Pathological Fractures Flashcards

(31 cards)

1
Q

What is a pathological fracture?

1 - a fracture that is due to infection
2 - a low impact fracture in a both with existing abnormality
3 - malignant bones

A

2 - a low impact fracture in a both with existing abnormality

How well did you know this?
1
Not at all
2
3
4
5
Perfectly
2
Q

Which of the following is NOT a common cause of a pathological bone fracture?

1 - malignancy
2 - osteoporosis
3 - osteomyelitis
4 - osteoarthritis
5 - osteomalacia

A

4 - osteoarthritis

How well did you know this?
1
Not at all
2
3
4
5
Perfectly
3
Q

Are primary malignant bone tumours common?

A
  • no
  • generally secondary from other sites
  • most common include breast, lung, renal, thyroid and prostate
How well did you know this?
1
Not at all
2
3
4
5
Perfectly
4
Q

All of the following are common causes of secondary bone metastasis, EXCEPT which
one?

1 - breast
2 - lung
3 - colon
4 - thyroid
5 - renal
6 - prostate

A

3 - colon

How well did you know this?
1
Not at all
2
3
4
5
Perfectly
5
Q

Which 2 of the following are common causes of haematological bone cancers?

1 - myeloma
2 - leukemia
3 - lymphoma
4 - myelodysplastic Syndromes

A

1 - myeloma
3 - lymphoma

How well did you know this?
1
Not at all
2
3
4
5
Perfectly
6
Q

All of the following are common sites where secondary metastatic cancer can spread to, EXCEPT which one?

1 - spine (vertebral body)
2 - proximal Femur (subtrochanteric region)
3 - humerus (head, neck and shaft)
4 - pelvis (pubic rami)

A

4 - pelvis (pubic rami)

How well did you know this?
1
Not at all
2
3
4
5
Perfectly
7
Q

All of the following are benign bone cancers, EXCEPT which one?

1 - Osteosarcoma
2 - Osteochondroma
3 - Enchondroma
4 - Osteoid osteoma
5 - Giant cell tumours
6 - Aneurysmal bone cyst
7 - Fibrous cortical defect

A

1 - Osteosarcoma

  • benign tumours generally remain localised to the bone
How well did you know this?
1
Not at all
2
3
4
5
Perfectly
8
Q

All of the following are benign bone cancers. Which is most common?

1 - Osteochondroma
2 - Enchondroma
3 - Osteoid osteoma
4 - Giant cell tumours
5 - Aneurysmal bone cyst
6 - Fibrous cortical defect

A

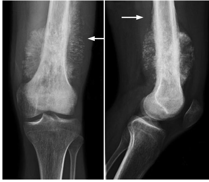
1 - Osteochondroma

  • presents as a painless mass
  • though to arise form abnormal growth at the growth plates
How well did you know this?
1
Not at all
2
3
4
5
Perfectly
9
Q

At what age do benign bone cancers generally occur?

1 - 1-3 y/o
2 - 5-15 y/o
3 - 10-30 y/o
4 - >35 y/o

A

3 - 10-30 y/o

How well did you know this?
1
Not at all
2
3
4
5
Perfectly
10
Q

How are benign bone tumours generally diagnosed?

1 - blood results
2 - bone tumour marker
3 - plain film X-ray
4 - biopsy

A

3 - plain film X-ray

  • often random finding
How well did you know this?
1
Not at all
2
3
4
5
Perfectly
11
Q

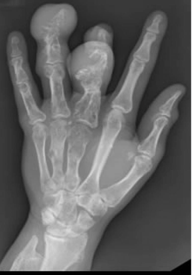
The second most common benign tumour is an enchondroma. What do these generally form from?

1 - articular cartilage
2 - periosteum
3 - hyaline cartilage
4 - blood vessels

A

3 - hyaline cartilage

  • typically located in medullary of bone
How well did you know this?
1
Not at all
2
3
4
5
Perfectly
12
Q

The second most common benign tumour is an enchondroma that form from hyaline cartilage and are located in the medullary. Where in the body are these tumours most common?

1 - feet
2 - hands
3 - hips
4 - spine

A

2 - hands

  • normally a single tumour, but multiple tumours is called Ollier’s disease
How well did you know this?
1
Not at all
2
3
4
5
Perfectly
13
Q

Are all benign tumours surgically operated on?

A
  • no
  • only if painful, impinging nerves or range of motion at a joint
How well did you know this?
1
Not at all
2
3
4
5
Perfectly
14
Q

Three of the following are malignant bone tumours, which one is NOT malignant?

1 - Ewings
2 - Osteosarcoma
3 - Osteochondroma
4 - Chondrosarcoma

A

3 - Osteochondroma

How well did you know this?
1
Not at all
2
3
4
5
Perfectly
15
Q

Which of the following is the most common malignant bone tumour?

1 - Ewings
2 - Osteosarcoma
3 - Chondrosarcoma

A

2 - osteosarcoma

  • can be intramedullary (most common), periosteal or parosteal
How well did you know this?
1
Not at all
2
3
4
5
Perfectly
16
Q

Osteosarcoma are the most common malignant bone tumours. They are aggressive osteogenic tumours (bone forming cells) and can spread to other tissues. What is the most common site in the body for Osteosarcoma?

1 - distal humerus or tibia
2 - proximal tibia or distal femur
3 - proximal femur or humerus

A

2 - proximal tibia or distal femur

17
Q

Osteosarcoma are the most common malignant bone tumours. They are aggressive osteogenic tumours (bone forming cells) and can spread to other tissues. Are these types of tumours painful?

A
  • yes
  • cause lots of pain and swelling
18
Q

Osteosarcoma are the most common malignant bone tumours. They are aggressive osteogenic tumours (bone forming cells) and can spread to other tissues. Do these generally occur in children and young adults or older adults?

A
  • children and young adults
  • likely due to still having high bone turnover when compared with older people
19
Q

How are Osteosarcoma tumours generally treated?

1 - palliative care as prognosis is poor
2 - radiotherapy
3 - radiotherapy and chemotherapy
4 - chemotherapy and resections of bone

A

4 - chemotherapy and resections of bone

  • poor prognosis 77% 5 year survival if localised and 26% if metastatic
20
Q

Ewings sarcoma is a malignant bone tumour that has been linked with a 11:22 chromosomal translocation. Does this generally occur in younger or older patients?

A
  • younger patients
  • <25 y/o
21
Q

Ewings sarcoma is a malignant bone tumour that has been linked with a 11:22 chromosomal translocation that generally occurs in younger patients. Where in the bone do these tumours generally occur?

1 - medullary
2 - epiphysis
3 - diaphysis
4 - metaphysis

A

3 - diaphysis

  • generally in long bones
  • causes pain, fever and swelling
22
Q

How are Ewings sarcoma tumours generally treated?

1 - palliative care as prognosis is poor
2 - radiotherapy
3 - radiotherapy and chemotherapy
4 - chemotherapy, radiotherapy and resections of bone

A

4 - chemotherapy, radiotherapy and resections of bone

23
Q

Chondrosarcoma are malignant bone tumours and as the name indicates these originate from chondrocytes (cartilage forming cells). Are these tumours always malignant and aggressive?

A
  • no
  • they have varying degree of malignancy
24
Q

Chondrosarcoma are malignant bone tumours and as the name indicates these originate from chondrocytes (cartilage forming cells). What 2 locations do these generally occur in?

1 - humerus and pelvis
2 - proximal femur and pelvis
3 - proximal tibia and femur
4 - distal femur and humerus

A

2 - proximal femur and pelvis

  • generally present as a progressively painful mass
  • biopsy will show characteristic “blue-balls
25
Chondrosarcoma are malignant bone tumours and as the name indicates these originate from chondrocytes (cartilage forming cells). Do these tumours generally occur in older or younger patients?
- older patients - around 40 y/o
26
Chondrosarcoma are malignant bone tumours and as the name indicates these originate from chondrocytes (cartilage forming cells). How are these tumours generally treated? 1 - wide surgical resection 2 - radiotherapy 3 - radiotherapy and chemotherapy 4 - chemotherapy, radiotherapy and resections of bone
1 - wide surgical resection - 60-70% 5 year survival overall
27
Secondary bone tumours are when primary tumours from other locations have spread to the bones. When trying to diagnose a patient with secondary bone tumours, why do we need the joint above and below tumour? 1 - identify if tumour has spread 2 - identify if the tumour is malignant 3 - identify resection required
1 - identify if tumour has spread - also helps with biopsy to identify the primary cause of the tumour
28
What % of pathological fractures occur due to metastasis? 1 - 3% 2 - 13% 3 - 30% 4 - 60%
3 - 30% - 50% in femoral neck
29
Surgery is one option for patients with secondary metastasis. Which 2 of the following are the preferred option if surgery is required? 1 - stabilise the fracture and radiotherapy 2 - amputation as limits risk of reoccurrence 3 - fix the fracture
1 - stabilise the fracture and radiotherapy 3 - fix the fracture
30
Bisphosphonates are one non-surgical treatment options for patients with secondary metastasis tumours. What is the mechanism of action of Bisphosphonates? 1 - inhibit osteopblasts 2 - inhibit osteoclasts 3 - bind with hydroxyapatite 4 - bind with RANK-L
3 - bind with hydroxyapatite - hydroxyapatite, which is the mineralized form of calcium found in bones - osteoclasts break down bones, they also take in the bisphosphonates, essentially kills the osteoclasts from within
31
Denosumab is one non-surgical treatment options for patients with secondary metastasis tumours. What is the mechanism of action of Denosumab? 1 - inhibit osteopblasts 2 - inhibit osteoclasts 3 - bind with hydroxyapatite 4 - bind and inhibits RANK-L
4 - bind and inhibits RANK-L - RANK-L normally stimulates monocytes to form osteoclast cells that then reabsorb bone