Microscopy Quiz Flashcards

(14 cards)

1
Q

4F in West Africa presents with lethargy, fever, hepatosplenomegaly. What does the blood film show?

A

Later/mature stage schizont of suspected Plasmodium species

8-11 merozoites arranged peripherally within a microcytic RBC.

Haemozoin pigment (green/yellow content) is visible centrally within the
RBC as - a “daisy head” form

Plasmodium Malariae

How well did you know this?
1
Not at all
2
3
4
5
Perfectly
2
Q

What is the specimen on stool microscopy?

A

Schistosoma mansoni

Schistosoma mansoni egg measuring ~150 long by 55 μm wide.

Light yellow/brown, elongated oval shape and with a characteristic prominent lateral spine near the posterior end.

Contains a miracidium.

How well did you know this?
1
Not at all
2
3
4
5
Perfectly
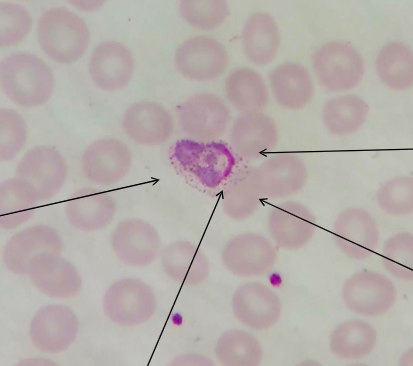
3
Q

Describe the specimen

A

Thin blood film
Enlarged irregular parasitised RBC
Irregular Cytoplasm with large nucleus
Amoeboid trophozoite
Schuffner’s dots

How well did you know this?
1
Not at all
2
3
4
5
Perfectly
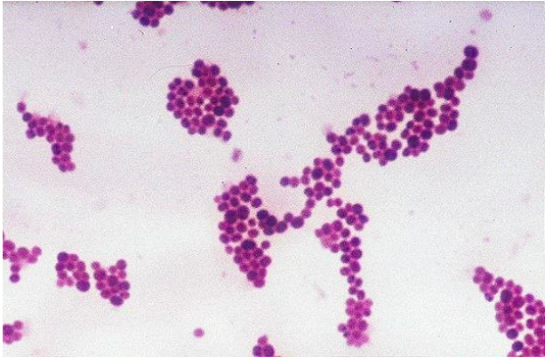
4
Q

10F with respiratory symptoms, pyrexia and R knee swelling. Her blood culture is attached. What is the description and likely diagnosis?

A

Gram +ve cocci in clusters

Likely to be Staph Aureus (must check for MR status)

How well did you know this?
1
Not at all
2
3
4
5
Perfectly
5
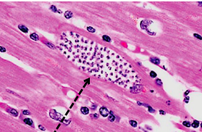
Q

You have a 40F patient from Brazil who presents with Hear Block.

What does the tissue biopsy show?

A

Tissue Biopsy
Oval amastigote in keeping with Chagas Disease

How well did you know this?
1
Not at all
2
3
4
5
Perfectly
6
Q

Child with joint swelling and cough.

What might this be?

A

Staph Aureus

Gram positive Cocci in clumps

How well did you know this?
1
Not at all
2
3
4
5
Perfectly
7
Q

A 28 year old male patient presented to the School’s Clinic with a history of fever and rigors occurring every 48 hours for the past 6 days. Each bout of fever lasted 4 hours.

He had returned from Kenya 3 months previously.

The week before his return he was treated in Nairobi for Plasmodium falciparum malaria with Fansidar.

On examination in the clinic he looked well and had a temperature of 36.4ºC.

Thick and thin blood films were taken.

Describe this film

A

Thick film:
parasites2:1 hpf,
Younger trophozoites, some rings.
Older, larger trophs with ‘halo’ of schuffners dots. These parasites fairly compact

How well did you know this?
1
Not at all
2
3
4
5
Perfectly
8
Q

A 28 year old male patient presented to the School’s Clinic with a history of fever and rigors occurring every 48 hours for the past 6 days. Each bout of fever lasted 4 hours.

He had returned from Kenya 3 months previously.

The week before his return he was treated in Nairobi for Plasmodium falciparum malaria with Fansidar.

On examination in the clinic he looked well and had a temperature of 36.4ºC.

Thick and thin blood films were taken.

Describe this film

A

Occasional gametocytes, solid and
rounded, again, compact
parasites.

Early and developing, immature schizonts.

Some mature schizonts
with 8-12 merozoites.

How well did you know this?
1
Not at all
2
3
4
5
Perfectly
9
Q

A 28 year old male patient presented to the School’s Clinic with a history of fever and rigors occurring every 48 hours for the past 6 days. Each bout of fever lasted 4 hours.

He had returned from Kenya 3 months previously.

The week before his return he was treated in Nairobi for Plasmodium falciparum malaria with Fansidar.

On examination in the clinic he looked well and had a temperature of 36.4ºC.

Thick and thin blood films were taken.

Describe this film

A

Thin film: parasites fairly
scanty in thin.

Some younger trophozoites, some rings, in only slightly enlarged RBCs

How well did you know this?
1
Not at all
2
3
4
5
Perfectly
10
Q

Blood film, returning traveller

A

Later trophozoites with more cytoplasm and more obvious Schuffners dots.

Generally compact parasites in only
slightly enlarged red cells, some parasitised cells showing fimbriation

How well did you know this?
1
Not at all
2
3
4
5
Perfectly
11
Q

Blood film, returning traveller

A

Oval or rounded solid looking gametocytes, with pigment and Schuffners dots.

How well did you know this?
1
Not at all
2
3
4
5
Perfectly
12
Q

A medical entomologist from the UK spent 1 month on a mosquito-hunting trip in Uganda.

Whilst in Uganda he had been treated for P. falciparum.

Two days after his return to LSTM Liverpool he suffered headache, a feeling of chill, nausea and mild diarrhoea; he consulted his doctor. A sample of his blood was observed by microscopy

A

Short stumpy forms (injected by tsetse fly) during blood feed

Long, slender trypomastigotes, dividing forms

Note: undulating membrane, central nucleus. Small terminal kinetoplast

How well did you know this?
1
Not at all
2
3
4
5
Perfectly
13
Q

How big is this?

A

55-65um

How well did you know this?
1
Not at all
2
3
4
5
Perfectly
14
Q

What is the size of this?

A

60-70 um

  • Diphyllobothrium Latum
  • Ova
  • Pale yellow brown
  • Oval
  • 60-70um
  • Operculum can be seen at one end
  • Granulated yolk cells around an undeveloped ovum
  • Within the ova there is a mass of granulated yolk cells
How well did you know this?
1
Not at all
2
3
4
5
Perfectly