + enzymes causebronchoconstriction Thus, non allergic asthma tends to bepresent with non-resolving mucosalinflammation-Tends to be triggered by viruses-Do not respond to antihistamines
71
Classic signs and symptoms of asthma
Wheeze Cough Breathlessness/SOB Variation insymptoms-worsein the morningand at night
72
Diagnosis of asthma in adults
* Spirometry→(FEV1/FVC\<0.7)=obstructive disease * BDR-increase in FEV1-12% + 200ml inresponse to ICS/ B2 agonists * FeNO→40ppm - Fractional exhaled Nitric oxide - During inflammation higher amount of NOproduced by the epithelial cells and hencehigh levels of NO is indicative of airway inflammation * PEF (peak expiratory flow)variation by12% (best of 3) * BHR→Drop in FEV1-20%•Patients with asthma will respond to muchlower doses of pharmacological agents likehistamine or methacholineas compared toa normal perso
73
Diagnosis ofasthma in children
* Spirometry→(FEV1/FVC\<0.7)= obstructivedisease * BDR-increase in FEV1-12% inresponse to ICS/ B2 agonists * FeNO→35ppm * Greater than 20% variability inPEF monitored over 2-4 weeksis diagnostic of asthma
74
Differentiating asthma from cardiacconditions
•Asthma - Chest pain/tightness - SOB-not on exertio •Other cardiac conditions - Chest pain/tightnessradiating to thejaws/shoulder/left arm - EXERTIONAL SOB withother cardiac symptoms such as peripheral oedem
75
Treatment for asthma
* Bronchodilators * First choice: SABA-salbutamol inhalers–reliever inhalers * LABA-third line * Second line: Steroids (ICS) * Beclomethasone * Prednisolone * Third line: LRTA-leukotriene receptor antagonists) * LAMA * Theophylline * Oxygen-as needed
76
How do you differentiate between COPD and Asthma?
**Asthma** * Variation in symptom presentation (worse in the morning and at night) * Chronic productive cough is uncommon- Sputum production only in acute exacerbations * May not having a smoking history * A trigger or allergen may be associated with the symptoms * Reversible lung function * Variable SOB **COPD** Symptoms are always present Chronic productive cough with production of sputum (chronic bronchitis) Almost always have a smoking history! Less likely to find an allergen Progressively worsening lung function Progressively worsening SOB
77
Give examples of Upper respiratory tract ifections?
Epiglottitis Tonsilitis Croup Viral illness
78
Give examples of Lower respiratory tract infections?
Bronchiolitis Influenza Viral induced wheeze
79
Tonsilitis Symptoms: Signs Bugs Ix: Tx:
* Symptoms: sore throat, earache, pyrexia \> 38C * -Signs: enlarged, inflamed tonsils +/- lymphadenopathy * -Bugs: Group A Strep * - Investigations: Throat swab * -Tx: Ab if bacterial, analgesia ( difflam spray, ibuprofen)
80
What is croup?
inflammation of the larynx and trachea in children, associated with infection and causing breathing difficulties
81
Croup symtons signs bugs Tx
* -Symptoms : viral illlness-\> barking cough and stridor middle of night * -Sign: inspiratory stridor, intercostal/subcostal recession * -Bugs: Parainfluenza\> RSV * -Tx: dexamethasone * -Mnemonic: CrouP: C: corticosteroids-\>dexamethasone P: parainfluenza
82
What is epiglottitis?
Epiglottitis is inflammation and swelling of the epiglottis. It's often caused by an infection, but can also sometimes happen as a result of a throat injury. The epiglottis is a flap of tissue that sits beneath the tongue at the back of the throat.
83
Epiglottitis Symtoms signs bugs
* - Young children, HIB unimmunized * -Symptoms: very unwell, pyrexia, soft stridor, little cough ,drooling (can’t swallow secretions) * -Signs: drooling, tripod position, dysphagia * -Bugs: Haemophilus influenza type B \>\> Strep Pyogenes, pneumoniae 4 D’s: Dysphagia, Dysphonia, Drooling, Distress
84
Viral Illness Symptoms Signs Bugs Ix
- Common cold - Symptoms: nasal discharge, sneezing, painful, throat/ears, pyrexia, headache, malaise - Signs: red pharynx, pus, bilateral red tympanic membranes, yellow/green discharge - Bugs: Rhinovirus\> Enterovirus\> Coronavirus\> RSV\> Parvovirus \> Adenovirus - Investigations: NONE
85
Bronchiolitis symotoms signs bugs RF Ix Tx
* Symptoms: coryzal symptoms, cough, progressive increased WOB, poor feeding * Signs: tug, nasal flare, head bobbing, recession, crackles, wheeze, cyanosed * Bugs: RSV, adenovirus, metapneumovirus, influenza * RF: premature, immunocompromised, congenital heart/lung disease * Investigations: Cough swab * Tx: supportive, Palivizumab- prophylactic injection for RSV
86
**Influenza** Defintion Subtypes symptoms signs Ix Tx
* Highly contagious disease occurring in winter months. * Influenza virus A,B,C ( rarely C). * Subtypes: based on surface antigens H ( haemagglutinin), N ( neuraminidase) * Symptoms: pyrexia, myalgia, headache, cough, chills * Signs: red throat, hypotension, bradycardia * Investigations: blood test, rapid antigen test * Tx: supportive: antipyretics, analgesia, oseltamivir
87
What is pneumonia?
•Inflammation of lungs due to a causative organism, produces consolidation/ interstitial lung infiltrates
88
Pneumonia symptoms Signs Ix
* Symptoms: productive cough, SOB, chest pain, haemoptysis, fever * Signs: SoB, tachypnea, cyanosis, hypotensive, reduced chest expansion. Dull percussion, coarse crackles on auscultation * Investigations: CURB- 65/CRB-65, CXR, sputum culture, bloods
89
What are the bacterial viral and fungal pathogens associated with pneumonia?
**_•Bacterial:_** * Typical: Strep Pneumoniae (CAP), Haemophilus influenzae , Pseudomonas Aeruginosa (HAP/VAP) * Atypical: Legionella, Chlamydia spp. **_•Viral:_** * Influenza * RSV * SARS-COV2 **_•Fungal:_** * TB aspergillosis * Pneumocystis jirovecci
90
What is pleural empyema
•Collection of pus in the pleural cavity
91
Pleural empyema Symptoms signs RF bugs Ix
* Symptoms: fever, cough, breathlessness, lethargy, reduced exercise tolerance * Signs: reduced chest expansion, reduced breath sounds, stony dull percussion * RF: pneumonia, iatrogenic intervention, DM, underlying carcinoma/TB * Bugs: Strep pneumoniae, Staph A * Investigations: blood culture, CXR, thoracentesis
92
What is a lung abscess? stages rf symptoms
* Cavity filled with pus in lung parenchyma, suppurative inflammation of lung tissue * - As a result of aspiration, malignancy, pathogens * -Right\>\> Left lung : wider, straighter mainstem bronchus * -Stages: pneumonitis-\> necrosis-\> cavitation-\> abscess formation * -RF: Chronic aspiration, chronic lung infection, immunocompromised * -Symptoms: fever, cough, weight loss, night sweats
93
What is Interstitial Lung Disease?
- Restrictive Lung Disease - Umbrella term that describes a collection of lung disorders that affect the interstitium
94
ILDs can be classed into two groups what are they?
Known cause Idiopathic
95
Examples of idiopathic ILD
Idiopathic pulmonary fibrosis NSIP- Nonspecific interstitial pneumonia
96
Known cause ILDs can be further split into what?
Connective tissue disease Occupational Exposure Granulomatous disease Treatment induced
97
Examples for connective tissue disease ILD s
Systemic Lupus Erythematosus Rheumatoid Arthritis Systemic Sclerosis
98
Examples of occupation exposure ILDs
Asbestosis Silicosis
99
Examples of Granulomatous diseases ILDs?
sarcoidosis Hypersensitivity Pneumonitis
100
What is idiopathic pulmonary fibrosis? trigger? RF?
-Ongoing repair process → excess collagen and scar tissue in the interstitial tissue of the lung **-The trigger is unknown** -It is a chronic progressive fibrotic lung disease and ultimately fatal **-Risk factors** - Male - 50-70 years - Tobacco smoking
101
Pathophysiology of IPF
Loss of structural integrity, loss of elasticity and restricted gas exchange leading to progressive respiratory failure
103
Characterisitics of IPF
Characteristics of IPF - Irreversibly enlarged damaged bronchioles and alveoli - Fibroblastic foci - Honeycombing (cystic airspaces with fibrous walls)
104
How do you know if it is non specific interstitial pneumonitis?
CT: Ground-glass opacities
105
What is the management for IPF
- Median survival time for patients with IPF is 2-5 years - Anti-fibrotic therapy (Pirifenidone, nintedanib) - Lung transplant Best supportive care (palliative care, pulmonary rehabilitation, oxygen therapy
107
Types of hypersensitivity pneumonitis related to occupation ?
108
Patho of hypersensitivity pneumonitis
109
Clinical features of hypersensitivity pneumonitis
110
What is Hypersensitivity Pneumonitis
Hypersensitivity pneumonitis (HP) or extrinsic allergic alveolitis (EAA) is a rare immune system disorder that affects the lungs. It is an inflammation of the airspaces (alveoli) and small airways (bronchioles) within the lung, caused by hypersensitivity to inhaled organic dusts and molds.
111
What causes Hypersensitivity Pneumonitis?
- Caused by an immunologic reaction to an inhaled known organic agent causing an inflammatory response in the alveoli and small airways - There are \>3000 known causes of hypersensitivity pneumonitis - Aspergillus species - Mycobacterium species - Animals, plants, chemicals
113
Patho of sarcoidosis?
116
What is abestosis?
-Diffuse pulmonary fibrosis caused by inhalation of asbestos fibres, mostly affecting the lower lobes of the lung
117
Diagnosis of Hypersensitivity Pneumonitis?
- History of antigen exposure (IgG-specific antibodies) - Clinical symptoms - radiological : HRCT * Ground glass airway opacities * Honeycombing * Dilated airways - PFT: restrictive or obstructive pattern - Bronchoscopy: lymphocytosis (\>20%) - Lung biopsy: poorly defined, non-caseating granulomas
118
Management of hyoersensitivity pneumonitis
- Antigen avoidance - Corticosteroids - Immunosuppressive therapy
119
What is sarcoidosis? Epidemiology?
- Chronic, immune-related, multi-system granulomatous disease characterised by the presence of non-infectious, noncaseating granulomas and chronic interstitial pulmonary fibrosis - More common in female - African descent - Peak presentation is 20-50 years
120
121
122
124
CF of sarcoidosis?
**Lung (90%)** * interstitial lung disease * Bilateral hilar lymphadenopathy **Brain** * Cranial nerve palsies * Meningitis **Eye** * Uveitis * Glaucoma **Heart** * Myocarditis, pericarditis * Restrictive cardiomyopathy * Arrhythmia, AV blocks **MSK** * Phalangeal bone cysts * Arthritis **Splenomegaly, Granulomatous hepatitis** **Skin (10-30%)** * Erythema nodosum * Subcutaneous nodules * Lupus pernio
125
Diganosis for sarcoidosis?
- CXR - Blood tests * -Elevated Serum ACE * -Hypercalcaemia, hypercalciuria - Bronchoscopy+biopsy * -Noncaseating granuloma - Bronchioalveolar lavage * -Raised CD4:CD8 ratio
127
What are related diseases to abestos?
Latency period is 20-30 years after initial exposure - Pleural plaques (most common) → increases risk of pleural effusion - Diffuse interstitial pulmonary fibrosis (asbestosis) * -Small linear opacities in lower lung fields - Primary Bronchogenic Carcinoma (cigarette smoking) - Malignant Mesothelioma * -Haemorrhagic pleural effusion and pleural thickening
128
CF and History for abestosis?
Clinical features - Dyspnoea - Finger clubbing - O/E shows bi-basal end-inspiratory crackles - Systemic features History - Connective tissue disease? - History of occupational exposure? - Idiopathic?
129
Ix for abestosis
- Lung function tests - Bloods (systemic diseases, connective tissue diseases) - Radiology: Chest X-ray, HRCT - Bronchoscopy + biopsy
133