What common solid malignancy in children less than 5 years old?
Rhabdomyosarcoma
What head and neck tumor is a pigmented lesion of infancy?
Melanocytic neuroectodermal tumor of infancy
What disease causes inflammatory background, plasma cells, central dotlike michalis gutman body? What organism causes this in the respiratory tract versus the urinary tract?
Malakoplakia
E coli in urinary bladder, Rhodococcus equi in respiratory tract
What entity causes foamy histiocytes (Mikulicz cells), abundant cytoplasm and positive warthin starry stain (basically a foamy histiocyte that is full of organisms in a lymphoplasmacytic background)? What is the organism that causes it and the treatment?
Rhinoscleroma caused by Klebsiella rhinoscleramatis infection
Tx surgery or tetracycline
What disease causes spores with organisms inside and squamous hyperplasia?
Rhinosporidiosis caused by Rhinosoridium seeberi - India/Sri Lanka endemic
Huge sporangia with endospores DDX includes coccidiodomycosis but is SMALLER
What is the cause of myospherulosis?
Nasal Drops
Nasal mass: What is it? What is the age and sex of the patient?
Angiofibroma
Young male, hormonal etiology, androgen receptors, chromosome 17
How does the staining differ in sinonasal hemangiopericytoma than in other sites?
CD34 negative and better prognosis!
Thought to be more smooth muscle in origin like a glomus tumor
What is the risk of malignancy in inverted papillomas?
10%
These recur on lateral nasal wall, there is an association with HPV
What is the chromosome abnormality in embryonal rhabdomyosarcoma?
+2q, +20, LOH 11p15.5
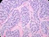
What are the types of nasopharyngeal carcinoma and which has best prognosis?
Keratinizing, non-keratinizing and undifferentiated
Undifferentiated type: best prognosis (most
radiosensitive)
Which head and neck tumor is occupational?
High grade poorly differentiated sinonasal adenocarcinoma, intestinal type
Wood, leather, carpenter industries
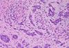
What is this preauricular lesion and what is the main differential?
Angiolymphoid Hyperplasia with Eosinophilia
Kimura’s - differential dx
M=F, 3rd decade, proliferation of small vessels, plump epitheliod endothelial cells, dense lymphohistiocytic infiltrate (germinal centers)
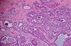
Which ear lesion shown has glands, tubules, and
cysts separated by hyalinized fibrovascular
stroma, two distinct cell layers: an inner eosinophilic
epithelial (apocrine) cell layer and an outer myoepithelial layer and a characteristic yellow/brown granular pigment may be identified in the cytoplasm of the inner lining cells?
Ceruminal Adenoma
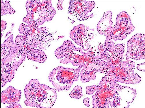
Which ear tumor arise in the temporal bone, is benign, locally destructive, rare, M=F, 2nd – 8th decade, has association with VHL disease, is papillary and cystic with colloid-like material (PAS+), has bland cuboidal to columnar cells, eosinophilic to clear cytoplasm and is postive with keratin but negative for thryoglobulin?
Interestingly, the nuclei are situated AWAY from the base
Papillary Endolymphatic Cell Tumor which is also known as a Heffner tumor
D/D: PTC, RCC, adenoca, mid. ear adenoma
Which condition is associated with lymphoepithelial cyst?
HIV
What structure is shown here and what is the association?
Tyrosinase crystals in pleomorphic adenoma
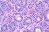
What is the most common malignant salivary gland tumor?
Mucoepidermoid Carcinoma (also most under and over diagnosed)
What stain is positive in acinic cell carcinoma?
PAS-D because of the zymogen granules
What is a common pitfall when diagnosing salivary duct carcinoma in a man?
They can express prostate markers!
This tumor looks like cribiform DCIS in the breast only it is in the salivary gland
Is a chordoma benign or malignant? What does it stain for?
Malignant
Cytokeratin, S100, EMA, mucin, mucicarmine, PAS, vimentin
What is the genetic abnormality seen in mucoepidermoid carcinomas?
t(11;19) (q21;p13) MECT1-MAML2 fusion
What is the genetic abnormality and tumors associated with Gorlin Syndrome (aka Nevoid Basal Cell Carcinoma Syndrome)?
PTCH (Patched) gene found on chromosome arm 9q
1) What is the syndrome when polyostotic fibrous dysplasia is associated with multiple endocrinopathies?
2) What is the mutation involved in both sporadic and inherited polyostotic fibrous dysplasia?
3) What is the characteristic radiologic feature seen in fibrous dysplasia?
1) McCune-Albright Syndrome
2) Mutations of the GNSA1 gene which encodes a G protein involved in c-AMP cell signaling
3) Bone expanded by an ill-defined ground glass (or cotton wool) appearance that merges inperceptibly with normal nearby bone