



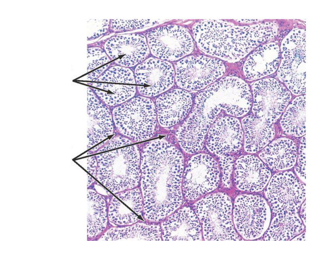
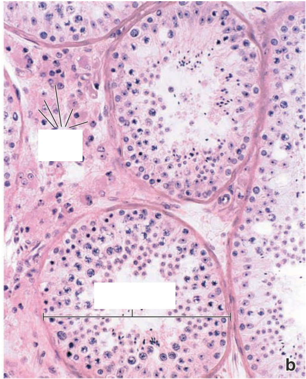
Where does spermatogenesis occur?
Intratubular compartment of seminiferous tubules



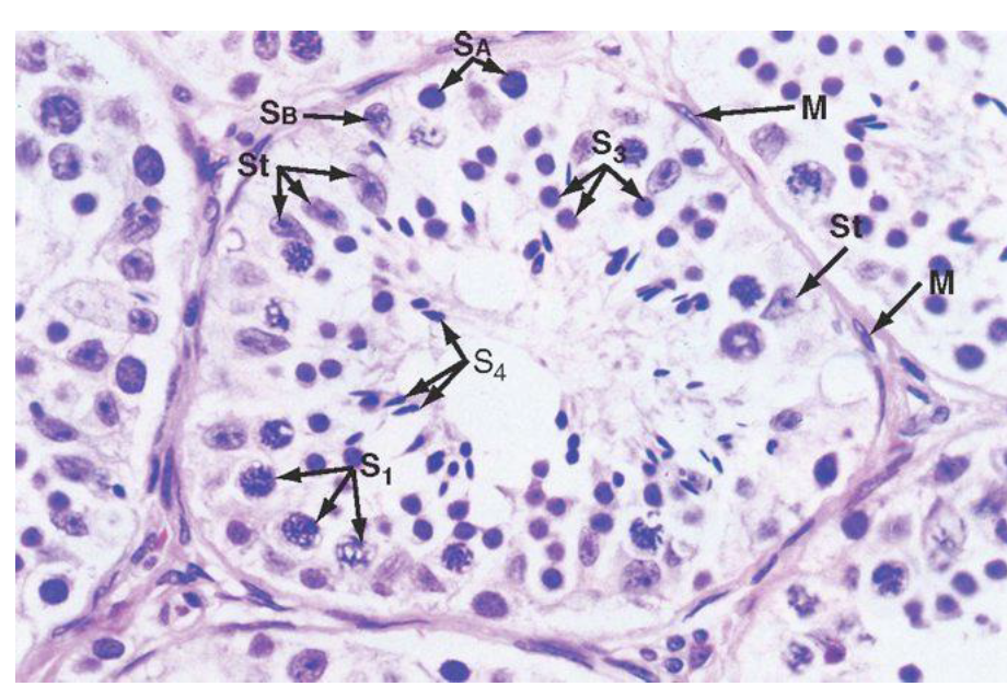
Which of these cells are the sertoli cells?

St –> longer cells
Seminiferous tubules are contained by […]
Perytubular myoid cells


Leydig Cells

Sertoli Cells


What is residual body?
Mature spermatozoa shed their cytoplasm as residual bodies

What external factors are important for sperm development?
Temperature (2 deg C beow body temp)
Time (takes 74 days)
Describe the importance of temperature on spermatogenesis, including:



Describe the general steps of spermiogenesis (note: not spermatogenesis).

Where does the acrosome arise from?
Proacrosomal granules of hyaluronidases nad proteolytic enzymes in the golgi
The sperm flagellum grows out from a […]
Centriole
How is DNA packing in a sperm different than DNA packing in any other cell?
Sperm coil DNA around protamines, which makes the DNA form a toroid structure instead of solenoid structure. In this image, the DNA is wrapped around the protamine like a donut and then the protamines are stacked on top of one another. This increases the packing efficiency of the DNA superstructure (bottom image). There are histone solenoids interspersed thoughout for easier transcription.

[…] mL of sperm per ejaculate
[…] sperm per mL
3.5
120 million
What factors determine infertility in men?
Sperm count less than 20 million
Motility less than 50%
After production in the seminiferous tubules, sperm travel next to the […]
Epididymis
Epididymis
What are the implications of pH on sperm function?

Seminial Vesicles
