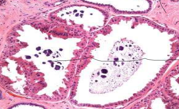
apocrine cyst morphology
large cystic areas
2 layer epithelium
apocrine metaplasia
may have calcifications

presentation papilloma
any age
many centrally located
discharge common, bloody in many
subareolar mass possible

Atypical ductal hyerplasia
atypical lobule hyperplasia
malignant phyllodes tumor features vs benign
marked stromal cellualrity
increased mitoses
cellular pleomorphism
iniltrating border
necrosis
lesions with moderately increased risk and signifcantly increased risk for invasive carcinoma
atypical ductal hyperplasia
atypical lobular hyperplasia
DCIS (ipslateral breast)
LCIS (both)
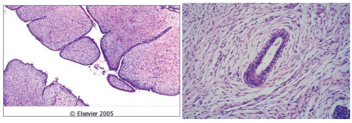
phyllodes tumor histo
circumscribed but not encapsulated
interlacing celfts
necrosis and hemorrhage due to rapid growth
leaf-like or epithelium lines clefts or cysts
incresaed stromal cellularity with overgrowth

three manjr influences for devleoping breast carcinoma
genetic changes (HER2/Neu, BRCA1 BRCA2)
hormonal
environmental
stromal tumors
fibroadenoma
phyllodes tumor
sarcomas
proliferative breast disease without atypia =
Ecamples
mammographic densities
califications
moderate florid hyperplasia
sclerosising adenosis
complex sclerosing lesions
papillomas
Clinical presentation of breast disease
finding most consistent with cancer
pain
papable mass
nipple discharge or skn changes
lumpiness or other
phyllodes prognosis
benign - recur often, but stay benign
low grade - recur, rarely metastasize
high grade - aggressive, often distant metastases, often axillary node
periductal mastitis
keratin plug - sup nipple nodule
may be painful if infected > abcess
side effects Tamoxifen prophylaxis breast caricinoma
venous thromembolicism
endometrial cancer
cataracts
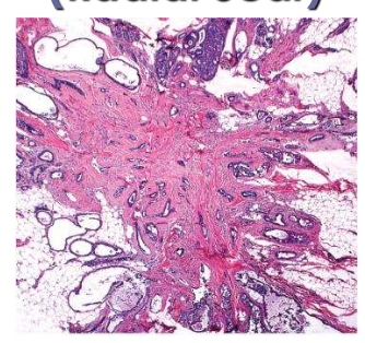
clincial presentation complex sclerosing lesion
40-60y
rarely palpable, detected by mammography
stellate or spiculated lesion with central core
complete excision warranted after biopsy
(hyalainezed stroma with entrapped glands, dialted ducts at periphery)

fat necrosis typically due to
trauma
breastmrophology neonatal
pubretal
neonatal - ducts,no lobules, 3 layer epithelium
pubertal - lobular unit develops
most common lesion by age group
15-25
25-35
35-50
50+
Pregnant or lactating
15-25 Fibroadenoma
25-35 Fibroadenoma (cyst or CA rare)
35-50 Fibrocystic changes, CA, cyst
50+ CA until proven otherwise
Pregnant or lactating - lactating adenoma, cyst, mastitis, CA
lesions indicated no incresed risk for invasive carcinoma
adenosis
fibroadenoma
fibrosis
hyperplasia without atypic
cysts
apocrine metaplasia
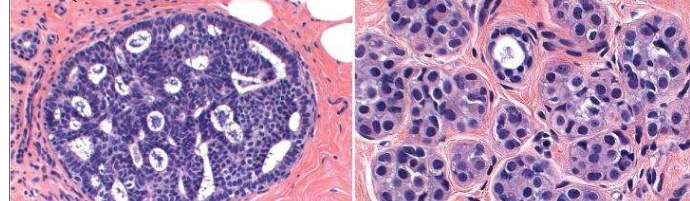
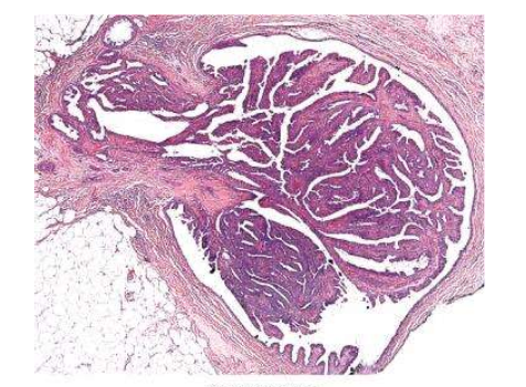
papilloma histo
branching fibrovascular cores within a duct
epithelial hyperplasia often present (more than 2 layers)

presentation non-prolifeerative changes (fibrocystic
Premenopausal 30-50
lumpy breast, mass, caclifications discharge
pain
multiple or bilateral, flucate in size
“triple test”
self exam
radiology
biopsy
if 1/3 is suspcisious, rebiopsy
fibroadenoma histolgy
overgrowth compresses ducts to slit like psaces
phyllodes tumor presentation
5-6th decade, latin women increased risk
discrete, palpable mass
rapid growth
Risk factors breast carcinoma
early menarch/late menopause
first live birth later 35y
1st degree relative with CA (only 13%)