Neuro Dr Vidhya Flashcards

(86 cards)

1
Q

Headache: Cluster or Migrainous Neuralgia CLINICAL FEATURES

A

TRIAD:
* Retroorbital Headache
* Rhinorrhoea
* Lacrimation

Unilateral headache

Occurs nightly or in the early hours of
the morning

No visual disturbances or vomiting

Hallmark : Cyclical nature of the attacks and at least 5 attacks. Occurs typically in males; Rare in childhood.

How well did you know this?
1
Not at all
2
3
4
5
Perfectly
2
Q

Headache: Cluster or Migrainous Neuralgia ACUTE Management

A

1st line: 100% O2 15 L/min for 15 minutes

2nd line: Sumatriptan sc injection or intranasally

How well did you know this?
1
Not at all
2
3
4
5
Perfectly
3
Q

Headache: Cluster or Migrainous Neuralgia PROPHYLAXIS (once a cluster starts TO PREVENT FURTHER ATTACKS)

A
  1. For control of attack – Naratriptan
  2. Methysergide
  3. Prednisolone
  4. Lithium
  5. Verapamil
How well did you know this?
1
Not at all
2
3
4
5
Perfectly
4
Q

Headache: Tensional Clinical findings

A

Symmetrical bilateral tightness (muscle contraction headaches)

Lasts from 30 minutes to 7 days

Non-pulsating, mild to moderate intensity

No nausea, vomiting, photophobia, or phonophobia

How well did you know this?
1
Not at all
2
3
4
5
Perfectly
5
Q

Headache: Tensional Management

A

Relaxation techniques

Lifestyle modifications

Avoid tranquilisers and stronger analgesics

How well did you know this?
1
Not at all
2
3
4
5
Perfectly
6
Q

Headache: Tensional Treatment

A
  1. CBT
  2. Mild non-opioid analgesics – aspirin, ibuprofen, paracetamol
How well did you know this?
1
Not at all
2
3
4
5
Perfectly
7
Q

Headache: Migraine Clinical Features

A

MC triggered by Stress

Headache lasts 4- 72 “hours”

Unilateral, Pulsatile in nature.

Moderate or severe intensity, inhibiting daily activities associated with nausea, vomiting, photophobia, or phonophobia

Not attributable to another disorder

How well did you know this?
1
Not at all
2
3
4
5
Perfectly
8
Q

Headache: MILD
Acute Migraine Management

A

1st line: ASPIRIN OR
PARACETAMOL + METOCLOPRAMIDE

ADVISE LYING DOWN
IN A QUIET DARK COOL ROOM.

COLD PACKS ON THE FOREHEAD OR NECK.

AVOID: COFFEE, TEA, MOVING AROUND TOO MUCH, READING, WATCHING TV

How well did you know this?
1
Not at all
2
3
4
5
Perfectly
9
Q

Headache: SEVERE
Acute Migraine Management

A

1st line: TRIPTANS (BEST AT START OF ATTACK)

AVOID IN:

  • CORONARY ARTERY
  • DISEASE
  • ANGINA
  • UNCONTROLLED HYPERTENSION
  • PREGNANCY
How well did you know this?
1
Not at all
2
3
4
5
Perfectly
10
Q

Management of Acute Migraine attack during pregnancy

A

Paracetamol is the preferred non-opioid analgesic.

Avoid NSAIDs and
Aspirin in the first trimester and after 30 weeks of gestation

How well did you know this?
1
Not at all
2
3
4
5
Perfectly
11
Q

Management of severe refractory Acute Migraine attack during pregnancy

A
  • IV fluids
  • Short course of IV
  • MgSO4 or oral steroids.

NOTE: Beta blockers can cause IUGR and should be weaned off before labour to prevent Fetal bradycardia.

How well did you know this?
1
Not at all
2
3
4
5
Perfectly
12
Q

Migraine Prophylaxis

A

1st line: Avoidance of known trigger factors.

Indication: 2 or more
severe migraine attacks per month attacks disrupting the
patient’s well being/lifestyle.

Drugs:
* Beta blockers (Propranolol)
* TCA (Amitryptyline)
* Sodium valproate
* CCBs ( Verapamil, Nifedipine)
* Candesartan
* Sumatriptan
* Gabapentin
* Botulinum toxin into the muscles of the face, scalp or neck

How well did you know this?
1
Not at all
2
3
4
5
Perfectly
13
Q

Headache: Temporal
arteritis (Giant cell arteritis) CLINICAL FEATURES

A

Persistent/intermittent unilateral throbbing headache in the
temporal region and scalp sensitivity with localized thickening

With or without loss of pulsation of the Superficial temporal artery.

Age > 50 years

Intermittent blurred vision

Tenderness on brushing hair

Jaw claudication on eating

Hypertension

Polymyalgia Rheumatica

How well did you know this?
1
Not at all
2
3
4
5
Perfectly
14
Q

Headache: Temporal
arteritis (Giant cell arteritis) MANAGEMENT

A

1) Very responsive to corticosteroids- start treatment immediately to prevent permanent blindness.

2) Aspirin to prevent ischemic events

How well did you know this?
1
Not at all
2
3
4
5
Perfectly
15
Q

Headache: Subarachnoid Hemorrhage CLINICAL FEATURES

A

Presentation: Acute severe headache “thunderclap” (in 75% patients); Loss of consciousness in the remaining 25%.

TRIAD
* Occipital Headache
* Vomiting
* Neck stiffness

Also:
- With or without seizures
- Kernig sign positive

How well did you know this?
1
Not at all
2
3
4
5
Perfectly
16
Q

Headache: Subarachnoid Hemorrhage INVESTIGATIONS

A

Dx: 1) CT Head – investigation of
choice

2) Lumbar puncture is used if CT scan is
negative – Homogenous blood staining of CSF
and Xanthochromia are diagnostic of SAH

How well did you know this?
1
Not at all
2
3
4
5
Perfectly
17
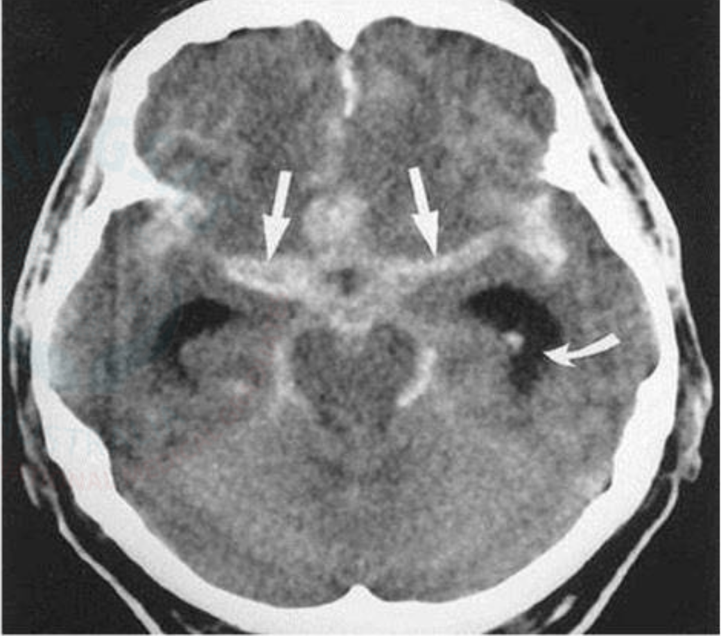
Q

Headache: Subarachnoid Hemorrhage CT Imagen

A

Areas of hyper density within the cisterns and sulci

How well did you know this?
1
Not at all
2
3
4
5
Perfectly
18
Q

Headache: Subarachnoid Hemorrhage Management

A

URGENT REFERRAL!!

How well did you know this?
1
Not at all
2
3
4
5
Perfectly
19
Q

Headache: Trigeminal
Neuralgia CLINICAL FEATURES

A

> 50 yo

Almost always unilateral

Presentation:
* Brief paroxysms of pain 1-2 minutes (upto 15 minutes)
* Excruciating burning knife or electric shock like pain.
* Precipitated by talking, chewing, touching trigger areas on face, cold weather, and wind.

How well did you know this?
1
Not at all
2
3
4
5
Perfectly
20
Q

Headache: Trigeminal
Neuralgia. Associated diseases

A
  • Multiple sclerosis
  • Neurosyphilis
  • Posterior fossa Tumours
How well did you know this?
1
Not at all
2
3
4
5
Perfectly
21
Q

Headache: Trigeminal
Neuralgia Investigation

A

MRI

How well did you know this?
1
Not at all
2
3
4
5
Perfectly
22
Q

Headache: Trigeminal
Neuralgia MANAGEMENT

A

1st line: Patient education and reassurance.

2nd line: Carbamazepine (from onset of attack until resolution)

3rd line: Surgery. Just if medical treatment is ineffective: Decompression of the Trigeminal nerve root

How well did you know this?
1
Not at all
2
3
4
5
Perfectly
23
Q

CLINICAL FEATURES Idiopathic Intracranial Hypertension (Pseudotumour cerebri)

A
  • Obese young patient
  • Headache
  • Nausea
  • Visual obscuration or blurring (main concern
    from high ICP) check papilledema.
How well did you know this?
1
Not at all
2
3
4
5
Perfectly
24
Q

FIRST INVESTIGATION Idiopathic Intracranial Hypertension (Pseudotumour cerebri)

A

CT and MRI are normal.

How well did you know this?
1
Not at all
2
3
4
5
Perfectly
25
BEST INVESTIGATION Idiopathic Intracranial Hypertension (Pseudotumour cerebri)
Lumbar puncture: Increased CSF pressure 25 cm H2O with Normal CSF analysis.
26
MANAGEMENT Idiopathic Intracranial Hypertension (Pseudotumour cerebri)
1st: URGENT REFERRAL!! 2nd: * Stop causative drugs * Weight reduction * Corticosteroids and diuretics NOTE: Choice to alleviate symptoms: Repeated Lumbar Puncture
27
Medication overuse Headache CLINICAL FEATURES
BILATERAL “Headache all day everyday”
28
Medication overuse Headache CAUSE
NSAIDs, triptans, ergotamine. Typically with regular use > 15 days per month for 3 months
29
Medication overuse Headache Treatment
Gradual withdrawal of the drugs; Bridging therapy with a short course of steroids or NSAID
30
GCS
31
MANAGEMENT of Coma of unknown cause in the ED
TONG(F) or Coma cocktail
32
Transient Ischemic Attack (TIA) CLINICAL FEATURES
* Short duration (< 60 minutes) * Consciousness preserved * Complete clinical recovery in < 24 hours (spontaneous)
33
Carotid TIAs CLINICAL FEATURES
90% ischemic attack in anterior circulation (Carotid) Unilateral features: * Amaurosis fugax * Dysphasia * Unilateral weakness, paralysis or numbness of face and arm (especially) and leg.
34
Vertebrobasilar TIAs CLINICAL FEATURES
Bilateral or crossed features: * Homonymous hemianopia * Bilateral blurring of vision, blindness, or diplopia * Vertigo * Nausea ± vomiting * Dysarthria * Hemiplegia * Ataxia ± bilateral weakness or numbness, drop attacks.
35
TIA INVESTIGATIONS
1. CT or MRI 2. Carotid duplex Doppler NOTE: Also ECG but depends on the question
36
TIA MEDICAL MANAGEMENT
FIRST: Aspirin or (Clopidogrel + Aspirin) or (Dipyridamole + Aspirin) or Ticlopidine NOTE: Dual therapy within 24 hours and cease at three weeks. If failed antiplatelet therapy or vertebrabasilar ischemia: WARFARIN DOACs for non-valvular, AF >65 yo
37
TIA SURGICAL MANAGEMENT
Based on the Carotid duplex Doppler Results (CDUS): Symptomatic (Ipsilateral TIA or Stroke) – 70-99%: Intervention – 50-69%: Grey area- REFER! – <50%: Observe Asymptomatic: > 80%: Non-urgent intervention < 80%: Annual survillance with CDUS Surgery: **Carotid Endarderectomy**
38
STROKES TERRITORIES. Anterior Circulation Arteries
1. Anterior Cerebral Artery 2. Middle Cerebral Artery 3. Lenticulo-striate Artery
39
STROKES TERRITORIES. Posterior Circulation Arteries
1. Posterior Cerebral Artery 2. Basilar Artery 3. Anterior inferior cerebellar artery 4. Posterior inferior cerebellar artery 5. Anterior spinal artery
40
Anterior Cerebral Artery Stroke CLINICAL FEATURES
41
Middle Cerebral Artery Stroke CLINICAL FEATURES
42
Lenticulo-striate Artery Stroke CLINICAL FEATURES
43
Posterior Cerebral Artery Stroke CLINICAL FEATURES
44
Basilar Artery Stroke CLINICAL FEATURES
45
Anterior inferior cerebellar artery Stroke CLINICAL FEATURES
**Lateral Pontine Syndrome** - *General* (VII Nerve Nuclei) ↓ Lacrimation ↓ Salivation ↓ Taste anterior 2/3 of the tongue (Vestibular nuclei) Vomiting Vertigo Nystagmus - *Contralateral* BODY↓ Pain and temperature sensation - *Ipsilateral* FACE ↓ Pain and temperature sensation Horner syndrome Ataxia Dysmetria (Inner ear) Sensorineural deafness
46
Posterior inferior cerebellar artery Stroke CLINICAL FEATURES
**Lateral Medullary (Wallenberg) Syndrome** (IX, X, XI Nerves Nucleus) **Dysphagia Hoarseness** Dysphonia ↓ Gag reflex Hiccups Vomiting Vertigo Diplopia Nystagmus (horizontal and vertical) - *Contralateral* BODY↓ Pain and temperature sensation - *Ipsilateral* FACE ↓ Pain and temperature sensation Horner syndrome Limb Ataxia Dysmetria
47
Anterior spinal artery Stroke CLINICAL FEATURES
**Medial Medullary Syndrome**
48
Lacunar Infartcts Types
1. Pure motor (contralateral) 2. Pure sensory (contralateral) 3. Ataxic hemiparesis 4. Dysarthria-Clumsy hand Syndrome
49
Dominant side- Parietal Lobe Lesion
**Gerstmann’s Syndrome** Tetrad 1. dysgraphia 2. dyscalculia 3. finger agnosia (can't touch the fingers together) 4. Left to right disorientation ALSO: Aphasia, dysphasia Alexia, dyslexia
50
Non dominant Parietal lobe lesion
* Geographical agnosia * Phonagnosia (difficulty in recognizing familiar voices) * Amusia * Constructional Apraxia * Asomatognosia * Anosognosia * Spatial neglect * Neglect of contralateral limb * Dressing apraxia
51
Vertigo
* Peripheral * Central
52
Cause for periperal Vertigo
* Labyrinth ( Meniere, Labyrintitis, BPPV, trauma, CSOM) * Eight cranial nerve ( Vestibular neuronitis, acustic Neurinoma, drugs) * Cervical
53
Cause for central Vertigo
*brainstem ( vertebrobasilar insufficiency, infarction) *cerebellum ( degeneration, tumor) * Migrain/Ms
54
Vertigo - Red flags
* neurological symptoms * Ataxia out of proportion of vertigo * Nystagmus out of propotion of vertigo * central Nystagmus * central eye movement abnormalities
55
Vestibular neuronitis
* acute vertigo + nausea + vomiting
56
Vestibular neuronitis - Clinic
* young/middle age * 50% prior URTI / herpes zoster infection * vertigo + imbalance aggrevate with headpostion * **NO** tinitus or hearing loss - horizontal nystagmus , oszillation towards healthy ear
57
Drugs causing Vertigo
- Antibiotics ( Mycines, tetracycline) - anticonvulsant - cardiogenic drugs - salycylate
58
Vestibular neuronitis - Management
- Bed rest - Medication: 1. Promethazin 2. prochlorperazine 3. ondasentron 4. diazepam Self limiting after 5-7 days ( or weeks)
59
Benign paroxismal postional vertigo BPPV- S/S
-elderly -sudden ( induced by changing headpostion) -attack 10-60sec -Vertigo while going out of bed/travelling -no vomitting deafness, tinitus
60
BPPV- Dx/Mx
Dx: - Halpick manoever - test for vestibular and hearing fct normal Mx: - reaessure - exercise ( eg Cawthorne -Cooksey) - reposional manoever - no drugs
61
Meniere
Vertigo + vomiting + tinnitus + sensorineural deafness
62
Meniere - S/S
- 20-50a - acute onset of vertigo, tinnitus, nausea, vomiting, heaing loss(low tone), nystagmus - "ear fullness" - attack : 30 min to several hours
63
Meniere - Dx/Mx
Dx - caloric test - impaired vestibular function on effected side Mx - acute: prochloperazine or diazepam - severe: diazepam+prochloperazine - Prophylaxis: hydrochlorthiazide, refer, low salt diet, smocking and coffee
64
Labyrinthitis - S/S
- young and middle age - 50% prior URTI / herpes zoster infection * vertigo + imbalance aggrevate with headpostion * tinitus or hearing loss (DD to Verstibular neuronitis) - horizontal nystagmus , oszillation towards healthy ear
65
Frontal - temporal Dementia - S/S
-Insidious onset and slow progression. -Preservation of memory to late-stage disease. -Early and prominent personality changes (e.g., apathy, irritability, jocularity, euphoria, loss of personal and social awareness). -Impaired judgment and insight. -Mental rigidity and inflexibility. -Unrestrained exploration of objects and the environment. -Language difficulties (e.g., problems with word recall, circumlocution, word repetition.
66
Huntington disease
- inherited progressive neurodegenerative disorder - characterized by --> choreiform movements, --> psychiatric problem (irritability, depression, dysphoria, agitation, apathy, anxiety, paranoia, delusions, and hallucinations) --> dementia
67
Rett Syndrom
-neurodevelopmental disorder -exclusively in females - MECP2 gene defect - initially normal development
68
Rett syndrom - Main Criteria
●Partial or complete loss of acquired purposeful hand skills ●Partial or complete loss of acquired spoken language ●Gait abnormalities: impaired (dyspraxic) or absence of ability ●Stereotypic hand movements such as hand wringing/squeezing, clapping/tapping, mouthing, and washing/rubbing automatisms
69
Rett Syndrom - Supportive criteria
●Breathing disturbances when awake ●Bruxism when awake ●Impaired sleep pattern ●Abnormal muscle tone ●Peripheral vasomotor disturbances ●Scoliosis/kyphosis ●Growth retardation ●Small cold hands and feet ●Inappropriate laughing/screaming spells ●Diminished response to pain ●Intense eye communication (“eye pointing”)
70
Bells Palsy RF
●pregnancy, severe pre- eclampsia ●hypertension ●diabetes ●upper respiratory illnesses such as influenza ●obesity
71
Third nerve Palsy
●sudden onset of binocular horizontal, vertical, or oblique diplopia and a droopy eyelid ●ptosis, a large unreactive pupil, and paralysis of adduction, elevation, and depression
72
Fourth nerve Palsy
73
Six nerve Palsy
weakness of abduction horizontal diplopia
74
Ramsay Hunt Syndrom - Triad
ipsilateral facial paralysis ear pain vesicles in the auditory canal and auricle severere + tinnitus, vertigo, hearing loss
75
Ramsay Hunt - Therapy
- Aciclovir and prednisolon
76
Lumbar puncture- Values
77
78
UMN
spastic paralysis hyperreflexia presence of a Babinski reflex Everything is up in UMN disease
79
LMN
flaccid paralysis significant atrophy fasciculations hyporeflexia, everything is down in LMN disease
80
Normal pressure hydrocephalus - Clinic
Gait instability (wide-based) with frequent falls Cognitive dysfunction Urinary urgency/incontinence Depressed affect (frontal lobe compression) Upper motor neuron signs in lower extremities
81
Normal pressure hydrocepahlus - Dx/Mx
Dx Marked improvement in gait with spinal fluid removal: Miller Fisher (lumbar tap) test Enlarged ventricles out of proportion to the underlying brain atrophy on MRI MX Ventriculoperitoneal shunting
82
Idiopathic intracranial hypertension - Clinic
Headache Vision loss; enlarged blind spot Pulsatile tinnitus Diplopia; palsy of the abducens nerve (CN VI) Papilledema
83
Idiopathic intracranial hypertension - RF
obese women of childbearing age Medication( retinoids, tetracyclines, growth hormone)
84
Idiopathic intracranial hypertension - Dx/Mx
Dx Neuroimaging Lumbar puncture: elevated opening pressure Mx Weight loss Acetazolamide
85
Headache- Differential Symptomes
86