How do you obtain accurate ocular history?

Acute angle closure glaucoma
(Can be differentiated from open angle glaucoma, because it creates a red eye)

Ciliary flush episcleritis

Viral conjunctivitis
(note the cobblestone appearance)
Why can’t you use steroids for this condition?

It will eat through the cornea
(herpes simplex keritisis)

Nodular scleritis
(Cornea will be normal with a slight left exam)

symptoms

tearing
treatment


Treatment

(20% recurrence rate, experimental new procedure with amniotic membrane graft w/no recurrence)

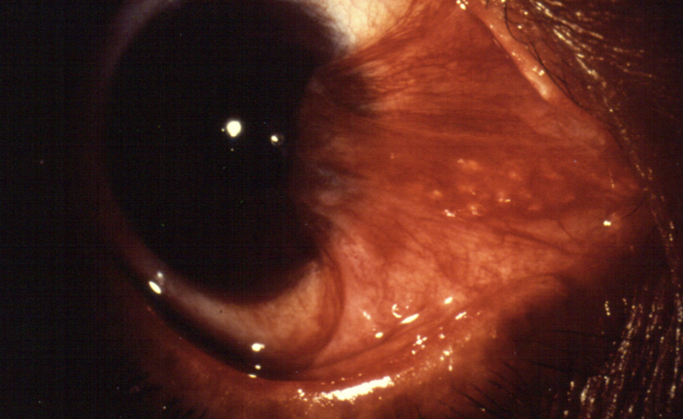
Purulent conjunctivitis (bacterial)
Notice creamy-white discharge and conjunctival hyperemia (common in many infections of conjunctiva)
Most common complaint with patients presenting with pure electric providers?

Waking up with a crusted shut eyelid
(vision & cornea fine, red eye present)

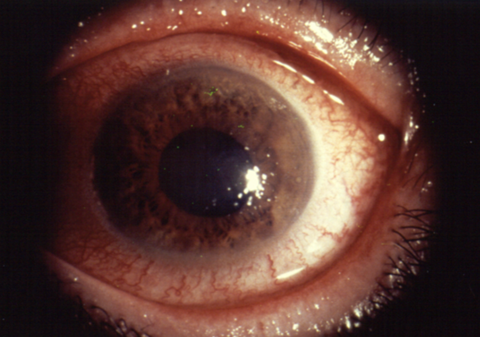
Large keratic percipitate: clumps of white cells are sticking to the endothelium of the cornea

Corneal edema (corneal disruptions) that are obvious by the loss of a sharp corneal reflex to a more dulled & diffuse one.

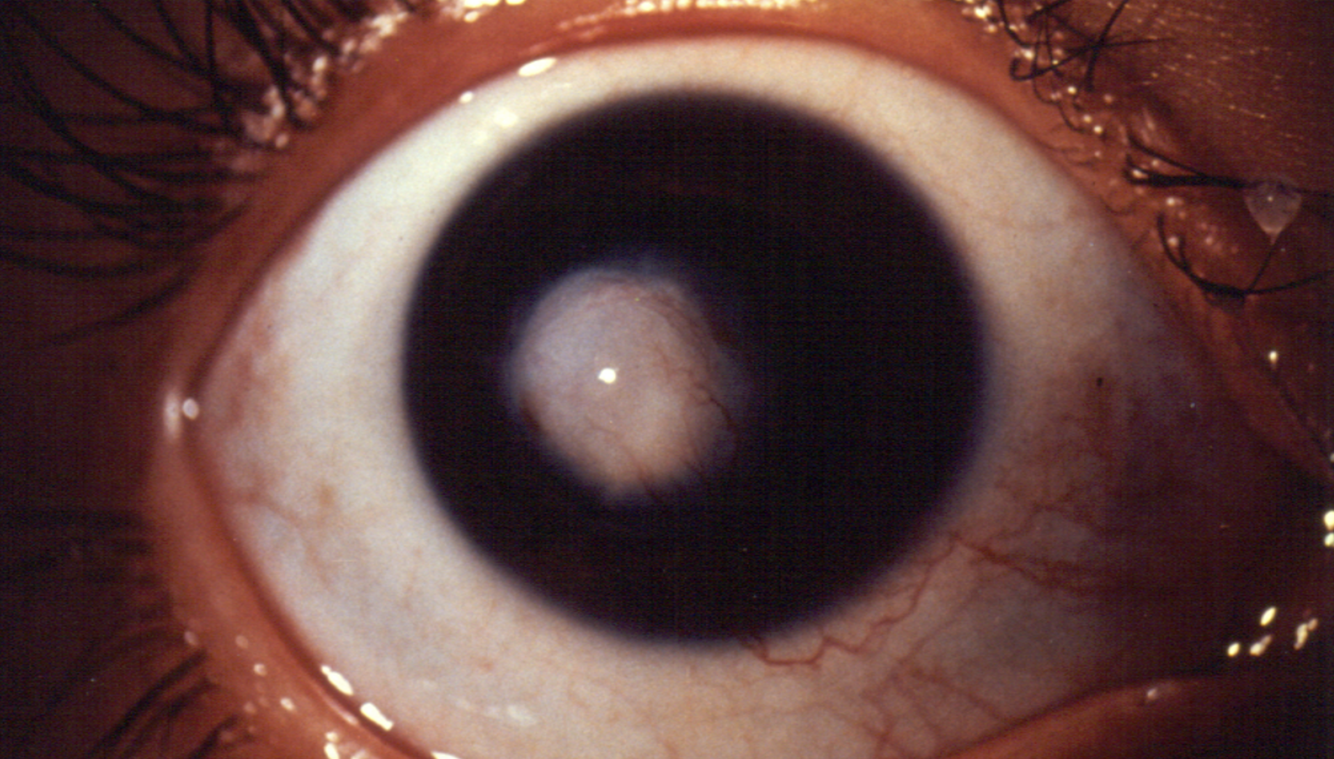
Corneal leukoma (scar)

Irregular corneal reflex- Epithelium disruption
(Irregular corneal reflex caused by a booklice irregularity from the normal a shark light reflect)

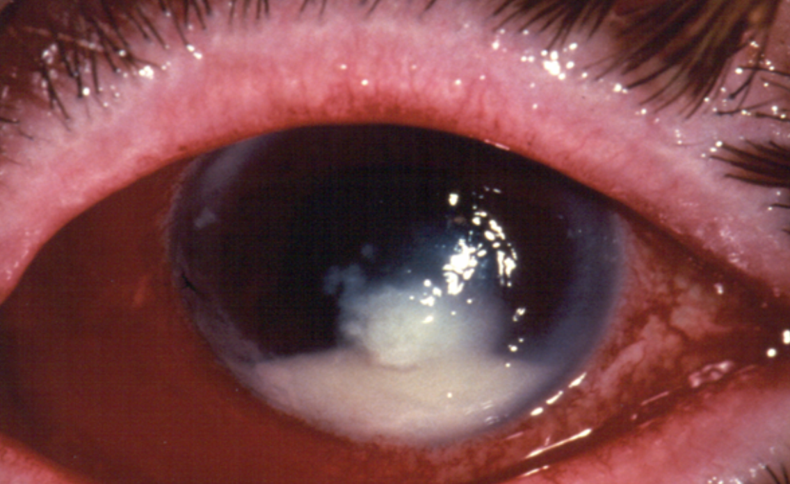
Corneal ulcer - bacterial with hypopyon
The eye shows a white corneal opacity w/ and irregular corneal reflex, along w/ that there is a prominent layer of purulent materal at the inferior aspect of the anterior chamber (hypopyon)

Chronic proptosis due to orbital tumor

Treatment: radiation, eye drops to keep it moist (otherwise it will dry out and perforate)
(they may develop nerve defect after)
What is this? trmt?

Syringomas - milia
excise - will leave a scar

(If there are more than four of these instances in one year you must refer to hematologist)
Treatment


Entropion: preseptal orbicularis rolls over the pretarsal orbicularis and rolls the eyelid inwards.
Eyelashes rub on the eye and scratched the cornea
(ENtropion goes INward)