soft tissue Flashcards

(33 cards)

1
Q

what are the C/S of septic synovitis?

A

acute onset severe lameness + effusion, ± fever, cellulitis/pain on palpation, heat

How well did you know this?
1
Not at all
2
3
4
5
Perfectly
2
Q

how do you dx septic synovitis?

A

arthrocentesis:
- TP>4g/dl
- >80% neutrophils
- TNCC>25,000 cells/ul

synoviocentesis, rads if chronic, U/S

How well did you know this?
1
Not at all
2
3
4
5
Perfectly
3
Q

what is the pathogenesis of septic synovitis?

A

joint contamination –> synovial inflammation –> increase synovial fluid + inflammatory mediators –> fibrin production –> cartilage erosion, fibrosis –> infection of subchondral bone and osteomyelitis

direct trauma into joint, invasion from infection in surrounding tissues, hematogenous infection

How well did you know this?
1
Not at all
2
3
4
5
Perfectly
4
Q

what are the causative agents of septic synovitis?

A

direct: T. pyogenes, E. coli
invasion from surrounding tissues: T. pyogenes, E. coli, Staph, Strep
Hematogenous: T. pyogenes, E. coli, Staph, Strep, M. bovis

How well did you know this?
1
Not at all
2
3
4
5
Perfectly
5
Q

how do you tx septic synovitis?

A

pain mgmt, Ab,s lavage, drainage

regional: IVRLP (IV regional limb perfusion) - 30mL sterile saline

local: intrasynovial injections

How well did you know this?
1
Not at all
2
3
4
5
Perfectly
6
Q

what is the prognosis of septic synovitis?

A

dependent on cause, # of joints, other dz

worsened by delay in tx, improved by aggressiveness of initial tx

How well did you know this?
1
Not at all
2
3
4
5
Perfectly
7
Q

what are the C/S of non-infectious intra-synovial disease, like DJD, OCD, trauma?

A

mild-mod lameness, effusion

How well did you know this?
1
Not at all
2
3
4
5
Perfectly
8
Q

how do you dx non-infectious intra-synovial disease (general)?

A

imaging, or just rest + NSAIDs

How well did you know this?
1
Not at all
2
3
4
5
Perfectly
9
Q

tell me the difference in surfaces affected by subchondral bone cysts and osteochondrosis

A

SBC: weight bearing surfaces
OCD: gliding surfaces

How well did you know this?
1
Not at all
2
3
4
5
Perfectly
10
Q

how do you dx OCD?

A

bilateral rads
femoropatellar, tarsocrural, atlanto-occipital (distribution of lesions)

How well did you know this?
1
Not at all
2
3
4
5
Perfectly
11
Q

how do you tx OCD?

A

conservative vs symptomatic tx (sx debridement, medical/pain mgmt)

How well did you know this?
1
Not at all
2
3
4
5
Perfectly
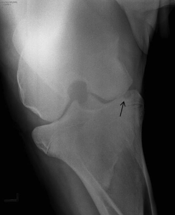
12
Q

what is the arrow pointing to?

A

subchondral bone cyst

How well did you know this?
1
Not at all
2
3
4
5
Perfectly
13
Q

tell me the different causes of congenital and acquired flexural limb deformities?

A

congenital: inherited, Mal-positioning, overcrowding in utero

acquired: secondary to prolonged period of abnormal weight bearing

How well did you know this?
1
Not at all
2
3
4
5
Perfectly
14
Q

congenital flexural limb deformities typically occur where?

A

forelimb (fetlock or carpus)

How well did you know this?
1
Not at all
2
3
4
5
Perfectly
15
Q

tell me about the different stages of flexural limb deformities

A

Stage 1: mild-mod
- calf can get up to nurse, heel doesn’t touch ground

stage 2: mod-sev
- dorsal aspect of claw more than perpendicular to ground, can manually straighten limb

severe:
- calf walks w/ dorsal aspect of fetlock/pastern/carpus on grounds unable to manually straighten limb

How well did you know this?
1
Not at all
2
3
4
5
Perfectly
16
Q

how do you tx stage 1 flexural limb deformities

A

controlled exercise, provide good footing, toe extensions

17
Q

how do you tx stage 2 flexural limb deformities

A

NSAIDs/analgesia, well-managed splinting/casting, colostrum

half limb hind, full limb front

18
Q

how do you tx severe flexural limb deformities?

A

rule out osseous abnormalities, if unresponsive to medical mgmt, consider sx to transect taught tendon/periarticular tissues (often unrewarding)

19
Q

what is arthogryposis?

A

persistent joint contracture w/ abnormal bone changes (usually multiple limbs, usually rotated, often other deformities)

heriditary, nutrition, toxins, viruses in utero

20
Q

what is Elso heel?

A

spastic paralysis

progressive neuromuscular dz (spastic contraction of both gastricnemius and SDFT) –> leads to recumbency and weight loss

Hock and stifle become increasingly extended

21
Q

how do you tx Elso heel?

A

euth, partial tibial neurectomy, tenotomy/tenectomy

22
Q

can you breed cows with Elso heel?

A

nope! it’s inherited

23
Q

what are the C/S of cruciate ligament injury?

A

acute non-weight bearing lameness resolving to moderate

usually just 1 leg affected

stifle effusion

may hear click when walking

24
Q

how do you dx and tx cruciate ligament injury in cattle?

A

dx: drawer test

tx: cull/salvage, stall rest for 6-9mo, extra-articular plication, CCL replacement

25
what is this?
craniodorsal coxofemoral luxation
26
which is worse, craniodorsal or cranioventral coxofemoral luxation?
ventral - worse bc you get nerve damage
27
how do you tx coxofemoral luxation?
closed or open reduction
28
upward fixation of the patella (dorsal luxation) is common in ____ cattle. what are the C/S?
beef (esp Bos indicus) limb locks in extension, intermittent but may progress
29
how do you tx upward fixation of the patella
medial patellar ligament desmotomy
30
with lateral or medial patellar luxation, what are the C/S?
unable to extend stifle and bear weight
31
which is more common, lateral or medial patellar luxation?
lateral
32
how do you tx lat/med patellar luxation? what is the px?
tx: sx px: based on grade (I-IV) --> better for grade I/II
33
what are the general indicators of MSK injury/dz?
- pain - lameness - swelling - fx - laceration - down cow - posture changes - discharge