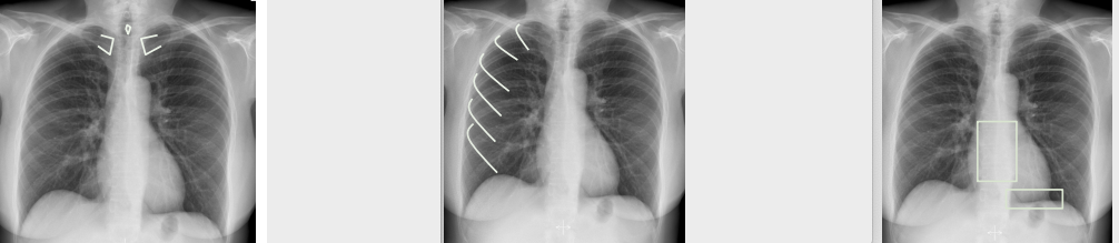
where is the left lingula?

which ribs do the lungs & pleura go down to
where are the costophrenic and cardio-phrenic angles?

what is the neuronal control of breathing from?
central respiratory control: brainstem - pons & medulla
communicated to the thorax via the phrenic nerve (visceral c3-5) & intercostal nerves
what do dense substances appear as on the x-ray?
white :)
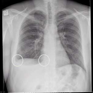
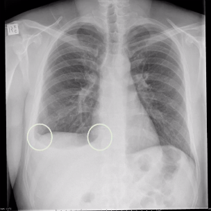
what is this?

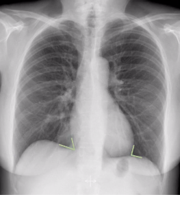
costophrenic angle
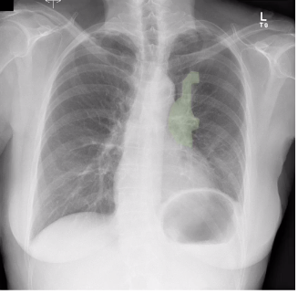
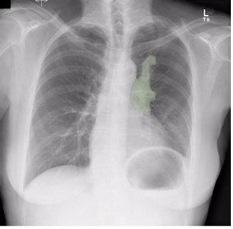
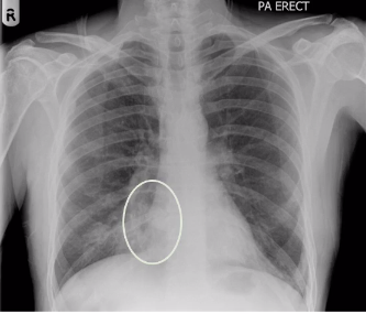
what is this ?

cardio-phrenic angle
label this bestie xox


how you approach a chest x-ray? (explain 1 & 2)
then,

how do u approach an x-ray? (overview)
what are the main things that could cause airways to not be correct? (4)
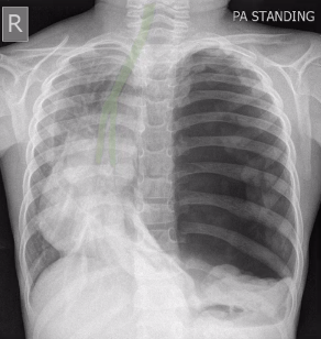
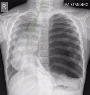
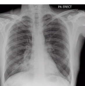
how do you tell if an x-ray is PA or AP?
who is more likely to have an PA or AP x-ray?

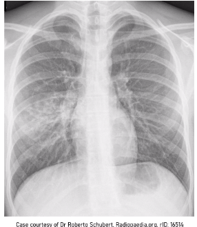
whats wrong here?


whats up here?

hilum enlarged

what would you look for ABCDE BREATHING?
what look for that could go wrong? (3)
ii) BREATHING
- Lung fields
- Pleural Space
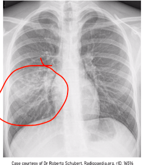
whats wrong here?

whitening of the lung - in the right middle zone of the lung

whats wrong here?
how can you tell?

pneumothorax
ABCDE CIRCULATION:
Look for:

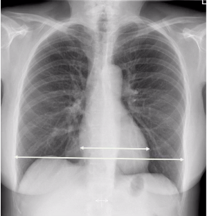
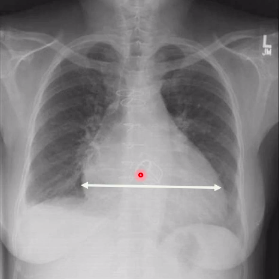
what is a cardiomegaly?

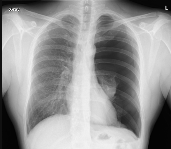
whats wrong here?

loss of heart border !

what do you look for in ABCDE Diaphragm? (5)
things that might be wrong? (3)
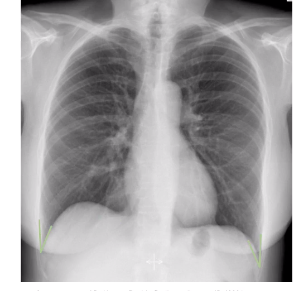
whats wrong here?

blunted cardiophrenic and costophrenic angles

what do u look for ABCDE Everything else? (3)
what can go wrong?
v) Everythng else
- Bones
- Soft tissue
- Other objects
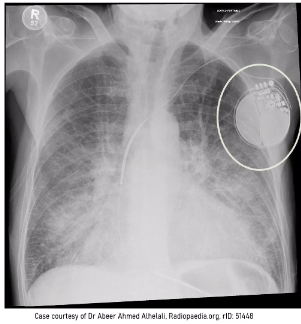
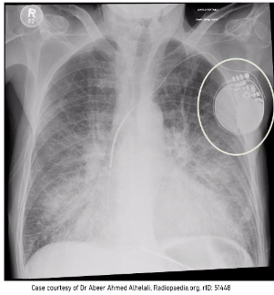
whats this?

cardiopacemaker
