**Week 1**
What are the physiologic effects of a truncal vagotomy, a selective vagotomy, and a hyperselective vagotomy? Are these mostly historic procedures commonly used in today’s practice?
1.TV includes division of the main trunk of the vagus (including its celiac/hepatic branch) and denervation of the pylorus; therefore, a pyloric drainage procedure, such as pyloric dilatation or disruption (pyloromyotomy or pyloroplasty) or gastrojejunostomy, is needed. This procedure also denervates the liver, biliary tree, pancreas, and small and large bowel.
TV as a surgical procedure for duodenal ulcer was performed by Dragstedt in the 1940s. Initially, the operation was performed through a transthoracic approach and a gastric drainage procedure was not added; later, it was performed through laparotomy, and drainage procedures were added.
SV includes division of the anterior and posterior gastric nerves of Latarjet only (after celiac/hepatic branches have been given off). It also denervates the pylorus, and therefore, a pyloric drainage procedure is needed. It does not denervate the liver, biliary tree, pancreas, or small and large bowel. This procedure is rarely performed.
HSV includes denervation of only the fundus and body (parietal cell–containing areas) of the stomach (also called parietal cell vagotomy [PCV]). It preserves the nerve supply of the antrum and pylorus; a pyloric drainage procedure is not needed. It does not denervate the liver, biliary tree, pancreas, or small and large bowel. This procedure is also called proximal gastric vagotomy (PGV).The operation involves severing the terminal branches of the vagus nerve that innervate the corpus and fundus of the stomach along the lesser curvature. Because nerve branches are bundled with their blood supply, cutting the nerve branches will devascularize the lesser curvature of the stomach from just above the gastroesophageal junction to the “crow’s foot” on the antrum. By preserving the main vagal nerve branches leading to the pylorus, this procedure preserves gastric emptying postoperatively and avoids the need for a drainage procedure such as pyloroplasty or additional anastomosis (gastrojejunostomy) in an acutely inflamed and contaminated field.
The vagus nerves play a central role in regulating gastric acid production. Therefore, the disruption of vagal innervation has long been exploited as an antisecretory measure. The surgical technique of vagotomy has a rich history dating back nearly a century [1]. At its peak application, vagotomy performed in conjunction with either pyloroplasty or antrectomy was once the gold standard for the treatment of peptic ulcer disease. The following decades saw the development of histamine H2-receptor antagonists and proton pump inhibitors, along with the discovery of the role Helicobacter pylori plays in peptic ulcer disease [2]. The success of these modern nonsurgical therapies reduced the incidence of ulcer-related complications requiring surgical interventions. When surgical interventions are required, technological advances have allowed vagotomy to be performed with minimally invasive techniques with fewer procedure-related complications (from UpToDate 2018) Thus vagotomy is rarely used today.
What is a pyloroplasty?
Pyloroplasty is a surgical technique that widens and completely destroys the pyloric sphincter and drains the stomach contents into the duodenum.
What are peptic ulcers (non-perforating and perforating) and what are the major causes of peptic ulcer disease?
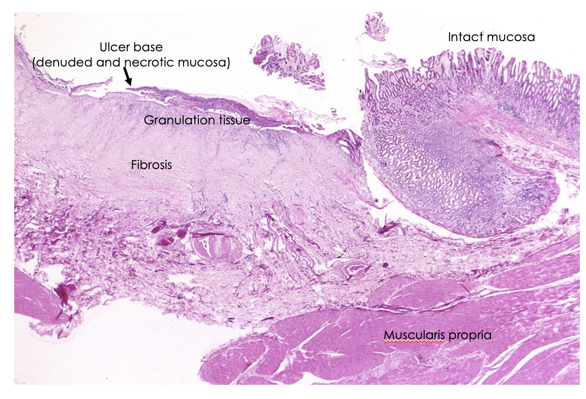
A peptic ulcer is the focal destruction and loss of gastric or duodenal mucosa, the sub-mucosa, and frequently the underlying muscularis mucosae. A perforating ulcer is an ulcer that perforates through the entire wall of the stomach or duodenum.
The 2 major causes of peptic ulcer disease are:
What is esophagogastroduodenoscopy (upper endoscopy)?
An upper endoscopy is a procedure in which a thin scope with a light and camera at its tip is used to look inside the upper digestive tract and the duodenum. The procedure is commonly used to help identify the causes of: Abdominal or chest pain, Nausea and vomiting, Heartburn, Bleeding, Swallowing problems.
What is a basal acid output (BAO) test?
BAO measures the minimal (unstimulated) amount of gastric HCl produced by an individual in a given period. Normal adult volume is 2 to 5 mEq/hr. It can be used in the diagnosis of various diseases of the stomach and intestines, such as gastric ulcers & Zollinger Ellison syndrome
What is a fasting gastrin test?
Gastrin is a GI hormone that stimulates stomach motility and secretion of acid. A fasting gastrin test measure blood gastrin levels in the fasting state, when gastrin levels should be relatively low. This test is often given to patients with reoccurring stomach pain and/or peptic ulcers. Hypergastrinemia, elevated gastrin when fasting, is often associated with Zollinger Ellison syndrome or proton inhibitor medications. Gastrin is implicated in development of some gastrinomas
What is Zollinger-Ellison syndrome?
Zollinger-Ellison Syndrome: recurring peptic ulcers due to hypergastrinemia from a gastrin-secreting tumor (gastrinoma) of the pancreatic islet cells. High and constitutive gastric acid output is a hallmark.
What are the various categories of abdominal pain?
What are the effects of ibuprofen and aspirin on the stomach?
What is an ulcer? What differentiates an ulcer from an erosion?
Depth of the mucosal break. An ulcer penetrates the muscularis mucosae whereas an erosion does not.
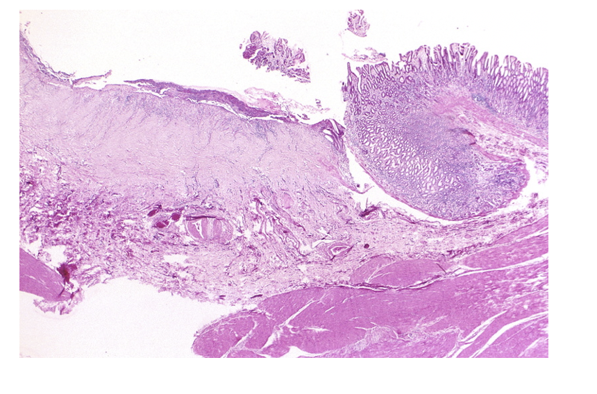
What is shown in this image?

Ulceration of GI mucosa





Define BER. What regulates BER? Predict the effect of vagotomy on BER.
How will tension in the stomach and intestinal wall be affected in patient who gets vagotomy??
Overall BER and # of peristaltic contractions/min are determined by the enteric nervous system and will not be affected by the loss of vagal tone. However, the force of each contraction will be diminished.
**Week 2**
Review the digestion of carbohydrates as it pertains to potatoes.
Potatoes have starch and non-starch polysaccharides (NSP) (dietary fiber) and absorb from the duodenum (after being exposed to pancreatic digestive enzymes). Most carbohydrates are ingested as starch, a polymer of glucose (polysaccharide). The two main types are amylose and amylopectin and they absorb the same way: Digestion begins in the mouth by salivary amylase. As food moves into the stomach salivary amylase continues to digest CH-ates before getting neutralized by the low gastric pH. Pancreatic amylase then converts polys-s first to oligosaccharides and maltotriose then di-saccharides: maltose, sucrose and lactose are produced. Small-intestinal brush border enzymes hydrolyze oligosaccharides further into monosaccharides (see glucose, galactose and fructose on the figure).



Review the digestion of proteins.
Students should recap this. Proteins begin be digested in the stomach at acidy pH by pepsin. Moving into the duodenum the chime will mix with excretions of higher pH and become slightly alkalinic. It is at this pH that pancreatic digestive enzymes work best – trypsin, chymotrypsin, carboxypeptidases and elastase are at work here. Oligopeptides are further decomposed at the brush border and either di/tripeptides or single amino acids are actively transported into the SB cell.

Review the digestion of fats.
Red meat (burgers) is particulary fat-rich (LDL/cholesterol). Fats are first reached by lingual and gastric lipase. TG droplets arriving from the stomach will mix in the duodenum/jejunum with micelles arriving in the bile: and will be emulsified by bile salts. Micelles will disperse large dietary fat droplets into small ones by changing them into a water-soluble complex. As pancreatic lipase is a hydrophilic enzyme it breaks TGs into monoglycerides and FFAs more efficiently this way. These then are picked up by the micelles to form “mixed micelles”. These have a phospholipid structure with cholesterol and bile salt. Both monoglycerides and fatty acids are taken up into cells where DGAT (diglyceride acyltransferase) builds them into triglycerides which then will be packaed into chylomicrons. Microvillus membrane fatty acid–binding protein (MVM-FABP) for transport of long-chain fatty acids. Also cholesterol is taken up into cells where it will be esterificated. Chylomicrons will leave the SB and enter circulation via the lymph. After lipids absorbed from the jejunum, bile salts are re-absorbed in the terminal ileum (entero-hepatic circulation).


1-D; 2-C; 3-A; 4- E; 5-B
