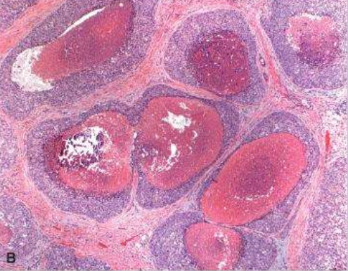
medullary carcinoma micrscopy
syncytial growth pattern
high nuclear grade
lymphoplasmacytic infiltrate
pushing, nonifiltrative border
ugly cells oftenin sheets

colloid (mucinous) carcinoma presetation
postmenopausal
slow growing
axillary metastases
slightly higher in BRCA1
most common regions for carcinoma
upper outer
sub areolar
4 molecular subtypes of carcinoma of breast
Laminal A
Luminal B (poorer prognosis)
HER2 psotive
Basal like (triple negative)

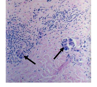
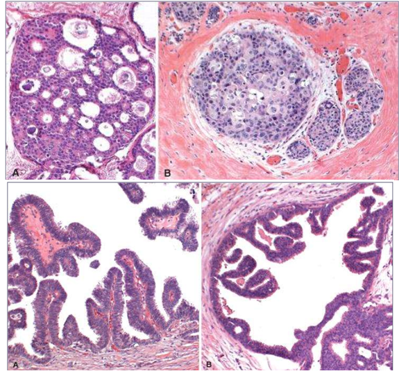
comedo carcinoma in situ
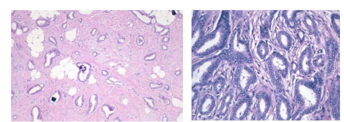
tubular carcinoma microscopic findings
single later of eptihelail cells linging glands
no myoepithelail layer
glands scattered in desmoplastic stroma

gynecomastia morpholgy
subareolar mass possible
periductal hyaline, collagenous tissue
epithelial hyperplasia of ducts
ductal carcnimoma in situ histopathoogical types
Comdeo
Non-comedo
(cribrifomr, micropapillary, papillary, solid, flat/clinging)
most important prognostic factor for invasive carcinoma in absence of distant metastases
axillary node status
Oncotype=
applicable for pt with early carcinoma, small, node negaative, ER+
expression of a set of genes predictsresponse to chemo
invasive lobular carcinoma microscopic features
small cells
single file pattern or targettoid pattern
no glands
intracytoplasmic mucin vacuoes
signet ring cells

invasive lobular carcinoma presentation
metastasis pattern
often postmenopause,
multicentric
often contralateral carcinoma (previous or lateer)
metatases: CSF, serosal surfaces, GI, Ovary, uterus, bone marrow
inflammatory carcinoma presentation
erythema
peau d’orange
induration of parenchyma
thickening of skin
lymphatic tumor emboli

non-comedo varieties of DCIS

cribriform
solid
papillary
micropapillary

medulalary carcinoma mutation
increased with BRCA1
does not overexpress Her2/Neu,
negative for ER/PR
colloid mucinous carcinoma mamogram, gross, microscopy
well circumscribed and lobulated
soft, pale blue gelatinous surface
cells nested in pools of mucin

male breast carcinoma presentation
discharge
axillary lymph imvolvement at presentation in half of cases
distant metatases > lungs, brain, bone ,liver
prognosis and treatment the same as in women
gynecomastia seen in
Klinefelter XXY
Cirrhosis
Alchol, marjuana, anabolics
functionign testicular tumor
most common histologic types of breast CA
ductal carcinoma in situ
lobular carcinoma in situ
invasive carcinoma - non specified
risk factors male breast carcinoma
1at degree relative
decreased teseticualr fucntion
epxposure to exogenous estrogens
increasing age, infertility, obesity
BRCA2 mutation
prognostic lab markers
estrogen receptor
progesterone receptor
HER2Neu FISH/IHC
tubular caarcinoma mammogram, gross, presentation
40s
multifocal, peripheral breast
mam: small stellate lesion in asymptomatic woman
gray, white, firm
medullary carcinoma mammogram and gross
mam: oval circumscribed mass
often mistaken for fibroadenoma
gors: soft, fleshy, lobulated bulging cut surface
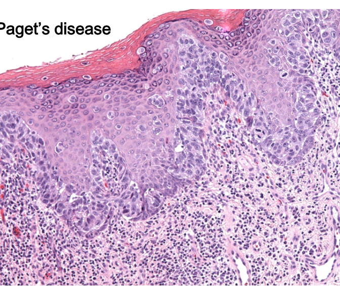
pagets disease of the ipple =
presentation and histo
DCIS extending to nipple and areola
ulcerated exzematous skin
carcinoma cells in epidermis
usually high grade or comedo type
