Dermatopathology Flashcards

(51 cards)

1
Q

What stains can be used to differentiate Paget’s disease from Bowen’s disease?

A

Pagets: CAM5.2+, CK903- Bowens: CAM5.2-, CK903+

How well did you know this?
1
Not at all
2
3
4
5
Perfectly
2
Q

What is the salivary gland-skin adnexal tumor syndrome called and what tumors do they get?

A

Brooke-Spiegler syndrome rare familial autosomal dominant condition of multiple cylindromas, trichoepitheliomas and eccrine spiradenomas

How well did you know this?
1
Not at all
2
3
4
5
Perfectly
3
Q

What mutation is seen in pilomatrixoma and pilomatrix carcinoma?

A

activating mutations of CTNNB1 gene encoding beta-catenin

beta catenin staining: NUCLEAR in basaloid cells, cytoplasmic and membranous in intermediate basaloid cells, and NO staining in ghost cells

How well did you know this?
1
Not at all
2
3
4
5
Perfectly
4
Q

What are the two most common tumors to arise in nevus sebaceous?

A
  • Trichoblastoma (looks just like pilomatrixoma except no ghost cells and usually occurs on scalp, characteristically contains fibromyxoid stroma as an intergral part of tumor, stroma exhibits areas of condensation indenting the adjacent basaloid epithelium resembling primitive hair papillae and are referred to as papillary-mesenchymal bodies which are characteristic for this lesion)
  • Syringocystadenoma papilliferum
How well did you know this?
1
Not at all
2
3
4
5
Perfectly
5
Q

Board Q from Osler lecture!

1) What are the contents of a spongiotic microvesicles?
2) What are the contents of Pautrier microabscesses?
3) What are the contents of microabscesses of Munro?

A

1) Normal lymphocytes and Langerhan cells
2) Atypical/neoplastic lymphocytes and Langerhans cells
3) Neutrophils and Langerhans cells

How well did you know this?
1
Not at all
2
3
4
5
Perfectly
6
Q

What is the prototypic lesion associated with superficial perivascular and interstitial pattern of dermatitis?

A

Urticaria

How well did you know this?
1
Not at all
2
3
4
5
Perfectly
7
Q

What is the prototypic lesion associated with superficial and deep perivascular pattern of dermatitis?

A

Superficial and deep perivascualr with mixed inflammation and eosinophils is due to bug, drug or other allergen exposure

How well did you know this?
1
Not at all
2
3
4
5
Perfectly
8
Q

What is the prototypic lesion associated with spongiotic dermatitis?

A

Pityriasis rosea

However, spongiotic derm is split into two categories both of which overlap with tinea:

1) with eos–drug, allergic contact, bug (arthropod and
insect) , partially treated psoriasis

2) no eos–Contact irritant dermatitis which includes seborrhoic derm, Id reaction, nummular dermatitis (aka
discoid eczema)

How well did you know this?
1
Not at all
2
3
4
5
Perfectly
9
Q

What is the differential when you see psoriasiform dermatitis?

A
  • Clear cell acanthoma
  • Chronic spongiotic dermatitis
  • Pityriasis rosea (less likely)
  • Lichen simplex chronicus
  • Mycosis Fungoides
  • FUNGAL DISEASE(s) – TINEA!!
How well did you know this?
1
Not at all
2
3
4
5
Perfectly
10
Q

What is prototypic lesion associated with interface dermatitis?

A

Erythema multiforme (remember, this is an acute reaction but has all lymphs which is important because skin doesn’t stick to the acute/chronic rules of inflammation)

*just the interface part is EM minor but full thickness epidermal necrosis is EM major and equals Stevens Johnson or TEN clinically

How well did you know this?
1
Not at all
2
3
4
5
Perfectly
11
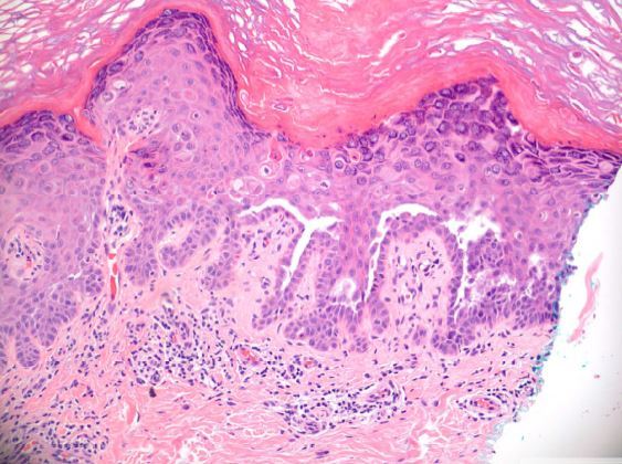
Q

If you are shown this pattern of a lichenoid infiltrate WITH psoriasiform hyperplasia, what ONE entity should you think about?

A

SYPHILLIS

How well did you know this?
1
Not at all
2
3
4
5
Perfectly
12
Q

What are the three main entities you should think of it you see a palisading granulomatous skin lesion and how do you tell them apart?

A

Granuloma annulare: may be mucin in center (glycosaminoglycans) – colloidal iron or alcian
blue stains

  • *Rheumatoid nodule**: Fibrin – fibrinogen or Fraser or PTAH or Lendrum stain
  • *Necrobiosis Lipoidica (diabeticorum)**: Central areas of collagen degeneration but can have mucin too – trichrome stain or collagen stain

Infectious etiologies are in the differential!

How well did you know this?
1
Not at all
2
3
4
5
Perfectly
13
Q

If you see SUBCORNEAL bullous/vesicular lesion, what 2 things should you think of?

A

Sneddon Wilkinson aka Subcorneal pustular dermatosis

and Staph scalded skin syndrome

How well did you know this?
1
Not at all
2
3
4
5
Perfectly
14
Q

What is the main differential with pemphigus vulgaris and how do you tell them apart?

A

Hailey-Hailey Disease (benign familial pemphigus)

This will usually only be on flexor surfaces, not all over like PV.

Autosomal dominant defect in Ca pump gene (ATP2C1) on 3q21-q24

Buzz word for Hailey-Hailey is typically, “dilapidated
brick wall
” appearance with full-thickness and
suprabasilar acantholysis

How well did you know this?
1
Not at all
2
3
4
5
Perfectly
15
Q

What is the main differential for subepidermal bullae?

A

Bullous pemphigoid vs Epidermolysis bullosa
acquisita

*Careful here–they can show you bulla what doesn’t quite look like BP because there is re-epithelization!

On IF, you get linear deposits of C3 and IgG but C3 is the important one here!

If you have linear deposition on the ROOF of bulla or both roof and bottom=BP

If you have linear deposits only on the BOTTOM, it is EBA

How well did you know this?
1
Not at all
2
3
4
5
Perfectly
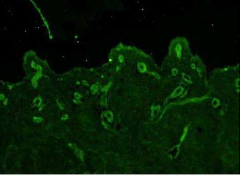
16
Q

What entity shows the IF pattern shown?

A

Porphyria cutanea tarda

Acral site, cell-poor blister shows “festooning” (dermal
papillae preserved), caterpillar bodies adherent to epidermis
INFLAMMATION IS ABSENT OR NEARLY
ABSENT

How well did you know this?
1
Not at all
2
3
4
5
Perfectly
17
Q

What entity is characterized by neutrophils +/- eosinophils in the DERMAL PAPILLAE and you can see a subepidermal split later in the course? It will shows papillary dermal deposition of IgA

A

Dermatitis herpetiformis (aka Duhring’s disease)

The only way to tell apart from linear IgA disease is IF (and this will happen in older people instead of younger Celiac patients)

How well did you know this?
1
Not at all
2
3
4
5
Perfectly
18
Q

If you see a lichenoid AND acantholytic pattern, what disease should you think of?

A

Paraneoplastic pemphigus

IF will show intracellular IgG with linear C3 deposition

Think of it as an overlap between pemphigus vulgaris and bullous pemphigoid

How well did you know this?
1
Not at all
2
3
4
5
Perfectly
19
Q

What disease is characterized by autosomal dominant
disease, greasy papules on head and neck, acanthosis, suprabasal acantholytic dyskeratosis with “corps ronds”
(dyskeratotic cells) and grains (parakeratotic cells)?

A

Darier’s Disease

Autosomal dominant defect in Ca2+ATPase gene (ATP2A2) 12q23-q24.1

IF is negative

How well did you know this?
1
Not at all
2
3
4
5
Perfectly
20
Q

In the skin, how do you tell the difference between herpes and varciella infection based on histology?

A

Herpes will be superficial

If you see “herpes inclusions” that only involve the hair follicle, it is more likely to be varicella

How well did you know this?
1
Not at all
2
3
4
5
Perfectly
21
Q

What is the name of the bodies you seen in Molluscum?

A

Henderson Patterson Bodies!

22
Q

Regarding cryptococcus, which stains will stain the slimy envelope and what stain will stain the fungal organisms itself?

A

Envelope: Mucicarmine and alcian blue

Organism: PAS

23
Q

What is the mutation in Brooke Spiegler syndrome and what characterizes this disease?

A

CYLD Mutation

Three conditions are known to be caused by mutations in the CYLD gene: Brooke-Spiegler syndrome, multiple familial trichoepithelioma, and familial cylindromatosis

Brooke-Spiegler syndrome is an autosomal dominant disorder classically characterized by the appearance of multiple skin appendage tumors such as cylindroma, trichoepithelioma, and spiradenoma. These tumors are typically located in the head and neck region, appear in early adulthood, and gradually increase in size and number throughout life

24
Q

What is Muir Torre syndrome?

A

A a rare hereditary, autosomal dominant cancer syndrome that is thought to be a subtype of HNPCC. Individuals are prone to develop cancers of the colon, breast, and genitourinary tract, and skin lesions, such as keratoacanthomas and sebaceous tumors. The genes affected are MLH1, MSH2, and more recently, MSH6, and are involved inDNA mismatch repair.

Characterized by at least a single sebaceous gland tumor (either an adenoma, an epithelioma, or a carcinoma) AND a minimum of one internal malignancy

25
What are the two categories of sebaceous carcinoma location wise?
Extra-ocular: More common in patients with Muir Torre Syndrome Ocular: Most common in patients without Muir Torre \*NOTE: It can have pagetoid spread in the conjunctiva! In the eye, this should be HIGH on your differential on boards
26
What is the adnexal tumor that will at low power look like a basal cell on bottom and a verruca on top?
Tricholemmoma
27
What structures help distinguish BCC from trichoepithelioma?
Mesenchymal-papillary body (so-called “ball and claw”) Desmoplastic trichoeps will have these too These are fibroblastic bulbar differentiation resulting abortive hair papillae and it has the so-called "ball and claw" look
28
They love to show Spitz nevus on the boards. What can help you tell this apart from a melanoma?
Spitz will have epidermal changes (ie hyperkeratosis) and melanoma usually will not
29
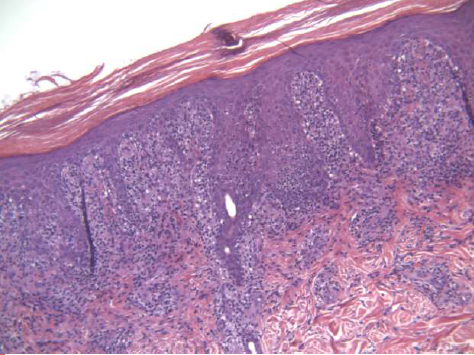
What is lymphomatoid papulosis and what stain is positive?
Rare, self-healing, recurrent papular eruptionwith indolent clinical course, although 10% are associated with or evolve to anaplastic large cell lymphoma. May be self healing "benign" phase of anaplastic large cell lymphoma (and remember ALCL in skin is not NEAR as bad as systemtic). Wedge shaped on low power with base of lymphocytes at epidermis and tip deep within reticular dermis. Polymorphic superficial dermal infiltrate, usually perivascular, with thin epidermis. Occasional atypical lymphoid cells resembling Reed-Sternberg cells or "lumps of coal". Often obscures dermoepidermal junction with variable epidermotropism Type A: Pleomorphic CD30+ lymphocytes with hyperchromatic nuclei that may mimic Reed-Sternberg cells. Also mixed inflammatory infiltrate Type B: Relatively small hyperchromatic lymphocytes with complex nuclear membranes
30
Name this specialized type of BCC found in groin, breast and ears.
Fibroepithelioma of pinkus It is a eccrine duct BCC
31
When someone is diagnosed with guttate psoriasis, what clinical scenario is most common (ie what other problem do these patients have)?
Streptococcal pharyngitis or other forms of infection
32
A patient is diagnosed with necrolytic migratory erythema. The clinician should be advised to look for evidence of what?
Glucagonoma Necrolytic migratory erythema is marked by pronounced pallor of the epidermis associated with necrolysis and eventually necrosis. This lesion is usually associated with an islet cell glucagon secreting malignancy or a glucagonoma.
33
What are the features of grade 1-4 acute graft versus host disease in the skin?
Grade 1: Vacuolar alterations Grade 2: Necrotic keratinocytes Grade 3: Subepidermal microvesicles Grade 4: Epidermal separation
34
What are Max Joseph spaces?
They represent focal subepidermal clefts formed by confluent vacuoles, typically encountered in the setting of lichen planus.
35
Eosinophilic folliculitis is associated with which viral infection?
HIV
36
Erythema induratum represents a form of lobular panniculitis that is associated with what?
Tuberculosis Classically affects lower legs and tends to show symmetric involvement. Granulomatous inflammation is a prominent feature of this disorder.
37
A patient has red-brown patches in the axilla and a diagnosis of erythrasma is entertained. What organism causes this?
Corynebacterium minutissimum (gram positive lipophilic bacteria)
38
What syndrome can keratoacanthomas arise in?
Muir-Torre syndrome Gryzybowski syndrome Ferguson-Smith syndrome
39
Familial forms of pilomatricoma can see be in what two syndromes?
Myasthenia gravis and Gardner's syndrome
40
What is the most powerful predictor of prognosis in melanoma?
Tumor thickness
41
What two clinical findings can be seen in patients with angiomatoid fibrous histiocytoma?
Polyclonal gammopathy and anemia These usually arise on the extremities in young patients and frequently accompanied by systemic symptoms like fever and weight loss. They are positive for EMA, desmin and CD68
42
Which leukemia accounts for the most new cases of cutaneous involvement per year?
CLL This is closely followed by AML
43
What disease is associated with lots of angiokeratomas in the skin?
Fabry's disease
44
What lymphoid marker can be used to differentiate AFX from sarcoma, sarcomatoid carcinoma and melanoma?
CD10 ## Footnote \*also positive in neoplastic cells in angioimmunoblastic lymphoma
45
What syndrome has multiple of these skin tumors?
Birt-Hogg-Dube | (fibrofolliculoma)
46
Name this lesion.
Cellular Blue Nevus Here is a regular blue nevus
47
Name this lesion.
Proliferating trichilemmal cyst
48
What lesion is this which can mimics the necrobiotic granulomatous diseases?
Epithelioid sarcoma ## Footnote KERATIN +, VIMENTIN +, EMA +, CD34 + (50%) NODULES +/- ULCERATION-DISTAL EXTREMITIES OF YOUNG ADULT MEN
49
What is this lesion? If a patient has multiple of these, what syndrome should be on the differential?
Sebaceous adenoma ## Footnote Muir-Torre syndrome
50
What are the Clark's levels when grading melanoma?
* II MINIMAL INVOLVEMENT OF PAPILLARY DERMIS * III FILLING/EXPANSION OF PAPILLARY DERMIS * IV INVOLVEMENT OF RETICULAR DERMIS * IV INVOLVEMENT OF SUBCUTIS
51
What is lymphomatoid papulosis?
Rare, self-healing, recurrent papular eruption Indolent clinical course, although 10% are associated with or evolve to anaplastic large cell lymphoma May be self healing "benign" phase of anaplastic large cell lymphoma (per Rosai) May resemble pityriasis lichenoides et varioliformis acuta, or have large ulcerated plaques and nodules