Glycogenesis
-The UMP is derived from UTP.
•UDP-glucose is the substrate for glycogen synthase, the principal and regulated enzyme of glycogenesis.
•These combined effects ensure that glycogen, which had been utilized to maintain glucose homeostasis since the last meal or for driving muscle contractions is replenished.
Glycogenesis - Adding Branches
Glycogenolysis
Glcogenolysis - Debranching
Glycogenolysis in the Lysosome
Glycogen Storage Diseases
GSD Type II Pompe Disease
*Defect of lysosomal storage of glycogen; acid maltase: alpha-1,4-glucosidase
*Affects wide range of cell types
*For 2016, Lumizyme was ranked the costliest drug per patient, average of $630,159

Type II Pompe Disease Histology

GSD Type I Von Gierke Disease

Workup for GSD Type I Von Gierke Disease
GSD Type I Von Gierke Disease Overview
-In Type Ib the substrate fails to reach the glucose-6-phosphatase enzyme in the ER lumen.
GSD Type I Von Gierke Disease Clinical Features
The disease presents in infants with major symptoms that include:
•Hepatomegaly leading to a protruding abdomen.
-The hepatomegaly contributes to development of at least one hepatic adenoma, usually in the teen years, in as high as 75% of the patients but less commonly do these adenomas become malignant (10% of adenomas).
-The extent of hypoglycemia varies but can lead to serious complications ranging from seizures to coma and death.
•Recall that the kidney contains glucose-6-phosphatase activity, so that glycogen accumulates in this organ as well.
-Elevated uric acid (90% of patients) due to the acidosis leads to gouty arthritis.
•Type Ia patients almost always exhibit dyslipidemia with markedly elevated serum triacylglycerol (hypertriglyceridemia – nearly 100%), and moderately increased VLDL, LDL and cholesterol (hypercholesterolemia – 75%).
-The elevated lipids can manifest as xanthomas and contribute to pancreatitis.
•Patients often exhibit platelet dysfunction.
• GI:
-Infections, abscesses and inflammatory bowel disease are common in type Ib but less so in type Ia patients.
• Endocrine:
• Renal:
• Mortality has become less of an issue with the development of therapies that help reduce the severe complications.
Biochemistry of GSD Type I Von Gierke Disease
•The limitation of glycolysis causes an increase in the concentration of glucose6P, which counteracts to some extent for the activation of glycogenolysis by glucagon following food deprivation.

Biochemistry of GSD Type I Von Gierke Disease Part II
The limitation of glycolysis causes an increase in the concentration of glucose6P, which counteracts to some extent for the activation of glycogenolysis by glucagon following food deprivation.

Biochemistry of GSD Type I Von Gierke Disease Part III
-Acetyl CoA is a precursor to synthesis of fatty acids and cholesterol that contribute to the formation and secretion of VLDL; hence the development of hypertriglyceridemia and hypercholesterolemia

GSD Type I Von Gierke Disease and Growth Failure
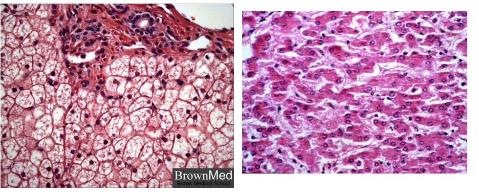
GSD Type I Von Gierke Disease Histology

GSD Type I Von Gierke Disease Treatment
-The raw cornstarch is a complex glucose polymer, which is acted on slowly by pancreatic amylase over about a 6-hour period
Liver resection in glycogen storage disease type Ia. Multiple tumor nodules with smooth borders; uninvolved parenchyma pale ; bar = 5cm

GSD Type III Cori Disease

GSD Type III Cori Disease Clinical Features
-A key difference from GSD Type I is the muscle involvement in GSD Type III leading to hypotonia and muscle wasting though this feature is more likely seen in adults than children.
Biochemistry of GSD Type III Cori Disease
GSD Type III Cori Disease Workop
Growth and Development GSD Type III Cori Disease

GSD Type III Cori Disease Treatment