Malaria Flashcards

(108 cards)

1
Q

What is the global burden of malaria?

A

500 000 deaths per year
8% of childhood deaths in LMICs
2.4 million people at risk
87 countries are endemic

How well did you know this?
1
Not at all
2
3
4
5
Perfectly
2
Q

Which mosquito spreads malaria?

A

Anopheles (gambiae)

How well did you know this?
1
Not at all
2
3
4
5
Perfectly
3
Q

What are the 5 species of parasite assocaited with Malaria infection?

A

Plasmodium Falciparum
Plasmodium Vivax
Plasmodium Ovale
Plasmodium Malariae
Plasmodium Knowlesi

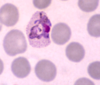
How well did you know this?
1
Not at all
2
3
4
5
Perfectly
4
Q

What animal reservoir is associated with P. Knowlesi?

A

Macaques

How well did you know this?
1
Not at all
2
3
4
5
Perfectly
5
Q

What is the epidemiology of P. Falciparum

A

Sub-Saharan Africa, India, Sri Lanka
A little smattering In South America
90% of severe falciparum occurs in children in Sub-Saharan Africa

How well did you know this?
1
Not at all
2
3
4
5
Perfectly
6
Q

What is the epidemiology of P. Vivax?

A

Temperate zones and the sub-tropics
Notably ABSENT from West-Africa
70-80 million cases per year
Most common cause of malaria

To re: There are Anti-Vaxers in West Africa

How well did you know this?
1
Not at all
2
3
4
5
Perfectly
7
Q

What is the epidemiology of P. Ovale?

A

West Africa
Philippines
Papua New Guinea
Indonesia
SE Asia

How well did you know this?
1
Not at all
2
3
4
5
Perfectly
8
Q

What is the epidemiology of P. Malariae?

A

Sub-Saharan Africa
Amazon basin and south america
South East Asia
Western Pacific islands

Probably under-reported and under diagnosed (unlike all other malaria) as the presentation can be ‘subclinical’

How well did you know this?
1
Not at all
2
3
4
5
Perfectly
9
Q

What is the epidemiology of P. Knowlesi?

A

Borneo and malaysia
Absent in Africa

How well did you know this?
1
Not at all
2
3
4
5
Perfectly
10
Q

What ‘diseases’ are assocaited with conferring protection against severe malaria?

A

G6PD deficiency
Duffy Blood Group
Thalassaemia
Sickle Cell Disease

How well did you know this?
1
Not at all
2
3
4
5
Perfectly
11
Q

What are the factors described in the Ross-McDonald model which determine the risk of malaria occurring in an area?

A
  1. Mosquito factors
    - Number of female mozzies
    - life span of mozzies
    - biting potential of mozzies (need to bite at least to keep up the transmission of malaria)
  2. Human factors
    - duration of infection within humans
  3. Mosquito/human interactions

** Does not account for immunity or super infections

How well did you know this?
1
Not at all
2
3
4
5
Perfectly
12
Q

In terms of epidemiology, what is Ro?

A

Ro is number of secondary infections produced by a single infection introduced into a fully susceptible host (i.e. human) population
* If Ro>1 then the infection will spread.
* The goal of eradication efforts is to get Ro<1

How well did you know this?
1
Not at all
2
3
4
5
Perfectly
13
Q

In terms of epidemiology, what is aEIR?

A

(annual) Entomological inoculation rate

  • The number of infectious bites per person (invariably per year)
  • Gold standard is ‘human bite catches’ –> i.e. catching mozzies, testing them for sporozoites, then estimating how many bites you think a mozzie can give in its lifetime, compared against the population of the area
  • Other ways e.g. spray huts, count number of infectious mosquitos, divide by number of people in the hut.
  • Infectious mosquitoes defined as those with malaria parasites (sporozoites) detected in the head
How well did you know this?
1
Not at all
2
3
4
5
Perfectly
14
Q

In terms of epidemiology, what is the difference between stable and unstable malaria?

A
  • stable malaria: insensitive to natural and man-made perturbations.
    People living in highly endemic areas usually exhibit a high level of immunity and tolerate the infection well.
  • unstable malaria (very sensitive to climate and very amenable to control

Unstable (epidemic) malaria refers to a seasonal type of transmission seen in areas of low endemicity, or to outbreaks in areas previously without malaria, or among non-immune persons. Epidemics can be due to changes in human behaviour, environmental and climate factors. For example, human migration and resettlement can introduce malaria into an area that did not have it previously, and this can expose a population to the disease that was not immune to malaria. Malaria epidemics generally occur when the population in an area has weak immunity to the disease, because so many people in the population will be vulnerable to malaria, not just children under five years of age and pregnant women.

How well did you know this?
1
Not at all
2
3
4
5
Perfectly
15
Q

What is the main parasite associated with:
- Stable Malaria?
- Unstable malaria?

A
  • P. Falciparum

-p Vivax

How well did you know this?
1
Not at all
2
3
4
5
Perfectly
16
Q

Which population group(s) are most at risk in:
- Stable malaria
- Unstable malaria

A

Stable: Pregnant women and children (the rest of the population have developed immunity to malaria over time

Unstable: Everyone; increased risk of local epidemics

How well did you know this?
1
Not at all
2
3
4
5
Perfectly
17
Q

What is the life cycle of Malaria?

A

The malaria parasite life cycle involves two hosts.
1. During a blood meal, a malaria-infected female Anopheles mosquito inoculates sporozoites into the human host
2. Sporozoites infect liver cells and mature into schizonts , which rupture and release merozoites . (Of note, in P. vivax and P. ovale a dormant stage [hypnozoites] can persist in the liver (if untreated) and cause relapses by invading the bloodstream weeks, or even years later.)
3. After this initial replication in the liver (exo-erythrocytic schizogony ), the parasites undergo asexual multiplication in the erythrocytes (erythrocytic schizogony)
4. Merozoites infect red blood cells forming trophozoites.
5. The ring stage trophozoites mature into schizonts, which rupture releasing merozoites OR Some parasites differentiate into sexual erythrocytic stages (gametocytes)
6. The gametocytes, male (microgametocytes) and female (macrogametocytes), are ingested by an Anopheles mosquito during a blood meal
7. The parasites’ multiplication in the mosquito is known as the sporogonic cycle . While in the mosquito’s stomach, the microgametes penetrate the macrogametes generating zygotes.
8. The zygotes in turn become motile and elongated (ookinetes) which invade the midgut wall of the mosquito where they develop into oocysts.
9. The oocysts grow, rupture, and release sporozoites, which make their way to the mosquito’s salivary glands. Inoculation of the sporozoites into a new human host perpetuates the malaria life cycle.

How well did you know this?
1
Not at all
2
3
4
5
Perfectly
18
Q

What are the characteristic pathophysiological features of P. Falciparum infection?

A

The most characteristic biological features:
1. It infects mature and young erythrocytes
2. The surface of erythrocytes infected with late stage trophozoites or schizonts is altered so they stick to endothelial cells in various tissues (cytoadherence)
3. The pre-erythrocytic cycle starts immediately after injection of the sporozoites by the mosquito
4. Schizogony is particularly prolific in all stages (pre-erythrocytic, erythrocytic and sporogony) that may be the cause of its success as a species and its virulence
5. Infection in the peripheral blood is characterized by the presence of ring forms and gametocytes, whereas late trophozopites and schizonts are only seen exceptionally
6. The level of parasitaemia may be high and multiple infection in a single erythrocyte is
common
7. The gametocytes are characteristically crescent-shaped and, unlike the gametocytes of other species, are very slow to reach maturity (up to 10 days) and early forms of
gametocytes are sequestered

How well did you know this?
1
Not at all
2
3
4
5
Perfectly
19
Q

What is sequestration? Why is it important?

A

In P. falciparum only the early trophozoites (ring forms) are present in the peripheral blood and later developmental stages are sequestered in the capillaries of various organs. This sequestration is caused by the adherence of infected erythrocytes to capillary endothelial cells

Sequestration has important consequences for the diagnosis of falciparum malaria, because it means that parasites may not be found on a blood film at a time when the clinical picture is most suggestive of malaria.

How well did you know this?
1
Not at all
2
3
4
5
Perfectly
20
Q

Do gametocytes get sequestered?

A

Yes - they can be found sequestered in spleens and bone marrow while they are maturing.

They also can sequester in peripheral surface capillaries, likely so that they are most accessible to mosquitos during a blood meal

How well did you know this?
1
Not at all
2
3
4
5
Perfectly
21
Q

What are the characteristic pathphysiological features of P. Vivax infection?

A
  1. Restriction of erythrocyte invasion to reticulocytes bearing Duffy blood group determinants (explains why RBCs infected with trophozoites of P. vivax are sometimes described as larger than normal
  2. The presence of caveolar structures on the surface of the infected erythrocyte membrane
    take up stain, and are described as Schüffner’s dots
  3. After invading the hepatocyte some, or all, of the sporozoites may transform into
    hypnozoites, then remain latent for months or years and be responsible for subsequent
    relapses.
How well did you know this?
1
Not at all
2
3
4
5
Perfectly
22
Q

What are the characteristic pathohysiological features of P. Malariae infection?

A
  1. An apparent preference for old erythrocytes, explaining why infected cells are often described as ‘smaller’ by microscopists
  2. The presence of ‘knobs’ at the surface of infected erythrocytes, which are similar to P.
    falciparum, but the cells do not exhibit any cytoadherence (and so no sequestration)
  3. The surface of infected erythrocytes does not exhibit any caveolar/vesicle complexes and, consequently, Schüffner’s dots are absent
  4. Sporozoites of P. malariae do not transform into hypnozoites, and so there are no relapses. However P. malariae can survive for a very long time in the peripheral blood (10 years or more) at a very low level of parasitaemia occasionally producing detectable peaks with a recrudescence of clinical symptoms.
How well did you know this?
1
Not at all
2
3
4
5
Perfectly
23
Q

What is the clinical presentation of uncomplicated malaria?

A

Fever
Headache
Malaise
Anorexia
Nausea + Vomiting
Thirst
Abdo pain
Altered sleep
Anaemia

How well did you know this?
1
Not at all
2
3
4
5
Perfectly
24
Q

What is the clinical presentation of P. Vivax and P Ovale?

A

‘Benign’ tertian malaria
Relapsing Malaria

How well did you know this?
1
Not at all
2
3
4
5
Perfectly
25
What is the clinical presentation of P. malariae?
Quartien Malaria 'Low parasitaemia' with the ability to cause chronic infections with few clinical symptoms
26
Which two species of plasmodium cause relapsing malaria?
P. Vivax P. Ovale
27
Which malaria species is the most deadly ?
P. falciparum
28
What are the clinical presentations associated with P. Falciparum (or severe malaria caused by Vivax/Knowlesi)
Severe Malaria, and rapid progression to severe malaria from initial infection Cerebral Malaria Shock Lactic Acidosis Hypoglycaemia Anaemia Renal Failure Pulmonary Oedema Tropical Splenomegaly Sepsis and concurrent underlying bacterial infection Death Pregnancy Complications - Stillbirth - Preterm birth - low birth weight
29
What is the parasitaemia percentage in peripheral blood in severe malaria in: - Adults - Children
Adults: 10% parasitaemia Children: 2% parasitaemia
30
How does Cerebral malaria present in children?
Low Blantyre coma score Seizures Retinal changes Abnormal posturing (opisthotonus)
31
What is the pathophysiology of cerebral malaria?
1. Increased cytokine activity leading to large inflammatory processes 2. Sequestration within the cerebral blood vessels 3. Coagulopathy at sites of cell adherence and sequestration
32
What clinical complications are assocaited with P. Vivax/p Ovale?
Splenic rupture Malaria recurrence Anaemia Debilitating fevers
33
What clinical complications are associated with P. Malariae?
Glomerulonephritis and Nephrotic syndrome
34
What clinical complications are associated with P. Malariae?
Glomerulonephritis and Nephrotic syndrome
35
What is the Blantyre Coma Score?
A coma scale suitable in children who are non-verbal or where there are communication challenges (more child friendly than GCS basically) -Eye movement 1 - Watches or follows 0 - Fails to watch or follow -Best motor response 2 - Localizes painful stimulus (patient's ability to remove stimuli) 1 - Withdraws limb from painful stimulus 0 - No response or inappropriate response -Best verbal response 2 - Cries appropriately with pain, or, if verbal, speaks 1 - Moan or abnormal cry with pain 0 - No vocal response to pain
36
How is malaria diagnosed?
1. Blood Film Thick Film: Sensitivity Thin Film: Specificity 2.RDT 3. PCR (expensive, rarely used in practice, apart for in research) 4. Fundoscopy 5. LP and CSF (Cerebral malaria)
37
What are the staining methods used on a malaria blood film?
Romanovsky staining methods: - Giemsa stain - Field's stain - Leishmans stain
38
P. Knowlesi and P. Malariae appear virtually identical on blood film. How can the two be differentiated?
PCR
39
What findings are seen on fundoscopy in malaria infections?
Retinal haemorrhages Blocked vessels due to sequestration **consider cerebral malaria in all +ve fundoscopy cases
40
What is the diagnosis?
P. Falciparum trophozoites
41
What is the diagnosis?
P. Vivax amoeboid trophozoite
42
What is the diagnosis?
P falciparum gametocytes
43
How many merozoites can be found in a P. Vivax schizont?
12-24
44
How many merozoites can be found in a P. Ovale schizont?
8-12
45
How many merozoites can be found in a P. Malariae schizont?
6-12
46
How are P. Vivax and P. Ovale managed?
1. ACT or Chloroquine for ERYTHROCYTIC stage if susceptible in the region 2. Primaquine for LIVER HYPNOZOITES (14/7)
47
What is the dose of Chloroquine in malaria?
620mg stat following by 310mg 6-8h later, then on day 2 and 3
48
What are side effects of chloroquine treatment?
pruritus and skin sensitivity drug interactions cardio toxicity Neuro toxicity
49
What is the dose of primaquine therapy?
30mg OD for 14/7
50
What are the side effects/ contraindications of primaquine therapy?
Contraindicated in pregnancy and G6PD Deficiency Neuropsychiatric side effects
51
How should you managed pregnant women in the first trimester if: - They have ovale/vivax/malariae/knowlesi + - The area is chloroquine resistant?
Quinine
52
Which haemolytic anaemia must be screened for/considered before managing with primaquine?
G6PD deficiency
53
How is uncomplicated P. Falciparum managed?
ACT 3/7 (covers two asexual cycles of P. falciparum)
54
Give 5 examples of ACT combinations
aretmether + lumefantrine artesunate + amodiaquine artesunate + mefloquine dihydroartemesinin + primaquine artesunate + SP (sulphadozine pyramethanine)
55
What is the adult dose of Artemether + Lumefantrine?
80+480mg BD for 3/7
56
Can pregnant women and children receive ACT?
Children - YES Pregnant women - YES unless in first trimester
57
Which part of the malaria cycle does ACT target?
1. Trophozoite stage 2. Gametocyte stage
58
How do you treat a recurrence of P. Falciparum within 28 days of the original infection?
Try a second line ACT + Quinine + antibiotic (doxycycline) for 7/7
59
How should you manage uncomplicated falciparum in 1st trimester of pregnancy?
Quinine + Clindamycin 7/7 Consider weekly prophlyaxis with choloquine until delivery to prevent further infections
60
How should you manage uncomplicated falciparum in infants <5kg?
ACT - dose as though they are 5kg
61
How should you manage uncomplicated falciparum in HIV co-infection?
ACT Avoid Artesunate + SP if they are on co-trimoaxazole Avoid artesunate + Amodiaquine if they are on efavirenz or zidovudine
62
Where in the world has ACT - resistant falciparum started to develop?
South East Asia - Lao, cambodia, vietnam, thailand
63
How should you manage ACT resistant malaria?
Quinine and doxycycline/clindamycin has been used, but no good studies done looking at this
64
How should you manage severe malaria?
1. IV artesunate 2.4mg/kg for at least 24h, then switch to ACT for 3/7 2. Consider adding STAT (or after the first 3 days is fine too) primaquine if in area of low transmission to prevent endemic ± Renal support ± Glucose ± anti-convulsants ±IV fluids ± anti-pyretics ± blood transfusion
65
What second line drug can be used in severe malaria if Artesunate is not available?
Loading dose: IV Quinine 20mg/kg followed by 10mg/kg TDS
66
What are the side effects of Quinine?
Tinnitus, deafness, headache Cardio-toxicity Hypoglycaemia (should be administered with glucose if IV, and BMs should be monitored during treatment) Blackwater fever
67
What is blackwater fever?
Sudden severe hamolysis, hamoglobinuria and renal failure secondary to quinine
68
Is dexamethasone useful in cerebral malaria?
No - increased risk of GI bleeds, and increased length of time with low GCS/comatose state
69
What is a known delayed side effect of artesunate treatment?
Delayed onset haemolysis (of parasitised RBCs)
70
What major trial was groundbreaking in malaria management in children, and proved that artesunate was significantly better at reducing morbidity and mortality compared to quinine treatment?
AQUAMAT
71
In Low - transmission settings, when should you consider a blood transfusion in malaria patients?
When Hb falls <70 OR acute decompensation due to low Hb
72
In High-transmission settings, when should you consider a blood transfusion in malaria patients?
When Hb falls <50 or acute decompensation due to low Hb
73
When should you give glucose to malaria patients? How much should you give?
Malaria and quinine are both known to cause hypoglycaemia so careful monitoring is required. <4 = Mild <3 = Moderate <2.2 = Severe Management: 5ml/kg of 10% IV dextrose STAT followed by slow infusion of 10% dextrose infusion
74
In which three situations should you consider intermittent preventative treatment of malaria?
1. Pregnant women (SP in areas where there is no resistance, after the 1st trimester AND in areas where there is HIGH transmission of malaria) 2. Infants (in areas of moderate/high transmission consider SP given with vaccine schedule) 3. High seasonal variability - Consider SP in children < 6
75
What IPT should be used in pregnancy?
Sulfadoxine-pyrimethamine every 4 weeks from the 2nd trimester Co-trimoxazole should be used instead in HIV cases
76
What is the WHO IPTp policy?
* SP at each scheduled antenatal care visit * Start as early as possible in 2 nd trimester * Each dose should be given at least one month apart * The last dose can be administered up to the time of delivery, without safety concerns * Folic acid: 0.4 mg/day (not 5 mg day, otherwise negative interaction with SP, which is an anti-folate antimalarial)
77
What are the epidemiological effects of malaria on pregnancy?
- Accounts for up to 15% of maternal anaemia - 3-8% of neonatal deaths
78
Why is malaria more common in pregnancy?
Physiological changes: Increased ‘host signature’ helps mosquitoes to detect host – 21% more exhaled breath – Skin temp abdomen 0·7°C hotter during pregnancy Behavioural changes Leave protection of bednets during night twice as frequently to urinate Pregnancy causes generalised immuno-suppression - Increased production oestrogen and cortisol prevent rejection fetus (reduced type 1 helper T cells) – Acquisition of protective immunity against placental malaria is acquired over successive pregnancies
79
How does placental malaria contribute to foetal problems?
1. Parasites sequester in the placental blood vessels and bind to CSA receptors (peripheral RBCs cannot bind to CSA, so this is unique to placental malaria) 2. Dysregulation of the placental blood flow and vascular development 3. Poorer vasculature interferes with O2 and nutrient transfer --> preterm birth and low birth weights
80
Explain the immunity patterns of malaria in pregnancy?
1. During the first malaria infection in pregnancy women typically have lost a degree of their previous immunity to malaria because: - general reduced T Cell immunity - malaria parasites have a new binding site (CSA) in the placenta, to which a women will not yet have acquired immunity 2. With each subsequent malarial infection and each pregnancy the women develops immunity against CSA binding sites **These unique antibodies are unique to pregnant women and are not found in the serum of any other people **Women are especially at risk in low transmission areas, where their initial immunity against malaria may be low or non-existent to begin with
81
What effects does P. Vivax have on pregnancy?
does not cause sequestration, but is challenging to manage as Primaquine is contraindicated in pregnancy and in breast-feeding (because G6PD deficiency status is not known in the foetus)
82
How should Malaria be treated in the first trimester of pregnancy?
Quinine + Clindamycin ** Artemesinin only recommended if severe malaria
83
What is the first line management of malaria in the 2nd and 3rd trimesters of pregnancy?
ACT for 3/7
84
What is the second line of treatment of malaria in the 2nd and 3rd trimesters of pregnancy?
Quinine + Clindamycin for 7/7
85
How can malaria be prevented in pregnancy in high transmission areas?
Women are less likely to feel sick so... IPTp (+ Co-trimoxazole in HIV +ve) ITNs Prompt treatment of febrile cases
86
How can malaria be prevented in pregnancy in low transmission areas?
ITNs IPTp is NOT reccommended --> not cost effective Prompt treatment of febrile cases
87
How can malaria be prevented?
Insecticide treated bednets IPTp (Sulfadoxine pyramethanine - SP) Chemoprophylaxis Indoor residual spraying Access to ACT RDTs Vaccination (RTss) Focal MDA of 'hot pops' Monitoring travel to reduce importation of malaria into an area MDA of Ivermectin (poisonous to anopheles)
88
Who are the Key Players globally in marlaria eradication?
WHO Global Fund President's Malaria Initiative
89
WHO has developed the Global Technical Strategy for Malaria 2016-2030. What are its main aims?
1. reduce malaria incidence by 90% 2. reduce malaria mortality by 90% 3. Eliminate malaria in 35 countries 4. prevent a resurgence of malaria in all countries that are currently malaria free
90
How many countries have eliminated malaria since 2000?
13
91
In regards to eradication of malaria, what do the following terms mean: Control Elimination Eradication
Control: reducing the disease burden to a level at which it is no longer a public health problem Elimination: interrupting local mosquito-borne malaria transmission in a defined geographical area, i.e. 0 incidence of locally contracted cases Eradication: he permanent reduction to 0 of the worldwide incidence of malaria infection caused by a specific agent; i.e. applies to a particular malaria parasite species.
92
What are the A-E steps to eliminate malaria?
- Accelerate scale up for impact (SUFI): Enhance and optimise vector control, and case management – Build information systems for action (surveillance phase-I) increase sensitivity and specificity in preparation of ‘D’ – Community (population-wide) clearance of malaria parasites (targeting the parasite infectious reservoir) and add any new interventions where applicable * Mass Screen and Treat (MSAT) / Mass Drug administration (MDA) – Detect & investigate and clear individual cases and foci and follow-up (reactive case detection) ‘(Surveillance as intervention’ – Eliminate, document and maintain malaria free status
93
What are Malaria Indicator Surveys?
– Household surveys used to surveill malaria trends in a given area – Infection prevalence and intervention uptake – Provide a big-picture overview (e.g. district, province, national level) – Snap shots in time – Wide range of subjects including infection, illness, ITN ownership use, access to Rx, etc. – Good for longer term trends
94
What medications are used as malaria chemoprophylaxis?
Malarone (Atovaquone-proguanil) Mefloquine (also used in ACT!) Doxycyline Chlorquine Primaquine
95
What are the common SEs of Malarone?
Headache GI Upset Transaminitis Neuropsychiatric disorders
96
What the SEs of Mefloquine
CI in epilepsy Neuropsychiatric disorders Penumonitis (rare)
97
What is considered a high parasitaemia in malaria?
In nonfalciparum malaria, parasitemia rarely exceeds 2%, whereas it can be considerably higher (>50%) in falciparum malaria. In nonimmune individuals, hyperparasitemia (>5% parasitemia or >250 000 parasites/μl) is generally associated with severe disease
98
What might you find on fundoscopy in a patient with malaria?
retinal whitening, haemorrhages or orange-white vessels with or without papilloedema
99
What is the case fatality rate of cerebral malaria?
15% to 25%. One-third of survivors are left with neurological sequelae, including epilepsy, cognitive impairment, attention problems and behavioural disorders
100
What are the WHO recommendations for malaria vector control?
1. Indoor Residual spraying (with Pyrethroids) 2. ITNs (with DDT) ±Larviciding ±Topical repellents ±Insecticide treated clothes
101
What is SP?
Sulfadoxine Pyrimethamine
102
Which Anti-malarials are Anti-folates?
Dapsone Pyrimethamine Sulfadoxine Pyrimethamine
103
Which part of the malarial life cycle does Artesunate/Artemether affect?
All - trophozoites, schizonts, gametocytes EXCEPT NOT HYPONOZOITES ** brings down parasitaemia FAST
104
What are quinolone derivavites that can be used in ACT combos?
Quinie Amodiquine Chloroquine Lumefantrine Mefloquine Piperaquine Tafenoquine
105
What antibiotics can be useful adjuncts in malaria?
Clindamycin Doxycycline
106
What three medications are most recommended for malaria prophylaxis?
Atovaquone Proquanil (Malarone) (only needs to be taken for a week after returning because it kills sporozoites) Doxycycline Mefloquine
107
What are the major clinical features of severe malaria in children?
Impaired LOC / Seiures Resp distress Acidosis <7.3 Hypglycaemia <2.2 Prostration Hyperparasitaemia >2%
108
What are the major clinical features of severe malaria in Adults?
Impaired LOC/seizures Renal failures Acodisis <7.3 Hypoglycaemia <2.2 ARDS Hb <50 DIC/spontaneous bleeding Shock/hypotension Blackwater Fever --> haemolysis + low Hb