X-Ray Flashcards

(51 cards)

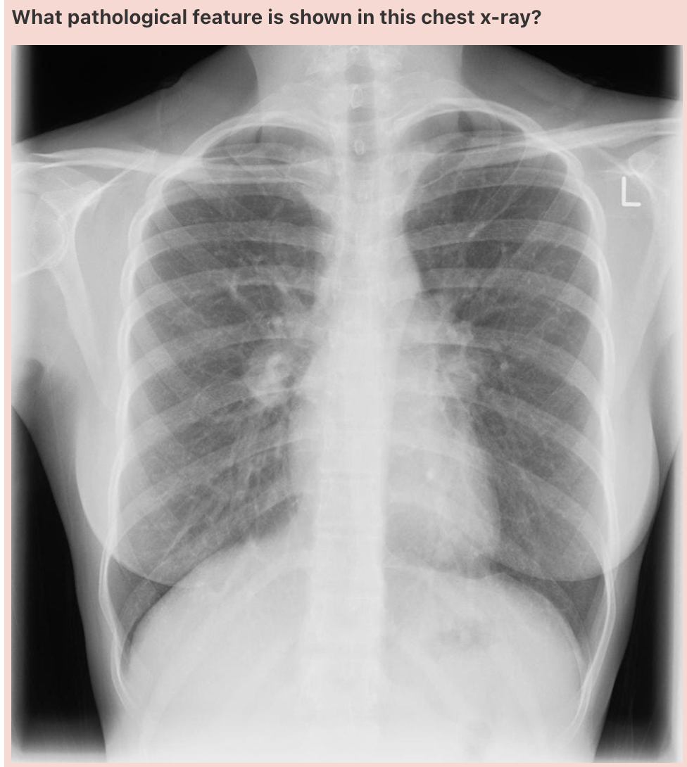
1
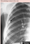
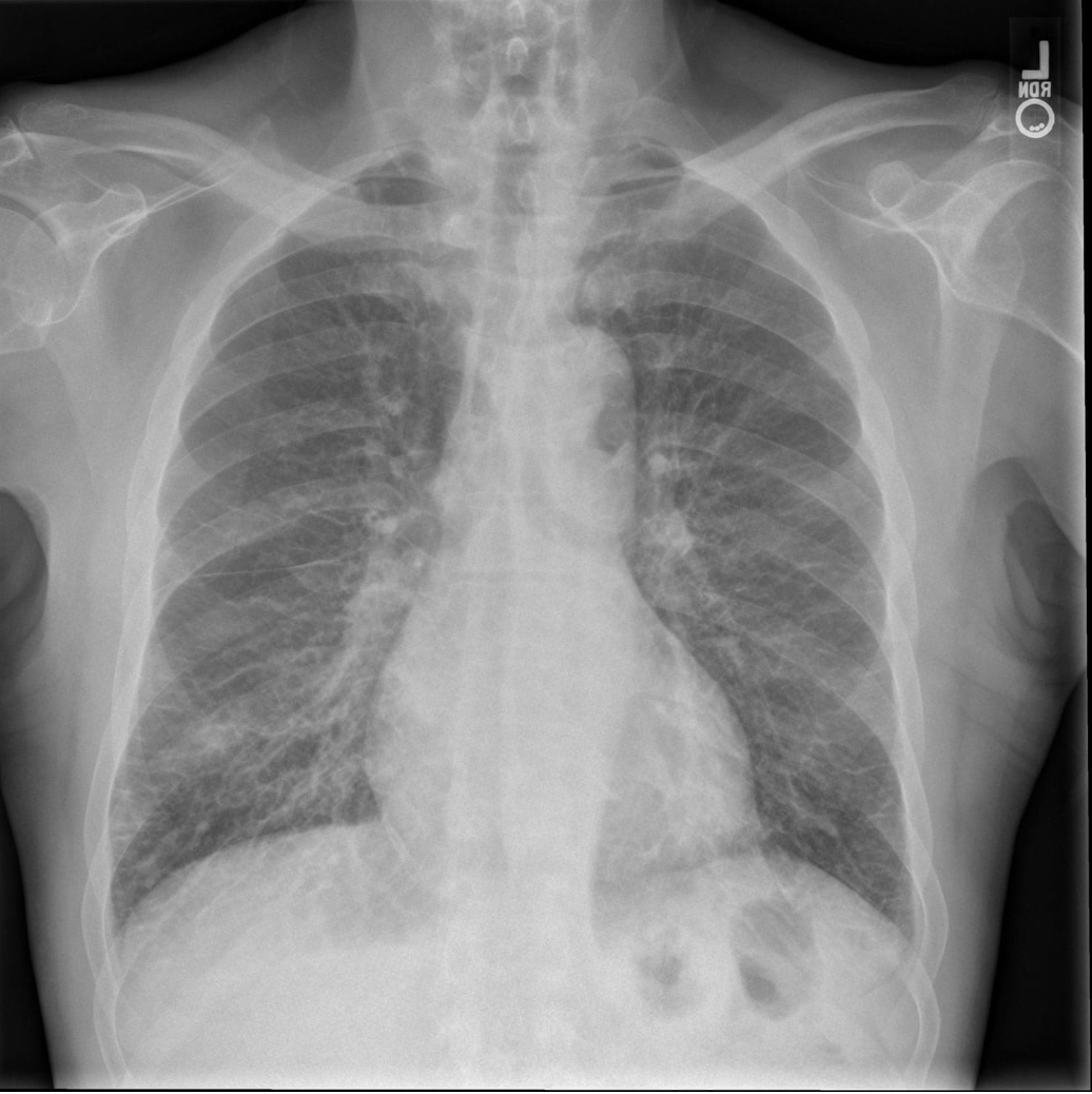
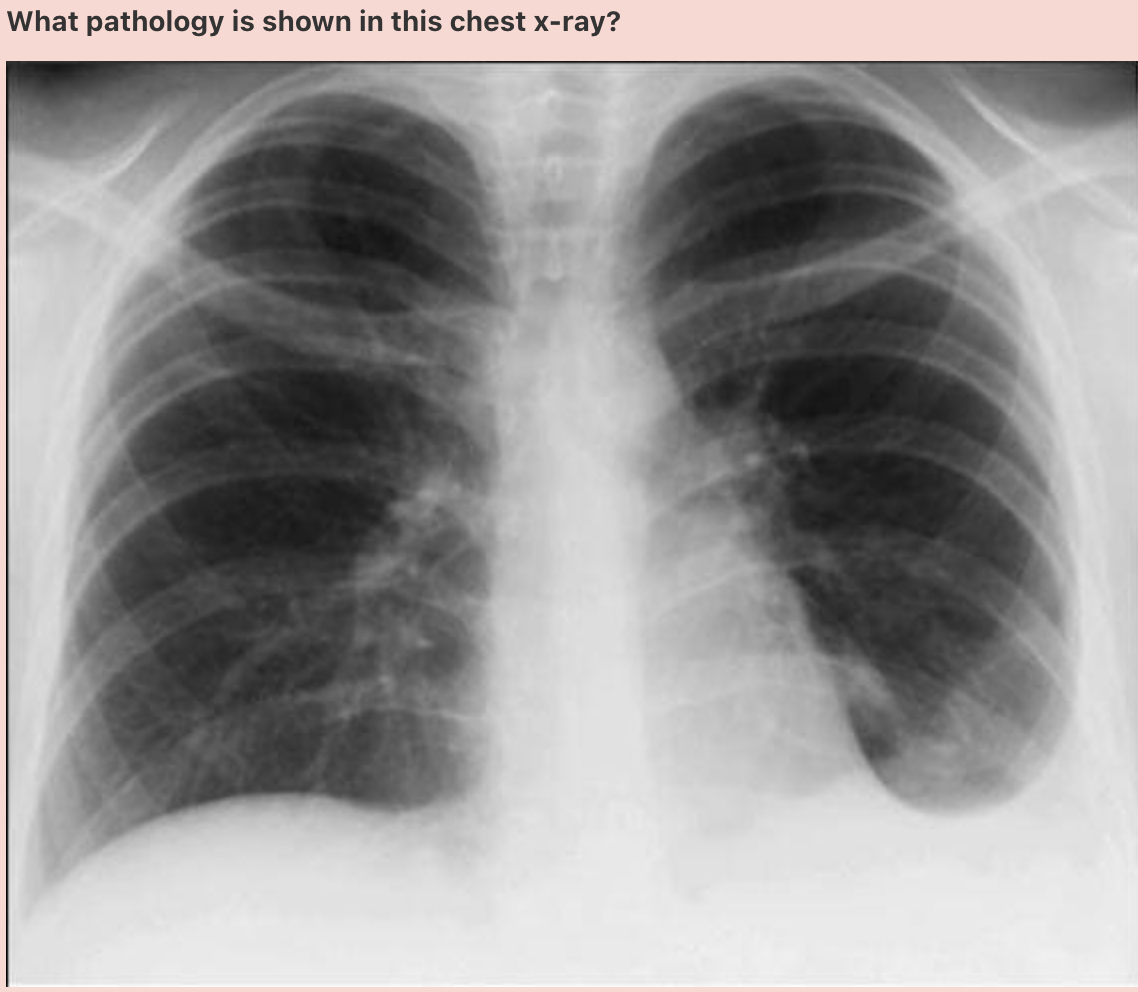
Q

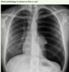
What pathology is shown in this chest x-ray?

  • A ) Chronic obstructive pulmonary disease
  • B ) Lung cancer
  • C ) Normal
  • D ) Pleural effusion
  • E ) Pneumonia
  • F ) Pneumothorax
  • G ) Pulmonary oedema
  • H ) Tuberculosis
A

Answer: Pulmonary oedema

How well did you know this?
1
Not at all
2
3
4
5
Perfectly
2
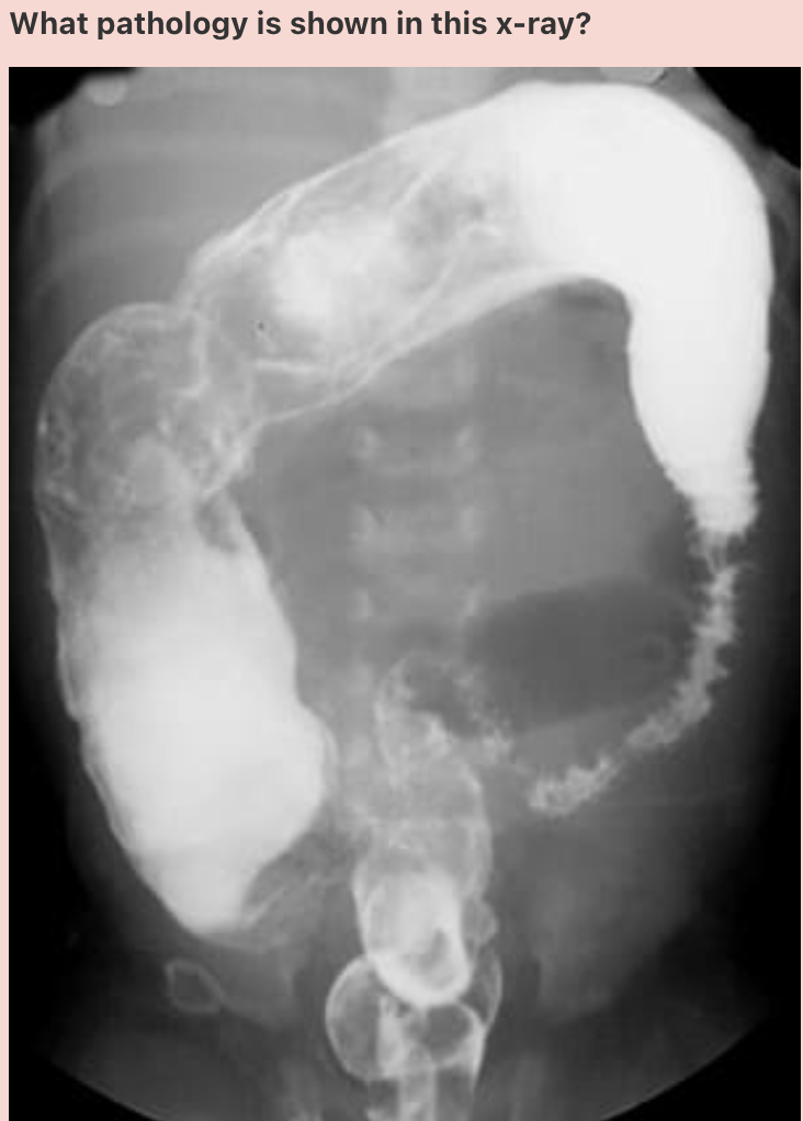
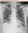
Q

What pathology causes the following presentation (shown by the white arrow)?

  • A) Cecal volvulus
  • B) Chronic pancreatitis
  • C) Crohn’s disease
  • D) Duodenal atresia
  • E) Duodenal ulceration
  • F) Lower lobe pneumonia
  • G) Pancreatic carcinoma
  • H) Toxic megacolon
  • I) Ulcerative colitis
A

Answer: Crohn’s disease

Explanation: Known as ‘string sign’, this observation is classically found in Crohn’s disease. It occurs in both stenotic and non-stenotic phases of the disease; in non-stenotic regions, it is of variable width and is secondary to oedema and GI spasm. In stenotic regions, the diameter is fixed secondary to the scarring and fibrosis seen in severe Crohn’s disease presentations.

How well did you know this?
1
Not at all
2
3
4
5
Perfectly
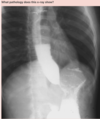
3
Q
  • A) Cecal volvulus
  • B) Chronic pancreatitis
  • C) Crohn’s disease
  • D) Duodenal atresia
  • E) Duodenal ulceration
  • F) Lower lobe pneumonia
  • G) Pancreatic carcinoma
  • H) Toxic megacolon
  • I) Ulcerative colitis
A

Answer: Ulcerative colitis

‘Lead pipe sign’ is noted in the descending colon, on the right border of this image.

How well did you know this?
1
Not at all
2
3
4
5
Perfectly
4
Q
A

Answer: Duodenal atresia

The double bubble sign is seen in infants with duodenal atresia, and represents dilatation of the proximal duodenum and stomach. It is seen in both radiographs and ultrasound imaging, and can be identified antenatally.

How well did you know this?
1
Not at all
2
3
4
5
Perfectly
5
Q
A

Volvulus

Classic coffee bean sign (omega sign) of a sigmoid volvulus.

How well did you know this?
1
Not at all
2
3
4
5
Perfectly
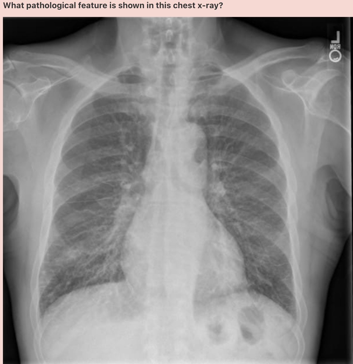
6
Q
A

Answer: Chronic Obstructive Pulmonary Disease

In normal subjects, the diaphragm is intersected by the 5th to 7th anterior ribs in the mid-clavicular line - in this patient you can count up to 9 ribs before reaching the diaphragm - > hyperexpanded lungs.

Flattening of the diaphragm is also observed in this x-ray which is a reliable feature of lung hyperexpansion.

How well did you know this?
1
Not at all
2
3
4
5
Perfectly
7
Q

What is being identified here?

A

Gastric bubble

How well did you know this?
1
Not at all
2
3
4
5
Perfectly
8
Q
A

Answer: Cardiac tamponade

Front chest x-ray demonstrates marked enlargement of the cardiac outline. This was due to pericardial effusion and is a good example of the water bottle sign. This refers to the shape of the cardiac silhouette on erect frontal chest x-rays in patients who have a very large pericardial effusion.

How well did you know this?
1
Not at all
2
3
4
5
Perfectly
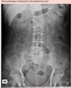
9
Q
A

Answer: Chronic pancreatitis

Note the areas of increased radio-opacity in the left upper quadrant. This is where the pancreas has calcified, after chronic inflammation and subsequent fibrosis.

There are various forms of chronic pancreatitis; the one shown, chronic calcifying pancreatitis, is invariably related to alcoholism. Other forms include chronic obstructive pancreatitis (common) and chronic inflammatory pancreatitis (rare), as well as autoimmune pancreatitis.

How well did you know this?
1
Not at all
2
3
4
5
Perfectly
10
Q
A

Answer: Hilar lymphadenopathy, as seen in tuberculosis

How well did you know this?
1
Not at all
2
3
4
5
Perfectly
11
Q
A

Answer: Hirschsprung’s Disease

How well did you know this?
1
Not at all
2
3
4
5
Perfectly
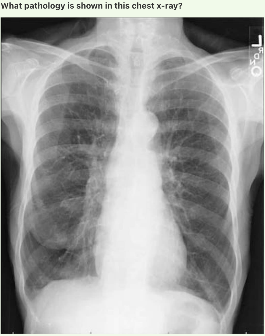
12
Q
A

Answer: Pleural effusion

How well did you know this?
1
Not at all
2
3
4
5
Perfectly
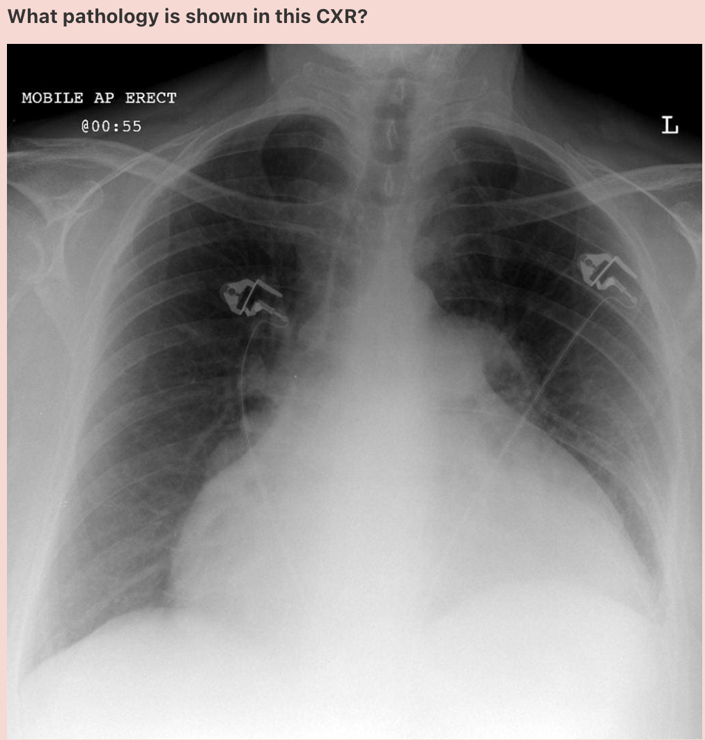
13
Q
A

Answer: Left ventricular aneurysm

Portable chest radiograph taken in ICU reveals a bulge at the cardiac apex.

How well did you know this?
1
Not at all
2
3
4
5
Perfectly
14
Q
A

Answer: Pneumoperitoneum

The double wall sign is another name for the Rigler sign. It is a sign of pneumoperitoneum with gas outlining both sides of the bowel wall. It is seen when large amounts of free gas (>1000 mL) are present.

How well did you know this?
1
Not at all
2
3
4
5
Perfectly
15
Q
A

Answer: Pneumoperitoneum

Free gas under the diaphragm presents in CXR as crescents of low density (black) under each hemidiaphragm. In the setting of acute abdominal pain, this is a sign of bowel perforation.

How well did you know this?
1
Not at all
2
3
4
5
Perfectly
16
Q
A

Answer: Pneumothorax

How well did you know this?
1
Not at all
2
3
4
5
Perfectly
17
Q
A

Answer: Toxic megacolon

A maximum colonic diameter greater than 6cm is considered consistent with toxic megacolon.

How well did you know this?
1
Not at all
2
3
4
5
Perfectly
18
Q

HPC: A 45-year-old man presented to ED with dyspnoea, chest pain, palpitations, and cough. Erythema nodosum on the shins were also noted.

What is the likely diagnosis in this patient?

A

Answer: Sarcoidosis

Sarcoidosis is characterised by bilateral hilar adenopathy and certain clinical features such as erythema nodosum. Diagnosis is made in consideration of the clinical picture and CXR, alongside the gold-standard diagnostic tool of bronchoscopic biopsy which would show non-caseating granulomas with giant cells, asteroid bodies, and Schaumann bodies.

How well did you know this?
1
Not at all
2
3
4
5
Perfectly
19
Q
A

Answer: Haemothorax

Haemothorax literally means blood in the chest, is a term usually used to describe a pleural effusion due to the accumulation of blood. If a haemothorax occurs concurrently with a pneumothorax it is then termed a haemopneumothorax.

It usually occurs from penetrating or blunt trauma to the chest (traumatic haemothorax).

How well did you know this?
1
Not at all
2
3
4
5
Perfectly
20
Q

What is shown here?

A

Posterior costophrenic angle

How well did you know this?
1
Not at all
2
3
4
5
Perfectly
21
Q
A

Answer: Kerley B lines, seen in cardiogenic pulmonary oedema

22
Q
A

Answer: Boerhaave’s syndrome

23
Q

What is being shown here?

A

Right hemidiaphragm

24
Q

Which rib is this?

A

Posterior aspect of the right 6th rib

25
**Answer: Upper lobe collapse** ## Footnote The right upper lobe has collapsed (raised horizontal fissure). An air bronchogram within the right upper zone indicates consolidation. The image also shows consolidation in the left lung.
26
What is being shown here?
Aortic arch
27
**Answer: Bowel wall inflammation** ## Footnote The descending colon is featureless with loss of the normal haustra. The right radiograph shows the inflamed bowel marked in green and the bowel wall thickening marked in light green. (You can also see an umbilical piercing.)
28
**Answer: Left-sided lesions: patients complain of a change in bowel habits, colicky abdominal pain, and/or blood-streaked stools; obstruction is common.**
29
**Answer: Tension pneumothorax** ## Footnote Signs of tension pneumothorax on x-ray: the left lung and hemidiaphragm is compressed, the trachea deviates to the right, the heart is shifted to the contralateral side. In a pneumothorax, the mediastinum should not shift away from the affected side unless it is a tension pneumothorax; otherwise, it shifts towards the side of collapse.
30
**Answer: Osteoarthritis** This image shows severe osteoarthritis of the hip. The joint space is narrowed and there is subchondral sclerosis with scattered oval radiolucent cysts and peripheral osteophyte lipping.
31
**Answer: Chondrosarcoma** ## Footnote A chondrosarcoma is a malignant tumour arising from the mesenchymal cells that produce cartilage. On x-ray, it presents as osteolysis with a typical 'moth-eaten' appearance. It predominantly occurs in the pelvis, ribs, proximal femur, and proximal humerus.
32
**Answer: Achalasia** ## Footnote Achalasia is a disorder of oesophageal motility that causes an inability of the lower oesophageal sphincter to relax. It is due to damage to the ganglion cells of the myenteric plexus (Auerbach's), which is most commonly idiopathic but can be secondary to an insult of the ganglion cells, such as from Chagas disease. Clinically, it can present with dysphagia of both solids and liquids; heartburn; regurgitation of food; cough; and putrid breath. Complications include aspiration pneumonia. A classic 'bird-beak' sign is present on barium swallow studies, as shown in this image.
33
**Answer: Normal**
34
**Answer: Pneumoperitoneum** ## Footnote There are loops of bowel with gas outlining both sides of the bowel wall in keeping with Rigler’s sign. The right radiograph shows in turquoise the areas where the pneumoperitoneum is most clearly seen. Where Rigler’s sign is most clearly seen, the lumen of the bowel is marked in brown. The best example of Rigler’s sign is marked with a white circle. You can also see gas outlining the liver as shown by the white line. *Rigler’s sign: Also known as the double‐wall sign, this is seen when gas is present on both sides of the intestinal wall (i.e. gas within the bowel and free gas in the peritoneal cavity). Normally the bowel wall is only just visible, outlined by the gas within the bowel and peritoneal fat outside of the bowel. With a* pneumoperitoneum*, the bowel wall is easily seen as it is outlined by* the gas *within the bowel and gas outside of the bowel*
35
**Answer: Dilated large bowel** ## Footnote The large bowel is visible as there is gas (black) within. You can tell that it is large bowel as it is distended \>5.5 cm, circumferentially located and haustra are seen within.
36
**Answer: Osteosarcoma** ## Footnote Osteosarcomas are malignant osteoid- and bone-forming tumours that arise from mesenchymal stem cells (osteoblasts) located in the periosteum. In this x-ray, the tibial metaphysis shows extensive osteolytic medullary and cortical bone destruction combined with sclerotic bone formation (seen posteriorly in particular). The lesion affects the entire width of the bone, and there are marked periosteal reactions on both margins. On the posterior margin, massive invasion of the surrounding soft tissue can be seen.
37
**Answer: Right lower lobe**
38
**Answer: Ranke complex** ## Footnote There is a combination of a calcified peripheral granuloma (black arrow) and a calcified hilar lymph node (white arrow) on the same side. Several other, small calcified granulomas are seen in the right mid-lung field. A “Ghon Lesion” or focus is a granuloma in the lung from a previous tuberculous infection. It is a sequela of primary tuberculosis When there is a combination of a parenchymal granuloma and an involved hilar lymph node on the same side, the two together are called a “Ghon Complex” The combination of late fibrocalcific lesions of the lung and lymph node which evolved from the Ghon complex is referred to as the “Ranke complex”
39
**Answer: Right middle lobe**
40
**Answer: Dilated small bowel** ## Footnote The bowel is visible as there is gas (black) within. You can tell that it is the small bowel as it is centrally located and valvulae conniventes can be seen throughout. The loops measure \>3 cm in diameter, therefore, they are dilated. ***_Note: The height of an adult vertebral body is approximately 4 cm. You can use this as a quick comparison to estimate the diameter of the bowel._***
41
**Answer: Dilated large bowel**
42
What is highlighted here?
Osteophyte
43
**Answer: Dilated large bowel**
44
**Answer: Dilated small bowel** ## Footnote The bowel is visible as there is gas (black) within. You can tell that it is the small bowel as it is centrally located and valvulae conniventes can be seen throughout. The loops measure \>3 cm in diameter, therefore, they are dilated. ***_Note: The height of an adult vertebral body is approximately 4 cm. You can use this as a quick comparison to estimate the diameter of the bowel._***
45
**Answer: Klebsiella pneumoniae** ## Footnote Klebsiella pneumonia is rare, but occurs more commonly in the elderly and persons with diabetes and alcoholism. It causes cavitating pneumonia, particularly of the upper lobes, and is often drug resistant.
46
What is highlighted here?
Lingula
47
**Answer: Normal**
48
**Answer: Ewing's sarcoma** ## Footnote This image shows a zone of decreased radiodensity in the proximal tibial diaphysis (red overlay) with a lamellated periosteal reaction, seen as the typical onion skin appearance (blue overlay and arrow) of Ewing sarcoma. In Ewing's sarcoma, a (11;22) translocation is characteristic. Biopsy will reveal small, round blue cells that resemble lymphocytes. It can be confused with lymphoma or chronic osteomyelitis, and often presents with metastasis. It is responsive to chemotherapy.
49
**Answer: Pneumoperitoneum**
50
**Answer: Dilated small bowel**
51
What is being highlighted here?
**Cause of obstruction** ## Footnote There are branching dark lines (gas) projected over the centre of the liver, larger and more prominent towards the hilum, in keeping with pneumobilia. There are centrally located loops of bowel measuring \>3 cm in diameter with valvulae conniventes seen throughout, in keeping with dilated small bowel. There is a calcified opacity projected over the left sacrum in keeping with a large calcified gallstone. The right radiograph shows the pneumobilia marked in dark blue, dilated small bowel marked in blue and gallstone marked in yellow.