What is the aetiology of LUTS in men and women?
Most common:
Men: BPE (BPH)
Women: UTI
Drinking fluids late at night, excess alcohol intake, and excess caffeine intake can exacerbate LUTS. Polyuria caused by T2DM can mimic LUTS

How can LUTS be categorised?

What are some important questions/examinations to do when a patient presents with LUTS?
- Associated symptoms: visible haematuria, suprapubic discomfort, or colicky pain
- DHx: anticholinergics, antihistamines, bronchodilators are known to exacerbate LUTS
- Consider DRE and examination of external genitalia
- IPSS score
What are some investigations done when patients present with LUTS?
Initial
Specialist
- Urodynamic studies to look at flow rate, detrusor pressure

How are people with LUTS managed conservatively and pharmacologically, apart from treating the underlying cause?
Conservatively
Pharmacologically

What are some complications of leaving LUTS untreated?
How can haematuria be classified and what is the aetiology?
- Visible (VH) OR
- Non visible (a-NVH/s-NVH): symptomatic or asymptomatic OR
- Pseudohaematuria: foods like beetroot, medication (such as rifampicin or methyldopa), hyperbilirubinuria, myoglobinuria

What questions do you need to ask in a history with someone presenting with haematuria?
Abdominal exam, possible DRE and possible genital exam
How are patients with haematuria investigated?
Initial
Specialist Ix

What is acute urinary retention and the aetiology of this?
New onset inability to pass urine which leads to pain and discomfort with significant residual volumes
Most common cause: BPH
Obstructive causes: urethral stricture, prostate cancer, constipation, UTIs
Medication: antimuscarinics, spinal anaesthesia
Neurological: severe pain, peripheral neuropathy, iatrogenic nerve damage during pelvic surgery, UMN disease (MS, Parkinson’), Bladder Sphincter Dysinergy

What are the clinical features of acute urinary retention?
Do PR to rule out constipation and prostate pathology

What are some investigations that are done when acute urinary retention is suspected?
- PR/PV exam
-Post-void bedside bladder scan
- Post catheterisation CSU/MSU
- Routine bloods (FBC, U+E’s, CRP)
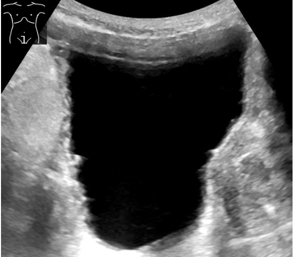
- US KUB scan if suspect high pressure retention to look for hydronephrosis
- Monitor for post-obstructive diuresis

How is acute urinary retention managed?
- Immediate catheterisation and measure residual volume
- Treat underlying cause e.g Tamsulosin for BPH
- If large retention volume (>1000ml) monitor for post-obstructive diuresis

How long should a catheter be left in place after an episode of acute urinary retention and what complications would occur if they had not been treated with catheterisation?
- High-pressure urinary retention: keep in place until definitive treatment (e.g TURP) to prevent further rentions that could cause an AKI and eventually CKD
- No evidence of renal impairment: TWOC 24-48 hours after insertion. If unsuccessful try again in TWOC clinic after longer interval. If mutiple failed attempts long term catheter until definitive treatment
Complication: AKI, CKD, renal scarring, UTI, renal stones due to stasis

What is the pathophysiology of chronic urinary retention?
Most common in men: BPH
Most common in women: pelvic prolapse (such as cystocele, rectocele, or uterine prolapse)
Other: urethral strictures, prostate cancer, pelvic masses (fibroids), peripheral neuropathies, UMN diseases (MS)
How does chronic urinary retention present?
Do DRE to check for prostate enlargement
How is chronic urinary retention investigated and managed?
Ix
Mx

What are the complications of chronic urinary retention?

What are the different compositions of renal tract stones (kidney and ureter stones)?
More common in males <65
- Calcium (80%): calcium oxalate (35%), calcium phosphate (10%), or mixed oxalate and phosphate (35%)
- Struvite: magnesium ammonium phosphate, cause staghorns
- Urate: only radiolucent stones
- Cystine

What is the pathophysiology of renal tract stones?
Oversaturation in the urine
Cystine: homocystinuria affects the absorption and transport of cystine in the bowel and kidneys so builds up
Urate: high levels of purine in the blood, from diet (e.g. red meats) or through haematological disorders (such as myeloproliferative disease)
Hypocitraturia: citrate is a stone inhibitor so less of it causes stoens to form

What are the clinical features of renal calculi and what are some differential diagnoses?
DD: pyelonephritis, ruptured AAA, biliary pathology, bowel obstructon, MSK pain, lower lobe pneumonia

How are suspected renal calculi investigated?
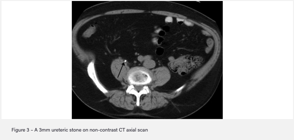
- Gold standard imaging: Non-contrast CT KUB
- Other imaging: AXR with IV urogram (most stones not radiolucent and high radiation exposure) or US to assess for hydronephrosis

How are renal calculi managed initially after diagnosis on investigation before definitive management?
Initial
- Sufficient analgesia (opioids or PR NSAIDs)

How are renal calculi managed definitively if they are over 5mm so cannot be passed spontaneously with hydration and analgesia?
Extracorporeal Shock Wave Lithotripsy (ESWL): sonic waves break up then pass spontaneously. Used for small stones and radiological guidance. Contraindicated in pregnancy or a stone over a bony landmark e.g pelvis
Percutaneous nephrolithotomy (PCNL): large and staghorn calculi. Percutaneous access then nephroscope put into renal pelvis and stones fragmented by lithotripsy
Flexible uretero-renoscopy (URS): passing a scope retrograde up into the ureter, fragmented through laser lithotripsy and the fragments subsequently removed
