What are the 2 views that are usually obtained for an abdominal xray?
AP supine and AP upright
Abdominal xrays are great for visualzing what kinds of pathologies?
Small or large bowel obstructions
Free air
Stones



How can you differentiate between the small and large intestines in xray?

What is the “rule of 3s” with regards to a normal xray of the small bowel?

What is the purpose of giving barium sulfate in xray?

What is xray fluoroscopy?

What does barium look like on xray or CT?
White
Single contrast barium is used to examine [….] while air contrast barium is used to examine […]
Motility
Mucosal lesions











If a person has appendicitis and their appendix is retrocecal, they will likely present with […] pain
If a person has appendicitis and their appendix is pelvic, they will likely present with […] pain
Shoulder
RLQ
The appendix is [….]peritoneal
Intra


What are the advantages and disadvantages of an abdominal CT?







What are the signs of abnormal bowels on CT?

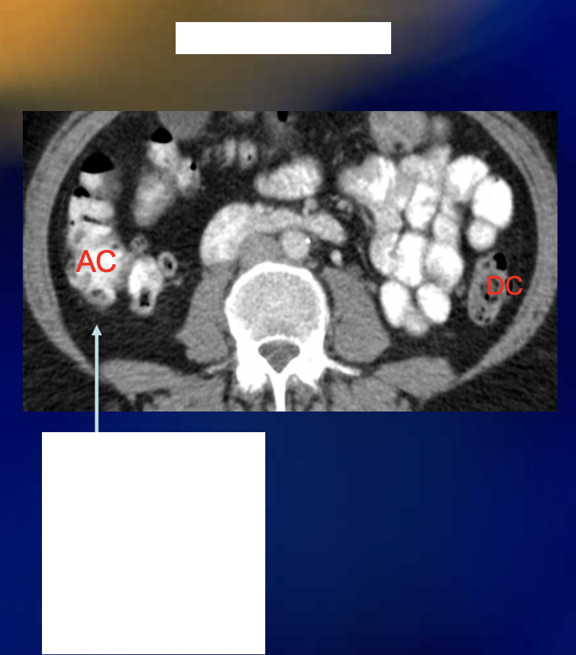
Is this normal fat or abnormal fat?
What is seen on the ascending colon?

