Endocrine Pathology Flashcards

(32 cards)

1
Q

What tumor has a peculiar membranous/cytoplasmic reactivity with Ki67?

A

Hyalinizing trabecular adenoma of the thyroid

How well did you know this?
1
Not at all
2
3
4
5
Perfectly
2
Q

What stain is a new nuclear marker that is diffusely expressed in sporadic parathyroid adenomas but lost or only weakly/focally positive in most parathyroid carcinomas (as well as adenomas of the hyperparathyroidism-jaw tumor syndrome)?

A

Parafibromin

How well did you know this?
1
Not at all
2
3
4
5
Perfectly
3
Q

What mutation does the tall cell variant of papillary thyroid carcinoma have?

A

BRAF mutation

How well did you know this?
1
Not at all
2
3
4
5
Perfectly
4
Q

Familial papillary thyroid carcinoma is associated with what syndrome, has what micro appearance and what mutation?

A

Associated with FAP (+/- Gardner’s syndrome), cribiform and squamous metaplastic appearance and +APC mutation

How well did you know this?
1
Not at all
2
3
4
5
Perfectly
5
Q

What is the differential for thyrotoxicosis without hyperthyroidism?

A

Amiodarone, subacute thyroiditis, and infarction of an adenoma

How well did you know this?
1
Not at all
2
3
4
5
Perfectly
6
Q

What is the histologic hallmark in the thyroid of amiodarone induced thyrotoxicosis?

A

Foamy macrophages within thyroid follicles

How well did you know this?
1
Not at all
2
3
4
5
Perfectly
7
Q

What inflammatory pituitary lesion is associated with polyglandular autoimmune syndrome, is more common in females (8.5:1), is associated with pregancy and postpartum period and is also related to IgG4?

A

Lymphocytic hypophysitis

*vingette has pregnant female getting headaches after birth and imaging shows enlarged pituitary, biopsy shows lymphocytic infiltarte and they need steroids and/or decompression

How well did you know this?
1
Not at all
2
3
4
5
Perfectly
8
Q

What is Forbes Albright syndrome?

A

Prolactin secreting pituitary adenoma, infertility and galactorrhea

How well did you know this?
1
Not at all
2
3
4
5
Perfectly
9
Q

What are two characteristic findings can be seen in prolactin pituitary adenomas?

A

Calcifications and amyloid

How well did you know this?
1
Not at all
2
3
4
5
Perfectly
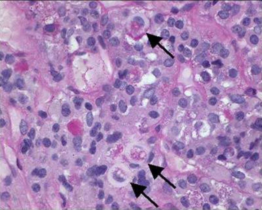
10
Q

This is a pituitary adenoma. What is the change shown and based on this finding, what kind of adenoma is it?

A

Crooke’s hyaline change

This is seen in ACTH producing adenoma.

The NON tumorous ACTH producting cells undergo this change where intermediate cytokeratin filaments deposit in the cytoplasm

Keratin stain will stain these structures

How well did you know this?
1
Not at all
2
3
4
5
Perfectly
11
Q

What tumors are seen in MEN I and what chromosome in involved?

A

“PARA, PIT, PAN”

–Parathyroid disease

–Pituitary adenoma or hyperplasia

–Pancreatic islet cell tumors causing peptic ulcerations (gastrinoma, Zollinger-Ellison syndrome)

Chromosome 11q13 mutation

How well did you know this?
1
Not at all
2
3
4
5
Perfectly
12
Q

What are the most common metastatic tumors to the pituitary and what mneumonic helps to remember?

A

“BLT”

Breast

Lung

Thyroid

and Prostate

How well did you know this?
1
Not at all
2
3
4
5
Perfectly
13
Q

Parathyroid adenomas show overexpression of what marker?

*HINT* this maker is also overexpressed in a certain lymphoma

A

Cyclin D1

How well did you know this?
1
Not at all
2
3
4
5
Perfectly
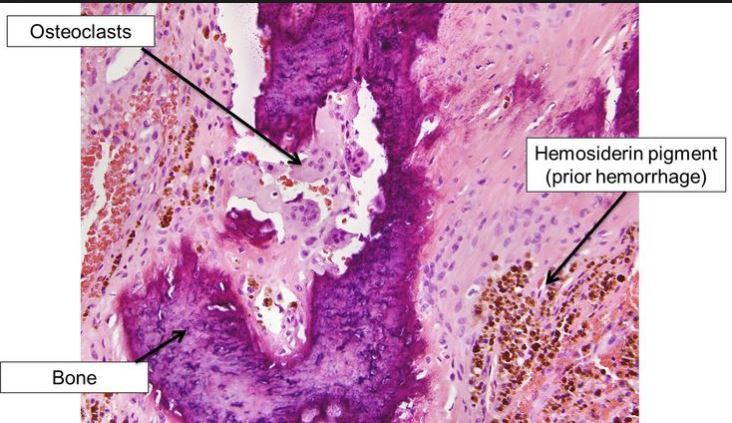
14
Q

What bone lesion is seen in hyperparathyroidism and what does it look like microscopically?

A

Osteitis fibrosa cystica

Not an inflammation! It is characterized by these microfractures in bone that microscopically are composed of fibroblasts and giant cells–this is from attempted repair by osteoblasts of these microfractures

When these lesions become large, they are called “brown tumors”. They aren’t really tumors but very large areas of bone involved by osteitis fibrosa cystica. It gives SOAP BUBBLE appearance on XRAY. Mimics giant cell tumors of bone.

How well did you know this?
1
Not at all
2
3
4
5
Perfectly
15
Q

Easy way to remember characteristic findings in the congential adrenal hyperplasias?

A

If there is a 1 as the first number, there is HYPERTENSION

If there is a 1 as the second number, there is increased androgens

–21 hydroxylase deficency: most common, increased androgens and HYPOtension (decreased aldosterone)

–11 hydroxylase deficiency: increased androgens and HYPERtension

–17 hydroxylase deficiency: HYPERtension and LOW androgens

How well did you know this?
1
Not at all
2
3
4
5
Perfectly
16
Q

What stains will be positive in adrenal cortical tumors?

A

Inhibin

Melan A

Calretinin

Synaptophysin (NOT CHROMO)

NEGATIVE for CK7 and CK20

17
Q

What syndromes can be associated with adrenal cortical tumors?

A

Li Fraumeni

Beckwith Wiedermann syndrome

18
Q

What is the most common tumor site metastatic to adrenal?

19
Q

What confers 1) good prognosis and 2) bad prognosis in neuroblastoma?

A

1) Trk expression, hyperdiploidy and near triploidy
2) n-myc amplification

20
Q

What is the chromaffin reaction?

A

When you add potassium dichromate to a pheochromocytoma and it turns brown-black from oxidation of catecholamines

21
Q

What syndromes are associated with pheochromocytomas?

A

MEN IIa or IIb

NF

Sturge-Weber

VHL

22
Q

What two molecular findings are characteristic of papillary thyroid microcarcinomas that present with node mets (not seen in other microcarcinomas)?

A

Loss of p27

Upregulation of cyclin D1

23
Q

Which pancreatic neuroendoctine tumor presents with cutaneous migratory erythema, weight loss, depression, deep venous thrombosis?

24
Q

Which pancreatic neuroendoctine tumor presents with recent onset diabetes, diarrhea, steatorrhea, weight loss, cholelithiasis? Also has psammomatous calcifications

A

Somatostatinoma

25
Which pancreatic neuroendoctine tumor presents with ulcer disease, watery diarrhea and malabsorption?
Gastrinoma
26
Which pancreatic neuroendoctine tumor presents with hypoglycemia, confusion, weakness, palpitations and amyloid deposits?
Insulinoma
27
What rare variant of papillary thyroid carcinoma is HIGHLY associated with FAP?
Cribiform morular variant of PTC 2% of FAP will develop this and almost always women +APC gene mutation and will be positive for nuclear beta catenin like other FAP tumors
28
Sclerosing mucoepidermoid carcinoma of the thyroid is seen almost exclusively in patients with what?
Chronic lymphocytic thyroiditis
29
Other than insulinoma, what tumors can cause HYPOglycemia?
Fibrosarcoma, solitary fibrous tumor, HCC
30
What mutation is seen in the following papillary thyroid cancers: 1) Radiation associated thyroid cancer and younger patients 2) older patients, increased risk of higher stage disease and progression to anaplastic 3) Follicular variant
1) RET/PTC 2) BRAF V600 3) BRAF K601E and RAS The RET-PTC translocations and BRAF mutations are mutually exclusive, and together probably account for up to 70% of PTCs.
31
What molecular alteration is found in follicular thyroid carcinomas that are overtly invasive with a higher frequency of vascular invasion and those without this are usually minimally invasive?
t(2;3) PAX8-PPARgamma
32
Approximately 25% of apparently sporadic, nonsyndromic pheochromocytomas are associated with germline mutations in 1 of 4 genes. What are these genes?
RET (MEN2) VHL SDH-D and SDH-B (familial paraganglioma syndrome) Neurofibromin (NF1)