Tuberculosis Flashcards

(118 cards)

1
Q

What global areas have the highest incidence of TB?

A

Sub-Saharan Africa
West Africa
South East Asia and the Pacific

How well did you know this?
1
Not at all
2
3
4
5
Perfectly
2
Q

How many people world wide likely have latent TB?

A

1-2 billions

How well did you know this?
1
Not at all
2
3
4
5
Perfectly
3
Q

How many cases of TB are diagnosed annually?

A

10 million

How well did you know this?
1
Not at all
2
3
4
5
Perfectly
4
Q

How many people die each year from TB?

A

1.6 million

How well did you know this?
1
Not at all
2
3
4
5
Perfectly
5
Q

What is the Ro number of TB

A

<1 - 3 (appears that some people are super spreaders)

How well did you know this?
1
Not at all
2
3
4
5
Perfectly
6
Q

What bacterium causes TB?

A

Mycobacterium Tuberculosis

**ABout 5% of cases are caused by Mycobacterium Bovis

How well did you know this?
1
Not at all
2
3
4
5
Perfectly
7
Q

What is the bacteriology of M. Tuberculosis?

A

Gram Postive
Acid Fast Bacillus
Slow growing (17h) —> difficult to culture

** CAN MAKE IT GROW FASTER BY USING A LIQUID MEDIUM

How well did you know this?
1
Not at all
2
3
4
5
Perfectly
8
Q

How does M. Tuberculosis spread?

A

Aerosol

**Note that only active pulmonary is contagious

How well did you know this?
1
Not at all
2
3
4
5
Perfectly
9
Q

What are risk factors for developing active TB?

A

HIV Co-infection
DM
Smoking
TNF-a
Vitamin D Deficiency
ETOH XS

How well did you know this?
1
Not at all
2
3
4
5
Perfectly
10
Q

What is the pathophysiology of TB?

A

Aerosolised Bacilli enter into the bronchi –> alveoli where they invade into phagocytic cells

Within phagocytic cells two things can happen:
1. Immune system not strong enough to mount a full response against M.Tuberculosis –> active TB

  1. Immune system has a delayed type response to TB bacteria and causes large amounts of inflammation as phagocytic cells are destroyed. This leads to scarring and granuloma formation. Un-destroyed phagocytes protected within the granuloma are responsible for re-activation disease

**The granuloma illustrates the duality of M. tuberculosis infection: from the host’s perspective, the granuloma is a bacterial ‘prison’ with the potential to ‘wall off’ infection from the rest of the body; however, from the bacterial perspective, it is a growing collection of phagocytic cells to infect and replicate within.

How well did you know this?
1
Not at all
2
3
4
5
Perfectly
11
Q

What percentage of people with TB go on to have active infection?

A

5-10%

How well did you know this?
1
Not at all
2
3
4
5
Perfectly
12
Q

How does Classic TB Present?

A

Chronic productive cough not responding to standard Abx
Weight loss
Pyrexia
Night sweats
Lymphadenopathy (infected macrophages can move through the blood and into lymph nodes)
Fatigue
Haemoptysis

How well did you know this?
1
Not at all
2
3
4
5
Perfectly
13
Q

What are common sites of Extra Pulmonary TB (EPTB)?

A

Neuro
Spinal
Bony
Renal
Skin

How well did you know this?
1
Not at all
2
3
4
5
Perfectly
14
Q

What is the difference between TST and IGRA?

A

TST –> looks for immune response in skin due to secodnary immune response from current or previous TB infection

IGRA –> Blood test looking at serum response to TB by checking IFNy levels

Basically IFNy is released in peripheral t-cells of people who have been exposed to TB; only useful in detecting LTB because there is a high false negative rate of IGRAs in active TB (probably due to general immune changes and therefore low T cell levels in circucating peripheral blood)

should add that IGRA isnt useful in kids <5 and that it was created to try and replace the TST which has many false negatives

How well did you know this?
1
Not at all
2
3
4
5
Perfectly
15
Q

How is TB diagnosed?

A

Sputum Culture and Microscopy (ZN Stained, Fluroscein)

Gene X-pert

Urinary LAM (if HIV +ve)

CXR

IGRA / mantoux test

Gastric Aspirates (paeds)

How well did you know this?
1
Not at all
2
3
4
5
Perfectly
16
Q

How can you diagnose latent TB infection (LTBI)

A

IGRA or TST

How well did you know this?
1
Not at all
2
3
4
5
Perfectly
17
Q

What are the standard medications used in uncomplicated TB?

A

Rifampicin
Isoniazid
Ethambutol
Pyrazinamide

How well did you know this?
1
Not at all
2
3
4
5
Perfectly
18
Q

What is the epidemiology of TB + HIV co-infection?

A

Active TB is 20-40 times higher in HIV +ve people due to early loss of alveolar CD4 cells

9% of global active TB infections are in HIV +ve people

How well did you know this?
1
Not at all
2
3
4
5
Perfectly
19
Q

How does DM impact TB outcomes?

A

Increased mortality

Increased risk of relapse

How well did you know this?
1
Not at all
2
3
4
5
Perfectly
20
Q

What percentage of TB cases occur in children?

A

10%

How well did you know this?
1
Not at all
2
3
4
5
Perfectly
21
Q

How has COVID-19 impacted the epidemiology of TB?

A

Significant reduction in case recogition –> now increasing numbers of diagnoses and deaths from TB due to missed early infections

How well did you know this?
1
Not at all
2
3
4
5
Perfectly
22
Q

What are the three main aims of the WHO END TB strategy

A
  1. 50% reduction of TB by 2025
  2. 75% reduction of deaths from TB by 2025
  3. 0 people living with catastrophic financial burdens due to TB
How well did you know this?
1
Not at all
2
3
4
5
Perfectly
23
Q

Are we close to achieving the goals of the WHO END TB strategy by 2025?

A

NO - not even close

How well did you know this?
1
Not at all
2
3
4
5
Perfectly
24
Q

What are the sensitivity and specificity of ZN stained smear microscopy in TB?

A

Sensitivity = 60-70%
Specificity = >90%

How well did you know this?
1
Not at all
2
3
4
5
Perfectly
25
What are the tests of cure in TB?
Negative Smear Microscopy / Culture at month 5 of treatment and at one other subsequent test
26
What is the definition of treatment failure in TB?
+ve smear microscopy/culture at month 5 of rx
27
What is the Treatment Success rate calculated?
The number of patients who have successful TB Cure and Completion of TB treatment (without test of cure)
28
What medication should be given to mitigate the side effects of Isoniazid?
Pyridoxine 50mg OD as prophylaxis to prevent peripheral neuropathy
29
What things should you discuss/ tests you should complete with patients prior to starting TB management?
1. Adherence 2. Contraception 3. Side effects of medicines 4. Visual acuity assessment 5. LFTs
30
What percentage of TB cases present with pulmonary disease?
85% 57% of these are smear positive --> smear positive are most likely to be contagious
31
According to the WHO, who should be tested for LTBI?
HIV +ve people Household contacts of people with confirmed Pulmonary TB People awaiting the following: - initiation of Interferon Alpha meds - Dialysis - pre organ transplant - New diagnosis of Silicosis
32
Who should receive TB preventative therapy?
All HIV +ve people, including infants, children, pregnant women and adults All household contacts of +ve PTB cases with negative TB screening
33
What are the options of treatment of latent TB (in all patient populations, including HIV +ve individuals)
6H / 69: 6 months daily Isoniazid or 9 months daily isoniazid 4R : 4 months of daily rifampicin 3RH: 3 months of daily rifampicin and isoniazid 3H + Rifapentine: 3 months of weekly Isoniazid + Rifapentine
34
What is the preventative therapy recommendation for people with HIV in a highly endemic TB area, with confirmtion of NO TB infection?
Isoniazid OD for 36 months
35
Who should be screened regularly for active TB infection?
- Systematic screening in populations where TB prevelance >0.5% - HIV patients at each medical encounter - Household contacts of +ve PTB - Prisoners
36
How can you screen for TB?
Symptom check CXR RDTs
37
How should you screen HIV +ve patients for possible PTB?
Symptom screen ±CXR ±RDT ±CRP <5
38
What are the 4 components of the WHO symptom screen for TB?
1. Cough 2. Weight Loss 3. Fever 4. Night Sweats
39
What is the gold standard diagnostic test in TB for HIV -ve people?
Gene X-pert (sputum, or elsewhere depending on symptoms) TrueNat can also be used
40
Children are notoriously hard to get sputum samples from - where else could you get samples in kids for Gene X-pert for TB testing?
Gastric aspirate LN biopsy Nasopharyngeal Aspirate Stool
41
How do you diagnose TB meningitis?
Gene X-pert CSF
42
When should you use Urinary Lam for TB diagnosis?
In all HIV patients with: - Serious illness - ?TB - CD4 <100 - patients with symptoms of TB
43
What is the TB diagnostic algorithim in HIV -ve patients?
1. Gene X-pert 2. Drug susceptibility testing (RIF)
44
What is the TB diagnostic algorithm in HIV +ve patients
1. Symptom Screen 2. Urinary LAM 3. Gene Xpert 4. RIF resistance testing
45
what is the management of HR-TB (isoniazid resistant TB)
Rifampicin + Ethambutol + Pyrzinamide + Levofloxacin For 6/12
46
How soon should TB+ve patients with a new HIV diagnosis be started on ART?
Within 8/52
47
In regards to MDR-TB/RR-TB, what drugs make up the Group A treatment drug class?
Group A: Linezolid Levofloxacin / Moxifloxacin Bedaquilline (Bdq)
48
In regards to MDR-TB/RR-TB, what drugs make up the Group B treatment drug class?
Group B: Clofazimine Cycloserine
49
In regards to MDR-TB/RR-TB, what drugs make up the Group C treatment drug class?
Group C: Ethambutol Pyrazinamide Amikacin Meropenem
50
How often and how should treatment progress be measured in patients recieving treatment for MDR/RR - TB?
Monthly Sputum Culture
51
What surgical procedure can sometimes be recommended in MDR/RR-TB?
Lung resection - lobectomy or wedge resection
52
Is DOT still recommended in MDR/RR-TB
Yes Ideally virtually or through CHV/community personnelle, rather than family or daily clinic visits
53
What Treatment regime is recommended in uncomplicated TB in paediatrics (3m-16y)
4 months: 2RHZE/2RH
54
What treatment regime is recommended in paediatrics with TB Meningitis?
SHORT: 6HRZEthionamide LONG: 12 months of 2RHZE/10RH
55
Give examples of sites for EP-TB
§ Pleural § Lymph node § Bone and spine § Gastrointestinal § Genitourinary § Skin § Central nervous system § Pericardial § Disseminated and miliary --- pretty much anywhere
56
What risk is associated with concurrent introduction of ART and Anti-TB drugs?
IRIS
57
When should you suspect pleural TB?
Pleural disease in any endemic country (about 2/3rd of effusions are caused by TB in these areas)
58
Is Gene-Xpert of pleural fluid recommended in Pleural TB?
No - usually paucibacillary transudate, so you are unlikely to have a positive result
59
How do you diagnosed Lymph Node TB?
Aspirate --> histology and culture of nodal fluid
60
Which lymph nodes are usually involved in lymph node TB?
Cervical
61
Which patient groups are most likely to present with lymph node TB?
Children HIV + with mycobacteraemia / disseminated TB
62
When should you suspect spinal TB?
Unexplained neurological symptoms suggestive of cord disease New # Gibbus deformity (kyphosis due to several vertebral #) *** Note in anyone with TB with new neurology suspect a paraspinal abscess
63
What are common findings on X-ray in spinal TB?
Wedge Fractures Skipping lesions (i.e. some vertebrae are spared) Vertebral abscess
64
How do you manage spinal TB?
Standard 6/12 TB regime is fine 2RHZE/4RH
65
Which other form of TB is assocaited with GI Tract TB?
Mycobacterium Bovis ** Consider extending treatment to 9RH
66
When are steroids recommended in EPTB?
1. Pericardial TB 2. Severe IRIS 3. TB Meningitis Consider in large pleural effusions, large ascites etc.
67
How do you diagnose disseminated / miliary TB?
Blood Culture Sputum Smear (likely -ve) and Culture (likely +ve) CXR
68
Smear Microscopy in TB should be graded according to how many specimen are found. What is the grading chart?
69
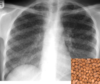
A patient was admitted last night from OPD and has been started on TB treatment. However he doesn’t have any sputum smear results. His CXR looks like this. Would you continue his TB treatment?
Severe cavitary pneumonia Answer: Yes Continue treatment But need more information, clinically (history but also parameters / weight loss / unwell / cachectic / moribund). Probably unwell. Radiological features could be many things (gram negative pneumonia, TB, aspergillus, other pneumonia) but TB may be most likely radio < microbiology as micro more specific than CXR Take samples (AFB positive and culture)
70
A 30 yr old woman who is living with HIV has been on TB treatment for 6 weeks. Presented to the ward after being told to see the doctor by her treatment supporter. She is jaundiced, has a poor appetite and is slightly nauseated. a) What do you think has caused her symptoms? b) What would you next?
a)Most likely hepatotoxicity b)Stop TB meds and other hepatotoxic drugs and check LFT Key learning point – Hepatotoxicity common side effect of TB treatment. Jaundice and symptoms = likely significant / severe hepatotoxicity, so appropriate to stop treatment, whilst the cause is investigated and liver dysfunction improves. Less hepatotoxic regimens may be used and drug introduced sequentially so that the culprit drug can be identified.
71
What TB drugs are most likely to cause Hepatotoxicity?
Pyrazinamide > Isoniazid > Rifampicin
72
In a patient with TB-drug induced hepato-toxicity, which would you consider re-starting treatment?
wait until ALT/AST <2x ULN and then reintroduce drugs 80% of time when you reintroduce RHZE it is successful but might want to do it stepwise. 20% of the time you usually find its 1/2 of the drugs pyrazinamide >isoniazid>rifampicin So if severe, you could argue not to reintroduce pyrazinamide.
73
A 25 year old woman was admitted from OPD yesterday with breathlessness and dry cough. She has lost ~5 kg in weight in the last few months. She appears distressed and her BP is 95/60. a) what other signs may be relevant? b) what would you do next ?
Pericardial Effusion: Raised JVP, muffled heart sounds, pleural rub, Pulsus paradoxus b. Echo/USS Consider pericardial aspiration if temponade Start TB rx Steroids recommended
74
A man was admitted five weeks ago with severe weight loss, anaemia, fever and lymphadenopathy. He tested HIV+ and was treated for disseminated tuberculosis. Shortly after he started on ART. He now says that he has a burning numb sensation in both feet and is having trouble mobilising despite an improvement in his appetite. What is the likely cause? What do you do next?
ART/TB related peripheral neuropathy (older ART including zidovudine / stavudine / isoniazid for TB treatment without pyridoxine replacement) / alcohol / HIV-related peripheral neuropathy / vit b12 and thiamine deficiency / heavy metal poisoning / diabetes Add pyridoxine 50mg OD
75
A patient with HIV-associated pulmonary tuberculosis remains smear positive after two months on treatment. a) Are you concerned? b) What further questions might you ask?
a) Yes b) How is the patient? What was the baseline disease status? Are there any risk factors for acquired resistance? Learning point: Sputum smear status at 2 months is a key indicator in treatment monitoring
76
A 32 yr old man presented to OPD with breathlessness increasing over the last few weeks. Hix CXR showed a pleural effusion but there wasn’t time to do a pleural aspiration. He was started on TB treatment a week ago but is still breathless on exertion and has vague discomfort on the left side of this chest. What could you do to help his symptoms?
Pleural TB May require pleural aspiration/drainage May require steroids
77
A patient has come for final follow-up after six months of treatment. He has been taking treatment six days per week directly supervised by a community health worker. On closer examination of the treatment card 21 doses of treatment have not been signed for, scattered randomly throughout treatment. a) Has he completed his treatment ? b) What else might you do ?
No - has missed nearly a month of doses Full hx from patient Full hx from clinic Pill count if possible Check clinically and re-check re symptoms / weight etc / smear and culture results throughout treatment (Xpert if possible!) Consider extending treatment or extending follow-up of patient (where possible)
78
A colleague is finishing their operating list in theatre and phones you after completing an excision biopsy of a lymph node. He asks if you can come and look at the specimen and advise whether the patient should start TB treatment. What do you recommend?
?Lymph node TB Send FRESH (not formalin) sample to the labs for histology and confirmation Consider starting TB meds Test for HIV
79
A 33 year-old man attends Outpatients with back pain, which has stopped him working on his farm. Further questioning identifies symptoms of weight loss and night sweats for several months. a) What is the likely diagnosis? b) What do you do next?
Spinal TB (Pott’s disease) Key point: clinical sign of gibbus Full history re previous TB diagnosis/contact and neurological examination Risk factors for EPTB e.g. HIV status must be assessed and investigated Spinal imaging may help. - X-ray in first instance and MRI if available - Risk of instability/neurological damage. - - - May require surgical input to stabilise if neurological symptoms/signs.
80
What is the 'golden age' of TB epidemiology in children?
Ages 6-9
81
What is the most common presentation triad in children with TB?
FTT Cough Fever HIGH INDEX OF SUSPICION IF: *** Enlarged non tender lymph nodes in the neck (with or without fistulation) * Abdominal swelling with hard painless swelling with or without free fluid * Painful swelling of joint or bone which has arisen slowly over time * Audible wheeze not responding to bronchodilators * An angular deformity of the spine * Signs of meningitis
82
When would you consider a TST to be positive?
* ≥10mm in anybody regardless of BCG vaccination * ≥5mm in children with HIV / malnutrition ** indicates latent infection; not useful in active TB
83
What bedside examination could be performed in Tuberculosis?
Fundoscopy Shows retinal tuberculomas
84
What is XDR-TB?
TB caused by MTB strains that fulfil the definition of MDR/RR-TB and which are also resistant to - any fluoroquinolone AND - at least one additional Group A drug (Group A drugs – bedaquiline, linezolid, moxifloxacin, levofloxacin)
85
What are the Group A drugs of MDR-TB treatment regime?
bedaquiline, linezolid, moxifloxacin, levofloxacin
86
Which three countries have the highest rate of MDR-TB?
China India Russia
87
What is Primary Drug Resistance?
A person becomes infected with an organism that is already drug resistant
88
What is Acquired Drug resistance?
A person becomes resistant to a drug after inadequate treatment
89
What are risk factors for developing MDR-TB?
Individual level * Prior TB treatment * Treatment not completed * Poor adherence (Addiction disorders, Side effects, Social barriers, costs, homelessness) * Malabsorption * Originating from a country with high prevalence of drug resistance among TB programme level * Non-implementation of DOTS strategies * Lack of treatment monitoring/non standard treatment * Interrupted drug supply * Poor drug quality, not using fixed-dose combinations * Dominant private sector * Poor infection control in health facilities
90
What is the GOLD STANDARD TEST in TB diagnosis?
Sputum Culture
91
* 26 year-old lady, Born in UK presents with a Cough for 2 months, fever, weight loss * Contact of boyfriend who had INH resistant TB 1 year ago * At the time of screening: * CXR normal, IGRA positive * Declined chemoprophylaxis What treatment would you give? A. RIF, EMB, PZA B. RIF, EMB, PZA, LEVO C. RIF, EMB, PZA, MOXI, AMK D. RIF, INH, EMB, PZA,LEVO E. Something else
B or D are correct. B once you have confirmation of Isoniazid resistance Treatment of Isoniazid Resistant TB = 6(H)REZ-Lfx Conditions Rifampicin resistance ruled out Try to exclude fluoroquinolone resistance Can extend duration in cavitatory TB or persistent smear positive / slow progress
92
What are side effects of linezolid treatment?
Myelosuppression Peripheral Neuropathy
93
What are the symptoms of TB meningitis in adults?
Adults/older children * Subacute onset (1-3 weeks) * Headache (50-80%) * Fever (60-95%) * Vomiting (30-60%) * Weight loss/anorexia (60-80%) * Photophobia (5-10%) * Neck stiffness (40-80%) * Confusion/coma (30-60%) * Seizures (5% adults;) * Cranial nerve palsy (30-50%) * Hemiparesis (10-20%) *symptoms are vague - you should consider even in HEADACHES
94
What is the presentation of TB meningitis in children?
Teenager/children/adolescents * Failure to thrive/Weight loss * Irritability/Sleep disturbance * Vomiting/abdominal pain * Seizures (50%)/Focal neurology * History of TB contact (50-90%)
95
How do you diagnosis TB Meningitis?
LP with CSF - Gene expert - smear microscopy - culture *****Note: notoriously hard to diagnose; you need at least 6mL of CSF MRI Consider diagnosis og TB elsewhere --> CXR, sputum microscopy, Urinary LAM if HIV +ve
96
What clinical scoring system can you use to determine the liklihood of TB meningitis?
Marais Score Takes into account clinical symp, imaging, CSF and TB exposures
97
What does CSF in TB Meningitis look like?
* Raised opening pressure * Clear appearance (can be slightly cloudy) * Moderately raised cell count (10 – 500/ul) * Lymphocytic predominant (>50%) * Protein conc. > 1g/L * CSF/Plasma Glucose ratio <0.5 (CSF glucose conc. <2.2 mmol/L)
98
What is the management of TB Meningitis?
4 drugs (HRZE) for 2 months followed by 2 drugs (HR) for at least 10 months + Corticosteroids to all TBM patients
99
What are complications of Tb Meningitis?
* Cranial nerve entrapment * Hydrocephalus (up to 80% children) * Cerebral infarction * Enlargement of tuberculomas * Adhesive arachnoiditis/spinal block * Hyponatraemia * Paradoxical reactions (~30%)
100
How can you manage hydrocephalus secondary to TB Meningitis?
Mannitol Therapeutic LP Neurosurgery
101
When should you start co-trimoxazole in HIV as chemoprophylaxis?
CD4 <350 WHO HIV Severity 3 or 4
102
What are key indicators of TB control from a POV of public health campaigns?
§ Numbers infected (e.g. latent TB infection, LTBI) § Numbers with disease (prevalence) § Numbers treated for disease (case notifications) § Number of TB deaths § Numbers registering for treatment § Numbers completing treatment
103
What are the 6 main components of the WHO End TB+ Policy
1. D irect Smear Microscopy 2. O bserved Therapy 3. T reatment monitoring 4. S hort course of treatments 5 ! NGO and governemnt support 6. + MDR-TB management
104
What are the 2035 End TB Milestones?
95% reduction in TB deaths 90% reduction in TB incidence 0 families/people facing catastrophic costs due to TB health costs
105
What are recommended Regimes for TB preventative therapy in high-risk groups?
Recommended treatment regimens include 6-9H, 3HR, 3HP, 4R (Consider 36m in HIV+ve patients) * 6 months of isoniazid * 9 months isoniazid * 3 months rifampicin & isoniazid * 3 months weekly / 1 month daily rifapentine & isoniazid * 4 months rifampicin
106
Can you give the BCG vaccine to HIV+ patients?
NO contraindicated Can cause IRIS or disseminated TB
107
What are the main side effects of rifampicin?
Reddish discolouration of urine, sweat, sputum, tears. Gastrointestinal: Anorexia, nausea, vomiting, heartburn. Hepatic: Transient increases in LFTs. Flu-like syndrome.
108
What are contraindications to using Rifampicin?
Hypersensitivity: To rifampicin or other rifamycins. Liver Disease: Avoid if jaundiced. Drug Interactions: Avoid concomitant use with saquinavir or ritonavir.
109
What are the side effects of ethambutol?
Optic Neuropathy and colour blindness High serum urea N+V
110
What are contraindications to Ethambutol?
Optic neuritis undelrying
111
What are the side effects of Isoniazid?
Peripheral Neuropathy Can be mitigated with pyridoxine
112
Who is most at risk of peripheral neuropathy from isoniazid?
Patients with other underlying RFs for peripheral neuropathy e.g. ETOH xs, DM
113
What is the 4 month new treatment regime for TB?
4/12 of: Rifapentine + Moxifloxacin + Isoniazid + Pyrazinamide
114
What is the pathophysiology of TB Meningitis
After the release of bacilli and granulomatous material into the subarachnoid space, a florid gelatinous exudate forms, which may impair CSF circulation and cause hydrocephalus, cranial nerve palsies and vasculitis. Vasculitis is the most serious complication of tuberculous meningitis and may lead to cerebrovascular accidents.
115
What is the DDx of TB Meningitis?
Bacterial Meningitis Cryptococcal meningitis
116
What are the 4 key pillars for diagnosing TB meningitis?
1. Clinical Criteria -Symptom duration > 5 days - Systemic symptoms suggestive of tuberculosis - History of close contact with an individual with pulmonary tuberculosis or a positive tuberculin skin test within the past year - Focal neurological deficit - Cranial nerve palsy (from raised ICP) - Altered consciousness 2. CSF Criteria - Clear appearance - Leukocytes: 10–500/μL - Lymphocytic predominance (> 50%) - Protein concentration > 1 g/L - CSF to plasma-glucose ratio < 50% or absolute CSF glucose concentration < 2.2 mmol/L 3. Neuroimaging Criteria Hydrocephalus Basal meningeal enhancement Tuberculoma Infarct Pre-contrast basal hyperdensity 4. Evidence of TB Elsewhere - Chest radiography suggestive of active TB - Evidence for TB outside the CNS on CT, MRI or ultrasound - AFB identified or M. tuberculosis cultured from another source (sputum, lymph node, gastric washing, urine, blood culture) - Positive commercial M. tuberculosis-PCR from extraneural specimen
117
How do you manage TB Meningitis?
The WHO recommends treatment with the same regimen as any form of tuberculosis starting with isoniazid, rifampicin, ethambutol and pyrazinamide. Usually, treatment is for 9 to 12 months. Corticosteroids seem to improve clinical outcomes and are currently recommended; however, their effects may vary in different clinical settings.
118
How can you diagnose TB?
Gene xpert MTB/RIF TB LAMP Assay Urinary LAM (HIV+ve) IGRA Sputum Microscopy Sputum Culture