Lung Cancer Flashcards

(83 cards)

1
Q

What is the leading cause of death from cancer worldwide in men and women?

1 - stroke
2 - lung cancer
3 - AIDs
4 - liver disease

A

2 - lung cancer

  • 19% of new cancers
  • 35,000 deaths/year in UK
  • 3rd commonest cause of death in UK
How well did you know this?
1
Not at all
2
3
4
5
Perfectly
2
Q

What is the incidence of lung cancer?

1 - 40/year
2 - 400/year
3 - 4000/year
4 - 40,000/year

A

4 - 40,000/year

Typically has a latency period of 30-40 years

How well did you know this?
1
Not at all
2
3
4
5
Perfectly
3
Q

Does the risk of lung cancer increase with age?

A
  • yes
How well did you know this?
1
Not at all
2
3
4
5
Perfectly
4
Q

Which of the following is NOT a risk factor for lung disease?

1 - Radiation
2 - Arsenic
3 - Coal tar (smoking)
4 - Petroleum products
5 - Family History
6 - Diet

A

6 - Diet

How well did you know this?
1
Not at all
2
3
4
5
Perfectly
5
Q

What is the main cause of lung disease, up to 90% of cases?

1 - family history
2 - diet
3 - smoking
4 - exposure of chemical at work

A

3 - smoking

  • linear relationship with smoking and lung cancer
  • the main risk factor for developing lung cancer
How well did you know this?
1
Not at all
2
3
4
5
Perfectly
6
Q

Can passive smoking increase the risk of lung cancer?

A
  • yes
  • but not as much as active smoking
How well did you know this?
1
Not at all
2
3
4
5
Perfectly
7
Q

What is the most common occupational risk factor for lung cancer?

1 - asbestos
2 - radiation
3 - smoke inhalation
4 - arsenic

A

1 - asbestos

Typically has a latency period of 20-40 years

  • 7 x increased risk of lung cancer in non-smoker
  • 93 x increased risk of lung cancer in smoker + asbestos exposure
How well did you know this?
1
Not at all
2
3
4
5
Perfectly
8
Q

What % of lung cancers are due to genetic mutations?

1 - 0.8%
2 - 8%
3 - 18%
4 - 80%

A

2 - 8%

How well did you know this?
1
Not at all
2
3
4
5
Perfectly
9
Q

8% of lung cancers are due to genetic mutations. Which of the following is NOT genes commonly associated with lung cancer?

1 - BRCA1
2 - BRCA2
3 - RD51D
4 - p53

A

4 - p53

How well did you know this?
1
Not at all
2
3
4
5
Perfectly
10
Q

Are the following associated with small cell lung cancer or non-small cell lung cancer?

  • Epidermal Growth Factor Receptor (EGFR)
  • Programmed death ligand 1 and receptor (PD-L1)
  • KRAS
  • Anaplastic lymphoma kinase (ALK)
A

non-small cell lung cancer

Less aggressive form of lung cancer

How well did you know this?
1
Not at all
2
3
4
5
Perfectly
11
Q

A 52 year old man presents to his GP with a persistent cough. He works as a builder and has been fairly fit and well in the past. He has developed a cough recently. Which of the following would you NOT generally ask about his cough?

1 - onset
2 - duration
3 - dry/productive
4 - location of cough
5 - how much sputum?

A

4 - location of cough

How well did you know this?
1
Not at all
2
3
4
5
Perfectly
12
Q

A 52 year old man presents to his GP with a persistent cough. He works as a builder and has been fairly fit and well in the past. He has developed a cough recently. Which of the following would you NOT generally ask about in associated symptoms?

1 - shortness of breath
2 - mMRC score
3 - chest pain
4 - ankle oedema
5 - wheeze

A

4 - ankle oedema

How well did you know this?
1
Not at all
2
3
4
5
Perfectly
13
Q

A 52 year old man presents to his GP with a persistent cough. He works as a builder and has been fairly fit and well in the past. He has developed a cough recently. Which of the following is NOT typically a “Red Flag” symptoms you will ask about?

1 - haemoptysis
2 - weight loss
3 - fevers
4 - night sweats
5 - chest pain

A

5 - chest pain

How well did you know this?
1
Not at all
2
3
4
5
Perfectly
14
Q

A 52 year old man presents to his GP with a persistent cough. He works as a builder and has been fairly fit and well in the past. He has developed a cough recently. What risk factors will you NOT generally ask about?

1 - smoking
2 - genetic mutations
3 - asbestos exposure
4 - radiation

A

2 - genetic mutations

How well did you know this?
1
Not at all
2
3
4
5
Perfectly
15
Q

What is the most common presentation in a patient with lung cancer?

1 - Persistent cough (> 8 weeks)
2 - Worsening breathlessness
3 - Chest pain
4 - Haemoptysis

A

1 - Persistent cough (> 8 weeks)

All symptoms can present in lung cancer

Persistent cough (> 8 weeks) (80%)
Worsening breathlessness (60%)
Chest pain (50%)
Haemoptysis (30%)

How well did you know this?
1
Not at all
2
3
4
5
Perfectly
16
Q

Horners syndrome can be seen in patients with lung cancer. What is horners syndrome?

1 - problem with sympathetic tone on one side of the face
2 - problem with parasympathetic tone in whole face
3 - problem with sympathetic tone on whole face
4 - problem with parasympathetic tone on one side of the face

A

1 - problem with sympathetic tone on one side of the face

  • tumour can compress sympathetic ganglia
How well did you know this?
1
Not at all
2
3
4
5
Perfectly
17
Q

Horners syndrome can be seen in patients with lung cancer and is a problem with sympathetic tone on one side of the face. Which of the following is NOT a symptom of horners syndrome?

1 - ptosis
2 - miosis
3 - corneal arcus
4 - anhidrosis

A

3 - corneal arcus

Ptosis = drooping eyelid
Miosis = constricted pupil
Anhidrosis = lack of sweating

How well did you know this?
1
Not at all
2
3
4
5
Perfectly
18
Q

In a cancer patient which of the following do we NOT commonly see when examining the patient?

1 - general appearance: cachexia, low BMI (normal 20-25)
2 - increased RR (> 20 bpm)
3 - Clubbing
4 - bradycardia (< 60 bpm)
5 - Hoarse voice

A

5 - bradycardia (< 60 bpm)

Typically we would see tachycardia as the patient is SOB

How well did you know this?
1
Not at all
2
3
4
5
Perfectly
19
Q

In a patient with a confirmed diagnosis of lung cancer, which of the following do we NOT commonly see when examining the patient?

1 - horner’s syndrome (miosis, ptosis, anhidrosis and enophthalmos)
2 - pneumothorax
3 - lymphadenopathy (cervical or supraclavicular)
4 - tracheal deviation
5 - wheeze

A

2 - pneumothorax

How well did you know this?
1
Not at all
2
3
4
5
Perfectly
20
Q

A pleural effusion can occur in lung cancer. What is a pleural effusion?

1 - fluid filling space between lungs and chest wall
2 - fluid filled space between lungs and heart
3 - cardiomegaly
4 - carcinoma in pleural space

A

1 - fluid filling space between lungs and chest wall

How well did you know this?
1
Not at all
2
3
4
5
Perfectly
21
Q

In a patient with suspected lung cancer, which of the 2 of the following would be done immediately?

1 - CXR
2 - bronchoscopy
3 - Blood tests (FBC, U+Es, LFTs)
4 - PET scan
5 - lung function test

A

1 - CXR

3 - Blood tests (FBC, U+Es, LFTs)

How well did you know this?
1
Not at all
2
3
4
5
Perfectly
22
Q

In a patient with suspected lung cancer, we would perform a CXR and blood tests. Which of the following is NOT a standard investigation?

1 - lung drain and culture
2 - bronchoscopy
3 - PET scan
4 - lung function test
5 - CT scan

A

1 - lung drain and culture

How well did you know this?
1
Not at all
2
3
4
5
Perfectly
23
Q

When diagnosing lung cancer, is histology samples (tissue) or cytology (better?

A
  • histology samples (tissue)

Cytology = cell
Histology = tissue

How well did you know this?
1
Not at all
2
3
4
5
Perfectly
24
Q

What is a nodule?

1 - abnormal growth of tissue
2 - cancerous growth of tissue
3 - benign growth of tissue
4 - pus filled cavity

A

1 - abnormal growth of tissue

  • could be cancerous or benign
  • always presume cancer until confirmed otherwise
How well did you know this?
1
Not at all
2
3
4
5
Perfectly
25
When we want to quantify the functional impact cancer may have on the lungs, which scoring system do we use? 1 - Wellness score 2 - CURB65 score 3 - WHO Performance Status 4 - GOLD score
3 - WHO Performance Status
26
The WHO Performance Status is used to assess the impact cancer can have on patients function. The scoring has 5 levels, is 0 or 5 the worse score?
- 5 This is death
27
Brain, bone and an MRI of the thorax can often be performed in a patient with lung cancer. Why is this? 1 - best for soft tissues and often quickest test 2 - cheapest test to perform 3 - used if suspicion of metastasis 4 - all of the above
3 - used if suspicion of metastasis Not typically the 1st test though
28
Below is a list of benign tumours. Which is not a benign lung tumour? 1 - Hamartoma 2 - Arterio-venous malformations (AVMs) 3 - Carcinoid tumour 4 - Granuloma 5 - Adenocarcinoma 6 - Rheumatoid lung nodules
5 - Adenocarcinoma
29
Nodules that are detected on imaging can become calcified. If they become calcified are they more likely to be malignant or benign?
- benign - appear very bright on CT
30
PET scans can be performed to stage cancers. To do this 18 Fluoro-2-deoxy-glucose (FDG) (analogue of glucose) is injected. Why is this? 1 - glucose binds well to malignant cells 2 - malignant cells do not absorb glucose 3 - malignant cells have very high metabolism 4 - glucose can be absorbed by body
3 - malignant cells have very high metabolism As they use a lot of glucose they will appear very bright
31
What is the imaging modality of choice for staging lung cancer? 1 - ultrasound 2 - MRI 3 - CT-PET 4 - X-ray
3 - CT-PET Letters in staging relate to: p = pathology on biopsy T = tumour size R = margins
32
Bronchoscopy is a techniques used most commonly for what? 1 - haemoptysis 2 - viewing alveoli 3 - seeing small/distal tumours 4 - good view of large distal tumours
1 - haemoptysis - commonly used for suspected lung cancer and take biopsy - can also use this for cytological lavage
33
There are a number of diagnostic and therapeutic approaches to lung cancer. What is a wedge biopsy? 1 - part of lobe removed 2 - one lobe removed 3 - one lung removed 4 - all of the above
1 - part of lobe removed
34
There are a number of diagnostic and therapeutic approaches to lung cancer. What is a lobectomy biopsy? 1 - part of lobe removed 2 - one lobe removed 3 - one lung removed 4 - all of the above
2 - one lobe removed
35
There are a number of diagnostic and therapeutic approaches to lung cancer. What is a pneumonectomy? 1 - part of lobe removed 2 - one lobe removed 3 - one lung removed 4 - all of the above
3 - one lung removed
36
Patients with suspected lung cancer will receive a full lung function assessment. Why is this important? 1 - important to know if they will survive treatment 2 - important to know if their airways can be optimised prior to treatment 3 - important to understand if the cancer is curative
2 - important to know if their airways can be optimised prior to treatment - may start them on COPD or asthma medication to help with symptoms
37
If a patient has a suspected lung cancer and we need a biopsy that is central, what biopsy method should we use? 1 - bronchoscopy 2 - open surgery 3 - CT guided biopsy 4 - X-ray guided biopsy
3 - CT guided biopsy
38
Patients with suspected lung cancer will always have which 2 of the following cardiac tests as part of their diagnostic and treatment plan? 1 - ECG 2 - CPEX 3 - Echo 4 - troponin measurement
1 - ECG 3 - Echo - likely to have cardiac disease if they are smokers
39
Bronchial mucosa and epithelium can be exposed to carcinogens, such as smoke and asbestos. This can cause changes in the epithelium cells. Which of the following is cancerous? 1 - metaplasia 2 - dysplasia
2 - dysplasia - cell becomes abnormal - metaplasia means cells change to a different type of cell (squamous to columnar)
40
Bronchial epithelium cells can become metaplastic (cells differentiate to a different type of cell) and then dysplasia (abnormal cell development). If this continues this can become malignant causing lung cancer. Which of the following is NOT a common site of local invasion from the original mass in lung cancer? 1 - adjacent lung 2 - pericardium 3 - pleura 4 - oesophagus 5 - ribs and muscle
4 - oesophagus
41
Bronchial epithelium cells can become metaplastic (cells differentiate to a different type of cell) and then dysplastic (abnormal cell development), which can cause lung cancer. Which of the following is NOT a common site of distal metastasis spreading through lymphatics and blood from the original lung cancer mass? 1 - lymph node 2 - adrenals 3 - liver 5 - bone 6 - brain 7 - gall bladder 8 - skin
7 - gall bladder
42
What does bronchogenic mean? 1 - genetics of lung tissue 2 - lung tissue 3 - cancer of the lung tissue 4 - cancer
3 - cancer of the lung tissue - could involve tissue surrounding or within the lungs
43
There are 2 main types of lung cancer, small cell lung cancer and non small cell lung cancer. Which is most common?
- non small cell lung cancer Accounts for 85% of lung cancer and has a better prognosis Small cell lung cancer is the most aggressive and has the worst prognosis
44
Where do squamous cell lung cancers arise from? 1 - squamous cells anywhere in the body 2 - squamous cells from the skin 3 - squamous cells of the lungs
3 - squamous cells of the lungs
45
Where do Adenocarcinoma cell lung cancers arise from? 1 - mucin produces cells anywhere in the body 2 - squamous cells from the skin 3 - squamous cells of the lungs 4 - mucin producing glandular epithelium
4 - mucin producing glandular epithelium - adeno relates to glandular tissue - mucin producing cells are recognised as exocrine glands (secrete into ducts)
46
There are 3 key types of non small cell carcinomas that we need to be aware of: - adenocarcinoma (40%) - squamous cell carcinoma (35%) - large cell carcinoma (15%) Which of the following is NOT a characteristic of adenocarcinoma? 1 - arise from mucous cells of the epithelium 2 - less associated with smoking 3 - more peripheral, grow slowly, metastasise late 4 - grow centrally
4 - grow centrally
47
There are 3 key types of non small cell carcinomas that we need to be aware of: - adenocarcinoma (40%) - squamous cell carcinoma (35%) - large cell carcinoma (15%) Which of the following is NOT a characteristic of Squamous Cell Carcinoma? 1 - develops in large central airways 2 - cavitating with necrosis and haemorrhage 3 - less associated with smoking 4 - PTH secreting (hypercalcaemia)
3 - less associated with smoking
48
There are 3 key types of non small cell carcinomas that we need to be aware of: - adenocarcinoma (40%) - squamous cell carcinoma (35%) - large cell carcinoma (15%) Which of the following is NOT a characteristic of large cell carcinomas? 1 - poorly differentiated 2 - highly aggressive 3 - metastasize early 4 - good prognosis
4 - good prognosis
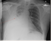
49
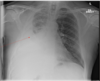
The X-ray of the chest below shows which type of small cell carcinoma? 1 - adenocarcinoma 2 - squamous cell carcinoma 3 - large cell carcinoma
1 - adenocarcinoma - more peripheral, grow slowly, metastasise late
50
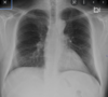
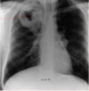
The X-ray of the chest below shows which type of small cell carcinoma? 1 - adenocarcinoma 2 - squamous cell carcinoma 3 - large cell carcinoma
2 - squamous cell carcinoma - located centrally and it is cavitating - cavitating with necrosis and haemorrhage - PTH secreting (hypercalcaemia)
51
Which type of cell type do small cell lung cancers typically originate from? 1 - glandular cells 2 - alveoli cells 3 - squamous cells 4 - endocrine cell
4 - endocrine cell - also called Kulchitsky cells, located close to the basement membrane
52
Small cell lung cancers typically originate from endocrine cells, also called Kulchitsky cells. What are these cells able to secrete? 1 - mucin 2 - polypeptide hormones 3 - steroids 4 - histamines
2 - polypeptide hormones - endocrine meals to secrete things - endocrine = hormones - exocrine = saliva, sweat, juices etc.
53
Which of the following is NOT a characteristic of small cell lung cancers? 1 - secrete polypeptide hormones 2 - good prognosis 3 - often central tumours 4 - highly aggressive, grow rapidly and metastasizes early
2 - good prognosis
54
Why can lung cancer cause pleuritic chest pain and effusion? 1 - increases vasodilation 2 - grows on nerves causing deferred pain 3 - spreads into pleural space 4 - increases cell permeability
3 - spreads into pleural space - the parietal layer has pain receptors - visceral layer has no pain sensation
55
Why can typically happen to the ribs in lung cancer? 1 - increased Ca2+ content 2 - osteoporotic 3 - degrade and brittle 4 - deform
3 - degrade and brittle - eroded bones lead to lots of pain
56
What is a pancoast tumour? 1 - tumours resembling pans 2 - tumours growing in the apex of the lungs 3 - tumours involving lymph nodes 4 - virchow's nodes
2 - tumours growing in the apex of the lungs - named after doctor - can cause severe pain and occlude blood vessels - can affect nerves in brachial plexus causing horners syndrome
57
If a patient presents to ED with a bone fracture, but no history of trauma, what could this be? 1 - lung cancer 2 - osteoarthritis 3 - inflammatory bowel disease 4 - raynauds syndrome
1 - lung cancer - pathological fracture - metastasis causing pain and hypercalcaemia as the tumours degrade bone and release calcium
58
If a patient has lung cancer and it metastasise to the liver, what are typically the 2 things we could see? 1 - raised CRP and jaundice 2 - jaundice and raised LFT 3 - raised LFT and GGT 4 - gall stones and jaundice
2 - jaundice and raised LFT
59
If a patient has lung cancer and it metastasise to the skin, how can this typically present? 1 - nodules 2 - erythema 3 - trigger points 4 - hair loss
1 - nodules
60
In addition to metastasis in lung cancer, they can also cause paraneoplastic syndrome. What is this? 1 - tumours secrete hormones 2 - tumours degrade tissue para-sternally 3 - tumours secrete neurotransmitters 4 - tumours inhibit the release of hormones
1 - tumours secrete hormones Typically occurs due to a tumour, typically malignant
61
In addition to metastasis in lung cancer, they can also cause para-neoplastic syndrome, which is the release of hormones from the tumour. Which of the following is NOT a common para-neoplastic syndrome? 1 - SIADH: hyponatraemia (SCLC) 2 - ACTH: Cushing’s syndrome (SCLC) 3 - PTH: hypercalcaemia (SCC) 4 - hypergonadism (SCC) SIADH = syndrome of inappropriate secretion of antidiuretic hormone ACTH = Adrenocorticotropic hormone PTH = parathyroid hormone
4 - hypergonadism
62
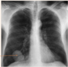
What does the chest X-ray below show? 1 - small cell lung cancer 2 - pleural effusion 3 - non small cell carcinoma 4 - fibrosis
2 - pleural effusion
63
What is mesothelioma? 1 - malignant tumour of the mesentery in GIT 2 - malignant tumour of the mesentery in uterus 3 - malignant tumour of the mesothelial tissue surrounding the lungs
3 - malignant tumour of the mesothelial tissue surrounding the lungs - very poor prognosis
64
Mesothelioma is a malignant tumour of the mesothelial tissue surrounding the lungs. What is the most common cause of this? 1 - alcohol 2 - drugs 3 - asbestos 4 - smoking
3 - asbestos
65
Mesothelioma is a malignant tumour of the mesothelial tissue surrounding the lungs typically caused by asbestos, with a latency period of around 30-40 years. Which of the following is NOT a common clinical presentation? 1 - Severe chest pain (chest wall) 2 - Anorexia and weight loss 3 - Horners syndrome 4 - Increasing breathlessness
3 - Horners syndrome
66
In a patient with Mesothelioma, which imaging modality is commonly used to discover it? 1 - MRI 2 - CT scan 3 - ultrasound 4 - X-ray
4 - X-ray CT can also be used, but X-ray is 1st line Can cause: - thickened pleura - nodularity of pleura - contraction of hemithorax - unilateral pleural effusion
67
In a patient with Mesothelioma, we may perform an analysis of the pleural fluid where we may find exudate. When comparing exudate and transudate, which has the following: - high protein and LDH - low protein and LDH
- exudate = high protein and LDH Remember proteins are BIG and exit the vasculature - transudate = low protein and LDH Remember linked to osmotic pressures
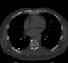
68
Wha does the CT scan of the lungs show? 1 - small cell lung cancer 2 - pleural effusion 3 - non small cell carcinoma 4 - mesothelioma
4 - mesothelioma
69
Which of the following is NOT typically a treatment option for patients with mesothelioma? 1 - Surgery 2 - Chemotherapy 3 - Palliative care 4 - immunotherapy
4 - immunotherapy - patients should also be advised to see compensation as well
70
In patients with non-small cell lung cancer (NSCLC) and SCLC, does chemotherapy cure the cancer?
- no - prolongs life, rarely curative - often palliative and combined with radiotherapy
71
Which of the following is radiotherapy used for? 1 - radical use: high dose, curative intent (CHART) 2 - Palliative: low dose, symptom control: Pain at tumour site, Bony metastases, Spinal cord compression 3 - Prior to surgery: de-bulking, down-staging tumour 4 - Combined modality: with chemotherapy 5 - Post surgery: improve long term survival 6 - all of the above
6 - all of the above - if the tumour has spread it is rarely curative
72
Which of the following is NOT a typical adverse events of radiotherapy? 1 - pneumonitis 2 - lung fibrosis 3 - gallstones 4 - arrhythmias 5 - heart failure 6 - dysphagia
3 - gallstones
73
Is surgery typically used for both small cell and non-small cell lung cancer?
- typically used for non-small cell lung cancer - used for small cell lung cancer if caught early
74
All of the following therapies can be used in patients with small cell and non-small cell lung cancer as palliative care, EXCEPT which one? 1 - Radiotherapy 2 - Chemotherapy 3 - Immunotherapy
1 - Radiotherapy - can reduce quality of life and even kill patients if they become infected
75
Lung cancer typically has a poor prognosis, why is this? 1 - patients present late with symptoms 2 - lungs compensate for damaged tissue 3 - patient compensates for SOB 4 - all of the above
4 - all of the above
76
Systemic anti-cancer treatment (SACT) is something that is given that can travel throughout the body. Which of the following is NOT a form SACT? 1 - radiotherapy 2 - chemotherapy 3 - targeted drug therapy
1 - radiotherapy Typically this is very focused to the tumour, rather than systemically
77
DO NOT NEED TO KNOW ALL THE DETAILS RELATING TO STAGING
We just need to know the following: T = relates to the size of the tumour N = nodal involvement M = metastasis These are typically added later: R = resection (R0 = no cancer margins) p = scoring based on pathologies
78
Adjuvant treatment is therapy that adds a small additional benefit to the main cancer treatment. Which of the following is given before and after the main treatment for lung cancer: - adjuvant - neo-adjuvant
- adjuvant = given to patient following main cancer treatment - neo-adjuvant = given prior to the main cancer treatment
79
Lung cancer can cause superior vena cava obstruction (SVCO). Which of the following are common symptoms that present in SVCO? 1 - face and neck swelling 2 - headaches/dizziness 3 - syncope 4 - conjunctival oedema 5 - compensatory collaterals on the chest 6 - all of the above
6 - all of the above
80
Following surgery for lung cancer there can also be other problems. Which of the following may cause syncope, SOB, stridor, neck and facial swelling, dizziness and headaches, collateral development on the chest? 1 - heart failure 2 - superior vena cava obstruction 3 - pancoast tumour 4 - COPD
2 - superior vena cava obstruction Can occur following surgery for lung cancer Cancer has come back and caused an obstruction that grows insidiously
81
Which of the following would NOT be part of treatment for a patient presenting with superior vena cava obstruction? 1 - sit the up 2 - O2 as required 3 - antibiotics 4 - dexamethasone (steroids) 5 - stenting 6 - anticoagulant
3 - antibiotics Steroids can affect patients sleep Always prescribe PPI with steroids as they can cause ulcers
82
If a patient develops neutropenic sepsis due to the cancer treatment, in addition to initiating the sepsis 6, what can be given in an attempt to increase the neutrophil count? 1 -dexamethasone 2 - granulocyte colony stimulating factors (GCSF) 3 - blood transfusion 4 - frozen WBCs
2 - granulocyte colony stimulating factors (GCSF)
83
ESR is typically raised in all of the following, EXCEOT which one? 1 - TB 2 - malignancy 3 - pleural effusions 4 - connective tissue disorders
3 - pleural effusions