Qual o diagnóstico?

Claudicação/angina mesentérica
(essa é a tríade)
Tríade febre com calafrios + icterícia + dor abdominal. Qual o diagnóstico?
Colangite
Idoso com abdome agudo, qual etiologia eu sempre tenho que colocar no diagnóstico diferencial?

Neoplasias
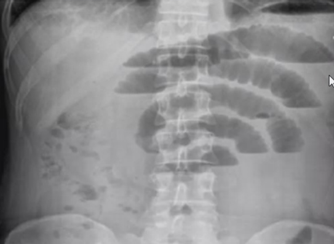
Qual o diagnóstico?
Obstrução intestinal alta

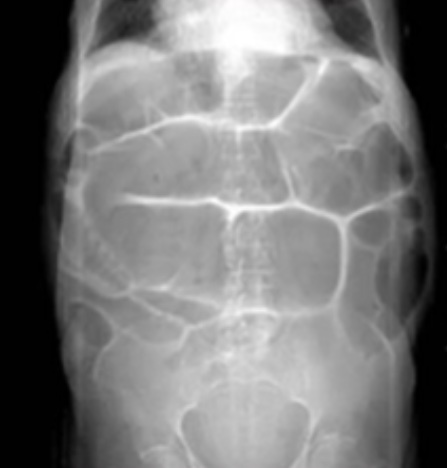
Qual o diagnóstico?

Obstrução intestinal baixa
2 exames contraindicados em pacientes com diverticulite aguda

(injeta-se ar, o que pode piorar a inflamação)
Tríade de Charcot

Qual o diagnóstico?

Abdome agudo hemorrágico
V ou F: o tratamento indicado da diverticulite aguda é cirúrgico

Falso. Pode ser que precise ou não de cirurgia
Qual o exame de imagem padrão-ouro no abdome agudo?

TC após administração de contraste iodado por via EV
Qual o diagnóstico?
Obstrução intestinal baixa

Qual o diagnóstico?
Apendicite

Quando pensar em apendicite complicada?
> 48 horas de evolução

Pêntade de Reynolds

Qual o sinal: dor à descompressão brusca da FID?

Qual o sinal?

Sinal de Grey-Turner: equimose em flanco
Qual a principal causa de abdome agudo inflamatório?
Apendicite

Qual o diagnóstico?

Pancreatite crônica: o normal é não ver o pâncreas no raio-x, quando visualiza é pela presença de calcificações
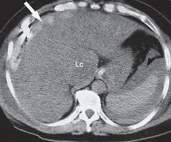
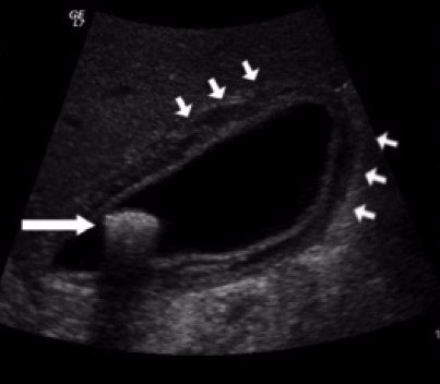
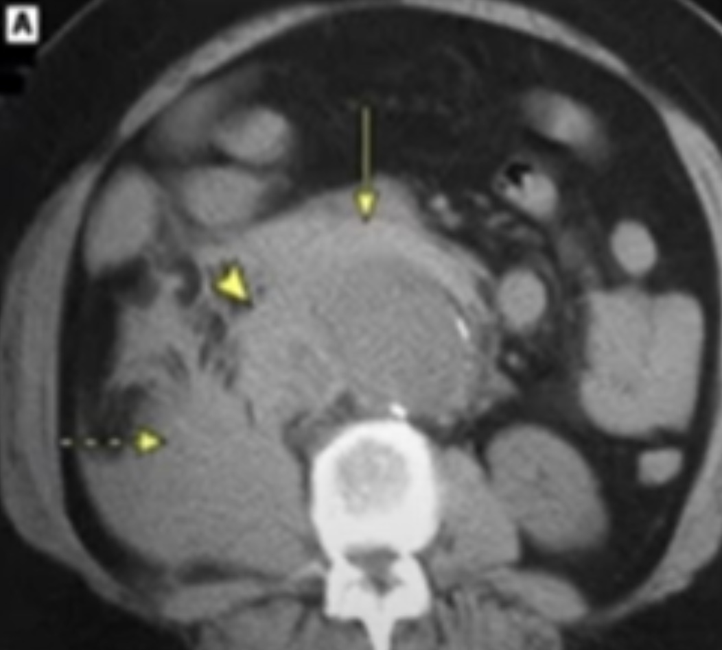
Qual o diagnóstico?

Colecistite aguda
Qual escala pode ser aplicada em paciente com suspeita de apendicite para avaliar necessidade de investigação complementar e indicação de TTO cirúrgico?

Qual o diagnóstico?

Obstrução intestinal alta
(empilhamento de moedas + aspecto central no Raio-x)

Pancreatite classificação de Atlanta moderada

Falência transitória ou complicações não persistentes (duram até 48h)
Qual o tratamento do abdome agudo vascular?

Cirúrgico: angioplastia (stent, fibrinólise, trombectomia)

Qual o diagnóstico?

Ruptura de aorta 🩸
(causa de abdome agudo hemorrágico)