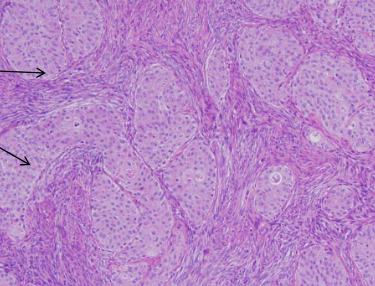
endometriod histology, common mutation
PTEN suppressor gene
back to back glands, sqamous differentiaiton

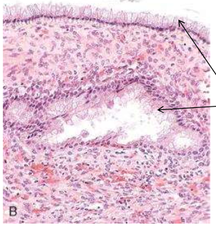
mucosa of fallopian tube covered by
simple comlumnar epithelium
with cilited and non ciliarted secretory cells
types of germ cell tumors
teratoma
dysgemiminoma
endometrial sinus tumor
choriocarcinoma
types of sex cord stroma tumors
fibroma
granulosa-theca cell tumor
setoli-leydig cell tumor
most common ovariant epithelial tumors
serious tumors

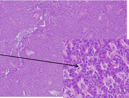
brenner tumor histology
usually unilaeral, solid
nests of transitonal type epithelium
mostly benign

most common tumors in the reproductive age group
germ cell tumors
___ cells in the ovary secrete testosterone
hilar cells
mucinous tumor histology and presentation
multicystic, lined by mucin secreting cells
mosstly unilateral
(if bilateral, metastasis until proven otherwise)

in fallopian tubs
___ promotes cilliogenesis and mitosis
____ promote secretory activity
estrogen promotes ciligenesisi and mitosis
progesterone stimumaltes secertory activity
granulosa cell tumor histo
granulosa cells in cords, sheet,s strands
mixuter of lipid laden theca cells
may minic follicles (exner bodies
usually estrogenic

salpingitis =
inflammation of fallopian tube (most common in PID)
most commonovarian neoplasm
risk factors
surface epithelial tumors
obesity, estrogen use >10yrs, FHx germinline mutation in p53, KRAS
reduces risk for surface peithelial neoplasms
high parity
oral contraceptives
types of surface epithelial cell tumors
serous tumor
mucinous
endometriod
clear cell
brenner
cystadenofibromba
(seriously, my epithelia clearly brings cysts)
medulla of ovary contains
large vessels ad lymphatics
nerves surrounded by loose connective tissue