Myeloproliferative disorders/ Multiple Myeloma Flashcards

(38 cards)

1
Q

Multiple myeloma is a malignancy of the bone marrow in specifically which cells?

1 - T cells
2 - plasma cells
3 - monocytes
4 - natural killer cells

A

2 - plasma cells
- develop from B cells become clones with a specific antibody
- they produce an abnormal immunoglobulin called a PARAPROTEIN

How well did you know this?
1
Not at all
2
3
4
5
Perfectly
2
Q

In a healthy patient, do plasma cells secrete antibodies or paraprotein?

A
  • antibodies
  • paraprotein produced by abnormal B cells = monoclonal immunoglobulin or light chain present in the blood or urine
How well did you know this?
1
Not at all
2
3
4
5
Perfectly
3
Q

What is the incidence of multiple myeloma?

1 - 5 / 1,000,000
2 - 5 / 100,000
3 - 5 / 10,000
4 - 5 / 1000

A

2 - 5 / 100,000

How well did you know this?
1
Not at all
2
3
4
5
Perfectly
4
Q

What age is most affected by multiple myeloma?

1 - <18 y/o
2 - 20-30 y/o
3 - 40-50 y/o
4 - 60-70 y/o

A

4 - 60-70 y/o

  • increases with age
  • africans have slightly higher risk that caucasians
How well did you know this?
1
Not at all
2
3
4
5
Perfectly
5
Q

Is multiple myeloma currently curable?

A
  • no
How well did you know this?
1
Not at all
2
3
4
5
Perfectly
6
Q

Although the exact cause of multiple myeloma is unknown, there are risk factors. Which of the following is a risk factor for multiple myeloma?

1 - family history (1st degree relative)
2 - increasing age
3 - increased oncogenes
4 - exposure to toxins
5 - all of the above

A

5 - all of the above

How well did you know this?
1
Not at all
2
3
4
5
Perfectly
7
Q

Multiple myeloma is a malignancy of the bone marrow, specifically plasma cells. In addition to secreting an abnormal immunoglobulin, they can also secrete what else?

1 - abnormal light chains
2 - abnormal heavy chains
3 - abnormal disulphide bond
4 - abnormal constant region

A

1 - abnormal light chains
- important for specific antigen binding

  • can also have different subtypes including kappa and lamba light chains or different immunoglobulins (IgA, IgG etc..)
How well did you know this?
1
Not at all
2
3
4
5
Perfectly
8
Q

Multiple myeloma is a malignancy of the bone marrow, specifically plasma cells. They can be categorised into the type of immunoglobulin, kappa or lamba that is affected. Which of the following is the most common?

1 - IgA
2 - IgG
3 - IgM
4 - IgD
5 - IgE

A

2 - IgG
- IgG accounts for 2/3 of all cases
- IgA is next most common

How well did you know this?
1
Not at all
2
3
4
5
Perfectly
9
Q

Multiple myeloma is a malignancy of the bone marrow, specifically plasma cells. Which of the following tissues is NOT typically affected in multiple myeloma?

1 - blood
2 - spleen
3 - heart
4 - bone

A

3 - heart

How well did you know this?
1
Not at all
2
3
4
5
Perfectly
10
Q

Multiple myeloma is most common in older adults as it has a slow insidious onset, when typically end organ damage becomes symptomatic. This can be remember using the mnemonic CRABBI. What does the C stand for?

1 - carpal tunnel syndrome
2 - cardiac failure
3 - calcium is elevated
4 - all of the above

A

3 - calcium is elevated
- hypercalcaemia

  • increased reabsorption of bone, suggests more serious disease
  • remember Bones, Groans, Stones and Psychotic Undertones
How well did you know this?
1
Not at all
2
3
4
5
Perfectly
11
Q

Multiple myeloma is most common in older adults as it has a slow insidious onset, when typically end organ damage becomes symptomatic. This can be remember using the mnemonic CRABBI. What does the R stand for?

1 - renal insufficiency
2 - retinopathy
3 - reflex hypotonia
4 - all of the above

A

1 - renal insufficiency

Myriad of causes:
- hypercalcaemia
- infections (low WBC variability)
- dehydration (high Ca2+)
- medications due to bone pain
- type 3 hypersensitivity caused by deposition of immunoglobulins in renal tubules

How well did you know this?
1
Not at all
2
3
4
5
Perfectly
12
Q

Multiple myeloma is most common in older adults as it has a slow insidious onset, when typically end organ damage becomes symptomatic. This can be remember using the mnemonic CRABBI. What does the A stand for?

1 - adrenal insufficiency
2 - anaemia
3 - adenoma
4 - all of the above

A

2 - anaemia
- RBC production is reduced due to overproduction of paraprotein

How well did you know this?
1
Not at all
2
3
4
5
Perfectly
13
Q

Multiple myeloma is most common in older adults as it has a slow insidious onset, when typically end organ damage becomes symptomatic. This can be remember using the mnemonic CRABBI. What does the B stand for?

1 - breasts
2 - brain
3 - bones
4 - all of the above

A

3 - bones
- malignancy causes bone destruction
- lesions are common
- collapse vertebrae can cause life threatening cord compression

How well did you know this?
1
Not at all
2
3
4
5
Perfectly
14
Q

Multiple myeloma is most common in older adults as it has a slow insidious onset, when typically end organ damage becomes symptomatic. This can be remember using the mnemonic CRABBI. What does the second B stand for?

1 - bleeding
2 - brain infilitrates
3 - B symptoms
4 - all of the above

A

1 - bleeding

Bone marrow crowding results in thrombocytopenia, increasing the risk of bleeding and bruising

How well did you know this?
1
Not at all
2
3
4
5
Perfectly
15
Q

Multiple myeloma is most common in older adults as it has a slow insidious onset, when typically end organ damage becomes symptomatic. This can be remember using the mnemonic CRABBI. What does the I stand for?

1 - infarcts
2 - impetigo
3 - infection
4 - all of the above

A

3 - infection

Reduced production of normal immunoglobulins results in increased susceptibility to infection

How well did you know this?
1
Not at all
2
3
4
5
Perfectly
16
Q

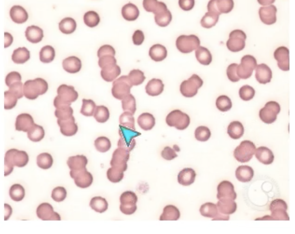
When we try to diagnose myeloma we can do a FBC. Which of the following would NOT be commonly observed?

1 - microcytic anaemia
2 - rouleux
3 - raised erythrocyte sedimentation rate
4 - normocytic, normochromic anaemia

A

1 - microcytic anaemia

Iron, folate and B12 would all be fine
RBCs are crowded out due to B cells

  • rouleux = lots of proteins in the blood causing RBCs to stick together which can be seen on histology
17
Q

When we try to diagnose myeloma, which 2 of the following would be elevated?

1 - creatinine
2 - bilirubin
3 - urea
4 - neutrophils

A

1 - creatinine
3 - urea

  • kidneys are heavily affected by multiple myeloma
18
Q

When we try to diagnose myeloma, we can see an elevated Ca2+ due to bone breakdown due to the malignancy. Do we also see a raised alkaline phosphatase (ALP)?

A
  • no
  • ALP = would be expected to be high due to bone breakdown, but not the case
19
Q

In multiple myeloma would we expect to see a raised or reduced beta 2 myoglobulin?

A
  • raised
  • tumour marker for multiple myeloma
20
Q

In multiple myeloma would we expect to see a raised or reduced immunoglobulin level?

A
  • reduced
  • abnormal plasma cells are busy making paraprotein
21
Q

In the blood we would expect to see raised concentrations of monoclonal IgA/IgG proteins will be present in the serum. In the urine the IgA/IgG proteins are called Bence Jones. What is the most common protein that causes Bence Jones proteins?

1 - free kappa chain
2 - free lamba chain
3 - free Ig light chain
4 - free heavy chains

A

3 - free Ig light chain

22
Q

If a patient presents with hypercalcaemia they need to be treated as this is a medical emergency can can cause cardiac arrhythmias including torsade de pointes and ventricular tachycardia. Which of the following would patients NOT be treated with in this instance to manage the hypercalcaemia?

1 - bisphosphonates
2 - fluids
3 - dexamethasone (steroid)
4 - gentamicin

A

4 - gentamicin

  • bisphosphonates = help rebuild bone and absorb Ca2+ (Alendronic acid, Disodium pamidronate, Zoledronic acid) BUT INCREASED RISK OF JAW OSTEONECROSIS

Steroids can destroy myeloma cells
Fluids help dilute the Ca2+ and renal function

23
Q

What test can be performed to identify monoclonal antibodies, also known as M proteins in multiple myeloma (MM)?

1 - blood smear
2 - genetic testing
3 - high performance liquid chromatography
4 - Serum protein electrophoresis and/or serum free light chains

A

4 - Serum protein electrophoresis and/or serum free light chains
- in MM the levels of these will be higher than normal
- the exact paraprotein can then be identified

  • in the figure the patient would have an IgG Kappa para protein
24
Q

A bone biopsy is often need for a definitive diagnosis of multiple myeloma (MM). What is the cut off for the % of nucleated cells in the bone marrow that need to be made up of monoclonal plasma cells for a diagnosis of MM to be made?

1 - >1%
2 - >10%
3 - >25%
4 - >45%

25
When trying to diagnose patients with multiple myeloma, what is the standard imaging of choice where available? 1 - ultrasound 2 - PET scan 3 - X-ray 4 - MRI
4 - MRI Whole body MRI PET scans if MRI unavailable, where contrast is taking up by malignant bones Osteoporotic or pathological fractures, such as on the image with an L1 compression fracture
26
Which of the following is a neurological medical emergency associated with multiple myeloma? 1 - compartment syndrome 2 - spinal cord compression 3 - cauda equina 4 - meningitis
2 - spinal cord compression - medical emergency that needs an MRI
27
Spinal cord compression a neurological medical emergency associated with multiple myeloma. Whilst waiting for an MRI, what else should be done for the patient? 1 - Bed rest pending scan 2 - Steroids (dexamethasone) 3 - Radiotherapy 4 - Chemotherapy asap 5 - all of the above is this order
5 - all of the above is this order - image shows a plasmacytomas compressing the cord
28
If a patient has no CRABBI features but otherwise meets criteria for myeloma ie: - abnormal paraprotein or light chains + clonal (malignant rather then normal) - >10% plasma calls in bone marrow What is the patient called? 1 - asymptomatic or smouldering myeloma 2 - monoclonal gammopathy of undetermined significance (MGUS) 3 - active multiple myeloma 4 - end organ damage multiple myeloma
1 - asymptomatic or smouldering myeloma - patients are monitored but NOT treated here
29
If a patient has no CRABBI features but has raised light chains and/or paraproteins in the bone marrow, what is the patient called? 1 - asymptomatic or smouldering myeloma 2 - monoclonal gammopathy of undetermined significance (MGUS) 3 - active multiple myeloma 4 - end organ damage multiple myeloma
2 - monoclonal gammopathy of undetermined significance (MGUS) - patients are monitored but NOT treated here
30
If a patient has CRABBI features this is essentially symptomatic myeloma with “end organ damage” and patient will need anti-cancer therapy. Which of the following is NOT part of the 1st line treatment patients are offered? 1 - chemotherapy 2 - antibody therapy 3 - radiotherapy 4 - autologous stem cell transplant if considered ‘fit’)
3 - radiotherapy - chemotherapy and antibody therapy used to target and kill off plasma cells
31
Which of the following best describes autologues stem cell therapy? 1 - cells taken from animal, humanised and given to patient 2 - cells taken from HLA matched donor and given to patient 3 - patients own cells are removed processed and given back to patient 4 - animal and human cells are mixed and given to the patient
3 - patients own cells are removed processed and given back to patient
32
If a patient has CRABBI features this is essentially symptomatic myeloma with “end organ damage” and patient will need anti-cancer therapy. Which of the following treatments are used in patients with cord compression or isolated bone pain due to malignancy? 1 - chemotherapy 2 - antibody therapy 3 - radiotherapy 4 - autologous stem cell transplant if considered ‘fit’)
3 - radiotherapy - often given prior to chemotherapy
33
Chimeric antigen receptor (CAR)-T cell therapy is one therapy that is now being used in patients with multiple myeloma. What is CAR-T therapy? 1 - donors T cells are modified and inserted into patient to kills plasma cells 2 - patients own T cells are removed, modified and inserted to kill plasma cells 3 - B cells are removed from patients, modified and re-inserted to produce antibodies against plasma cells 4 - all of the above
2 - patients own T cells are removed, modified and inserted to kill plasma cells - patients typically given chemotherapy before CAR-T is used to wipe out plasma cells
34
In addition to trying to cure the myeloma, patients are treated for their symptoms as well. Which if the following are often used? 1 - back brace (allows vertebral remodelling) 2 - prophylaxis antibiotics or anti-virals for infections 3 - blood clot prevention 4 - physiotherapy 5 - psychiatry 6 - palliative and supportive care 7 - all of the above
7 - all of the above - back brace is for 3 months - blood clot risk is increased due to treatments for myeloma
35
A 60 year old man is found to have an IgG Kappa paraprotein. He has 4% plasma cells in his bone marrow, with a Hb of 135, normal Ca2+ and creatine and he has no bone lesions on MRI. What is this called? 1 - monoclonal gammopathy of undetermined significance (MGUS) 2 - smouldering myeloma 3 - symptomatic myeloma 4 - none of the above
1 - monoclonal gammopathy of undetermined significance (MGUS) The diagnostic threshold of plasma cells in bone marrow was not met it is MGUS - to be smouldering myeloma he would need to have >10% of plasma cells in the bone marrow
36
A 70 year old woman with myeloma presents with back pain. What is the most useful scan to use to assess her back? 1 - CT whole spine scan 2 - MRI whole spine scan 3 - PET/CT 4 - ultrasound 5 - whole spine X-ray
2 - MRI whole spine scan - best to exclude a cord compression
37
A 70 year old woman with myeloma presents with back pain. She is suspected of having multiple myeloma. Which of the following is likely to be present on the head X-ray? 1 - rain drop skull 2 - enlarged skull 3 - pepperpot skull 4 - jaw necrosis
1 - rain drop skull
38
Bony remodelling in myeloma is achieved using which of the following? 1 - bisphosphonates 2 - chemotherapy 3 - radiotherapy 4 - bone marrow transplant
1 - bisphosphonates