In normal pleural cavity there is tightly controlled
production and absorption of pleural fluid.
pleural cavity lined by
mesothelial cells
pleural fluid is absorbed by the
lymphatic stoma

Imbalance between rate of production and absorption
types of pleural effusion
Simple effusion:
when there is fluid in the pleural fluid- can be transudate or exudate

transudate
occurs due to icnrease hdyrostatic pressure and low onctoic pressure
i.e. low protein and LDH

exudate
occurs due to ifnlamamtiona nd icnreased capillary permeability
i.e. fluid is high protein and LDH

Haemothorax: §
when the fluid is blood e.g. trauma
Chylothorax:
when the fluid is lymph (e.g. leak from lymphatic duct)
Empyema:
when the fluid is pus (secondary to resistant infection)
Presenting symptoms and signs
*
Signs
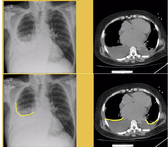
radiological findings: CXR and CT
Meniscus showing fluid in the pleural cavity (right base)

causes of a simple effusion
causes
Haemothorax:
*
when the fluid is blood
causes Chylothorax
when the fluid is lymph (e.g. leak from lymphatic duct
causes of Empyema
when fluid is pus
Treatment
Indwelling pleural catheter (IPC) for intermittent drainage
Pleurodesis
Aim to allow adequate oxygenation of the lungs for the rest of the body
Pleurodesis
obliteration of the pleural space
main causes of transudate in simple efussion
congestive cardiac failure
main causes of exudate in simple efussion
infection (TB, pneumonia), lung malignancy, pulmonary infarction
lights criteria of transudate vs exudate
