Akutt leukemi - Amboss Flashcards

(56 cards)

1
Q

Hvordan er epidemiologien til akutt lymfatisk leukemi (ALL)?

A
How well did you know this?
1
Not at all
2
3
4
5
Perfectly
2
Q

Hvordan er epidemiologien til akutt myeloid leukemi (AML)?

A
How well did you know this?
1
Not at all
2
3
4
5
Perfectly
3
Q

Hvilke etiologi har ALL?

A
More commonly associated with AML than ALL.
How well did you know this?
1
Not at all
2
3
4
5
Perfectly
4
Q

Hvilken etiologi har AML?

A
Some hematopoietic disorders can progress to AML, although this process may take months or even years.
How well did you know this?
1
Not at all
2
3
4
5
Perfectly
5
Q

Hvordan klassifiserers ALL ved bruk av FAB?

A
How well did you know this?
1
Not at all
2
3
4
5
Perfectly
6
Q

Hvordan klassifiserer ALL jmf. WHO?

A
Precursor lymphoblastic leukemia encompasses the historical FAB classification L1 and L2 subtypes. L3 (Burkitt lymphoma) is now classified as a mature B-cell lymphoma.
How well did you know this?
1
Not at all
2
3
4
5
Perfectly
7
Q

Hvordan klassifiserer man ALL basert på immunofenotyping?

A
Burkitt lymphoma with secondary marrow or peripheral blood involvement.
How well did you know this?
1
Not at all
2
3
4
5
Perfectly
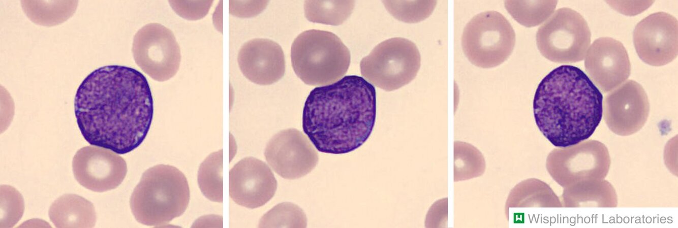
8
Q

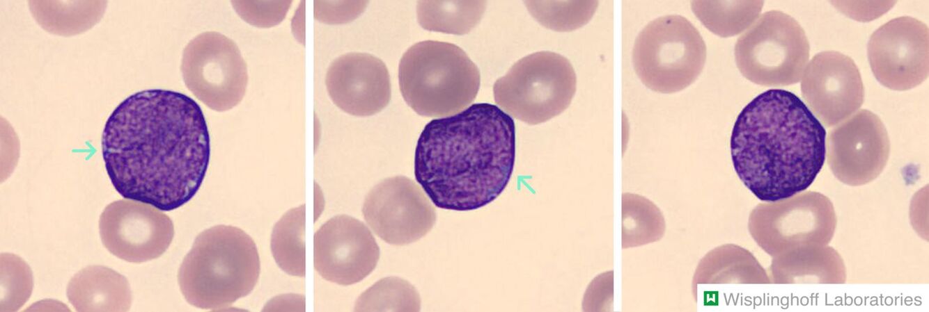
Hva viser bildet?

A
B-cell acute lymphoblastic leukemia: Photomicrographs of a peripheral blood smear (H&E stain; very high magnification); The large basophilic cell in the center of each photomicrograph is a lymphoblast, identifiable by its large spherical nucleus surrounded by a thin rim of cytoplasm (high nucleocytoplasmic ratio). The nucleus of the lymphoblasts is often indented (green arrows) and shows fine loose (noncondensed) chromatin. Lymphoblasts differ from lymphocytes, which are smaller in size with smaller nuclei, condensed chromatin, and more cytoplasm. The presence of numerous lymphoblasts in a peripheral blood smear is indicative of lymphoblastic leukemia. The diagnosis of B-cell ALL was confirmed on immunophenotyping. Note: Basophilic remnants (Howell-Jolly bodies) are visible within the erythrocytes in the last photomicrograph, indicating (in this case) increased hematopoiesis.
How well did you know this?
1
Not at all
2
3
4
5
Perfectly
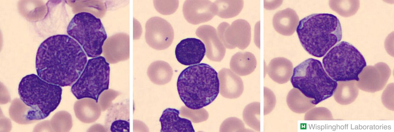
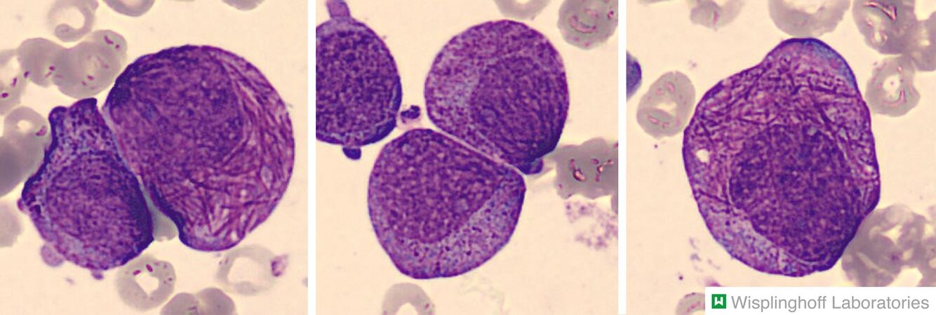
9
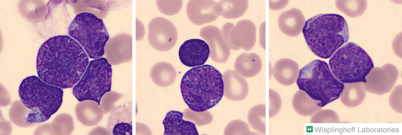
Q

Hva viser bildet?

A
T-cell acute lymphoblastic leukemia: Photomicrographs of a peripheral blood smear (H&E stain; very high magnification); The basophilic cell clusters in the center of each photomicrograph are mainly composed of lymphoblasts, identifiable by their large size, large spherical nucleus that is surrounded by a thin rim of cytoplasm (high nucleocytoplasmic ratio). The nucleus of the lymphoblasts is often indented and shows fine loose (noncondensed) chromatin. Lymphoblasts differ from lymphocytes, which are smaller in size with smaller nuclei, condensed chromatin, and more cytoplasm. The presence of numerous lymphoblasts in a peripheral blood smear is indicative of lymphoblastic leukemia. The diagnosis of T-cell ALL was confirmed on immunophenotyping. Note: Basophilic remnants (Howell-Jolly bodies) are visible within some of the erythrocytes, indicating (in this case) increased hematopoiesis.
How well did you know this?
1
Not at all
2
3
4
5
Perfectly
10
Q

Hvordan klassifiserer AML jmf. FAB?

A
The French-American-British (FAB) classification distinguishes between eight subtypes of AML, according to the histopathological appearance of the cells.
How well did you know this?
1
Not at all
2
3
4
5
Perfectly
11
Q

Hvordan klassifiserer AML jmf. WHO?

A
How well did you know this?
1
Not at all
2
3
4
5
Perfectly
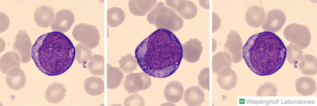
12
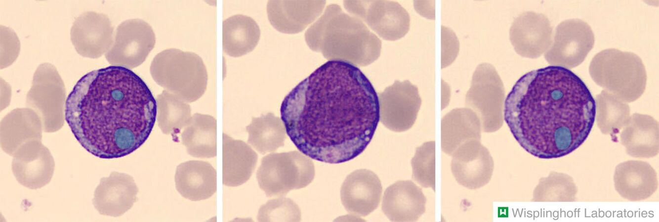
Q

Hva viser bildet?

A
Acute monocytic leukemia: Photomicrographs of a bone marrow smear (H&E stain; very high magnification); The large basophilic cell visible in each photomicrograph is a monocyte, identifiable by its large size, folded or lobed nucleus with fine chromatin and prominent nucleoli (green overlay), and abundant granular cytoplasm with cytoplasmic vacuoles. Numerous monocytes on bone marrow biopsy is characteristically seen in acute monocytic leukemia. The diagnosis is confirmed on immunophenotyping.
How well did you know this?
1
Not at all
2
3
4
5
Perfectly
13
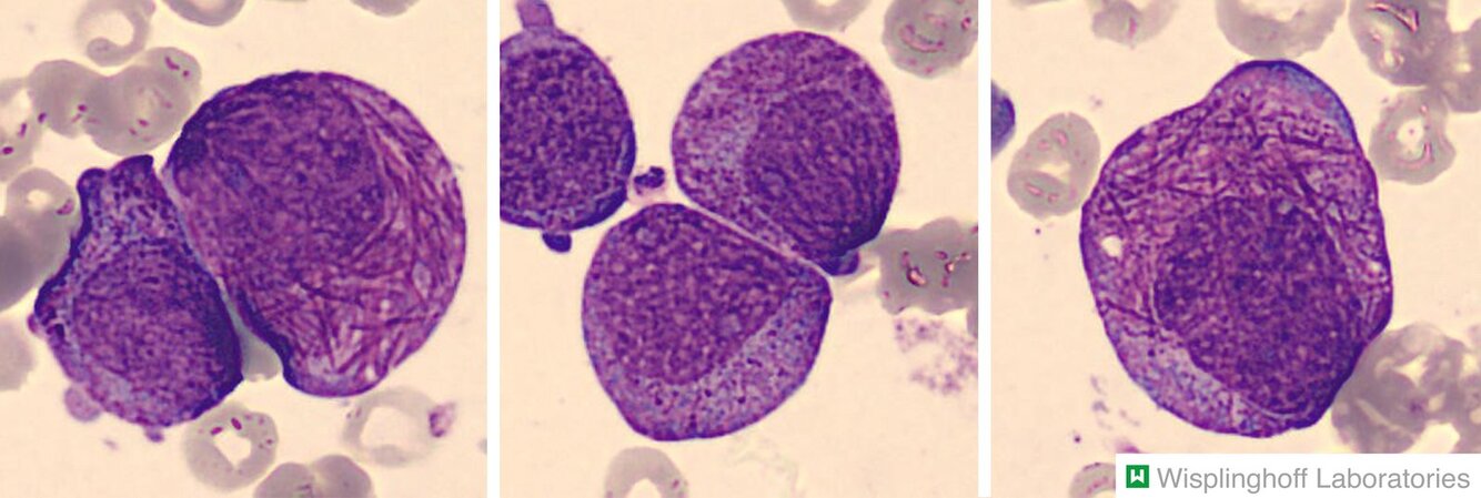
Q

Hva viser bildet?

A
Acute promyelocytic leukemia; Photomicrographs of a peripheral blood smear (H&E stain; very high magnification): The large basophilic cells are promyelocytes, identifiable by their eccentric nuclei and abundant basophilic cytoplasm containing numerous Auer rods (rod-like intracytoplasmic inclusion bodies). This type of hypergranular leukemic promyelocyte is often still referred to as a “faggot cell” for the resemblance of accumulation of Auer rods to a “bundle of sticks,” although the term is typically avoided today due to its derogatory associations. The presence of promyelocytes containing Auer rods in a peripheral blood smear is characteristic of acute promyelocytic leukemia. Note: Basophilic remnants (Howell-Jolly bodies) are visible within most of the erythrocytes, indicating (in this case) increased hematopoiesis.
How well did you know this?
1
Not at all
2
3
4
5
Perfectly
14
Q

Fyll inn figuren

A
Hematopoiesis; The stages of hematopoiesis, a process by which pluripotent hematopoietic stem cells in the bone marrow differentiate into two main types of precursor cells: myeloid and lymphoid. Myeloid precursor cells differentiate into erythrocytes, leukocytes, and thrombocytes. Lymphoid precursor cells differentiate into natural killer cells (NK cells) and B and T lymphocytes. Dendritic cells, which are antigen-presenting cells, develop from both myeloid and lymphoid precursors.
How well did you know this?
1
Not at all
2
3
4
5
Perfectly
15
Q

Hvordan er patofysiologien ved akutt leukemi?

A
Mutations result in activation or inactivation of genes (e.g., Philadelphia chromosome, t(15;17)) that affect the proliferation and maturation of bone marrow cells.
How well did you know this?
1
Not at all
2
3
4
5
Perfectly
16
Q

Hva er klinikken ved akutt leukemi avhengig av?

A

Clinical features are either related to bone marrow failure, infiltration of organs by leukemic cells, or a combination of both.

How well did you know this?
1
Not at all
2
3
4
5
Perfectly
17
Q

Hvilke generelle kliniske tegn forekommer ved akutt leukemi?

A
Some patients report having nonspecific symptoms (fatigue) for a few months prior to presentation. Hepatosplenomegaly is more common in ALL than AML, occurring in > 60% of individuals with ALL and approx. 10% of individuals with AML. In AML, it may suggest the presence of a previous myeloproliferative disorder.
How well did you know this?
1
Not at all
2
3
4
5
Perfectly
18
Q

Hvilken klinikk forekommer ved ALL?

A

Fever and lymphadenopathy are rare in AML, but can be common first signs in ALL!

Remember metastasis for ALL by thinking of the following: ALL metaStaSizeS to the CNS and teSteS.

Note that fever as a constitutional symptom in the absence of infection is typical for ALL, but not AML.
How well did you know this?
1
Not at all
2
3
4
5
Perfectly
19
Q

Hvilken klinikk forekommer ved AML?

A
Caused by myeloblasts infiltrating the mucosa.
How well did you know this?
1
Not at all
2
3
4
5
Perfectly
20
Q

Hvordan skal feber hos en pasient med akutt leukemi tolkes?

A

Fever in a patient with acute leukemia must always be treated as a sign of infection until proven otherwise!

How well did you know this?
1
Not at all
2
3
4
5
Perfectly
21
Q

Hva viser bildet?

A
Leukemia cutis; Multiple erythematous papules and nodules are seen on the face and neck of this patient as a result of infiltrating malignant neoplastic cells accumulating in the dermis.
How well did you know this?
1
Not at all
2
3
4
5
Perfectly
22
Q

Hvordan tilnærmer man seg en pas. med mistenkt akutt leukemi?

A
How well did you know this?
1
Not at all
2
3
4
5
Perfectly
23
Q

Hva kan man si om funnene på evt. blodprøver ved akutt leukemi?

A

Findings on initial laboratory studies are usually nonspecific but may help to identify potentially life-threatening acute complications.

24
Q

Hvilke funn forekommer ved akutt leukemi av hhv.:
- Leukocytter
- Trombocytter
- Hemoglobin
- Blodutstryk

A
Although the WBC count may be normal or even elevated in patients with acute leukemia, the WBCs will be immature and nonfunctional. In some patients, levels of only certain types of WBC will be elevated, e.g., hypereosinophilia may be present prior to an ALL diagnosis. Even in mild thrombocytopenia, several different platelet abnormalities may be present (e.g., abnormal size and shape on smear), which may affect their function. This can result in impaired aggregation and adherence.
25
Hva kan man se på lever- og nyreprøvene ved akutt leukemi?
26
Hvilke funn kan forekomme ved utvidet metabolsk panel ved akutt leukemi?
27
Hva kan koagulasjonsprøver vise ved akutt leukemi?
28
Hvilke histopatologiske funn er typiske for ALL?
Cell morphology can confirm the diagnosis of acute leukemia, but in most cases, it is necessary to complete immunophenotype and genetic studies before selecting a treatment.
29
Hva er histopatologiske funn ved AML?
Cell morphology can confirm the diagnosis of acute leukemia, but in most cases, it is necessary to complete immunophenotype and genetic studies before selecting a treatment.
30
Hva er "leukemisk hiatus"?
31
Hva viser bildet?
32
Hva viser bildet?
33
Hva viser bildet?
34
Hva viser dette bildet?
35
Hva viser dette bildet?
36
Hva viser bildet?
37
Hva viser pilen til?
38
Hva viser pilene til?
39
Hva er "Philadelphia kromosomet"?
40
Hvilke forskjeller er det mellom immunofenotypingen til ALL og AML?
41
Hvilke forskjeller er det mellom ALL og AML når det kommer til genetiske studier?
42
Hvilke screeningmuligheter har man for pas. med akutt leukemi?
43
Hvilken type behandling gir man pas. med akutt leukemi?
44
Hvor lenge bør kjemoterapien vare ved akutt leukemi?
Regimens vary depending on the subtype of leukemia, the age of the patient, and immunophenotype and genetic study results.
45
Hvilke medikamentelle kjemopreparater brukes ved ALL?
A chemotherapy regimen commonly used to treat *ALL* is hyper-**CVAD**: **C**yclophosphamide, **V**incristine, daunorubicin (or **A**driamycin), and **D**examethasone.
46
Hvilke medikamentelle kjemopreparater brukes ved AML?
47
Hvilke typer medikamentelle kjemopreparater brukes ved APL?
If APL is suspected, start treatment early with a differentiation agent (e.g., ATRA) without waiting for immunotype or genetic confirmation. Treatment may be adjusted later depending on the results. In APL, the **t(15;17) translocation** and subsequent formation of the *PML-RARA* fusion gene can inhibit myeloblast differentiation under physiological levels of retinoic acid. **High doses of ATRA (a vitamin A derivative)** may induce myeloblast differentiation and **promote remission**.
48
Hvordan vil man behandle CNS infiltrasjon ved akutt leukemi?
49
Hvilke type behandling er målrettet ved akutt leukemi?
50
Hvilken annen spesialbehandling er mulig ved akutt leukemi?
Autologous or allogeneic stem cell transplantation: Indications include patients with poor prognostic factors (e.g., unfavorable cytogenetics) and those who do not achieve remission with chemotherapy.
51
Hvilke onkologiske nødsituasjoner kan oppstå ved akutt leukemi?
52
Hvilke behandlingsrelaterte nødsituasjoner kan oppstå ved akutt leukemi?
53
Hva kan en sekundær hyperuremi føre til ved akutt leukemi?
54
Hvordan er 5-årsoverlevelsen til ALL og AML?
55
Hvilke prognostiske faktorer er ugunstige ved ALL/AML?
56
Hvilke gunstige prognostiske faktorer finner man ved ALL/AML?
To remember that translocation **t(12;21)** commonly manifests with **pediatric B-ALL** and usually has a **favorable outcome**, think: **“Kids flip back to health!”** (the **number 12** is **21 flipped around**).