Transcatheter arterial embolization is an acceptable alternative to pretransplant native nephrectomy for patients with:
2
Current indications for pretransplant nephrectomy may include HTN not controlled by dialysis and medication, persistent renal infection, renal calculi, or renal obstruction. Additional indications include severe proteinuria or polycystic kidneys symptomatic from infection, severe bleeding, or massive enlargement. Of these indications for pretransplant nephrectomy, only severe proteinuria can safely and reliably be managed by pretransplant transcatheter embolization and infarction.
A 45-year-old hypertensive man with a family history of renal failure is noted to have bilaterally enlarged cystic kidneys, and hepatic and pancreatic cysts during an abdominal ultrasonographic examination for abdominal/flank pain and fever. He also complains of marked dysuria. He is admitted with a presumptive diagnosis of pyelonephritis. Urine culture has been sent. Initial antibiotic should be:
4
Autosomal dominant polycystic kidney disease is a systemic disease with varied renal pathology including renal cysts, calculi, infection, hemorrhage, and eventual renal insufficiency. Associated gastrointestinal pathology includes hepatic and pancreatic cysts. These patients also have an increased incidence of cerebral artery aneurysms. The cysts eventually become isolated structures and standard empiric antibiotics for pyelonephritis penetrate cysts poorly. Lipid soluble antibiotics are required and include trimethoprim, tetracycline, doxycycline, ciprofloxacin, levofloxacin, and chloramphenicol. Ampicillin, aminoglycosides, cephalosporins, and nitrofurantoin are not lipid soluble and thus are poor choices.
A 48-year-old man undergoes radical cystectomy with a Studer-type orthotopic urinary diversion. Three months postoperatively, he complains of frequency and day and nighttime incontinence. Videourodynamics reveal capacity of 300 ml, detrusor pressure at capacity is 10 cm H2O, Valsalva LPP is 130 cm H2O, and PVR is 75 ml. The next step is:
1
The length of time postoperatively after orthotopic diversion influences continence results. The reservoir capacity can and does increase over the first six to twelve months and even longer in patients with anti-refluxing afferent limbs (e.g. Studer type). CIC will decrease incontinence but frequent CIC will prevent the reservoir from increasing its capacity over time. Alpha-blocker therapy may relax the proximal urethra and exacerbate incontinence.
In central (pituitary) diabetes insipidus, the nephron segment that contains the most dilute fluid is the:
5
Central diabetes insipidus involves a defect in the production or release of ADH from the hypothalamo-neurohypophyseal system. ADH affects the permeability of the distal tubule and collecting duct to water from the filtrate. With diminished ADH production, the distal tubule and collecting duct reabsorb less water from the filtrate yielding concentrated blood and dilute urine. The most dilute urine will be in the collecting duct.
During PCNL, a collecting system perforation is noted. The first sign of significant extravasation of irrigant into the peritoneal cavity is:
1.
hypotension
4
Narrowed pulse pressures (rise in diastolic pressure) precede difficulty with ventilation, hypercarbia and a rise in central venous pressure. Extravasated irrigant increases abdominal pressure leading to decreased venous return and thus narrowing the pulse pressure. Distension is not appreciated in the prone position until later in the course. Hypotension would signal the possibility of significant hemorrhage. Increasing ventilatory pressures is a later sign when there is significant fluid in the peritoneal cavity and when the patient is returned to the supine position.
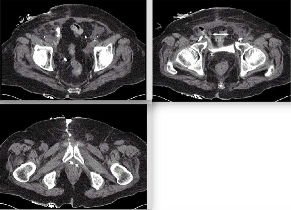
A 77-year-old man has a retracted stoma and clear fluid leaking from his midline incision three weeks after radical cystectomy and ileal conduit diversion. Three images from a CT loopogram are shown. The next step is percutaneous pelvic drainage and:

1
A delayed urinary leak following urinary reconstruction should lead the clinician to suspect tissue ischemia/necrosis. In these cases, the leak is unlikely to resolve with observation alone. Fascial repair is unnecessary unless signs of dehiscence are present. Maximal drainage of the reconstructed segment is essential in order to minimize the output of the leak. In this case, the CT image demonstrates leakage from the proximal end of the conduit. Given the presence of stomal retraction, catheter drainage of the conduit may decompress the leak. Given the pooling of contrast in the pelvis, a percutaneous drain is also advisable in order to control the fistula, minimize the risk of local abscess, and to protect the fascia from further dehiscence. While this patient may ultimately require stomal revision, it would not be advisable until determining if the leak will heal with conservative therapy. Early exploration and repair is difficult given the intense local inflammatory reaction, and it is likely to result in a high risk of treatment failure given the condition of the local tissues.
A 27-year-old man states that since a radical orchiectomy for stage A seminoma six months previously, the frequency and quality of his erections have been poor. He received XRT to periaortic nodes. The last treatment was two months after the orchiectomy. His chest x-ray, serum markers, glucose, and testosterone are normal. The next step is:
2
The patient should be told that during the early months after surgery, depression and loss of vigor are common along with an impaired sense of body image and mood disturbances. Patients cured of testis cancer rarely have persistent emotional disturbances. Sexual drive does not appear to be permanently disrupted by curative therapy. Treatments such as testosterone should be avoided. With time and reassurance, he should recover his normal libido and potency. Concomitant use of PDE5 inhibitors may also be helpful to reestablish confidence. Reassessment of such patients one year after treatment has shown that depression and mood disturbances have usually cleared.
Sepsis after PCNL best correlates with:
2
Two recent studies showed that the results of pre-operative voided urine cultures failed to correlate with either stone cultures or renal pelvic urine cultures obtained at the time of ureteroscopy or PCNL. Furthermore, the occurrence of SIRS (systemic inflammatory response syndrome) correlated with positive stone or renal pelvic urine cultures, but not with voided urine cultures. Another recent prospective study found that the occurrence of post-operative SIRS was predicted by stone culture, but failed to correlate with pre-operative urine culture, length of procedure, stone free rate or the use of supra- versus sub-costal access. Although typically the results of a stone culture are not available until at least 48 hours post-operatively, these findings can prompt a change in the choice of antimicrobial coverage in the septic post-PCNL patient.
A 56-year-old man undergoes partial penectomy for pT2 squamous cell carcinoma. Examination reveals no inguinal adenopathy. The primary tumor characteristic most predictive of pathologic lymph node involvement is:
3
In a multi-institutional review, eight different factors including superficial growth pattern, grade, tumor thickness, involvement of corporal tissue and the urethra increased the likelihood of pathologic lymph node involvement. However, the factor most predictive of lymph node involvement was the presence of lymphatic and/or vascular invasion seen in the primary tumor. Although the presence of human papilloma virus infection in patients with penile cancer is common, there is no correlation to lymph node metastases risk.
Impaired ammonia production by the kidney will most likely result in:
2
Ammonia production allows the kidney to rid itself of acid without lowering the pH (titratable acidity). The term titratable acidity refers to the quantity of sodium bicarbonate required to titrate urine back to a pH of 7.40, which is similar to that of blood. Other buffers, such as uric acid and creatinine, contribute to the titratable acidity but only to a minor extent. Hydrogen ion (H) is also secreted through the production of ammonium ion. Ammonia (NH4) is produced from glutamine, primarily by proximal tubular cells. Ammonium excretion can increase significantly during systemic acidosis, which is the key mechanism for secreting excess H because at very low urinary pH, titratable acid cannot increase much unless other ions such as ketoanions are being produced. Lack of ammonia production can result in a systemic acidosis which may be followed by demineralization of bones and uric acid lithiasis.
The condition associated with uric acid stone formation is:
1
Low urine pH is the most important pathogenetic factor in uric acid stone formation. The mechanism responsible for low urine pH in idiopathic uric acid stone formers is thought to be insulin resistance. Evidence in support of this link includes the findings that over 50% of uric acid stone formers are glucose intolerant, a disproportionate number of diabetics have uric acid stones, and there is a strong inverse correlation between urine pH and insulin resistance. In the kidney, insulin stimulates ammonia genesis in proximal renal tubule cells; in insulin resistant states, defective ammonia production and/or excretion results in unbuffered hydrogen ions in the urine and an acid urine. Hyperthyroidism is associated with hypercalciuria and calcium stones. Likewise, Dent’s disease, also known as X-linked recessive nephrolithiasis, is a hereditary condition characterized by hypercalciuria, nephrocalcinosis, kidney stones, proteinuria, progressive renal failure, and in some cases, rickets. Crohn’s disease is associated with calcium oxalate stones as a result of low urine volume due to dehydration, low urine pH, and hypocitraturia due to metabolic acidosis and hyperoxaluria due to overabsorption of intestinal oxalate. Proximal RTA is not associated with kidney stones. Though thiazide diuretics may increase serum uric acid levels slightly, this does not pose a clinical risk to the patient and is not associated with increased urinary uric acid levels.
During radical cystectomy, the cephalad (proximal) limit of an extended pelvic lymph node dissection is the:
2
Extended pelvic lymph node dissection has been associated with an improved disease specific survival in patients with muscle invasive bladder cancer. Increasing the number of lymph nodes removed at lymph node dissection is associated with improved survival in the setting of both lymph node negative and positive disease. The cephalad limit of the extended pelvic lymph node dissection for bladder cancer is the inferior mesenteric artery. The bifurcation of the common iliac artery is the cephalad limit of dissection of the standard pelvic lymphadenectomy. The circumflex iliac vein and genitofemoral nerve are the caudal and lateral limits of dissection.
A 38-year-old woman develops incontinence ten days after an abdominal hysterectomy and anterior colporrhaphy for a large cystocele. She complains of leakage that is constant, but increases with an increase in abdominal pressure. The most likely diagnosis is:
5
All of these causes are possible. A vesicovaginal fistula is the most likely diagnosis of her incontinence in the setting of recent hysterectomy, and should be investigated even if stress incontinence is present. Both the timing and the nature of her leakage suggest vesicovaginal fistula is responsible. Ureterovaginal fistula may have a similar presentation, but is much less common and should be ruled out prior to repair of a vesicovaginal fistula. Patients with overflow incontinence rarely leak constantly and would be likely to complain of voiding difficulties.
A 55-year-old diabetic woman has new onset pneumaturia. The next step is:
1
Pneumaturia, the passage of gas in the urine, may be due to a fistula between the intestine and bladder or due to gas-forming UTI. In the latter situation, the microorganism most commonly responsible for cystitis is E. coli. Approximately 60% of cases of emphysematous cystitis occur in diabetics. In the current case, a UA and urine culture should be performed first. Additional tests can be performed selectively based on the results of UA and urine culture. Common causes of fistula formation include diverticulitis, regional enteritis and sigmoid cancer.
A 65-year-old man develops lung and liver metastases four months after undergoing a left radical nephrectomy for clear cell carcinoma. Hemoglobin is 8.1 g/dl, Creatinine is 1.3 mg/dl, and his calcium is 13 mg/dl. The therapy most likely to improve survival is:
3
Temsirolimus is an inhibitor of the mammalian target of rapamycin (mTOR) kinase – this is a component of intracellular signaling pathways involved in growth/proliferation of cells. This medication suppresses angiogenesis and is given as a weekly IV infusion. Patients, such as this patient with three or more of the following poor risk features (serum LDH > 1.5 times upper limit of normal, Hgb below lower limit of normal, serum calcium level of more than 10 mg/dl, time from initial diagnosis of renal cell carcinoma to randomization of less than one year, Karnofsky performance of 60 or 70, or metastases in multiple organs), were found to benefit from temsirolimus. Patients who received temsirolimus were 27% more likely to survive than those who received interferon-alpha. The other listed agents have not demonstrated a survival advantage in this group of higher risk patients.
The most important factor for successful vesicovaginal fistula repair using an omental interposition graft is:
2
In complicated vesicovaginal fistulae, a supravesical approach is appropriate. Since the surrounding areas may be poorly vascularized and fibrotic, omentum will supply good tissue into the area of the fistula. Even if the omentum is short, it can be mobilized to reach the pelvis if the full length of the gastroepiploic arch is mobilized. Turner-Warwick has stated …even the shortest omental apron will reach the pelvis… The spleen should not need to be mobilized for this. Nonabsorbable sutures should not be used because they may become exposed to the fistulous area of either the bladder or vagina and cause calculi or persistent fistulae. If the omentum overlaps the area of the fistulae, the fistulae will usually close even if the suture lines in bladder or vagina are tenuous, break down, or cannot be closed adequately.
A 52-year-old man with erectile dysfunction undergoes videourodynamics for voiding dysfunction. A videourodynamic image, taken early in filling (at the point indicated by dotted line in the urodynamic tracing), is shown. The videourodynamics suggests a diagnosis of:

4
The cystogram demonstrates an open bladder neck at rest. The urodynamics tracing shows that there was no detrusor activity at the instant the image was obtained. An open bladder neck at rest in a male is highly suggestive of multiple system atrophy (MSA) in the absence of prior prostate surgery. Although other neurological diseases may result in an open bladder neck at rest, none of these are listed except MSA. Erectile dysfunction is often found in MSA, and this finding in concert with the open bladder neck at rest distinguishes this condition from Parkinson’s disease which is often clinically similar in many other respects. Other symptoms of MSA may include other autonomic dysfunctions. Bladder neck dyssynergy would have a closed bladder neck with filling. Cervical spinal stenosis and MS would not typically have an open bladder neck at rest.
When compared to age-matched controls, men treated with etoposide and platinum-based chemotherapy for NSGCT are at increased long term risk of:
3
The long term toxicity of bleomycin containing chemotherapy regimens includes pulmonary fibrosis however etoposide and platinum does not appear to be associated with this toxicity. There is no chronic increase in risk of systemic infection despite a short term risk of neutropenic sepsis during therapy. Several large scale epidemiologic studies have recently concluded that men treated with either radiation therapy or systemic platinum containing chemotherapy are at significantly increased risk of developing both fatal cardiovascular events as well as secondary malignancy after extended follow-up.
Renal blood flow is autoregulated by:
5
Autoregulation of GFR and renal blood flow occurs primarily through variations in afferent arteriolar resistance. Micropuncture studies support the hypothesis that changes in rate of fluid flow in the distal tubule elicit these changes in glomerular arteriolar resistance, a phenomenon known as distal tubuloglomerular feedback. Renal autoregulation is responsible for the relatively small changes in renal blood flow and GFRs over wide ranges of perfusion pressures. This autoregulation is present in both innervated and denervated kidneys.
In idiopathic calcium oxalate stone formers, Randall’s plaques originate:
1
In idiopathic calcium oxalate stone formers, crystal deposits composed of calcium phosphate originate within the basement membrane of the thin loops of Henle and enlarge into the surrounding interstitium and vasa recta. The plaques then progress to a subepithelial location where they ultimately erode through the papillary surface and form an anchored site for calcium oxalate stone formation. In patients with calcium oxalate stones of a different etiology, the site of initial crystal formation differs.
A 55-year-old man had a negative TRUS guided 10-core prostate biopsy two years ago for a PSA of 5 ng/ml. Now his PSA is 7 ng/ml. The next step is:
3
Repeat TRUS directed biopsies for a man with a prior negative biopsy should be at least 12 cores and should include anterior apical horn biopsies. The likelihood of a positive biopsy using this technique is between 35-50% and is similar to the yield of saturation biopsy techniques. Transition zone biopsies are also helpful but less critical than anterior apical biopsies. MRI scan can be helpful to direct repeat prostate biopsies but is expensive and is usually not the next step. Anterior apical biopsies can be obtained by transrectal or perineal approach.
An asymptomatic, 65 kg man with a serum creatinine of 2.0 mg/dl is evaluated for recurrent renal calculi. A 24-hour urinary creatinine measurement is 0.5 gm. This finding is most consistent with:
1
As long as renal function is at a steady state, 24-hour excretion of creatinine should be approximately 1 gm per day in a patient of this size. This test is most utilized because it is readily obtainable and has good validity and reproducibility. The daily variability is only about 10% and thus a specimen with only 0.5 gm of creatinine in a patient with chronic but stable renal insufficiency suggests an incomplete timed collection.
A pregnant woman has a ureteral calculus causing pain. She has failed observation and cannot tolerate a ureteral stent. The best definitive management is:
3
Most calculi in pregnant women should be initially managed by observation with stenting reserved for persistent symptoms or infection. When intervention is indicated ureteroscopy using the holmium:YAG laser may be safely performed during pregnancy. SWL is never indicated in pregnancy due to concerns about fetal damage. The peak pressures from EHL are transmitted beyond the probe leading to similar concerns about damage to the fetus. Ultrasonic lithotripsy has the theoretical concern of damage to fetal hearing. Laparoscopic management, while possible is much more invasive than ureteroscopic approaches and may be difficult with a gravid uterus.
A 68-year-old man with advanced prostate cancer is to receive sipuleucel-T (PROVENGE). Premedication should include acetaminophen and a(n):
1
Sipuleucel-T is an active cellular immunotherapy that is a type of therapeutic cancer vaccine. It consists of autologous peripheral blood mononuclear cells with antigen presenting cells that have been activated ex-vivo with a recombinant fusion protein that consists of prostatic acid phosphatase that is fused to granulocyte-macrophage colony-stimulating factor (an immune-cell activator). In men with asymptomatic or minimally symptomatic castrate-resistant prostate cancer, a 4.1 month median overall survival was demonstrated compared to placebo. The most common side effects included chills, fatigue, and pyrexia which are common with release of cytokines. The recommended premedications are acetaminophen and an antihistamine. Glucocorticoids and opioids are sometimes given at the time of I.V. chemotherapy but are not indicated at the time of immune therapy. Mineralocorticoids and anxiolytics are not indicated for this immunotherapy.