Respiratory Flashcards

(145 cards)

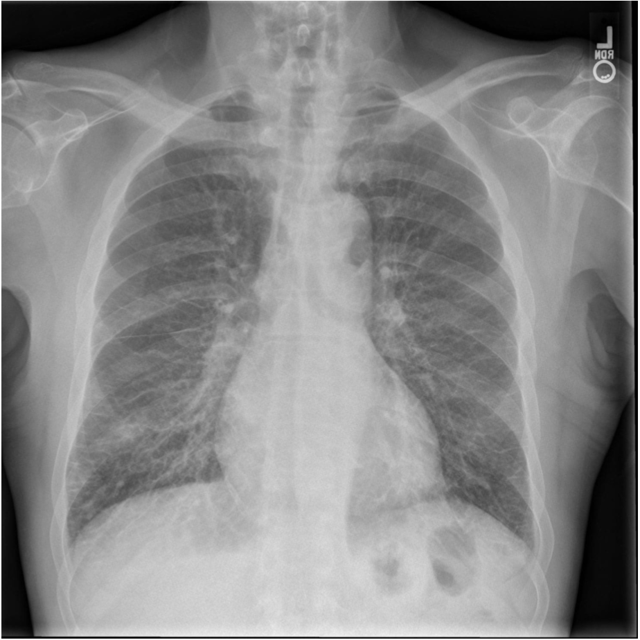
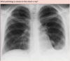
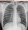
1
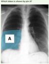
Q

What pathology is shown on this chest x-ray?

  • A ) Chronic obstructive pulmonary disease
  • B ) Lung cancer
  • C ) Normal
  • D ) Pleural effusion
  • E ) Pneumonia
  • F ) Pneumothorax
  • G ) Pulmonary oedema
  • H ) Tuberculosis
A

= G ) Pulmonary oedema

How well did you know this?
1
Not at all
2
3
4
5
Perfectly
2
Q

What anatomical feature is shown by pin A?

  • A ) Alveolar duct
  • B ) Alveolar sac
  • C ) Alveolus
  • D ) Respiratory bronchiole
  • E ) Terminal bronchiole
A

= D) Respiratory bronchiole

How well did you know this?
1
Not at all
2
3
4
5
Perfectly
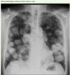
3
Q

Which of the following is a classic finding in a patient with sarcoidosis?

  • A ) Erythema migrans
  • B ) Erythema nodosum
  • C ) Non-blanching purpuric and petechial rashes
  • D ) Pyoderma gangrenosum
  • E ) Raynaud’s phenomenon
A

= B ) Erythema nodosum

How well did you know this?
1
Not at all
2
3
4
5
Perfectly
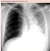
4
Q

A female with a chronic cough presents with symmetrical bilateral hilar adenopathy. What is the most likely set of differential(s)?

  • A ) Lymphoma - TB - sarcoidosis - HIV
  • B ) Sarcoidosis - lymphoma
  • C ) TB - HIV
  • D ) TB - sarcoidosis
  • E ) TB ONLY
A

A ) Lymphoma - TB - sarcoidosis - HIV

How well did you know this?
1
Not at all
2
3
4
5
Perfectly
5
Q

Allergic rhinitis is due to a _____ reaction.

  • A ) type I hypersensitivity
  • B ) type II hypersensitivity
  • C ) type III hypersensitivity
  • D ) type IV hypersensitivity
  • E ) type V hypersensitivity
A

A ) type I hypersensitivity

How well did you know this?
1
Not at all
2
3
4
5
Perfectly
6
Q

What is the most common cause of atypical pneumonia with post-transplant immunosuppressive therapy?

  • A ) Cytomegalovirus
  • B ) Haemophilus influenzae
  • C ) Methicillin-resistant S. aureus (MRSA)
  • D ) Mycoplasma pneumoniae
  • E ) Respiratory syncytial virus
  • F ) Streptococcus pneumoniae
A

= A ) Cytomegalovirus

How well did you know this?
1
Not at all
2
3
4
5
Perfectly
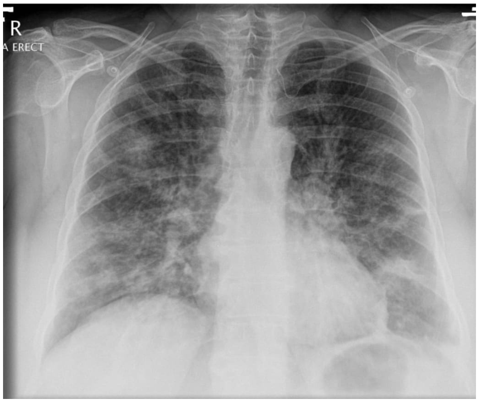
7
Q
A

= H

How well did you know this?
1
Not at all
2
3
4
5
Perfectly
8
Q
A
How well did you know this?
1
Not at all
2
3
4
5
Perfectly
9
Q
A

= E. Reduced ability to neutralise pathogens and toxins on the mucosal surface

How well did you know this?
1
Not at all
2
3
4
5
Perfectly
10
Q
A

= E) Tachypnoea

How well did you know this?
1
Not at all
2
3
4
5
Perfectly
11
Q
A

= E) Vagus

How well did you know this?
1
Not at all
2
3
4
5
Perfectly
12
Q
A

= B) Controlled oxygen therapy, nebulized bronchodilators, steroids, antibiotics (if infection is present), physio to aid sputum expectoration

How well did you know this?
1
Not at all
2
3
4
5
Perfectly
13
Q
A

= C) Glomus cells

How well did you know this?
1
Not at all
2
3
4
5
Perfectly
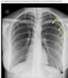
14
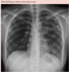
Q

Your patient presented to ED with a four-day history of chest pain, fever, and malaise. After a thorough history and examination, you order a blood culture, CRP, FBC, LFTs, measure his BGLs and SpO2, and send him for a CXR.

Upon examination of his chest x-ray, what pathology is likely?

  • A ) Atelectasis
  • B ) Bronchopneumonia
  • C ) Lobar pneumonia
  • D ) Metastatic nodules
  • E ) Tuberculosis
A

B ) Bronchopneumonia

How well did you know this?
1
Not at all
2
3
4
5
Perfectly
15
Q

What is the name given to this disease, and what effect (if any) is it likely to have on airway resistance?

  • A ) Bleb – no effect, but may progress to pneumothorax
  • B ) Bulla – increased airway resistance on inspiration
  • C ) Centrilobular emphysema – increased airway resistance on expiration
  • D ) Interstitial fibrosis – no change in airway resistance
  • E ) Pneumothorax – symptoms will depend on the size of the lesion
A

= C. Centrilobular emphysema – increased airway resistance on expiration

How well did you know this?
1
Not at all
2
3
4
5
Perfectly
16
Q

In lobar pneumonia, what stage is characterised by WBCs and bacteria, disintegration of RBCs, and persistent fibrinosuppurative exudate?

  • A ) Consolidation/congestion
  • B ) Gray hepatisation
  • C ) Red hepatisation
  • D ) Resolution
  • E ) None of the above
A

B ) Gray hepatisation

How well did you know this?
1
Not at all
2
3
4
5
Perfectly
17
Q

What is the rationale for empiric antibiotic therapy?

  • A ) Administering the broadest spectrum antibiotic available
  • B ) Choosing a broad spectrum antibiotic to treat the most probable causative organism based on clinical reasoning
  • C ) Not treating a patient at all
  • D ) Prescribing antibiotics with a combination of antivirals
  • E ) Prescribing the most cost-effective antibiotic
A

B ) Choosing a broad spectrum antibiotic to treat the most probable causative organism based on clinical reasoning

How well did you know this?
1
Not at all
2
3
4
5
Perfectly
18
Q
A
How well did you know this?
1
Not at all
2
3
4
5
Perfectly
19
Q
A

= C) Interstitial pneumonia

How well did you know this?
1
Not at all
2
3
4
5
Perfectly
20
Q
A
How well did you know this?
1
Not at all
2
3
4
5
Perfectly
21
Q
A
How well did you know this?
1
Not at all
2
3
4
5
Perfectly
22
Q
A
How well did you know this?
1
Not at all
2
3
4
5
Perfectly
23
Q
A

= E) Solitary nucleus

How well did you know this?
1
Not at all
2
3
4
5
Perfectly
24
Q
A
How well did you know this?
1
Not at all
2
3
4
5
Perfectly
25
= D) Hypoxemia
26
= C) Mycoplasma pneumoniae
27
= A) Burkholderia pseudomallei
28
= B) the dorsal respiratory group
29
30
31
**Answer: Middle right** PA: Right middle lobe pneumonia: Single frontal upright chest radiograph shows discrete ground glass opacity with consolidation in the right middle lobe Lateral: Right middle lobe pneumonia: Left lateral chest radiograph in the same patient shows marked consolidation of the right middle lobe, anterior and superior to the right oblique fissure.
32
**Answer: Alveolus**
33
Which microorganism best correlates to the following clinical picture? *Current jelly sputum, bulging fissure sign on CXR, lung necrosis. More commonly seen in patients with COPD and/or alcoholism, and the elderly.*
**Answer: Option F is correct =** *Klebsiella*
34
**Answer: 2; 28**
35
**Answer: IgA protease**
36
**Answer: M. ulcerans** An environmental mycobacteria is transmitted from the environment (flora, fauna) and not between human hosts. As an example, M. ulcerans has a poorly understood mode of transmission however it is not infectious between hosts. It has an association with water, soil, and vegetation in known endemic areas, and mosquitoes may possibly play a role in vector transmission.
37
**Answer: IL-4**
38
**Answer: Isoniazid, rifampicin, pyrazinamide, ethambutol**
39
**Answer: the Haldane effect** ## Footnote The Haldane effect - binding/unbinding of CO2 is altered by O2.
40
**Answer: Pleural effusion**
41
**Answer: faster; carotid bodies**
42
**Answer: Ghon focus**
43
**Answer: 4; 11**
44
**Answer: Option B is correct** * Option A is Streptococcus pneumoniae * Option B is Streptococcus pyogenes * Option C is Staphylococcus aureus * Option D is Neisseria meningitidis * Option E is Moraxella catarrhalis * Option F is Klebsiella pneumoniae
45
**Answer: Competitively antagonises acetylcholine action on muscarine receptors.**
46
**Answer: Azygous and hemiazygous veins**
47
**Answer: the Bohr effect** ## Footnote The Bohr Effect: O2 affinity is affected by CO2.
48
**Answer: Caseous necrosis**
49
**Answer: 31%**
50
**Answer: Ghon focus**
51
**Answer: respiratory bronchiole(s), alveolar ducts, and alveoli** ## Footnote The pulmonary acinus is the anatomical term for the portion of lung distal to the terminal brochiole. This may include one or more (i.e. branching) respiratory bronchioles; alveolar ducts; and alveolar sacs.
52
**Answer: Blue bloaters**
53
**Answer: IV**
54
**Answer: inspiratory flow rate; variable**
55
**Answer: T-cells**
56
**Answer: Mycobacterium tuberculosis**
57
**Answer: 88-92%**
58
**Answer: Ranke complex**
59
**Answer: CT scan**
60
**Answer: Sarcoidosis** ## Footnote Non-caseating granulomas, bilateral adenopathy, and a dry cough are generally typical of sarcoidosis. Sarcoidosis can involve any organ. 90% of patients have an abnormal chest x-ray at some point during the disease. 10% of patients develop a long-term disability, 66% of patients are asymptomatic after 9 years, and 50% improve and then have a recurrence. The most common form of treatment is prescription of corticosteroids.
61
**Answer: Asbestosis**
62
**Answer: Alveolar sac**
63
**Answer: Right middle lobe**
64
**Answer: Moraxella catarrhalis**
65
**Answer: Option D is correct** * Option A is Streptococcus pneumoniae * Option B is Streptococcus pyogenes * Option C is Staphylococcus aureus * Option D is Neisseria meningitidis * Option E is Moraxella catarrhalis * Option F is Klebsiella pneumoniae
66
**Answer: Pulmonary hypertension**
67
**Answer: Klebsiella pneumoniae** ## Footnote Klebsiella pneumonia is rare, but occurs more commonly in the elderly and persons with diabetes and alcoholism. It causes cavitating pneumonia, particularly of the upper lobes, and is often drug resistant.
68
**Answer: proximal regions of the acinus**
69
**Answer: Tension pneumothorax**
70
What is highlighted?
Lingula
71
**Answer: Pseudomonas aeruginosa**
72
**Answer: Isoniazid, Rifampicin, Ethambutol, Pyrazinamide**
73
**Answer: 7.35-7.45**
74
**Answer: Mycoplasma pneumoniae** *Mycoplasma pneumoniae* is an atypical pneumonia and it is difficult to culture; thus, diagnosis is often made empirically. Legionella can produce an extensive pneumonia with neutrophilic alveolar exudates.
75
**Answer: TGF-beta, fibroblasts**
76
**Answer: Confusion**
77
**Answer: Lobar pneumonia**
78
**Answer: Prevents the fusion of lysosomes with the phagocytic vacuole**
79
Which rib?
Posterior aspect of right 6th rib
80
**Answer: If compliance is increased, lungs are easier to inflate but there is lack of elastic recoil and FRC is increased**
81
**Answer: Intradermal**
82
**Answer: Polymorphonuclear leukocytes**
83
**Answer: intracellular killing via macrophage activation**
84
**Answer: Accumulation of misfolded A1AT in hepatocytes**
85
**Answer: Grapefruit**
86
**Answer: Secondary spontaneous pneumothorax** A secondary spontaneous pneumothorax is defined as a pneumothorax that occurs as a complication of underlying lung disease. Nearly every lung disease can be complicated by secondary spontaneous pneumothorax (SSP), although the most commonly associated diseases are chronic obstructive pulmonary disease, cystic fibrosis, primary or metastatic lung malignancy, and necrotizing pneumonia (eg, bacterial or fungal pneumonia, Pneumocystis jirovecii pneumonia, and tuberculosis)
87
**Answer: Pancoast tumour** ## Footnote A Pancoast tumor is a tumor of the pulmonary apex. It is a type of lung cancer defined primarily by its location situated at the top end of either the right or left lung.
88
**Answer: Pleural effusion**
89
**Answer: Alveolar duct**
90
**Answer: Haemothorax** ## Footnote Haemothorax literally means blood in the chest, is a term usually used to describe a pleural effusion due to the accumulation of blood. If a haemothorax occurs concurrently with a pneumothorax it is then termed a haemopneumothorax. It usually occurs from penetrating or blunt trauma to the chest (traumatic haemothorax).
91
**Answer: Klebsiella pneumoniae** Klebsiella pneumoniae is an uncommon culprit of a pneumonia, and predominantly occurs in the immunocompromised patient. This typically includes middle aged male alcoholics, and also diabetics and the elderly. For more information on the features and pathogenesis of the various forms of pneumonia.
92
**Answer: Haemophilus influenzae**
93
**Answer: Partially compensated metabolic alkalosis**
94
**Answer: Fully compensated respiratory alkalosis**
95
**Answer: Idiopathic pulmonary fibrosis**
96
**Answer: Idiopathic pulmonary fibrosis**
97
**Answer: Alveolar sacs**
98
**Answer: Asthma**
99
**Answer: Respiratory acidosis fully compensated by metabolic alkalosis**
100
**Answer: Metabolic acidosis with partial compensation from respiratory alkalosis**
101
**Answer: Bronchopneumonia** ## Footnote Note the patchy areas of consolidation and pus-filled bronchi in this lung, which also shows upper lobe emphysema. Bronchopneumonia has a characteristic patchy distribution, centred on inflamed bronchioles and bronchi with subsequent spread to surrounding alveoli. It occurs most commonly in old age, in infancy and in patients with debilitating diseases, such as cancer, cardiac failure, chronic renal failure or cerebrovascular accidents. Bronchopneumonia may also occur in patients with acute bronchitis, chronic obstructive airways disease or cystic fibrosis. Failure to clear respiratory secretions, such as is common in the postoperative period, also predisposes to the development of bronchopneumonia. Distribution of lesions in lobar pneumonia and bronchopneumonia. [A] Bronchopneumonia is characterised by focal inflammation centred on the airways; it is often bilateral. [B] Lobar pneumonia is characterised by diffuse inflammation affecting the entire lobe. Pleural exudate is common.
102
**Answer: Chronic Obstructive Pulmonary Disease** ## Footnote In normal subjects, the diaphragm is intersected by the 5th to 7th anterior ribs in the mid-clavicular line - in this patient you can count up to 9 ribs before reaching the diaphragm → hyperexpanded lungs. Flattening of the diaphragm is also observed in this x-ray which is a reliable feature of lung hyperexpansion.
103
**Answer: Pneumothorax**
104
**Answer: Bronchiectasis**
105
**Answer: contralateral**
106
**Answer: Idiopathic pulmonary fibrosis**
107
**Answer: Emphysema**
108
**Answer: Klebsiella pneumoniae**
109
**Answer: Chronic bronchitis**
110
**Answer: Bronchiectasis** ## Footnote Bronchiectasis → Permanent dilatation of bronchi
111
**Answer: More than 6 anterior and 10 posterior ribs seen in the mid-clavicular line above the diaphragm**
112
**Answer: Terminal bronchioles**
113
114
**Answer: Consolidation/congestion** ## Footnote The absence of neutrophils indicates that this slide is taken from early days of the pneumonia infection.
115
**Answer: Asbestosis**
116
**Answer: T10**
117
**Answer: Point D**
118
**Answer: H**
119
**Answer: Point F**
120
**Answer: Section E**
121
**Answer: Adenocarcinoma**
122
**Answer: Tension pneumothorax**
123
**Answer: Adenocarcinoma**
124
**Answer: Tuberculosis**
125
**Answer: Simple pneumothorax**
126
**Answer: Small cell carcinoma**
127
**Answer: C**
128
**Answer: type B - fluid in the middle ear**
129
**Answer: a mild rising conductive**
130
**Answer: Adenocarcinoma**
131
**Answer: type A - normal tympanogram**
132
**Answer: Squamous cell carcinoma**
133
**Answer: Otalgia** ## Footnote Common symptoms of acute otitis media include pain, malaise, fever, and coryzal symptoms, lasting for a few days. Pain can be difficult to interpret in young children, but they may tug at or cradle the ear that hurts, appear irritable, disinterested in food or have vomiting.
134
**Answer: Mycoplasma pneumoniae** ## Footnote Other causes of atypical pneumonia include: C*hlamydia pneumoniae*, *respiratory syncytial virus*, *cytomegalovirus*, *influenza virus* and *Coxiella burnetti*.
135
**Answer: Small cell carcinoma** ## Footnote Small cell lung cancer is the most common solid tumour to cause paraneoplastic syndromes, including SIADH (15-40% of patients), ectopic Cushing syndrome (2-5% of patients), and Lambert Eaton Myasthenic syndrome (3% of patients).
136
**Answer: Simple pneumothorax**
137
**Answer: Pneumonia**
138
**Answer: type C - eustachian tube obstruction**
139
**Answer: Lung metastases**
140
**Answer: Small cell carcinoma** ## Footnote Small cell lung cancer is the most common solid tumour to cause paraneoplastic syndromes, including SIADH (15-40% of patients), ectopic Cushing syndrome (2-5% of patients), and Lamberton Eaton Myasthenic syndrome (3% of patients).
141
**Answer: Point D**
142
**Answer: Point F**
143
**Answer: Squamous cell carcinoma** In this squamous cell carcinoma at the upper left is a "squamous eddy" with a keratin pearl. At the right, the tumour is less differentiated and several dark mitotic figures are seen.
144
**Answer: Umbo**
145
**Answer: Point G**