Secretion of aldosterone is primarily mediated by:
2
ACTH and serum potassium may increase aldosterone secretion but the effect is much less pronounced than that achieved by renin . The primary echanism for control of aldosterone production resides in a feedback system involving the kidney and its juxtaglomerular apparatus. In the presence of ppropriate stimuli (i.e., decreased renal perfusion pressure), juxtaglomerular cells release renin which results in the increased production of angiotensin II . ngiotensin II is a potent stimUlator of aldosterone output from the zona glomerulosa of the adrenal cortex. Sodium concentration in the thick ascending Loop of enle (not the proximal tubule or collecting duct) an also be sensed by the macula densa which can stimulate the re lease of renin.
A 55-year-old man undergoes a left lower pole partial nephrectomy for a 3.5 cm solid renal mass. The contralateral kidney is normal. Two days postoperatively, his serum hematocrit drops from 32% to 28% over 24 hours. Urine is dark burgundy in color. Vital signs are stable. The next step is:
4
Complications of partial nephrectomy include hemorrhage, urinary fistu la formation , ureteral obstruction, renal insufficiency, and infection. Significant intraoperative bleeding can occur in patients who are undergoing partial nephrectomy. The need for early control and ready access to the renal artery is emphasized . Postoperative hemorrhage may be self-limiting if confined to the retroperitoneum with or without associated gross hematuria. The initial management of postoperative hemorrhage is expectant with bed rest, serial hemoglobin and hematocrit determinations, frequent monitoring of vital signs, and blood transfusions as needed. Angiography may be helpful if bleeding persists, to localize actively bleeding segmental arteries, which may be controlled by angioinfarction. Severe intractable hemorrhage may necessitate re-exploration with early control of the renal vessels and ligation of the active bleeding points. Ureteral stent is not indicated.
Five years after a radical cystectomy and ileal conduit for bladder cancer, a 65-year old man has a serum creatinine of 3.0 mg/di, BUN 40 mg/di, sodium 146 mEq/I, potassium 4.6 mEq/I, and bicarbonate 16 mEq/I. A loopogram shows a 35 cm long moderately dilated conduit with grade 4 reflux into dilated upper tracts. The most appropriate treatment is:
3
Despite improvement in surgical techniques, stomal stenosis is still the most likely cause of the elongated dilated conduit with hydronephrosis and hyperchloremic acidosis. Therefore, the most appropriate treatment is revision of the stoma and shortening of the conduit. Administration of electrolytes is symptomatic treatment only and does. ot addres th.e anatomic cause of the acidosis. Conversion to a non-refluxing colon.conduit 1s not rqired 1.n this setting where a simpler procedure, shortening of the ileal cndu1t and. stom I rev1s1on, .w l suffice. Treatment of high grade vesicoureteral reflux by a bulking agent in a 1leal conduit is not indicated· the high grade reflux is a direct sign of distal obstruction and 1s usually due tc either stomal or mid-ileal loop stenosis. Although this patient may event lly need a ren transplant, a functional loop is necessary for transplantat on, tereore, rev1s1on of the loop 1 indicated. No indications are currently present for proceeding with bilateral nephrectomy.
A seven-year-old, neurologically normal boy with recurrent UTls and worsening diurnal incontinence has a normal renal ultrasound and VCUG. His bowel function is normal. Urodynamic evaluation reveals detrusor overactivity and increased sphincter activity during voiding. His initial treatment should be
1
Dysfunctional voiding syndrome is frequently manifested by worsening diurnal incontinence posturing when voiding, with or without primary nocturnal enuresis, recu:re.nt UTls, anc encopresis. Classically , urodynamic studies will reveal poor cerebral appreciation of sudden detrusor contractions. Voluntary sphincter contraction 1s thought to be a reponse to udder detrusor contraction. This can arise from either delayed neurourlogic .maturation o inappropriately learned voiding behavior. Initial treatment should be with maintenance of voiding and stooling diary , timed voiding every two hours while awake, and treatment of constipation issues if present. Approximately 80-85% of patients will resolve their symptoms o this treatment. Individuals failing the conservative management outlined above may be treat by either the addition of antimuscarinics, such as .oybutynin or alternatively, behavioral modification with biofeedback pelvic floor muscle retraining. Use of a sacral nuromodulatc should only be considered after the patient has failed the mar conseat1ve treamer modalities outlined above. Prazosin, an alpha-1- receptor blocker, 1s potentially useful in thsetting of bladder neck dysfunction but not in the patient described above.
Two grams of oral ascorbic acid (Vitamin C) per day will:
2
Approximately 10-20% of dietary ascorbate is metablized into oxalic a.cid that is ten excret into the urine. Ascorbic acid in doses of 2 grams daily was shown to increase urinary oxala by 20-30%, but had no effect on urinary pH, citrate, calcium, or magnesium.
A one-month-old girl with prenatal hydronephrosis underwent postnatal imaging as shown. The most likely cause of findings in the bladder and kidney is:

3
Ureteral duplicaion is one of the most common renal abnormalities with approximately 1% of the population diagnosed as having a duplication anomaly during their lifetime with 10% of the affected indiiduals ill have a bilatral duplicatio anomaly. In individuals with a duplication anmaly, 10 Yo are diagnosed following an evaluation for a UTI, another 10% are discovered dnng an evluatio for p:enatal h.ydronephrosis , and the remainders are incidentally d1s ove:ed during rad1ograph1c evaluations. Severe upper pole hydronephrosis of a duplicated moiety 1s com?nly associated with either a ureterocele or ureteral ectopy, while lower pole hyronephros1s 1s common ly associated with vesicouretera l reflux or a UPJ obstruction. In this patient, the ulrasoud. (US) images are classic for obstruction of the upper pole due to a ureterocele. D1fferent1at1on of a ureterocele from an ectop ic ureter can at times be problematic. Indeed, te term “pseudourete:ocele” has been coined for enlarged ectopic ureter that protrudes into the bladder. Classically , a tip off that it is an ectopic ureter and not a ureterocele is found in the thickness of the ureterocele membrane. Presence of a thin-wall membrane is almost invariably associated with a ureterocele. In contrast, a thick-walled “ureterocele” or cystic structure may indicate a ectopic ureter with the thick wall being attenuated detrusor muscle. Inadvertent endoscopic incision of a pseudoureteroce le has led to the creation of detrusor-ureteral-vaginal f istulas that may be highly problematic to repair in a neonate. To differentiate. an ectoic uretr (pseudoureterocele) from a ureterocele, a VCUG may be helpful. If the ectopic reer insert into t.he bladder neck or urethra, reflux into the upper system may be faun? confirming the d1agnos1s of an ectopic ureter. If no reflux is noted and the physician has a high degree of suspicion that the diagnosis is truly an ectopic ureter, a pelvic MRI or CT scan may be of benefit.
A newborn girl had moderate left hydroureteronephrosis on prenatal ultrasound. Ultrasound at one month of age demonstrates normal kidneys bilaterally. Physical examination is normal. The next step is
2
It is not uncommon for children with prenatally recognized hydronephrosis to have normal renal. ultrsou.nd after bi · Man of these represent patients with insignificant prenatal phys1olog1c d1lat1on. Spec1f1cally , in patients with a history of mild to moderate fetal hydronephro!s and a noral postnatal ultrasound , the latter obtained one to two months post art.um; add1t1onal evaluations are deemed unnecessary . The exception to this rule is the f1nd1ng of moderate to severe hydroureteronephrosis found on the prenatal evaluation with a normal post-partum ultrasound. The presence of ureteral dilation on the prenatal ultrasound has been ound to be associated.with a significant increased risk for neonatal UTls and high grade ves 1coureteral reflux despite a normal postpartal renal ultrasound. Documentation of ureteral dilation on the fetal ultrasound, therefore , results in the recommendation that a neonatal VCUG be obtained. Observation alone may miss the opportunity to diagnose high grade VUR and place this infant at significant risk. Repeat ultrasound at such a short interval is not indicated and, if normal, would not obviate the need for a VCUG. MAG-3 renal scan should be considered if the neonatal follow-up ultrasound evaluations demonstrate perslstenl hydroureteronephrosis and the VCUG reveals absence of reflux .. Antibiotic prophylaxIs IS recommended for infants found on neonatal ultrasound to have a dilated ureter and/or VUR. Unless the renal ultrasound reveals a structural abnormality, i.e ., poorly defined duplication anomaly, magnetic resonance urogram would not be indicated. Serial observation without the need for antibiotic prophylaxis would be indicated in the presence of hydronephrosIs alone without evidence of prenatal ureteral dilation. In these latter infants, a MAG-3 renal scan with a diuretic washout phase wou ld be indicated at two to three months of age.
A 16-year-old boy passes a stone composed of 100% cystine. This condition is characterized by:
3
Cystinuria is the result of inadequate renal tubular resorption of cystine, ornithine, lysine, arginine, and is also associated with inadequate intestinal absorption of these amino acids. Stones result from increased concentrations of cystine in the urine which precIpitate In aCldl1 urine. The other amino acids do not crystallize to form stones.
A 42-year-old infertile man has a semen volume of 2 ml, sperm density of 5 million/ml, and decreased sperm motility. Physical examination demonstrates a grade 3 left varicoce le and grade 1 right varicocele. His partner’s evaluation is normal. The next step is
5
Semen parameters improve to a greater extent after bilateral varicocelectomy as compared to just repairing the dominant varicocele in patients with a grade .’I-III varicoele and contralateral grade I varicocele. This approach does not extend to patients with a subclinical varicocele (those only detected by Doppler ultrasound). Transrectal ultrasonography all clomiphene citrate (Clomid) are not indicated in this setting. Intrauterine insemination ~another alternative but varicocelectomy is more cost effective. Intrauterine Insemination is not indicated because sperm concentration is too low. Age of the female partner is also an important consideration ; if partner is older, in vitro fertilization should be considered as treatment option.
A 14-year-old boy with myelodysplasia and a ventriculo-peritoneal shunt has acute abdominal pain. He underwent a sigmoid bladder augmentation six months ago. His pulse is 100 bpm and blood pressure is 100/70 mmHg. He has diffuse abdominal tenderness . Urine output over the past six hours is 70 ml. Cystogram shows no extravasation. The best management is l.V. hydration, broad spectrum antibiotics, and:
2
It is noteworthy that up to 50% of cystogram studies in cases of a ruptured augmented bladder may be negative for the injury; therefore, a negative cystogram does not rule out a bladder rupture. With this patient having clear clinical signs of acute peritoneal inflammation the differential diagnosis is . cystitis with peritoneal irritation (treated by antibiotic therapy’ and continuous bladder drainage and not requiring surgery), a loculated infected ventriculoperitoneal shunt (requiring a neurosurgical consultation), or a missed bladder rupture (requiring emergent surgery). Confirmation of suspected perforation of an augmented bladder is best achieved by performing a CT cystogram with a minimum of 300 ml of contrast placed in the bladder with a CT phase taken with the bladder distended and emptied. An abdominal CT without a cystogram may show a significant increase in peritoneal fluid if an infected VP shunt is present (false positive for bladder rupture) or, alternatively, a high false negative rate for rupture if a small bladder perforation is present and occluded by either small bowel or omentum. The performance of a CT cystogram with a minimum of 300 ml of contrast has been shown to dislodge the omentum or small bowel that would be plugging the bladder laceration and diagnosis of extravasated contrast is more readily found on the CT evaluation than the plain cystogram. Placement of a large bore suprapubic tube will not sufficiently divert urine or drain infected urine from the peritoneal cavity if a bladder rupture is present. Continuous catheter drainage along with I.V. antibiotics may be of benefit for severe cystitis but should only be pursued after documentation of the absence of a bladder perforation. Exploratory laparotomy would be indicated without a CT cystogram if the patient was clinically unstable and not responsive to fluid resuscitation.
A 26-year-old man has bilateral gynecomastia . Testicular examination is normal. Free testosterone is elevated and LH is decreased. The next step is:
3
Gynecomastia occurs in the male when there is an alteration of the testosterone-estradiol ratio which may be due to either reduced testosterone or elevated estradiol . The ddx of gynecomastia in an adult includes prolactin-secreting pituitary tumor, estrogenic drugs, exogenous testosterone, testicular tumors, and idiopathic. The elevated testosterone level with low gonadotropin levels in this patient is most suggestive of either exogenous testosterone or a testicular tumor. Exogenous testosterone will usually result in a reduction in the size and softening of the consistency of the testes. The most likely etiology is a testicular tumor despite his normal testicular physical examination. Leydig cell tumors are one of the more common non pa lpable testicular tumors and with their inherent abi lity to secret testosterone is the most likely diagnosis. If it had been a prolactin secreting tumor, the LH and the testosterone would be low. The MRI scan is not needed since the pituitary is responding normally and prolactinoma is not suspected. Gynecomastia in these patients is caused by the conversion of excess (unregulated) testosterone to estradiol by aromatase.
The characteristic that distinguishes primary hypoadrenalism from secondary (pituitary) hypoadrenalism is:
3
Since the amino acids of ACTH are identical to the terminal amino acids of melanocyte stimulating hormone (MSH), over-production of ACTH results in cutaneous hyperpigmentation. Adrenal loss results in lack of negative feedback and over-production of ACTH. Pituitary failure , on the other hand, results in a lack of ACTH. Vitiligo may also be seen in these patients. Primary hypoadrenalism (or Addison’s disease) is notable for hyponatremia (not hypernatremia) and hyperkalemia (not hypokalemia). Hypotension can be present In primary or secondary hypoadrenalism.
A two-year-old girl has a large abdominal mass. Chest and abdominal CT scans show clear lung fields with a 12 cm tumor arising from the center of the right kidney and two 3 cm exophytic tumors of the mid- and lower poles of the left kidney. The next step is:
1
There is a high probability that this two-year-old girl has bilateral Wilms: tumor. The current Children’s Oncology Group Wilms’ Tumor protocol recommends 6 weeks of chemotherapy without the need for renal biopsy in patients with highly probable bilateral Wilms’ tumor. The response to the chemotherapy is assessed after six weeks of chemotherapy by CT or MRI scans. Imaging at this time will quantify any reduction in tumor volume and allow the surgeon to assess the feasibility of renal sparing surgery. Tumors responding to chemotherapy may receive a second round of medications in an attempt to further reduce the size of the tumor allowing the surgeon to maximally salvage non-involved renal parenchyma. Tumors not responding to therapy will require bilateral open renal biopsy and lymph node sampling in order to both determine histopathology and guide further treatment. Although right nephrectomy and partial left nephrectomy may eventually be the ultimate outcome for this patient, chemotherapy is the initial step in management with renal preservation the primary goal.
During a laparoscopic donor nephrectomy, a 2 cm laceration is made in the splenic flexure of the colon. The most appropriate action is to:
1
Infection transmitted from a cadaver donor to an immunocompromised recipient can be rapidly fatal. Gross bacterial contamination of the operative site gives the surgeon only one single safe option which is to abandon the procedure.
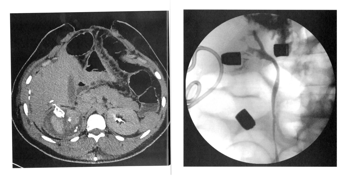
A 24-year-old man is shot in the right flank and sustains a grade 5 renal injury and extensive liver and bowel injury. During exploration, his liver and bowel injuries are stabilized and a nonpulsatile right retroperitoneal hematoma is identified with no intervention . One week after exploration, he develops increased drainage from a perihepatic drain. Creatinine of the drainage fluid is 8 mg/di. CT scan and retrogradepyelogram are shown. The next step is:

2
The patient has a delayed urine leak following high velocity penetrating renal trauma. CT scan and retrograde pyelogram reveal a urine leak. The next step is ureteral stent and urethral catheter drainage to prevent reflux of urine retrograde into the stent which may potentiate the leak and result in infection of the retroperitoneal hematoma. Ureteral stent placement may allow for resolution of the leak without operative intervention. The patient’s recent history of shattered kidney along with liver and bowel injury placement of a percutaneous nephrostomy tube would result in increased risk for infection of the perinephric hematoma and maybe difficult to place and maintain in the proper position due to the renal injury. Exploration of the right kidney is not ind icated at this time.
Antenatally diagnosd marked bilateral hydronephrosis is confirmed postnatally in a newborn girl. VCUG 1s normal. The next step is:
2
In this setting, one must determine if the hydronephrosis is causing significant obstruction and, if so at what level in the urinary tract. The ultrasound may show ureteral dilation which suggests obstruction at the ureterovesical junction, but the MAG-3 renal scan will determine the differential function and the degree of obstruction. The ideal timing for performing this study is during the second month of life when the GFR has increased several fold. DMSA scan would not provide information regarding degree or level of obstruction. The MR urogram may be useful after the first week of life, but does not provide dlfferenlial renal function. Antegrade studies are not needed at this point and should not be performed prior to the less invasive MAG-3 renal scan. CT urogram does not provide quantitative data and exposes the infant to unnecessary radiation and anesthesia.
3
The center for integration and coordination of bladder and urethral activity is in the pons (pontine micturition center). Suprasacral spinal cord injury disrupts the. necessary communication between the pontine micturition center and the sacral cord. This results In detrusor overactivity and detrusor external sphincter dyssynergia. Patients with this issue may have urinary incontinence, incomplete bladder emptying, and their upper tracts may be at risk.
Nephrocalcinosis of infancy:
4
Nephrocalcinosis of infancy has been found in up to 64% of low birth weight < 1500 g) Dr premature infants (gestational age of 32 weeks or less). Specifically, neonates who require oxygen for greater than four weeks of life, undergo dietary supplementation with high calonc formula (increased calcium and phosphate), and infants receiving loop diuretics are at the highest risk. The largest risk factor for nephrocalcinosis is in infants who have received looP diuretics (furosem ide) to treat fluid overload, improve pulmonary oxygenation, and Increase card iac output. Indeed, 70% of the patients with nephrocalcinosis will have a history of prolonged loop diuretic exposure. The normal hypercalciuric effect of furosemide found In adults is enhanced in infants by the reduced glomerular filtration rate and the decrease hepatic filtration/metabolism function associated with infancy. The reduction in GFR and decreased systemic clearance of loop diuretics by the liver will significantly prolong the half-life of this drug, resulting in excesslve hypercalciuria. In infants with clinically documented nephrocalcinosis, approximately 15% will develop renal calculi by five years of age. The calculi isolated from these patients are composed exclusively of calcium oxalate. The vast majority of these infants (85%) will completely resolve their nephrocalcinosis following stopping the use of loop diuretics. Although neonatologists will frequently replace the use of loop diuretics by using thiazides for fluid management issues in these critically ill infants, it is noteworthy that resolution of nephrocalcinosis has not been found to be significantly enhanced by the use of thiazides. Treatment of. infants diagnosed with nephrocalcinosis should be with stoppage of the loop diuretiCs and Interval follow-up with renal ultrasound until the nephrocalcinosis has resolved or alternatively renal calculi have been documented to develop and necessary treatment has been accomplished. There is no association of nephrocalcinosis of infancy to renal tubular acidosis. Increased dietary calcium and phosphate in the diet routinely found in infant high caloric formula supplements may at times actually
The initial nephrostomy tube puncture site in a horseshoe kidney compared to that in a normally positioned kidney is more:
1
Horseshoe kidneys may develop renal calculi, possibly as a result of high insertion of the ureter and relative stasis of urine. Patients with small, nonobstructing calculi in nondependent locations may be treated with SWL. However, obstructing calculi or those that are large or in dependent locations, are best treated with percutaneous techniques. The initial puncture is more medial than that for normally positioned kidneys and should be placed through a posterior calyx.
A newborn boy has a left-sided abdominal mass. Ultrasound reveals an infiltrative mass replacing the lower third of the left kidney. The right kidney appears to have a slightly increased echogenicity , but is otherwise normal. The next step is:
5
This disease process is most likely a congenital mesoblastic nephroma (CMN) and should be distinguished from a Wilms’ tumor by the patient’s age and the fact that CMN is typically infiltrative on imaging, whereas Wilms’ tumors displace and compress renal architecture. CMNs are the most common tumor in infants greater than four months of age, with a median age at the time of diagnosis of three months. In contrast, the median age for diagnosis of a Wilms’ tumor is 3.5 years. Two types of mesoblastic nephroma exist, the classic type which is far more common, and, provided surgical margins are negative, rarely recur and the cellular variant. The cellular variant consists of atypical spindle cells with frequent mitotic figures (25-30/10 hpf) and necrosis and is considered a variant of a fibrosarcoma. This. variant is associated with both local recurrence and widespread metastasIs. Surveillance by Interval SIX month abdominal ultrasounds for the first two years is usually recommended for the classIc variant and more aggressive follow-up with interval CT or MRI scans of the lungs and abdomen are recommended at three to six month intervals for the first two years for the cellular variant. Normal newborn kidneys are slightly echogenic, hence, the right kidney is normal in the boy presented here.
The factor most likely to increase the risk of a perirenal hematoma after SWL is:
1
Preoperative HTN, especially uncontrolled HTN, and bilateral application of SWL are risk factors for the development of perirenal bleeding. Patient size or weight, or stone size location and number do not correlate with this complication. Clinically significant peri-renal hemtomas occur in approximately 0.2-0.4 % of patients undergoing SWL. Most such patients can be managed with surveillance, although a third may require transfusion.
During transvaginal repair of a high vesicovaginal fistula, a Martius flap is harvested, but is of insufficient length to reach the fistula site. The next step is:
4
Uncomplicated vesicovaginal fistulas can be closed using meticulous technique and a multi· layer closure. Repair of more complex fistulae often requires the . use of well-vascularized tissue flaps positioned between the bladder and vaginal repair sites. The use of Martlus (fibrofatty tissue), myocutaneous labial (skin and fibrofatty tissue) or: more rarely, gluteal skin flaps can be used to repair low fistulas. Such flaps may not be of sufficient length to reach high fistulae. Peritoneal flaps can be harvested through the vaginal incision and are In close proximity to such fistulas. Use of peritoneum obviates the morbidity of an abdominal incision (necessary for harvesting the omentum) or an incision along the Inner thigh (necessary for harvesting the gracilis muscle).
A 26-year-man undergoes orchiectomy for seminoma. Abdominal CT scan and tumor markers are negative. He elects surveillance. The most accurate statement regarding his outcome over the next two years is:
4
The standard of care for decades in a patient with clinical stage I seminoma (negative CT scan and negative tumor markers) was retroperitoneal XRT. In patients receiving XRT for stage I seminoma, the risk of overall relapse is 5% or less and it would be extremely uncommon for such a patient to relapse with nonseminomatous elements. The major concern regarding the routine use of XRT In these patients was the risk of secondary malignancy, usually leukemias and lymphomas found in approximately 18% of patients 25 years after radiation therapy. To reduce the risk of secondary malignancy, surveillance may be a reasonable option. In a patient with stage one seminoma, there IS an approximately 15% risk of relapse of the tumor to retroperitoneal lymph nodes; almost all are salvaged provided they were reliable candidates for serial surveillance and were not lost to follow-up. Visceral and pulmonary relapse of seminoma or alteration to non-seminomatous elements is extremely uncommon in patients with stage I seminoma. Single agent carboplatln IS the other option in place of either XRT or observation for clinical stage I seminoma and is associated with a 3-5% relapse rate in reported series.
A five-year-old boy has a two-week history of severe daytime urinary frequency . There is no history of UTI and urinalysis is negative. Physical and neurological examination are normal. The next step is voiding diary and:
1
This is a typical presentation of pediatric benign urinary frequency syndrome and is best managed expectantly. Reassurance is all that is necessary with the expectation that the symptoms will resolve in .one to three months. It is important to confirm that both the physical examination and UA are normal with no evidence of neurologic abnormalities such as a spinal dimple or lower extremity weakness or UTls. In most instances, pharmacological therapy and invasive investigation or therapy have proven to be unsuccessful and may actually worsen symptoms. In almost all cases, these symptoms resolve spontaneously within a few months and the family should be reassured.