Immunology Flashcards

(62 cards)

1
Q

tarry-sky pattern is seen in which one of the following lymphomas?

  • A ) Anaplastic large cell lymphoma
  • B ) Burkitt’s lymphoma
  • C ) Diffuse large B-cell lymphoma
  • D ) Hairy cell leukemia
  • E ) Nodular sclerosing classical HL
A

= B ) Burkitt’s lymphoma

How well did you know this?
1
Not at all
2
3
4
5
Perfectly
2
Q

A 56-year-old man was admitted with sudden onset severe hypotension, widespread urticaria, and angioedema following a wasp sting. Anaphylaxis was suspected and treated appropriately according to the Resuscitation Council guidance. One of the nurses took some extra blood while inserting a spare cannula during resuscitation and asks you if you want any tests done.

Which blood test should be taken as soon as possible during the management of acute anaphylaxis?

  • A ) Mast-cell tryptase
  • B ) Serum histamine
  • C ) Specific IgE
  • D ) Specific IgG
  • E ) Total IgE
A

= A ) Mast-cell tryptase

How well did you know this?
1
Not at all
2
3
4
5
Perfectly
3
Q

Investigation of a suspected anaphylactic reaction requires measurement of ___ levels.

  • A ) Histamine
  • B ) IL13
  • C ) IL4
  • D ) Tryptase
  • E ) Tyrosine
A

= D ) Tryptase

Mast-cell tryptase blood tests should be taken immediately, 1-2 hours post event and 24 hours post event. Prolonged observation is not required in patients that have recovered completely, but they should be advised of the possibility of a biphasic reaction.

How well did you know this?
1
Not at all
2
3
4
5
Perfectly
4
Q

What disease is mediated by type II hypersensitivity?

  • A ) Allergy (atopic form)
  • B ) Anaphylaxis due to penicillin
  • C ) Autoimmune hemolytic anaemia
  • D ) Contact dermatitis
  • E ) MS
  • F ) Rheumatoid arthritis
  • G ) Systemic lupus erythematosus
A

Answer: Autoimmune hemolytic anaemia

How well did you know this?
1
Not at all
2
3
4
5
Perfectly
5
Q

The ‘wheal and flare’ reaction is seen in which type of hypersensitivity reaction?

  • A ) Type I
  • B ) Type I and II
  • C ) Type II
  • D ) Type III
  • E ) Type IV
A

= A ) Type I

How well did you know this?
1
Not at all
2
3
4
5
Perfectly
6
Q

IgA antibody is the first line of defence against infections at the mucous membrane. It is usually an early specific antibody.

Which of the following statements regarding IgA is true?

  • A ) Complement fixation test is useful for IgA antibody
  • B ) IgA can not be destroyed by bacterial proteases
  • C ) IgA is a small molecule with a molecular weight of 30,000 kDa
  • D ) IgA is not found in saliva, therefore an IgA diagnostic test on saliva would have no value
  • E ) IgA is present in colostrum
A

Answer: IgA is present in colostrum

Each secretory IgA molecule has a molecular weight of 400,000 and consists of two H2L2 units and one molecule each of J chain and secretory component. Some IgA exists in serum as a monomer H2L2 with a molecular weight of 160,000. Some bacteria, such as Neisseria, can destroy IgA1 by producing protease. It is the major immunoglobulin in milk, saliva, tears, and colostrum. IgA does not fix complement, so one would anticipate that a complement fixation test would not be useful for IgA antibody.

How well did you know this?
1
Not at all
2
3
4
5
Perfectly
7
Q

Individuals with allergic rhinitis who are exposed to an allergen will within minutes experience symptoms of nasal itching, nasal congestion, sneezing, and a runny nose. These symptoms generally subside within 30 minutes, but reappear several hours later. Analysis of the nasal epithelium in such an individual 6 hours after allergen encounter would show:

  • A ) An influx of commensal microbes due to breaches in the epithelial barrier
  • B ) High concentrations of IL-22 important in repair of the damaged epithelium
  • C ) Infiltration of eosinophils, basophils, neutrophils, T cells, and macrophages
  • D ) The absence of allergen-specific IgE on mast cells in the tissue
  • E ) Very low levels of histamine and other inflammatory mediators
A

= C ) Infiltration of eosinophils, basophils, neutrophils, T cells, and macrophages

How well did you know this?
1
Not at all
2
3
4
5
Perfectly
8
Q

Which type of ultraviolet light causes most skin cancers?

  • A ) UVA
  • B ) UVB
  • C ) UVC
  • D ) UVD
  • E ) UVE
A

= B ) UVB

UVC is the most dangerous ultraviolet wavelength but is mostly absorbed in the ozone layer.

How well did you know this?
1
Not at all
2
3
4
5
Perfectly
9
Q

Immunity may be natural or acquired. Which of the following best describes acquired immunity?

  • A ) Complement cascade
  • B ) Increase in C-reactive protein (CRP)
  • C ) Inflammatory response
  • D ) Maternal transfer of antibody
  • E ) Presence of natural killer (NK) cells
A

= D ) Maternal transfer of antibody

Natural immunity is nonspecific. The description of natural immune functions described are not specific for a certain antigen. For example, certain proteins such as C-reactive protein (CRP) are acute-phase reactants. While elevated CRP is seen in infection, it is not disease-specific. Maternal transfer of antibody, however, is passive but still confers specific immunity. It is termed acquired immunity.

How well did you know this?
1
Not at all
2
3
4
5
Perfectly
10
Q

What disease is mediated by type IV hypersensitivity?

  • A ) Autoimmune hemolytic anaemia
  • B ) Goodpasture’s syndrome
  • C ) Hemolytic disease of the newborn
  • D ) MS
  • E ) Post streptococcal glomerulonephritis
  • F ) Rheumatoid arthritis
  • G ) Systemic lupus erythematosus
A

= D ) MS

How well did you know this?
1
Not at all
2
3
4
5
Perfectly
11
Q

Which immunoglobulin class is found on the surface of mast cells?

  • A ) IgA
  • B ) IgD
  • C ) IgE
  • D ) IgG
  • E ) IgM
A

= C ) IgE

How well did you know this?
1
Not at all
2
3
4
5
Perfectly
12
Q

What is a highly variable autoimmune disease mediated by type III hypersensitivity?

  • A ) Allergic contact dermatitis
  • B ) Diabetes type I
  • C ) Goodpasture’s syndrome
  • D ) Graft rejection
  • E ) Hemolytic disease of the newborn
  • F ) Multiple sclerosis
  • G ) Rheumatoid arthritis
A

= G ) Rheumatoid arthritis

How well did you know this?
1
Not at all
2
3
4
5
Perfectly
13
Q

Which immunoglobulin class is a major component of mucosal secretions?

  • A ) IgA
  • B ) IgD
  • C ) IgE
  • D ) IgG
  • E ) IgM
A

Answer: IgA

How well did you know this?
1
Not at all
2
3
4
5
Perfectly
14
Q

The major immunoglobulin class in normal adult human serum is:

  • A ) IgA
  • B ) IgD
  • C ) IgE
  • D ) IgG
  • E ) IgM
A

Answer: IgG

How well did you know this?
1
Not at all
2
3
4
5
Perfectly
15
Q

Individuals with peanut allergies can exhibit a variety of symptoms following exposure to the peanut allergen. These symptoms can include a runny nose; skin reactions such as hives; itching in the mouth and throat; digestive problems such as cramps, diarrhea or vomiting; and respiratory problems such as wheezing and shortness of breath. This variety of symptoms is the result of:

  • A ) Systemic production of inflammatory mediators causing responses in many tissues
  • B ) The high concentrations of histamine present in pre-stored mast cell granules
  • C ) The presence of high concentrations of monomeric IgE in the circulation
  • D ) The presence of mast cells with pre-bound IgE in all mucosal tissues
  • E ) The simultaneous exposure of skin, oral mucosa, throat, and gastrointestinal tract to an ingested allergen
A

Answer: The presence of mast cells with pre-bound IgE in all mucosal tissues

Unlike other antibody isotypes, IgE is found almost exclusively bound to the surface of mast cells and basophils. Mast cells are present in all mucosal tissues and, if pre-bound to allergen-specific IgE, encounter with the allergen will trigger mast cell activation and degranulation. Depending on the levels of allergen, the amounts of allergen-specific IgE, and the route of allergen entry, different individuals can exhibit some or all of these allergic symptoms.

How well did you know this?
1
Not at all
2
3
4
5
Perfectly
16
Q

Immune privileged sites, such as the brain, the eye, and the testis, are often the targets of autoimmune attack. Thus, once effector T cells are generated that have specificity for autoantigens expressed in these tissues, the effector cells can gain entry to the tissue and cause tissue damage. However, under normal circumstances, the priming and differentiation of effector cells specific for antigens found in the brain, for example, is generally prevented. This is because ‘immune privileged’ sites:

  • A ) Are surrounded by tissue barriers that block all lymphocyte trafficking
  • B ) Express antigens that never leave the tissue where they are produced
  • C ) Express the cell death receptor, Fas
  • D ) Express the cytokine, TGF-β
  • E ) Promote the differentiation of TH17 cells
A

Answer: Express the cytokine, TGF-β

How well did you know this?
1
Not at all
2
3
4
5
Perfectly
17
Q

A 32-year-old male is found to have recurrent haematuria since his youth. The haematuria typically occurs with upper respiratory tract infections, especially sore throats. Vital signs are normal. Urinalysis shows proteinuria, haematuria and a few red blood cell casts. Laboratory studies disclose normal levels of urea and creatinine and tests for antinuclear antibody and antineutrophil cytoplasmic antibody are negative.

What is the likely diagnosis?

  • A ) Amyloid nephropathy
  • B ) Hereditary nephritis (Alport syndrome)
  • C ) IgA nephropathy
  • D ) Membranous glomerulopathy
  • E ) Wegener granulomatosis
A

= C ) IgA nephropathy

How well did you know this?
1
Not at all
2
3
4
5
Perfectly
18
Q

Type I hypersensitivity reactions are mediated by which immunoglobulin?

  • A ) IgA
  • B ) IgD
  • C ) IgE
  • D ) IgG
  • E ) IgM
A

= C ) IgE

How well did you know this?
1
Not at all
2
3
4
5
Perfectly
19
Q

Which of the following is true regarding the combined oral contraceptive pill?

  • A ) An active pill is taken for 21 days and then a sugar pill is taken for 7 days
  • B ) It contains progesterone only
  • C ) It increases the pulse frequency of GnRH
  • D ) It increases the secretion of LH by the anterior pituitary
  • E ) It is not useful in menorrhagia
A

Answer: An active pill is taken for 21 days and then a sugar pill is taken for 7 days

How well did you know this?
1
Not at all
2
3
4
5
Perfectly
20
Q
  • The predominant antibody found in a primary immune response is:
  • A ) IgA
  • B ) IgD
  • C ) IgE
  • D ) IgG
  • E ) IgM
A

= E ) IgM

How well did you know this?
1
Not at all
2
3
4
5
Perfectly
21
Q

A newborn infected with group B streptococcus would produce and secrete antibody of which of the following class(es)?

  • A ) IgA
  • B ) IgD
  • C ) IgE
  • D ) IgG
  • E ) IgM
A

= E ) IgM

A normal newborn can make IgM antibody in response to challenge with antigen. If IgG is detected in the newborn, it is most likely the result of placental transfer from the mother.

How well did you know this?
1
Not at all
2
3
4
5
Perfectly
22
Q

Which immunoglobulin class can cross the placenta?

  • A ) IgA
  • B ) IgD
  • C ) IgE
  • D ) IgG
  • E ) IgM
A

Answer: IgG

How well did you know this?
1
Not at all
2
3
4
5
Perfectly
23
Q

In individuals with a peanut allergy, a mild allergic response is defined those that involve a only single site, typically a skin reaction (such as hives). More severe allergic reactions generally involve multiple tissue sites, such as the skin, oral mucosa, airway mucosa, and gastrointestinal tract. Given the two groups of allergic patients, one with only skin responses, and the other with 3–4 different tissue sites involved, one would expect that:

  • A ) Patients with mild allergic responses would have fewer mast cells in the majority of their mucosal tissues.
  • B ) Patients with mild allergic responses would have higher numbers of CD4+ T regulatory cells.
  • C ) Patients with severe allergic responses would also have allergies to several other substances, such as bee venom or pollen.
  • D ) Patients with severe allergic responses would have reduced expression of antioxidant enzymes, such as glutathione-S-transferases
  • E ) Patients with the severe allergic responses would have higher concentrations of allergen-specific IgE.
A

Answer: Patients with the severe allergic responses would have higher concentrations of allergen-specific IgE.

How well did you know this?
1
Not at all
2
3
4
5
Perfectly
24
Q

A child stung by a bee experiences respiratory distress within minutes, and lapses into unconsciousness. This reaction is probably mediated by:

  • A ) IgA
  • B ) IgD
  • C ) IgE
  • D ) IgG
  • E ) IgM
A

= C ) IgE

How well did you know this?
1
Not at all
2
3
4
5
Perfectly
25
**Which interleukin is secreted by TH2 to facilitate B-cell class switching to IgE?** * A ) IL-1 * B ) IL-4 * C ) IL-5 * D ) IL-6 * E ) IL-8
= B ) IL-4
26
**What is a highly variable autoimmune disease mediated by type III hypersensitivity?** * A ) Allergic contact dermatitis * B ) Contact dermatitis * C ) Diabetes type I * D ) Goodpasture’s syndrome * E ) Graft rejection * F ) Hemolytic disease of the newborn * G ) Multiple sclerosis * H ) Post streptococcal glomerulonephritis
= H ) Post streptococcal glomerulonephritis
27
**Type I hypersensitivity reactions include all of the following except:** * A ) Anaphylaxis * B ) Asthma * C ) Autoimmune hemolytic anemia * D ) Dermatitis * E ) Hay fever
= C ) Autoimmune hemolytic anemia
28
**Compared with a healthy individual, lymph nodes from a person with a deficiency in B lymphocytes would have:** * A ) Enlarged germinal centers * B ) Few Howell-Jolly bodies * C ) Few or no primary follicles * D ) Increased number of Heinz bodies * E ) No paracortex
**Answer: Few or no primary follicles** ## Footnote The major cell type within follicles is the B cell; a germinal centre is a follicle where cells are undergoing active proliferation. A deficiency in B cells would result in decreased size and number of follicles. The paracortex is predominately a T cell area. Heinz bodies (red cell inclusion body of denatured hemoglobin) and Howell-Jolly bodies (red cell inclusion body of parasites) are found in the spleen.
29
**Which of the following best describes cross-reactivity?** * A ) When multiple antibodies can bind with multiple antibodies * B ) When multiple antibodies can bind with multiple antigens * C ) When multiple antibodies can bind with one antigen * D ) When one antibody can bind with multiple antigens * E ) When one antibody can bind with one antigen
**= D ) When one antibody can bind with multiple antigens** ## Footnote Cross-reactivity between antigens occurs when an antibody directed against one specific antigen is successful in binding with another, different antigen. The two antigens in question have similar three-dimensional structural regions, known as epitopes, which allow the antibody for one antigen to recognize a second antigen as being structurally the same antigen.
30
**What type of hypersensitivity reaction is pernicious anaemia?** * A ) Type I * B ) Type II * C ) Type III * D ) Type IV * E ) Type V
= B ) Type II
31
**Which pathology is associated with HLA-DR5?** * A ) Hashimoto's thyroiditis * B ) Osteoarthritis * C ) Rheumatoid arthritis * D ) Seronegative spondyloarthropathies * E ) Systemic lupus erythematosus * F ) X-linked muscular dystrophy
= A ) Hashimoto's thyroiditis
32
**An eight year old boy has a history of an ongoing severe haemolytic anaemia. Examination reveals hepatosplenomegaly, an enlarged maxilla and frontal bossing. He has received blood transfusions since early infancy but has not received any transfusions in over three months. A haemoglobin electrophoresis reveals marked elevation of HbF, increased HbA2 and absence of HbA1.** **What is this patient most likely suffering from?** * A ) Glucose-6-phosphate dehydrogenase deficiency * B ) Hereditary spherocytosis * C ) Sickle cell disease * D ) α-thalassaemia * E ) β-thalassaemia major
= E ) β-thalassaemia major
33
**The human leukocyte antigen system is coded for on chromosome \_\_\_** * A ) 12 * B ) 16 * C ) 2 * D ) 6 * E ) Y
= D ) 6
34
**Which antigen complex binds to the FcαRI receptor and facilitates the phagocytosis of opsonised antigens?** * A ) Dimeric IgA * B ) IgE * C ) IgG * D ) IgM * E ) Monomeric IgA
= E ) Monomeric IgA
35
**Mycobacterial infection, sarcoidosis and Crohn’s disease are examples of which lymphadenopathy?** * A ) Granulomatous lymphadenitis * B ) Necrotising lymphadenitis * C ) Non-ecrotising lymphadenitis * D ) Paracortical hyperplasia * E ) Sinus histiocytosis
= A ) Granulomatous lymphadenitis
36
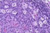
**What histological feature is shown in this reactive lymph node follicle?** * A ) Plasma cells * B ) Reed-sternberg cells * C ) Reticular cells * D ) T cells * E ) Tingible-body macrophage
= E ) Tingible-body macrophage
37
**Which is an example of a type II autoimmune response?** * A ) Goodpasture’s syndrome * B ) Graft rejection * C ) Multiple sclerosis * D ) Post streptococcal glomerulonephritis * E ) Rheumatoid arthritis * F ) Subacute bacterial endocarditis * G ) Systemic lupus erythematosus
= A ) Goodpasture’s syndrome
38
**Which serum interleukin is high in patients with multiple myeloma?** * A ) IL-1 * B ) IL-10 * C ) IL-12 * D ) IL-5 * E ) IL-6
= E ) IL-6
39
**A young female was recently diagnosed with infectious mononucleosis. This is an example of which lymphadenopathy?** * A ) Granulomatous lymphadenitis * B ) Necrotising lymphadenitis * C ) Non-ecrotising lymphadenitis * D ) Paracortical hyperplasia * E ) Sinus histiocytosis
= D ) Paracortical hyperplasia
40
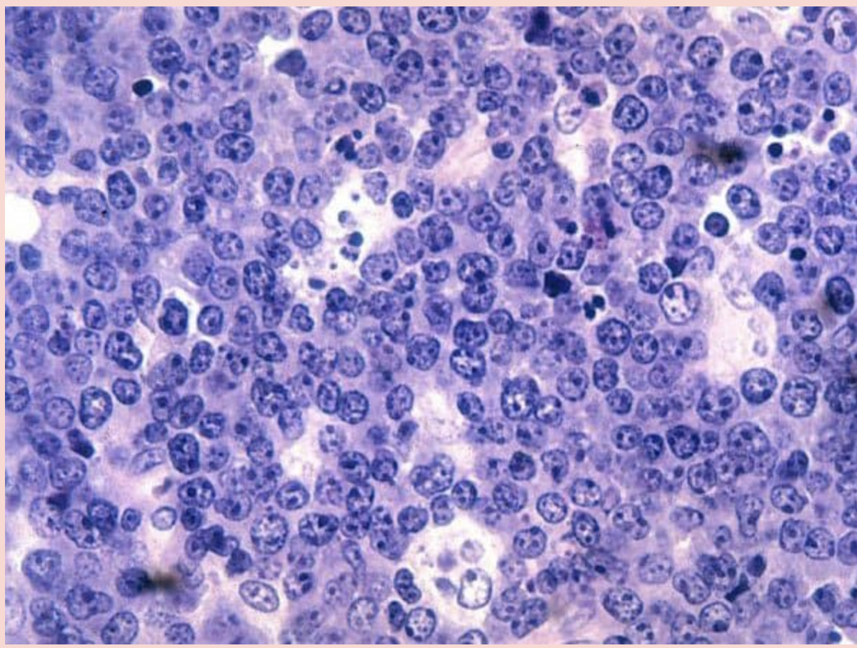
**In the sporadic form of the lymphoma shown, what is the typical location of tumor growth?** * A ) Abdomen * B ) Brain * C ) Liver * D ) Lungs * E ) Thymus
**= A ) Abdomen** Burkitt's lymphoma classically presents as an extranodal mass in a child or young adult. The endemic form common in Africa usually involves the jaw, whilst the sporadic form usually involves the abdomen.
41
**A 24-year-old woman is seen in follow-up 12 months after an allogeneic stem cell transplantation for acute myeloid leukemia. She is doing well without evidence of recurrent disease but has had manifestations of chronic graft-versus-host disease. She should be administered all of the following vaccines EXCEPT:** * A ) 23-Valent pneumococcal polysaccharide * B ) Diphtheria-tetanus * C ) Influenza * D ) Measles, mumps, and rubella * E ) Poliomyelitis via injection
= D ) Measles, mumps, and rubella
42
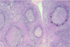
**Which lymphoma is originated from the histological feature shown by the asterisks?** * A ) MALT lymphoma * B ) Mantle Lymphoma * C ) Mixed-cellularity classical HL * D ) Nodular lymphocyte predominant HL * E ) Peripheral T cell lymphoma
**= B ) Mantle Lymphoma** The area labelled is the mantle zone.
43
**What is the most common lymphoma in the pediatric age group?** * A ) Anaplastic large cell lymphoma * B ) Burkitt's lymphoma * C ) Diffuse large B-cell lymphoma * D ) Hairy cell leukemia * E ) Nodular sclerosing classical HL
= B ) Burkitt's lymphoma
44
**What disease is mediated by type IV hypersensitivity?** * A ) Autoimmune hemolytic anaemia * B ) Diabetes type I * C ) Goodpasture’s syndrome * D ) Post streptococcal glomerulonephritis * E ) Rheumatoid arthritis * F ) Subacute bacterial endocarditis * G ) Systemic lupus erythematosus
= B ) Diabetes type I
45
**Which lymphoma is associated with chronic inflammatory states such as Hashimoto thyroiditis, Sjogren syndrome, and H-pylori gastritis?** * A ) Burkitt's lymphoma * B ) Diffuse large B-cell lymphoma * C ) Follicular lymphoma * D ) Hairy cell leukemia * E ) Mantle cell lymphoma * F ) Marginal zone lymphoma * G ) Nodular sclerosing classical HL * H ) Small lymphocytic lymphoma
= F ) Marginal zone lymphoma
46
**Which translocation is seen in Burkitt's lymphoma?** * A ) Translocation t(11, 14) * B ) Translocation t(11, 22) * C ) Translocation t(14, 18) * D ) Translocation t(3, 14) * E ) Translocation t(8, 14)
= E ) Translocation t(8, 14)
47
**Which translocation is seen in follicular lymphoma?** * A ) Translocation t(11, 14) * B ) Translocation t(11, 22) * C ) Translocation t(14, 18) * D ) Translocation t(3, 14) * E ) Translocation t(8, 14)
= C ) Translocation t(14, 18)
48
**What histological feature is shown in this lymph node?** * A ) Plasma cells * B ) Reed-sternberg cells * C ) Reticular cells * D ) T cells * E ) Tingible-body macrophage
**= E ) Tingible-body macrophage** High-power view of a tingible-body macrophage (arrowed) engulfing apoptotic lymphoid cells. These highly phagocytic macrophages are concentrated in the proliferative ‘dark zone’ of the germinal centre; they remove lymphoid cells selected for elimination by apoptosis due to poor affinity or autoreactivity.
49
**What disease is mediated by type II hypersensitivity?** * A ) Allergy (atopic form) * B ) Anaphylaxis due to penicillin * C ) Blood transfusion reactions * D ) Contact dermatitis * E ) MS * F ) Rheumatoid arthritis * G ) Systemic lupus erythematosus
= C ) Blood transfusion reactions
50
**Of all the following, which is the most curable?** * A ) Follicular lymphoma * B ) Hodgkin's lymphoma * C ) Mantle cell lymphoma * D ) Peripheral T cell lymphoma * E ) Small lymphocytic lymphoma
= B ) Hodgkin's lymphoma
51
**Which translocation is seen in Ewing sarcoma?** * A ) Translocation t(11, 14) * B ) Translocation t(11, 22) * C ) Translocation t(14, 18) * D ) Translocation t(3, 14) * E ) Translocation t(8, 14)
= B ) Translocation t(11, 22)
52
**Considering the following case which blood film correctly matches this patient?** **A 22-year-old Vietnamese female presents for a routine GYN exam. Her menstrual cycle is normal and there is no evidence of bleeding. Guiac is negative. Her hemoglobin is at 11 (12-16), RBC is 5.8 (3.5-5.5), and an MCV of 70 (80-100) with a normal RDW of 10. WBC and platelets are normal. Hemoglobin electrophoresis shows an increase in the amount of Hgb A2 and Hgb F.**
**Answer: Option F is correct** * Option F shows the blood film of a patient with Thalassemia. * This is the most common cause of microcytic anemia in Asian Americans and African Americans.
53
**Which translocation is seen in mantle lymphoma?** * A ) Translocation t(11, 14) * B ) Translocation t(11, 22) * C ) Translocation t(14, 18) * D ) Translocation t(3, 14) * E ) Translocation t(8, 14)
**Answer: Translocation t(11, 14)**
54
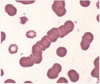
* A ) Atypical lymphocytes * B ) Bence Jones protein * C ) Rouleaux formations * D ) Schistocytes * E ) Target cells
**Answer: Rouleaux formations** ## Footnote Multiple myeloma is a malignancy of monoclonal plasma cells that arises in the bone marrow and produces large amounts of immunoglobulin (IgG or IgA). Multiple myeloma is the most common primary bone tumor in patients above the age of 50. Clinical features of multiple myeloma can be remembered with the mnemonic “CRAB”: hyperCalcemia, Renal involvement, Anemia, and Bone lytic lesions/Back pain. In multiple myeloma, immunoglobulins coat the red blood cells and neutralize the ionic charge that normally repels them from one another, allows the red blood cells to stack together (Rouleaux formation). Illustration shows a rouleaux formation, characteristic of multiple myeloma. A Rouleaux formation refers to the appearance of red blood cells stacked like poker chips on a peripheral blood smear _NOTE: Bence Jones protein is a monoclonal globulin protein or immunoglobulin light chain found in the urine._
55
**Which lymphoma is shown in this histological slide?** * A ) Burkitt's lymphoma * B ) Diffuse large B-cell lymphoma * C ) Follicular lymphoma * D ) Hairy cell leukemia * E ) Mantle cell lymphoma * F ) Marginal zone lymphoma * G ) Nodular sclerosing classical HL * H ) Small lymphocytic lymphoma
**= G ) Nodular sclerosing classical HL**
56
**Which option correctly differentiates between these two slides:** * A ) Left: follicular hyperplasia; right: follicular lymphoma - follicular hyperplasia has tingible body macrophages * B ) Left: follicular hyperplasia; right: follicular lymphoma - follicular hyperplasia has tingible body macrophages and expresses bcl2 in follicles * C ) Left: follicular hyperplasia; right: follicular lymphoma follicular lymphoma has tingible body macrophages * D ) Left: follicular lymphoma; right: follicular hyperplasia; follicular hyperplasia has tingible body macrophages * E ) Left: follicular lymphoma; right: follicular hyperplasia; follicular lymphoma has tingible body macrophages
**Answer: Left: follicular hyperplasia; right: follicular lymphoma - follicular hyperplasia has tingible body macrophages**
57
**A patient with a sore throat, fatigue, and fever on the exam has an exudative pharyngitis and cervical adenopathy. After a few days of treatment with amoxicillin, a macular erythematous rash occurs. What is the most likely cause?** * A ) Allergy to amoxicillin * B ) Hodgkin lymphoma * C ) Infectious mononucleosis * D ) Measles * E ) Scarlet fever * F ) Tuberculosis
**Answer: Infectious mononucleosis**
58
**What disease is mediated by type I hypersensitivity?** * A ) Anaphylaxis due to penicillin * B ) Autoimmune hemolytic anaemia * C ) Goodpasture’s syndrome * D ) MS * E ) Rheumatoid arthritis * F ) Systemic lupus erythematosus
**Answer: Anaphylaxis due to penicillin**
59
**A 17-year old male reports general malaise, cough, and a low-grade fever. He says he has no appetite and has had a sore throat for a few days. Examination reveals palpable adenopathy in the neck and a palpable spleen in the left upper quadrant. He denies the use of any medications and does not smoke. What is the most likely cause of his symptoms?** * A ) Hodgkin lymphoma * B ) Infectious mononucleosis * C ) Malaria * D ) Non-Hodgkin lymphoma * E ) Tuberculosis
**Answer: Infectious mononucleosis**
60
**Which translocation is seen in diffuse large B cell lymphoma?** * A ) Translocation t(11, 14) * B ) Translocation t(11, 22) * C ) Translocation t(14, 18) * D ) Translocation t(3, 14) * E ) Translocation t(8, 14)
**Answer: Translocation t(3, 14)**
61
* A ) Bone marrow biopsy * B ) Peripheral blood smear * C ) Radiograph of the lumbar spine * D ) Urine protein levels * E ) Urine, blood, and cerebrospinal fluid cultures
**Answer: Bone marrow biopsy**
62
**Which of the following findings is not characteristic of infectious mononucleosis?** * A ) Fever * B ) Leukopenia * C ) Lymphocytosis * D ) Peripheral blood shows atypical lymphocytes * E ) Posterior cervical lymphadenopathy * F ) Splenomegaly
= B ) Leukopenia