Define ophthalmoscopy
Looking in the back of the eye
Sudden visual loss questions to ask the patient
Age
medical condition
visual loss transient, persistent, or progressive?
visual loss monocular or binocular?
Severe is the loss of vision?
What are the 6 things included in an eye exam?
What is a media opacity
Something in the eye that prevents the patient from seeing out of their eye and you from seeing into it)

abnormal red reflex
(indicates retinoblastoma- urgent referral)
Define red reflex


Symptoms of acute angle closure glaucoma
(black people 1/3 will not have pain)

Acute angle closure glaucoma can develop from which medical procedure?
Dilating a patient’s eye with a narrow angle glaucoma
(if it does, they need to be referred immediately)

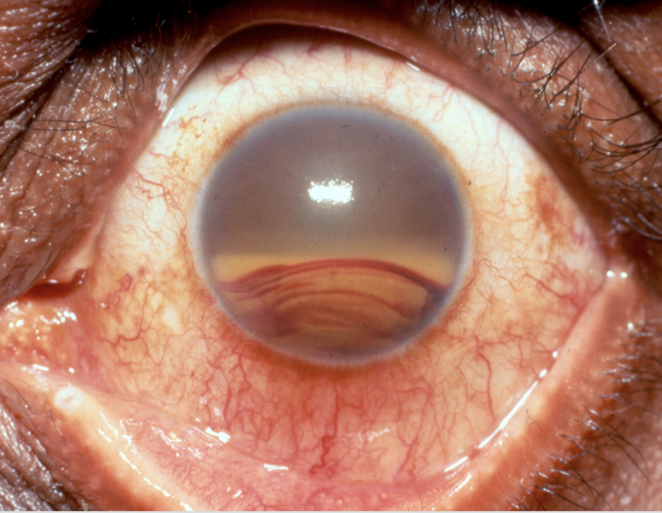
What is this?

trauma to the eye may disperse blood in anterior chamber
(if they sit for 20 minutes the blood will collect at the bottom)


Mature cataract: total opacity to the eye

Acute vitreous hemorrhage

Retinal detachment
(must be dilated to view)
Retinal detachment symptoms
+/- A shadow curtain Falls over there vision

Why is a retinal detachment and urgent referral?


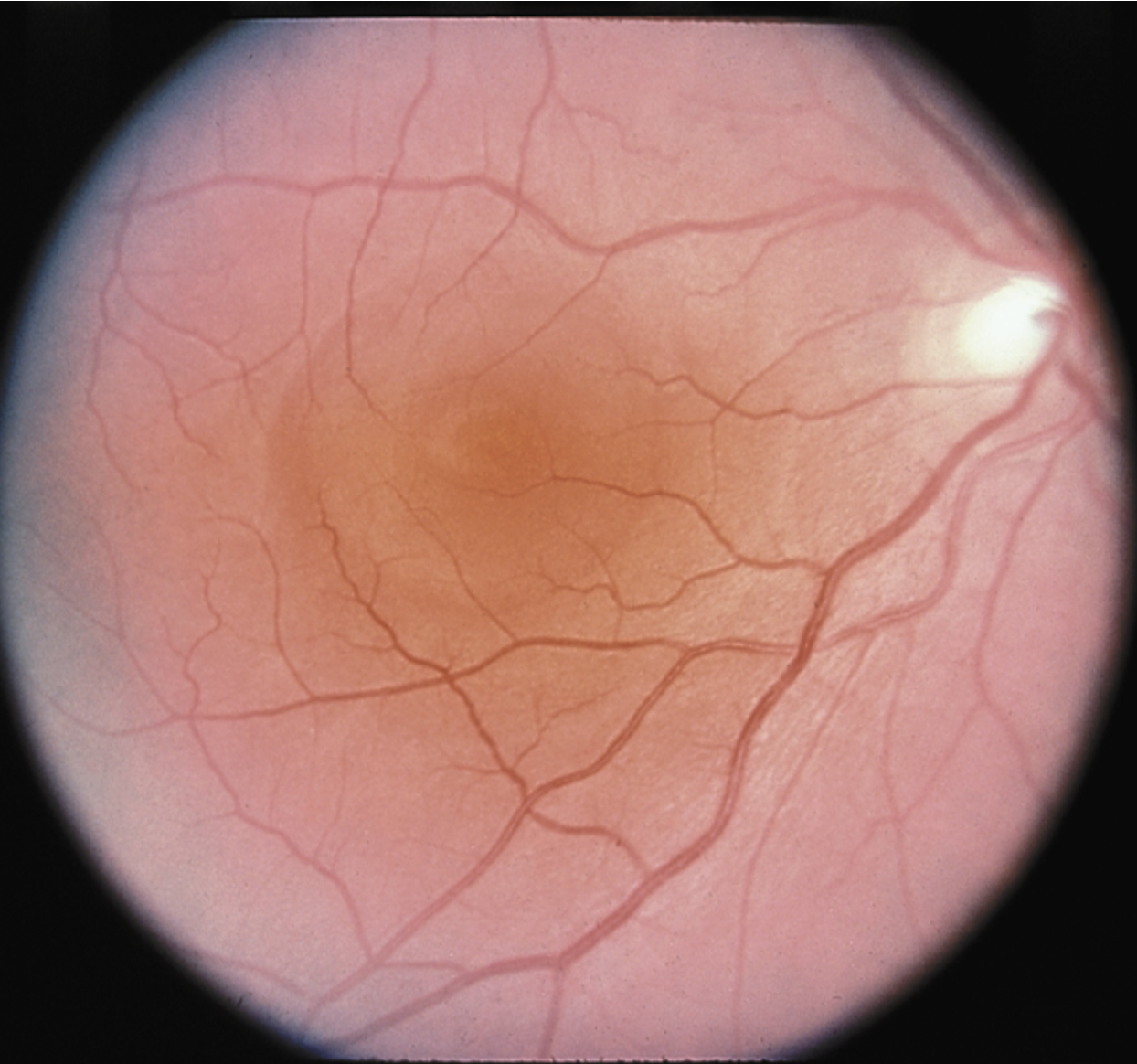
Dry form of macular degeneration
(note pigmentation)
MCC have legal blindness in the United States

Most patients with the dry form of macular degeneration will also develop ______.

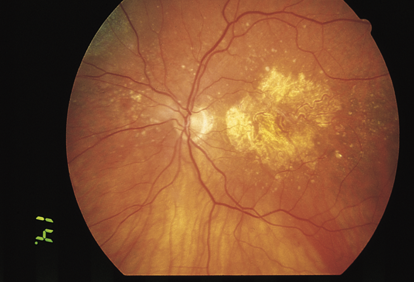
The wet form of macular degeneration


What form of macular degeneration
(donut looking structure = retinal pigment epithelium elevation, deep net of new vessels push it upward. also seen with hemorrage)
What is a typical sign of this condition?

The patient will say that tables look tilted and telephone poles look bent
(Wet Macular Degeneration - urgent)

Leaking sub retinal net in the fovea visualized via fluorescein angiography (injected into arm vein)
(trmt: anti-VEGF)
What are these? Where are they typically seem?

(typically do not obstructs the artery; typically comes from the Atria of the heart or carotid a.)
How will the patient present?

Sudden blindness
(the cherry red spot is the only part of the normal retina left)

What is the cause of this?

Stroke
(if this is not fixed immediately, they will be permanently blind)