32-year-old woman has a 0.5 cm vaginal mesh exposure one year following sling placement. There is no urinary tract involvement. Although she has occasional spotting, she is continent and neither she nor her sexual partner are bothered by the mesh. The next step is:
1
Conservative measures, including observation, are reasonable in the properly-selected patient who has a small area of exposure of mesh in the vagina. If the patient is not symptomatic, she does not necessarily need to abstain from intercourse, though it would be advisable to counsel her on the possibility that intercourse could exacerbate mesh exposure. Addition of local hormone therapy would be very reasonable in a postmenopausal woman, however, in a premenopausal woman, her vaginal tissue is likely to be adequately estrogenized; supplementation would therefore be of little to no benefit. Vaginal excision of the exposed mesh could be considered if she or her partner are symptomatic, but does not need to be performed in an asymptomatic patient. Removal of the entire sling is not indicated in this asymptomatic patient.
A 42-year-old man is unable to void following a straddle injury. Physical examination reveals blood at the meatus and a large perineal hematoma. Retrograde urethrography reveals a complete bulbar urethral disruption with contrast extravasation. The next step is:
2
The patient has suffered a major straddle injury resulting in complete bulbar urethral disruption. The next best step is suprapubic tube placement and delayed reconstruction. Perineal exploration is not indicated in the setting of acute blunt trauma and complete disruption of the bulbar urethra. Catheter placement is not indicated with complete disruption. Antegrade or retrograde urethral realignment is not indicated with complete bulbar urethral disruption, yet may be possible with an anterior urethral contusion or incomplete disruption.
A patient has a transscrotal orchiectomy for a 3 cm testicular mass. At the time of exploration, there is violation of the tunica vaginalis. Pathology is pure seminoma. Chest and abdominal CT scan and serum markers are negative. The next step is:
3
Suboptimal approaches to testicular 6s, including scrotal orchiectomy, transscrotal biopsy, or fine-needle aspiration are reported from 4-17% of the time. A recent meta-analysis of 206 cases of scrotal violation reported a local recurrence rate of 2.9% compared with 0.4% of patients treated by inguinal orchiectomy, but no difference in systemic relapse or survival rates. There did not appear to be any advantage to adjuvant therapy. Others have reported an increased local recurrence rate in patients with scrotal contamination and an 11% presence of tumor in hemiscrotectomy specimens of patients with scrotal violation. Therefore, for patients with scrotal violation with low-stage seminoma, the radiation portals should be extended to include the ipsilateral groin and scrotum. This may result in an increased risk of azoospermia. Observation is not appropriate in the setting of scrotal violation. Platinum, etoposide, and bleomycin (BEP) is appropriate for treatment of non-seminomatous germ cell tumors and advanced seminoma, not low-stage seminoma.
The effect of finasteride on serum and intraprostatic testosterone is:
There are two isoenzymes of 5-alpha-reductase (Type I and Type II). Finasteride blocks only the Type II isoenzyme. The prostate contains the Type II enzyme. Therefore, dihydrotestosterone (DHT) levels are decreased in the prostate. There is an upregulation of serum and intraprostatic testosterone. The serum DHT is typically decreased by about 85%, but not to castrate levels as circulating testosterone is converted to DHT by Type I isoenzyme in the skin and liver. The decreased DHT production leads to reduction in negative feedback which leads to increased LH production, hence increase serum testosterone.
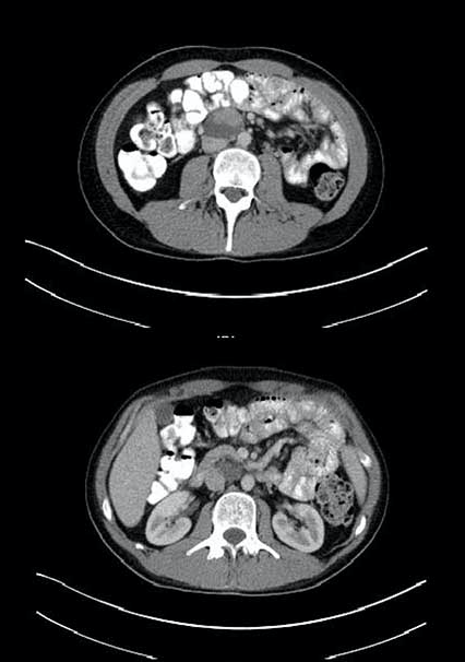
A 21-year-old man receives a stem cell transplant with high-dose salvage chemotherapy for a Stage III NSGCT refractory to primary chemotherapy. After his salvage chemotherapy, his markers normalize and his CT scan is shown. The next step is:

5
This patient has several residual masses after salvage chemotherapy. Given that he has received salvage chemotherapy and that his markers are normal, his best option is RPLND. The chance of viable disease is approximately 50%, teratoma 40%, and necrosis/fibrosis only 10%, thus, observation is a poor choice. A PET scan would not tell about teratoma which would need to be resected. A percutaneous biopsy could have sampling errors and would not obviate the need for additional treatment. Since the markers are normal, there is no indication at this time for additional chemotherapy especially in the salvage setting.
A 56-year-old man undergoes a radical cystoprostatectomy and orthotopic neobladder. Long-term preservation of renal function is most dependent on:
1
Reservoirs made of detubularized ileum appear to have the greatest compliance and lowest likelihood of generating intermittent high-pressure contractions. Several clinical studies have demonstrated that the urodynamic characteristics of the ileum appear to be superior to those of the colon and is therefore the preferred segment of bowel used for a neobladder. Larger bowel lengths with increased intra-operative volumes are not necessary as all bowel segments effectively stretch over time if there is adequate outflow resistance. In fact, commonly utilized techniques (e.g. Studer, T-pouch) utilize 40-44 cm of ileum with resultant intra-operative volumes of 200 ml or less. For ileal neobladders, it has been shown that the capacity increases sevenfold after one year. The true benefits of anti-refluxing anastomosis remain uncertain. It does not appear that conduit pressures are transmitted to the renal pelvis. Also, there is no difference in conduits between those with versus without reflux, with regard to renal function measured two to five years postoperatively. Furthermore, the successful construction of an anti-refluxing anastomosis does not prevent bacterial colonization of the renal pelvis. Many of these patients have no untoward effects and seem to do well with chronic bacteriuria. Deterioration of the upper tracts is more likely when the culture becomes dominant for Proteus or Pseudomonas, and should therefore be treated, whereas those with mixed cultures may generally be observed, provided they are not symptomatic.
A 63-year-old man undergoes partial nephrectomy in a solitary kidney. The renal artery is clamped for 40 minutes without the use of surface hypothermia. Postoperatively, the creatinine rises from 1.5 mg/dl to 2.5 mg/dl. The renal structure most likely to have been injured is:
5
The clinical scenario described is ischemic acute tubular necrosis (ATN). This is characterized by tubular cell injury which may be sublethal or lethal. During normal renal function, the medulla operates at the brink of hypoxia due to countercurrent diffusion of oxygen in the vasa rectae. During prolonged ischemia, medullary hypoxia is intensified and high metabolic requirements of the structures located in the outer medulla are most sensitive to injury. The medullary thick ascending limb of Henle is rich in the energy requiring Na-K ATPase and is most sensitive to ischemic damage. The concept of ATN is important in partial nephrectomies and renal transplantation. The other structures are not located in the medulla. Management of ATN would include optimizing perfusion and oxygenation of the kidney, and minimizing nephrotoxic agents.
A 34-year-old man and his 29-year-old wife have a two year history of infertility. His physical exam is normal. Semen analysis reveals a volume of 2 ml, sperm 23 mil/ml, 2%25 motility, and 12%25 normal morphology. Repeat analysis is similar. The next step is:
1
This patient has a less than 5% motility. This raises the prospect of an ultrastructural abnormality in the sperm tails such as primary ciliary dyskinesia. This is characterized by extremely low motility but relatively high sperm viability on a sperm viability assay. Since the sperm concentration is normal, there is no indication for determination of testosterone, FSH, karyotype, or Y chromosome microdeletion testing. Scrotal ultrasonography will not add any useful information. Testicular sperm extraction is indicated for azoospermia. Since this patient has motile sperm in the semen, there is no reason for sperm extraction. Sperm from patients with ciliary dyskinesia may be used for intra-cytoplasmic sperm injection (ICSI), but pregnancy rates are low.
A morbidly obese 72-year-old man undergoes XRT for prostate cancer complicated by a urethral stricture requiring multiple direct visual internal urethrotomies. He subsequently develops BCG refractory CIS of the bladder cancer and chooses to undergo cystectomy. The risk factor that makes him an unacceptable candidate for orthotopic diversion is:
3
The patient has multiple risk factors which increase his risk for complications after surgery for cystectomy and orthotopic diversion, however, only urethral stricture disease would be a contraindication for the diversion. CIS does not appear by itself to significantly increase the risk of urethral recurrence after orthotopic diversion. Obese patients may actually do better with an orthotopic diversion as it avoids stomal issues that are common in the morbidly obese. Studies have demonstrated the safety and feasibility of performing orthotopic diversions in previously radiated patients. Similarly, age is not a contraindication. Patients with urethral stricture disease should not undergo orthotopic diversion as they may be unable to catheterize should the need arise and may cause overdistension of the neobladder which could lead to rupture.
A 47-year-old woman undergoes an abdominal sacrocolpopexy and a suburethral sling procedure. She is a nonsmoker and does not use estrogen replacement therapy. She is not obese. Recommended DVT prophylaxis is:
4
The patient is classified as moderate risk for DVT based on her age (> 40) and absence of additional risk factors, therefore prophylaxis is indicated. A pneumatic compression device would be recommended if the risk of intraoperative bleeding were high. Otherwise, heparin 5,000 units every 12 hours is recommended. Heparin 5,000 every eight hours dosing is recommended for those at high risk for DVT.
A 25-year-old man is evaluated as a potential living renal donor to his sister. Arteriography shows a single artery to each kidney. A left donor nephrectomy is undertaken and at surgery, a second unsuspected 1.5 mm diameter artery to the lower pole is found 5 mm inferior to the main renal artery. The best management is:
4
The proper management is to divide the two arteries separately during kidney removal and perform ex vivo end-to-side anastomosis of the small artery to the larger one. Unlike in cadaveric kidney donation, use of an aortic patch is contraindicated in living renal donors due to potential risk to the donor. Ligation of the lower pole vessel may lead to lower pole ischemia and potentially a urinary fistula. Transplantation with two arterial anastomoses in the recipient will lengthen the revascularization time and increase the risk of ischemic renal damage. Use of a Dacron patch is rarely indicated unless the recipient has significant atherosclerosis.
A 25-year-old woman experiences recurrent UTIs following sexual activity. Cultures with each episode reveal pan-sensitive E. coli. Each symptomatic episode has been treated for 14 days with nitrofurantoin. Five days after completing her most recent treatment, catheterized urine is sterile, PVR is negligible, and pelvic exam is normal. If she experiences another UTI, the next step is:
2
Conservative measures such as hydration, hygiene, and voiding after intercourse have been documented to be ineffective in preventing post-coital UTIs. The most likely cause for her recurrent infections is persistence of uropathogenic bacteria in the vaginal flora, which were ineffectively treated with the urinary concentrated antibiotic, nitrofurantoin. Treatment with three days of trimethoprim-sulfamethoxazole will eliminate vaginal colonization. Upper tract imaging and cystoscopy are indicated if recurrence of the same bacteria occurs rapidly despite treatment with an antibiotic that eradicates vaginal colonization. Localization cultures may be indicated if cystoscopy and upper tract imaging are unrevealing. Post-coital antibiotic prophylaxis is another treatment option.
A distal urethral perforation occurs during insertion of a malleable penile prosthesis. The contralateral cylinder has not been placed. The next step is:
5
If urethral perforation occurs during dilation, it is best to abandon the procedure, divert the urine with a urethral catheter, and return at a later date. If the contralateral cylinder has already been placed and there is no septal perforation, then it may be left in place. The urine should be diverted. Urethral repair would be difficult and is unnecessary. Should this occur with an inflatable prosthesis, the entire device should be removed and the urethra allowed to heal.
A 27-year-old man with a C5 spinal cord injury has recurrent problems with sediment and clogging of his indwelling urethral catheter despite frequent catheter changes. The next step is:
1
Simple measures such as catheter irrigations and placement of a larger diameter suprapubic tube may temporize but not completely address the underlying problem of recurrent catheter encrustation with sediment. Catheter encrustation is attributed to bacterial biofilm, particularly biofilms made by urease producing bacteria such as proteus mirabilis. Urine culture is the appropriate next step. If a urease producing organism is identified, both treatment of the offending organism and evaluation for the presence of bladder or upper tract stones that could be serving as a nidus for bacterial infection is necessary.
A 58-year-old woman undergoes an uncomplicated laparoscopic right adrenalectomy for a 6 cm cortisol hypersecreting right adrenal mass. On postoperative day two, she has a low-grade fever, nausea, vomiting, hypotension, and abdominal pain. The next step is:
3
Acute adrenal insufficiency, or adrenal crisis, is an acute condition often preceded by hypotension unresponsive to fluid resuscitation. Patients are often misdiagnosed with an acute abdomen, whereas abdominal pain, nausea, vomiting, and fever frequently accompany hypovolemia. Adrenal insufficiency following adrenalectomy in the setting of a normally functioning contralateral adrenal gland is unlikely, but possible. This is especially true for patients who are undergoing adrenalectomy for a cortisol-secreting lesion, because functionality of the contralateral gland can be suppressed as in this patient. The diagnosis of primary adrenal insufficiency is primarily made on clinical grounds, with a high index of suspicion given a patient’s history, exam, and laboratory evaluation. Because adrenal crisis can be an acute and potentially life-threatening condition, consideration for treatment (i.e. repletion) should be made at the outset. If desired, the diagnosis is ultimately secured by measurements of morning serum cortisol and ACTH, but unnecessary delay in treatment should not be made simply to secure this diagnosis. Urinary cortisol and metanephrine levels are not indicated or necessary in this case. Furthermore, the initiation of broad-spectrum antibiotics will not address the underlying problem of adrenal insufficiency. The treatment of adrenal insufficiency involves adrenal hormonal repletion. Cortisol is replaced with hydrocortisone or with cortisone acetate.
A 45-year-old neurologically normal man has worsening urinary incontinence for several years. Videourodynamic study is shown with the voiding image. The diagnosis is:

5
The urodynamic tracing indicates detrusor overactivity associated with incontinence and bladder outlet obstruction during emptying. The tracing does show increased EMG activity during the detrusor overactivity but this is due to volitional suppression, not true striated dyssynergia. The image demonstrates narrowing at the proximal urethra consistent with bladder neck obstruction with voiding. At the time, the voiding image is taken there is no increased EMG activity excluding striated sphincter dyssynergia. There is no bulbar urethral narrowing to suggest urethral stricture disease. High-pressure voiding excludes impaired detrusor contractility.
Three months following a bilateral nerve sparing radical prostatectomy, a 65-year-old man has erectile dysfunction. He has failed oral therapy and wishes not to pursue intracavernosal injection therapy. He attempts intraurethral alprostadil 1000 mcg. The most likely occurrence is:
1
Intra-urethral prostaglandin administration is a reasonable alternative to intracavernosal injection therapy. Significant decrease in blood pressure occurs in approximately 2% of men. Penile pain is estimated to occur in 18-33% of men. Only 40% of men will consistently attain an erection adequate for penetration with intra-urethral alprostadil. Urethral bleeding is reported in about 5% of men and headache is rare.
An adverse prognostic feature not included in the Motzer Criteria for patients with metastatic RCC is:
3
The natural history of RCC is highly unpredictable. For instance, approximately 5% of patients with what are usually small indolent tumors (< 4 cm in size), will have metastatic disease at presentation and subsequently an elevated risk of disease-specific mortality. In contrast, up to 40% of patients with lymph node metastases diagnosed at the time of nephrectomy are alive five years after surgery. The Motzer criteria is a validated risk measurement tool that the physician may employ to aid in the discussion regarding the patient’s prognosis and is a useful guide in the formulation of treatment options. RCC risk groups are determined by the number of existing adverse features. The adverse features included in the Motzer criteria are Karnosky performance status < 80%, elevated LDH, anemia, hypercalcemia, and prior partial or total nephrectomy. Thrombocytopenia is not part of the criteria. If no risk factors are present, the patient is considered at low risk for recurrence. The presence of one to two features indicates intermediate risk and the presence of three to five adverse features poor/high risk for tumor recurrence.
The imaging study providing the best sensitivity and specificity for assessing bony metastatic disease in men with high-risk prostate cancer is:
4
In 2009, the Division of Cancer Treatment and Detection of the National Institutes of Health (NIH) conducted a review concerning 18F-PET imaging and its utility for assessing cancer metastases to bone, and concluded that 18F-PET provides the best sensitivity and specificity for the detection of bony metastases in prostate cancer. This review and other studies have demonstrated the superiority of 18F-PET to conventional (99mTc-MDP) bone scan with regard to specificity and sensitivity. Plain film tomography, CT scan with bone windows, and SPECT/CT have been used to evaluate suspicious or suspected areas of bony metastasis, but are not utilized for the initial survey of metastases in the high-risk patient. Each of these studies have more limited performance characteristics than 18F-PET. It remains to be seen whether this imaging modality will become the standard of care.
A 32-year-old man with infertility has unilateral absence of the vas deferens and 28 ml testes. Semen analysis reveals a volume of 0.5 ml, azoospermia, and pH of 6.4. FSH is 4.9 IU/l. Transrectal ultrasound reveals ipsilateral seminal vesicle agenesis and contralateral seminal vesical hypoplasia. Genetic testing is normal. The next step is:
1
Low volume azoospermic acidic semen suggests lack of seminal vesicle contribution to the semen. The differential diagnosis of this finding is: bilateral ejaculatory duct obstruction and congenital bilateral absence of the vas deferens (CBAVD). Transrectal ultrasound can differentiate between the two entities with CBAVD patients having either seminal vesicle agenesis or seminal vesicle hypoplasia. Bilateral ejaculatory ductal obstruction is associated with midline urethral cysts, bilateral seminal vesicle cysts, or the bilateral seminal vesical cysts with dilation of the ejaculatory ducts. CBAVD variants, as in this patient, one vas may be non-palpable while the other is present in the scrotum but absent in the pelvis. All CBAVD patients (including variants) should have genetic testing for cystic fibrosis. Up to 30% of patients will have no identifiable cystic fibrosis mutation. Some of these patients will have unilateral renal agenesis. It is thought that these patients have CBAVD due to mesonephric ductal-ureteral bud abnormalities. Up to 5% of these patients will be found to have renal agenesis, a finding not associated with CBAVD due to cystic fibrosis. It is therefore recommended that patients with CBAVD with a negative genetic test for cystic fibrosis, have a renal ultrasound performed. Scrotal exploration and vasography are not indicated in CBAVD patients, diagnosis is made by physical exam plus transrectal ultrasound for CBAVD variants. Scrotal ultrasound will not help with the diagnosis. The sweat test is not indicated in this patient with normal genetic testing and no clinical symptoms of cystic fibrosis. Testis biopsy to evaluate infertility is not indicated because the patient has CBAVD, normal FSH, and normal-sized testes. Treatment options for infertility in CBAVD patients is ICSI with sperm retrieval by TESE and implantation by IVF. Note in patients with CBAVD negative for cystic fibrosis, offspring may carry the trait and children with unilateral and bilateral renal agenesis have been reported.
A 50-year-old smoker with gross hematuria has a 1 cm left mid-ureteral filling defect on CT urography. The lesion is biopsied and laser ablated ureteroscopically. Histology reveals an inverted papilloma. The next step is:
3
Inverted papillomas are typically of two types (Type 1 and Type 2). Type 2 may exhibit a malignant behavior whereas Type 1 is benign. Unfortunately, they are histologically indistinguishable. Because of this, conservative treatment followed by surveillance for two years is recommended. Therefore no further treatment or follow-up is incorrect. Since it is possibly a benign lesion and presumably completely ablated by the laser, no additional treatment is warranted including antibiotic therapy.
A 40-year-old woman has urine draining from a port site three days following laparoscopic assisted vaginal hysterectomy. Cystogram is shown and bilateral retrograde pyelograms are normal. The next step is:

3
This patient has a large intraperitoneal bladder perforation and urinary ascites from an unrecognized bladder injury during hysterectomy. The best choice for management is immediate transperitoneal exploration with repair of the bladder injury. This will allow drainage of the urinary ascites, washing out of the peritoneal cavity, and significantly reduce the risk of peritonitis and vesicovaginal fistula formation. The use of a pedicalized omental flap to place between the bladder repair and the vaginal cuff suture lines should also be attempted to avoid overlapping suture lines and further minimize risk of post-operative fistula. Prolonged catheter drainage is the incorrect management of an intraperitoneal bladder injury and may result in prolonged urinary ascites with resultant persistent ileus and peritonitis. Bilateral nephrostomy tubes often do not result in complete 12 and would likely result in a prolonged clinical course and delay recovery. Transvaginal repair is the wrong approach to repair an intraperitoneal bladder injury.
A 27-year-old gunshot victim has a short upper ureteral injury and a splenic injury. During exploratory laparotomy, his vital signs are unstable with significant hypotension despite management of the splenic injury. No other acute injuries are present. The next step in management of his ureteral injury is:
4
In an unstable patient, ureteral injuries are best managed by ureteral ligation, percutaneous nephrostomy drainage, and delayed repair. In these instances, other choices are inappropriate because of the time needed for completion of the repair. In stable patients, short upper ureteral injuries may be managed by ureteroureterostomy with excision of the injured segment. A transureteroureterostomy may be appropriate with a long mid-ureteral injury but not an upper ureteral injury. A nephrectomy is not indicated in the absence of renal trauma especially if delayed salvage of the ureter is possible.
A 60-year-old smoker has a highly suspicious voided urinary cytology. CT urogram is normal. Cystoscopy, bladder biopsy, and bilateral retrograde pyelograms are normal. Selective left upper tract cytologies are highly suspicious for malignancy. The next step is:
3
In cases of unilateral upper tract cytologic abnormalities (with normal cystoscopy, pyelography, and bladder biopsies), ureteropyeloscopy is indicated as the next step. Ureteropyeloscopy allows for direct visualization of small lesions and is superior to retrograde pyelography in the detection of small tumors. Biopsy at the time of ureteropyeloscopy should be attempted, if feasible. A persistently abnormal cytology without any visualized lesions may signify CIS. In the past, nephroureterectomy was performed for a unilateral cytologic abnormality of the upper tract to eliminate presumed CIS, but this is no longer considered an appropriate initial approach. Observation is also not appropriate without further evaluation given the repeated abnormal cytologies. Current approaches for presumed upper tract CIS include topical immunotherapy or chemotherapy, delivered retrograde intravesically with ureteral stents in place to assist with reflux or antegrade via a nephrostomy tube under careful pressure control. Novel urinary markers (e.g., FISH) have been reported for upper tract tumor surveillance and may aid in the detection of such tumors. To date, none of these markers have a high enough sensitivity or specificity to make decisions for or against therapeutic intervention. In this case, repeat procedure under anesthesia to obtain a selective urinary sample for FISH is not warranted.