Define stroke
Acute focal injury are the central nervous system by vascular cause → deficit
(irreversible brain damage, brain cell death)
Two main different types of stroke
New criteria for dx stroke
TOAST
stroke is the _______ MC cause of death in the US
3rd
Types of ischemic Strokes
Difference between a ischemic stroke and “mini stroke”
Modifiable risk factors for stroke (5)
Stroke: non-modifiable risk factors (4)
What is included in the ABCD2 score?
3 Types of TIA
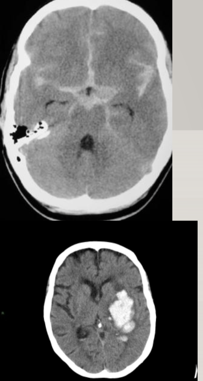
2 Types of hemorrhagic stroke
(star of death: aneurysm)
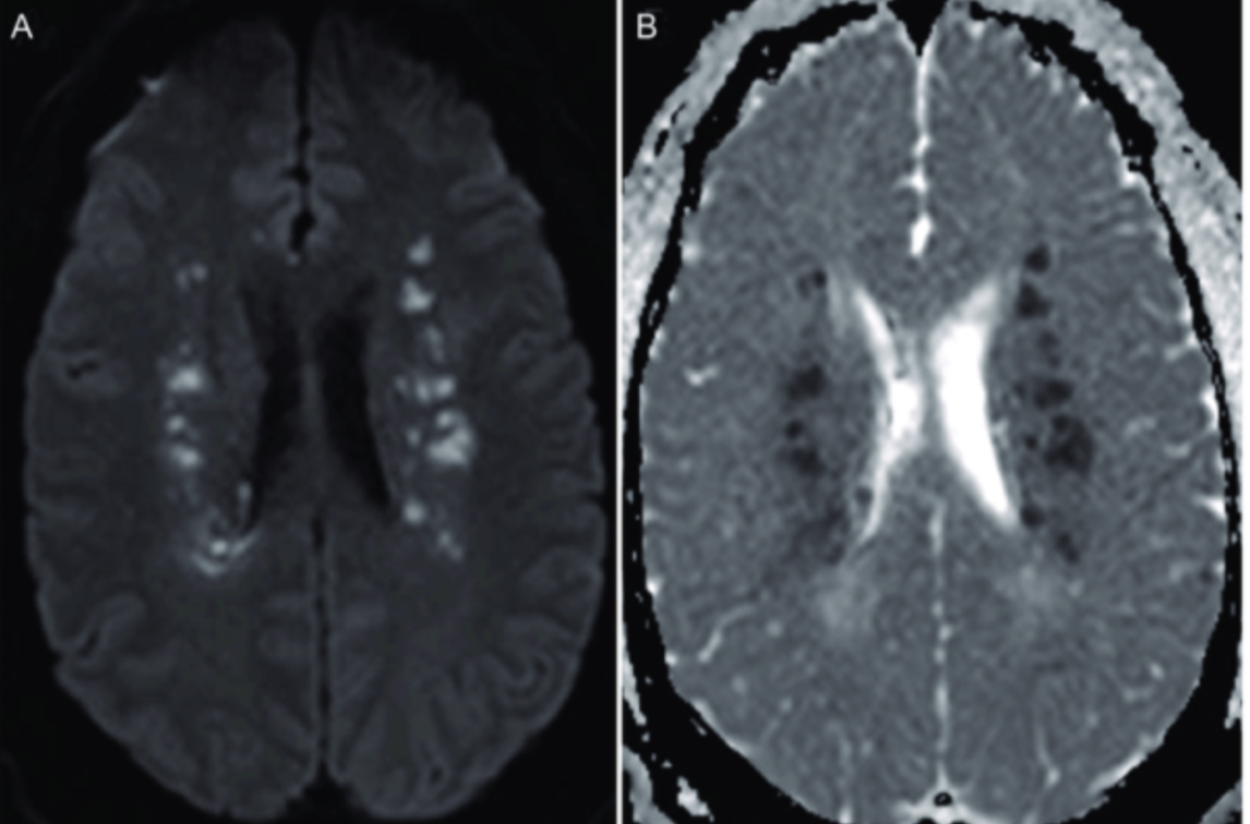
Watershed stroke looks like ______ on imaging
linear pattern
2 Causes of ischemic stroke
What is an important reference for determining where the acute ischemic stroke is in the brain?
Motor homunculus

ACA territory stroke: symptoms (5)
(supplies frontal lobe & parietal lobe)

MC LVO’s
MCA territory stroke
(usually dominant (left) hemisphere)

PCA territory stroke: presentation
(occipital lobes

MCA territory stroke: symptoms

Thalamic stroke (aka Lacunar Strokes (means “little lake”)) is a _____ etiology.
hypertensive
Pure motor stroke (lacunar stroke syndrome): deficit
Contralateral hemiparesis: weak face, arm, leg
(pure sensory is numb face, arm, leg)

Thalamic stroke sensory deficits (aka Pure sensory stroke or lacunar stroke syndrome) & nuclei involved.
Pure sensory stroke (lacunar stroke syndrome): presentation
Contralateral hemisensory loss: numb face, arm, leg
(pure motor is contralateral hemiparesis: weak face, arm, leg)
Thalamocapsular stroke (aka sensorimotor stroke or lacunar stroke syndrome) is combined ____ deficits. Damage to the ____ (2).
(mix between pure motor & pure sensory)
Dysarthria-Clumsy Hand (lacunar stroke syndrome): presentation (2)