MUST KNOW HIGH YIELD!!!!! Flashcards

(200 cards)

1
Q

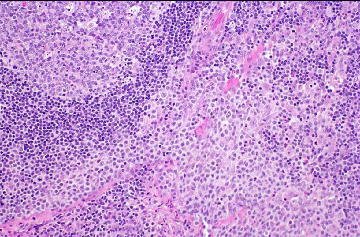
What is the triad seen in Toxoplasma lymphadenitis?

A
  • Follicular hyperplasia
  • Intrafollicular epithelioid histiocytes
  • Monocytoid B-cells in sinuses (see pic)

PCR confirms

How well did you know this?
1
Not at all
2
3
4
5
Perfectly
2
Q

What testicular tumor has the best 10 year survival?

A

Spermatocytic seminoma

How well did you know this?
1
Not at all
2
3
4
5
Perfectly
3
Q

Which type of assay involves probe amplification?

I know super vague but just look at answer and know this

A

Invader assay

How well did you know this?
1
Not at all
2
3
4
5
Perfectly
4
Q

Name this salivary gland lesion.

A

Canalicular adenoma

How well did you know this?
1
Not at all
2
3
4
5
Perfectly
5
Q

Appendix or colon with this organism

A

Schistosomiasis

How well did you know this?
1
Not at all
2
3
4
5
Perfectly
6
Q

How do you monitor therapy following anticoagulation with lepirudin?

A

Lepirudin is a direct thrombin inhibitor that is used to treat pts with HIT

Due to its inhibitory effect on thrombin, lepirudin results in prolongation of both aPTT and prothrombin time (PT). The aPTT is generally the current method of choice for monitoring treatment with lepirudin in most situations.

How well did you know this?
1
Not at all
2
3
4
5
Perfectly
7
Q

What is shown in this esophageal brushing cytology specimen?

A

Reactive changes/repair

Esophageal squamous mucosa with reactive changes, consisting of uniform cells with nucleomegaly in a predominantly cohesive flat sheet

How well did you know this?
1
Not at all
2
3
4
5
Perfectly
8
Q

Gross photo of echinococcal cyst vs HCC

Which is this?

A

Echinococcal cyst

This is HCC

How well did you know this?
1
Not at all
2
3
4
5
Perfectly
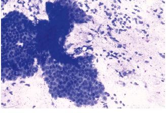
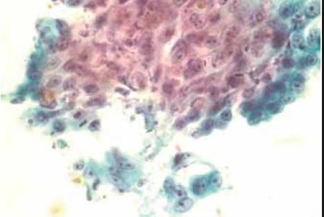
9
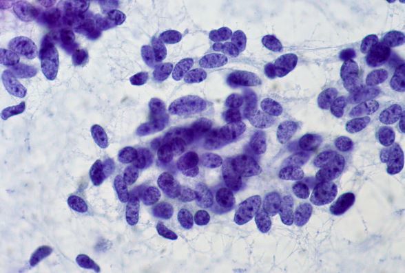
Q

FNA Salivary gland tumor

A

Well differentiated mucoepidermoid carcinoma

How well did you know this?
1
Not at all
2
3
4
5
Perfectly
10
Q

FNA of lung lesion

A

Carcinoid

How well did you know this?
1
Not at all
2
3
4
5
Perfectly
11
Q

What Taenia spp is this?

A

T solium (armed rostellum)

How well did you know this?
1
Not at all
2
3
4
5
Perfectly
12
Q

What is this?

A

Kaposi sarcoma

How well did you know this?
1
Not at all
2
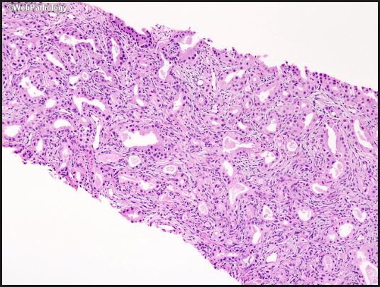
3
4
5
Perfectly
13
Q

What is this?

A

Bullous pemphigoid

How well did you know this?
1
Not at all
2
3
4
5
Perfectly
14
Q

What is the cell membrane issue with stomatocytes?

A

defect in sodium/potassium permeability of the RBC membrane (confers protection against P vivax)

How well did you know this?
1
Not at all
2
3
4
5
Perfectly
15
Q

Tell the difference between T. solium and T. saginata.

A

T solium does more damage (neurocysticercosis) and it has the hooks

How well did you know this?
1
Not at all
2
3
4
5
Perfectly
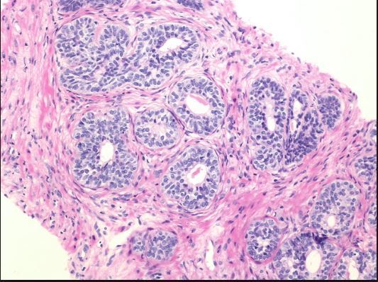
16
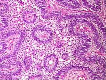
Q

Prostate:

adenosis or basal cell hyperplasia?

A

Adenosis

Here is BCH

How well did you know this?
1
Not at all
2
3
4
5
Perfectly
17
Q

What is this this lesion associated with?

A

Oral hairy leukoplakia

Almost exclusively occurs in AIDs patients and is associated with EBV. It presents as white plaques at the lateral border of the tongue.

How well did you know this?
1
Not at all
2
3
4
5
Perfectly
18
Q

What diagnosis should be considered in a pt with stomatocytes and hemolytic anemia?

A

Rh Null

LACK Lw antigen!!​

*they could phrase it like this on exam (instead of saying Rh null, say lack Lw antigen–this is actually a Rh LIKE antigen but Rh null pts lack this)

How well did you know this?
1
Not at all
2
3
4
5
Perfectly
19
Q

What is this?

*one of the branching chain conidia fungi–don’t know how likely to see on test but just in case…..

A

Scopulariopsis

How well did you know this?
1
Not at all
2
3
4
5
Perfectly
20
Q

Where are benign papillary mesotheliomas commonly found?

A

Peritoneum, pericardium, and tunica vaginalis

How well did you know this?
1
Not at all
2
3
4
5
Perfectly
21
Q

Gross photo of this colon lesion.

A

Villous adenoma

How well did you know this?
1
Not at all
2
3
4
5
Perfectly
22
Q

What placental lesion is shown here?

What is seen in the fetus with this?

A

Amnion nodosum

Staghorn plaques on membranes, a condition characterized by yellow nodules of compressed squames and hair on the surface and membranes, is associated with severe, long-standing oligohydramnios

renal abnormalities seen in fetus

How well did you know this?
1
Not at all
2
3
4
5
Perfectly
23
Q

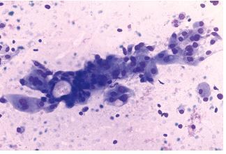
What is this lesion in the brain?

A

Progressive multifocal leukoencephalopathy

How well did you know this?
1
Not at all
2
3
4
5
Perfectly
24
Q

What is this lesion of the lower jaw?

A

Ameloblastoma

How well did you know this?
1
Not at all
2
3
4
5
Perfectly
25
What is being shown in this cell from the lung?
Type II pneumocyte showing SURFACTANT (lamellated bodies)
26
Septal panniculitis is associated with?
Erythema nodosum
27
What is this lung lesion?
Sclerosing hemangioma of the lung ## Footnote This lesion in the lung is seen more commonly in women with an average age in the 40s and shows papillary like projections lined by epithelioid cells with a central proliferation of polygonal mesenchymal appearing cells. Both populations are TTF1 positive indicating type II pneumocyte origin for this tumor.
28
What are the 3 stop codons?
UAG UAA UGA
29
What is this organism in the brain?
Naegleria fowleri \*I realize this concept is getting beat to death but be able to recognoize!
30
Lesion in 32 yo woman with cervical and groin LAD with prominent follicular hyperplasia. What is this?
SLE Lymphadenitis ## Footnote Architectural preservation, but follicular hyperplasia with variable sized follicles, increased vascularity, interfollicular immunoblasts and plasma cells. Often well circumscribed areas of paracortical necrosis with necrosis of small vessels. Occasionally DNA deposition/hematoxylin bodies (hematoxyphilic material) in stroma, sinuses and blood vessel walls. May have giant follicles, often disarray of follicular dendritic cell network, no/rare granulomas, no/rare neutrophils.
31
giant cell lesion in patient post renal transplant, present in two jaw sites and in rib
Brown Tumor
32
What is this?
Pemphigus vulgaris ## Footnote don't forget about Hailey-Hailey (benign familial pemphigus) but that will have a dilapidated brick wall appearance (seen here)
33
What is this pancreas lesion?
Serous cystadenoma
34
What disease causes spores with organisms inside and squamous hyperplasia?
Rhinosporidiosis caused by Rhinosoridium seeberi - India/Sri Lanka endemic Huge sporangia with endospores DDX includes coccidiodomycosis but is SMALLER
35
What percentage of LSIL will progress to HSIL?
10% Two thirds of patients with LSIL will regress
36
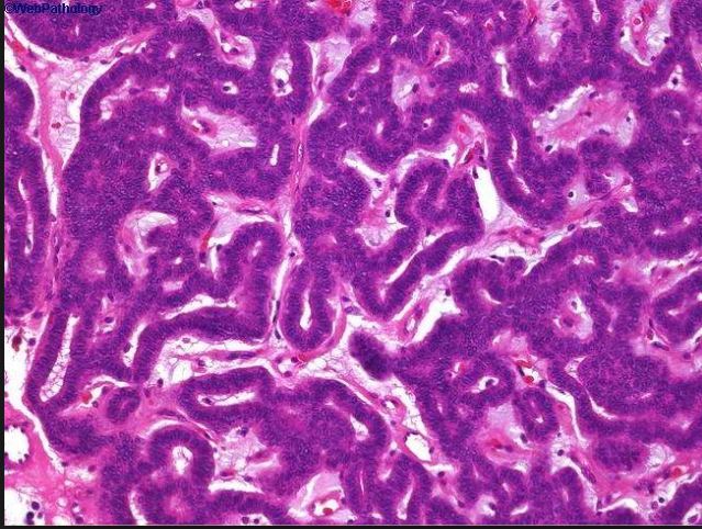
What is this pancreatic lesion?
IPMN
37
What is this?
Follicular lymphoma
38
What is this lesion in the brain?
Amoebic encephalitis
39
What is this lung lesion?
Lipoid pneumonia
40
Cytology of urine showing this
Ileal conduit **degenerated columnar cells**
41
What is this? showing pleural lesion with granulation tissue, fibrosis and inflammation
Organizing fibrinous pleuritis (benign pleural lesion)
42
Common lesion posterior mediastiunum in kid
Ganglioneuroma
43
What is this?
Cellular Schwannoma
44
Name this specialized type of BCC found in groin, breast and ears.
Fibroepithelioma of pinkus It is a **eccrine duct BCC**
45
What is this thyroid lesion in a 10 year old kid?
Medullary thyroid carcinoma
46
What is the factor VIII activity in female carriers?
50%
47
This is a lymph node from woman with history of endometriosis. What is diagnosis?
Endosalpingiosis
48
What is this pancreas lesion?
Nesidioblastosis
49
What causes sclerosing mediastinitis?
Histoplasma!
50
What is this?
Spitz nevus
51
What is this?
Coccidioides
52
Which is least likely to get HCC – HepB, HepC, Etoh, Hemachromatosis or Wilson’s?
**Wilson's** In order of decreasing likelihood: Hep C, hemachrom, Hep B, Etoh, Wilsons.
53
What is this retreperitoneal mass?
Well Differentiated Liposarcoma
54
Alpha hemolytic colony on blood agar that is bile soluble?
S. pneumo! Bile solubility distinguishes from other alpha hemolytic colonies
55
What is this pancreas tumor?
Acinar cell carcinoma
56
What is this?
Adenomyosis
57
Most common location of Zollinger Ellison syndrome?
Duodenum
58
Showed this lesion in the bladder --who gets it?
Inflammatory pseudotumor KIDS
59
Apoptosis causes all of the following except 1. Councilman bodies 2. GVHD crypt changes 3. Tingible body macrophages 4. Mallory bodies
d. Mallory bodies ## Footnote A councilman body, also known as Councilman hyaline body or **apoptotic body**, is an acidophilic (eosinophilic / pink-staining on H&E) globule of cells that represents a dying hepatocyte often surrounded by normal parenchyma.
60
What is the most common malignant paratesticular tumor in children?
Spindle cell variant of embryonal rhabdomyosarcoma
61
What is this lesion?
Conventional osteosarcoma
62
What is this soft tissue lesion?
Myxoid liposarcoma
63
Name this breast lesion.
Nipple adenoma
64
Gross and micro photo of this liver lesion.
FNH
65
What lesion is seen on this pap smear?
Follicular cervicitis
66
What is this lesion?
Morton's neuroma
67
What is this ovary lesion?
Lipid (steroid) cell tumor
68
What cardiac tumor is being shown?
Rhabdomyoma MOST COMMONLY IN LEFT VENTRICLE Most common primary cardiac tumor of infancy and childhood May be sporadic, but \>50% associated with TS Eosinophilic, polygonal cells with large glycogen-rich cytoplasmic vacuoles with stranding “spider cells”
69
What is this lesion seen in the lung?
**Lipoid pneumonia** ## Footnote Exogenous lipoid pneumonia. The microscopic appearance of exogenous lipoid pneumonia is dependent on the composition of the aspirated material. (A) Exogenous lipoid pneumonia with histiocytes containing predominantly fine microvesicles. (B) Exogenous lipoid pneumonia with larger vacuoles and associated fibrosis
70
Can you tell the difference between Enterobius vermicularis egg and Hymenolepsis egg? Which is this?
Hymenolepsis This is Enterobius
71
What is the lesion and what is it associated with?
Plexiform neurofibroma NF1
72
This finding is from a pregnant woman. What is it?
Amniotic fluid embolism
73
What kind of placenta is this?
Circumvallate placenta This is a circumvallate placenta in which the membranes double back for a short distance over the fetal surface when the chorionic plate is too small.
74
Immunophenotype of what other lymphoid process does lymphomatoid papulosis most resemble?
Anaplastic Large Cell Lymphoma (CD30+) ## Footnote Lymphomatoid papulosis aka pseudolymphoma is a primary cutaneous CD30+ T cell lymphoproliferative disorder with wedge shaped dermal infiltrate of atypical lymphocytes and a background of polymorphic inflammatory cells
75
What is this diagnosis of a lymph node?
Langerhans histiocytosis
76
What is this liver lesion?
Autoimmune hepatitis
77
FNA from head and neck area, what is this?
Normal parotid
78
Name this lesion.
Proliferating trichilemmal cyst
79
What is this?
Myxoid Chondrosarcoma
80
Mediastinal mass-- a thymoma or nodular sclerosing Hodgkin's. Which is this?
Thymoma! NS Hodgkin's will have Reed Sternberg cells and the classic lacunar cells (spaces around histiocytes seen here)
81
What is this seen in an ascites fluid of a woman?
Papillary serous carcinoma
82
What is this lymph node lesion?
Kikuchi necrosis and debris, no neutrophils
83
FNA breast: Apocrine metaplasia or granular cell tumor?
Granular cell tumor here is apocrine metaplasia
84
Most common cause of subarachnoid hemorrhage?
Trauma is number one but then **saccular** aneurysms
85
40yo woman with bile duct brushing Be abel to distinguish benign or malignant Here is pic of normal, reactive, atypical, and malignant for reference
86
What is this testicular lesion?
Spermatocytic seminoma
87
What is this lesion in the lung?
**Silicosis** ## Footnote A silicotic nodule within lung parenchyma is seen here. It is composed mainly of bundles of interlacing pink collagen. There is a minimal inflammatory reaction. The greater the degree of exposure to silica and increasing length of exposure determine the amount of silicotic nodule formation and the degree of restrictive lung disease. Silicosis increases the risk for lung carcinoma only about 2-fold.
88
Orbital mass of monotous small lymphs, a B cell lymphoma. DNA amplification performed for Ig heavy chain, and DNA ladder pattern shows no dominant bands – what does this mean? 1. The rearrangement was present but failed to amplify 2. Amplification failed to take place entirely 3. The test was not specific because of polyclonal B cells in the lesion 4. The soft tissue around the lesion was accidentally sampled 5. The lesion is benign
**_The rearrangement was present but failed to amplify_** ## Footnote Somatic mutations of the immunoglobulin heavy chain gene of some mature B disorders, especially follicular lymphomas and plasma cell malignancies, _alter the sequence of the region amplified by the primers so that primer hybridization is suboptimal or does not occur, resulting in false negative PCR results_
89
Pap smear What is this?
Cocklebur with hematoidin crystals ## Footnote Cockleburs are associated with IUD, oral contraceptive use, and second half of pregnancy. They are related to cellular regeneration and composed of nonimmune glycoprotein, lipid, and calcium. Cytologically they are identified as golden refractile orange crystalline rays surrounded by histiocytes. They have no clinical significance.
90
What are these alveolar macrophages with dark black pigment?
Dust cells
91
What liver tumor has this appearance?
Fibrolamellar variant of HCC ## Footnote • Tumor cells larger than normal hepatocytes, polyhedral, or rounded • Deeply eosinophilic, coarsely granular cytoplasm • Cytoplasmic inclusions – Ovoid “pale bodies” (ground glass but HBV-PAS-/fibrinogen+) – Mallory hyalines (rare) * Large, hyperchromatic, and vesicular nuclei * Prominent nucleoli * Mitoses and multinucleation infrequent
92
What is the ovary tumor?
Krukenberg tumor (metastatic adenoCA)
93
FNA of neck mass
Chemodectoma (cartoid body paraganglioma) Red granules are helpful
94
Micro of this cervical lesion
Mesonephric/Wollifan duct remnants ## Footnote Dilated tubules of cuboidal cells with eosinophilic secretions, surrounded by endocervical stroma Can show this architecture as well
95
What are the features of Yersinia enterocolitis?
● Elongated ulcerations overlying lymphoid hyperplasia ● Also small aphthoid ulcers overlying colonies of gram negative rods and with neutrophils at ulcer base ● Also necrotizing granulomas (particularly with Y. pseudotuberculosis) ● Mesenteric nodes show follicular hyperplasia with variable scattered microabscesses and epithelioid granulomas
96
What is this bladder tumor?
Paraganglioma
97
What organism causes pseudoepitheliomatosis hyperplasia?
Blastomycosis
98
This finding in the bone marrow is due to what?
Parvovirus B19
99
What is this?
Molluscum
100
What is this testicular lesion?
Sclerosing sertoli cell tumor
101
FNA of head and neck mass
Nasopharyngeal carcinoma
102
Skin with subcutis that shows this
Endometriosis
103
Plasmapheresis decreases drugs with what properties?
Low volume of distribution and highly protein bound
104
Tell the difference between Acanthamoeba and Naegleria infxn in brain. Which is this?
Acanthamoeba Here is Naegleria (smaller)
105
What is this soft tissue lesion?
Nodular fasciitis
106
What is this ovarian and/or endometrial lesion?
Clear cell carcinoma
107
Gross photo of valve vegetations. Tell between bacterial and Liebman Sacks (SLE)
Four major forms of vegetative endocarditis: 1. RHD – see small warty row of vegetations along line of closure 2. Infectious – see large irregular masses on valve cusps that extend onto chordae 3. Non-bac thrombotic endocarditis: small bland scattered vegs attached at line of closure 4. Libman sacks – small- med sized vegs **on either or both sides of valve leaflets!**
108
Name this lesion.
Cellular Blue Nevus Here is a regular blue nevus
109
Lesion in kidney
Malakoplakia \*have to look really hard to find MG bodies
110
If shown prominent spiral arterioles in endometrium, what day of this cycle is this from?
Day 23 ## Footnote Day 23: prominent spiral arterioles (thickened walls, coiling and endothelial proliferation)
111
Gross photo of adrenal lesion.
Myelolipoma here is an adrenal cortical adenoma
112
Gross photo of pancreas tumor.
Islet cell tumor
113
FNA of breast lesion in man with a testicular tumor history
Gynecomastia
114
What is this lesion in the vulva?
Hidradenoma papilliferum
115
What is this entity in spleen and what is IHC stain?
**Littoral Cell Angioma** ## Footnote Plump endothelial cells with irregular vascular channels IHC: _Positive_: features of both endothelial (Factor VIII, CD31) and histiocytic (CD68, Mac387, Ham56, lysozyme) differentiation and positive CD21, vimentin _Negative_: CD8, CD34 (usually)
116
What cell type is involved in placental trophoblastic tumor?
Intermediate trophoblast
117
What is this thyroid lesion?
DeQuervain's thyroiditis (subacute) showing granulomatous inflammation
118
What causes mid zonal necrosis?
Yellow fever
119
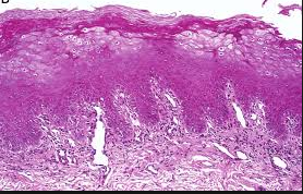
What does a skin burn look like on histology?
120
FNA mediastinal mass What is staining pattern?
Seminoma/dysgerminoma PLAP, CD117, OCT3/4, SALL4
121
What is the diagnosis of the bi-valved kidney (micro pic on answer side)?
Xanthogranulomatous pyelonephritis
122
What is the most common mutation in CLL?
Del 13q14 good prognosis
123
Gross Photo: What is this?
Huntington's Disease
124
What is the sequelae of neonatal respiratory distress syndrome?
Bronchopulmonary dysplasia
125
What is this seen in a sputum?
Strongyloides
126
What is this gross photo of from retroperitoneum?
Ganglioneuroma
127
ABSOLUTELY MUST KNOW! What percentage but a lab get on proficiency testing to pass based on CLIA '88?
80% to pass!!
128
What germ cell tumor can cause thyrotoxicosis and why?
Choriocarcinoma Thought to be from cross-reactivity of TSH and hCG
129
Granuloma annulare is distinguished from the other palisaded granulomas by:
Mucin in the granuloma
130
What type of blood should you give in emergent situations: 1) Less then 10 min 2) 10-30 min 3) more than 30 min
**_Blood needed NOW (less than 10 min)_** GIVE: uncrossmatched Group O neg (may give O pos if male or older female) **_Blood needed in 10-30 min_** GIVE: Uncrossmatched ABO group and Rh type **_Blood needed in over 30 min_** GIVE: Crossmatched ABO group and RH type
131
The most common cause of hypercalcemia?
Parathyroid adenoma
132
What is seen in this liver FNA?
Echinococus Radially arranged hooklets
133
What is this bladder lesion?
Inverted papilloma
134
What genetic disease is due to DELETION of 5p?
Cri du chat
135
What immunostain differentiates follicular dendritic cells vs interdigitating cells by IHC?
CD21 (+ FDCs)
136
In methemoglobinemia, what state is iron in?
Fe3+
137
According to Osler lecture, the boards like to show a gross photo of this spleen. What is this?
CLL/SLL CLL/SLL and large granular cell lymphomas grow in miliary pattern in spleen (white pulp)
138
What is this lesion in the endometrium called?
**Papillary syncytial metaplasia** ## Footnote An inaccurate term as it is not a metaplasia but rather a regenerative or degenerative process secondary to tissue breakdown. Mitotic figures may be present within the papillary proliferations. It is also seen following surface breakdown associated with nonmenstrual conditions. On occasions, the micropapillary architecture is particularly striking, and, if associated with mitotic activity, this raises the possibility of a serous carcinoma Differentiated by – background endometrium shows features of breakdown – p53 staining which is negative here
139
What is seen in this pap smear?
Alternaria
140
Young woman with endometrial biopsy followed by hysterectomy
Choriocarcinoma
141
osteoblastic prostate cancer metz are associated with what type of anemia?
Erythroleukoblastic
142
FNA of liver lesion in patient with cirrhosis with multiple nodules
Reactive hepatocytes with prominent nucleoli
143
Xray and micro photo of this bone lesion.
Parosteal osteosarcoma
144
FNA of bladder lesion
Malakoplakia shows MB body
145
FNA of lymph node
REACTIVE LYMPHADENOPATHY note polymorphous population
146
What is this lesion and what syndrome is it associated with?
Angiokeratoma Fabry's
147
What is the difference between Kikuchi's (shown here) and Kimura's lymphadenitis?
_Kimura's_: Shown here Young Asian males * Germinal center hyperplasia with polykaryocytes, fibrosis and proteinaceous material in germinal centers * Folliculolysis, interfollicular **eosinophils and eosinophilic abscesses** * Increased paracortical plasma cells * Variable hyalinized vessels * Soft tissue lesions show proliferation of thin-walled vessels with eosinophilia ​_Kikuchi's_: Young asian females * Paracortical, well-circumscribed necrotic lesions, often with a starry-sky appearance * Karryorhexis, fibrin deposits, plasmacytoid monocytes (2-3x size of small lymphocytes, variable cytoplasm, round nuclei with open chromatin, small nucleoli, CD4+) that may resemble lymphoma, phagocytic and foamy histiocytes, T cells (CD8+, cytotoxic phenotype) * No/rare plasma cells, no neutrophils, no follicular hyperplasia, no atypia
148
Breast lesion ## Footnote \*hard to tell from this pic but be prepared to diagnose on test
DCIS with cancerization of lobules \*will look like LCIS at first glance but on higher power ther cells are too ugly
149
What is this?
Histoplasma
150
Name this breast lesion.
Gynecomastia
151
What is an Auer rod?
Fusion of **lysosomal** granules
152
Entity in a pap smear.
Herpes
153
Single most imporant prognostic factor in papillary thyroid carcinoma?
AGE!!!!!
154
What is this lesion showing giant cell in the aorta?
Takayasu's arteritis ## Footnote this looks histologically exactly the same as giant cell arteritis and the distinction is primarily based on the age of the patient (in Takayasu \<40yo)
155
The worst type of penile squamous cancer is?
Basaloid
156
**BETTER KNOW!** Can you tell difference between alpha 1 antitrypsin and alcoholic steatohepatits? Which is this?
A1AT This is mallory's hyaline in alcoholic steatohepatitis
157
What is this?
Renal pelvis urothelial CA
158
Breast lesion
Collagenous spherulosis
159
What lesion is this in the breast?
Micropapillary carcinoma of the breast
160
What is this structure seen in a pelvic washing?
Collagen ball
161
What is not a direct cost?
Utilities
162
What is this?
Pleomorphic adenoma
163
Diagnosis of prostate core.
Prostate AdenoCA
164
Cytology of gastric brushing
Normal mucinous cells
165
Which mycobacterium is a scotochromogen at 37 degrees?
M. szulgai (37 degrees) It's a photochromogen at 22-24 degrees
166
What lesion is this in the lung?
Plexiform lesion associated with pulmonary hypertension
167
What is it called if a bacteria has this flagellar arrangement?
Peritrichous E coli, Salmonella, etc
168
What is this soft tissue lesion?
Round Cell Liposarcoma
169
Is Factor Va a serine protease or enzyme cofactor?
**Enzyme cofactor**
170
What is this prostate lesion?
HG Cribiform PIN
171
What is this mandible lesion and what syndrome is it associated with?
Odontogenic keratocyst Gorlin's syndrome
172
What is this NOT associated with?
Papillary renal necrosis A mnemonic for the causes of renal papillary necrosis is POSTCARDS: pyelonephritis, obstruction of the urogenital tract, sickle cell disease, tuberculosis, cirrhosis of the liver, analgesia/alcohol abuse, renal vein thrombosis, diabetes mellitus, and systemic vasculitis **NSAIDS (not associated with it)**
173
What is this mediastinal lesion?
Thymoma
174
What is this lesion in the prostate?
**Clear cell cribiform** **hyperplasia of prostate** central zone, look for basal cell layer - basal cell layer can be seen by the use of the 34 beta E12 anti-HMWK antibody (K-903) that reacts with the basal cells but not with the acinar cells of the prostate. (CA is negative for K903)
175
Name this lesion.
Proliferating trichilemmal cyst
176
What helps build tolerance to barbiturates?
Smooth ER
177
BQ! Etiology of vaginal adenosis?
Exposure to DES _Vaginal adenosis_: Upper 1/3 and anterior wall of vagina, 20% have gross congenital malformation of cervix (T shaped uterine cavity) Benign glandular epithelium with metaplasia
178
What is culprit in poisoning in individual who has horizontal white creases in nail bed?
Arsenic
179
Calculate odds ratio.
OR = (AD)/(BC) See pic
180
What type of cord insertion is this?
Velamentous cord insertion of placenta
181
What is this?
Nodular Melanoma
182
What is this liver lesion?
Hepatic Adenoma
183
What does a positive nitrocefin test indicate?
The nitrocefin biochemical test is a sensitive technique for detecting beta-lactamase producing strains of N. gonorrhoeae, H. influenzae, Staphylococcus spp, Enterococcus spp and Moraxella (Branhamella) catarrhalis. Nitrocefin is the only reliable test for detecting beta-lactamase producing Enterococcus spp.
184
What thyroid lesion is this?
**Hyalinizing trabecular tumor** \*remember has peculiar cytoplasmic Ki67 staining
185
Determine how many tests must be performed in a year to justify the cost of a new instrument if the price of the instrument is $70,000 and it should last 5 years. It can do 60 tests per hour. A tech can do 4 tests per hour and is paid $6 per hour.
**10,000 tests per year** ## Footnote **_Equipment Evaluation_** (Straight from Osler Notes) You have purchased a $70K machine which has a 5 year lifetime. The machine can perform 60 tests/hr. A tech can run the machine at a salary of $6/hr. Currently, with the manual method, a tech can do 4 tests/hr. How many tests need to be done each year to justify the cost of the machine? $70K/5 = $14K $6/4 = $1.50 per test (manual method) $6/60 = $0.10 per test (new method) Let x = the number of tests. 0.10x + $14,000 = 1.50x **x = 10,000/yr**
186
Given the frequency of homozygous recessive, homozygous dominant and heterozygous genes, be able to calculate allele frequency. Hardy-Weinburg Equation
Remember the basic formulas: **p2 + 2pq + q2 = 1 and p + q = 1** p = frequency of the dominant allele in the population q = frequency of the recessive allele in the population p2 = percentage of homozygous dominant individuals q2 = percentage of homozygous recessive individuals 2pq = percentage of heterozygous individuals EXAMPLE: You have sampled a population in which you know that the percentage of the homozygous recessive genotype (aa) is 36%. Using that 36%, calculate the following: * The frequency of the "aa" genotype. Answer: 36%, as given in the problem itself. * The frequency of the "a" allele. Answer: The frequency of aa is 36%, which means that q2 = 0.36, by definition. If q2 = 0.36, then q = 0.6, again by definition. Since q equals the frequency of the a allele, then the frequency is 60%. * The frequency of the "A" allele. Answer: Since q = 0.6, and p + q = 1, then p = 0.4; the frequency of A is by definition equal to p, so the answer is 40%. * The frequencies of the genotypes "AA" and "Aa." Answer: The frequency of AA is equal to p2, and the frequency of Aa is equal to 2pq. So, using the information above, the frequency of AA is 16% (i.e. p2 is 0.4 x 0.4 = 0.16) and Aa is 48% (2pq = 2 x 0.4 x 0.6 = 0.48). * The frequencies of the two possible phenotypes if "A" is completely dominant over "a." Answers: Because "A" is totally dominate over "a", the dominant phenotype will show if either the homozygous "AA" or heterozygous "Aa" genotypes occur. The recessive phenotype is controlled by the homozygous aa genotype. Therefore, the frequency of the dominant phenotype equals the sum of the frequencies of AA and Aa, and the recessive phenotype is simply the frequency of aa. Therefore, the dominant frequency is 64% and, in the first part of this question above, you have already shown that the recessive frequency is 36%.
187
What is the earliest feature of degenerative joint disease?
fibrillary degeneration of collagen
188
fibrin thrombi are important to the diagnosis of 1. angiolipoma 2. epithelioid hemangioendothelioma 3. spindle cell hemangioendothelioma 4. angiosarcoma
Angiolipoma ## Footnote Hyaline/fibrin thrombi are an important diagnostic sign
189
What is this lesion in the bladder?
Nephrogenic adenoma can look a little different so here is another example RACEMASE POSITIVE!!!
190
KNOW!!! What is the function of thromboxane and prostacyclin in platelets?
_Thromboxane​_: causes platelet activation and local vasoconstiction _Prostacyclin_: It inhibits platelet activation and is also an effective vasodilator.
191
What is this lesion?
Craniopharyngioma
192
They can ask you to identify stain in a normal lymph node based on pattern. What stain is this in a normal lymph node?
Bcl6 Stains germinal center
193
FNA of lateral neck mass
Branchial cleft cyst
194
1. FNA of fibrocystic changes has all of the following except: 1. Apocrine metaplasia 2. Foamy macrophages 3. Angular glands 4. Naked bipolar nuclei
**c. Angular glands** _Features include:_ * Low cellularity * Flat, honeycomb epithelial sheets, with no loss of polarity and distinct cell borders * Uniform small nuclei, low N/C ratio * Bipolar naked nuclei * Foamy cells and apocrine cells * Fat and fibrous stromal tissue fragments
195
What is this?
Fracture callus ## Footnote shows two thin trabeculae of bone with lots and lots of osteoblasts rimmed around them, plus hemorrhage nearby and reactive looking fibroblastic proliferation around them
196
Circumcision specimen with this lesion
Lichen sclerosis et atophicus
197
What is this breast lesion?
Micropapillary DCIS
198
What is this in a brain?
Toxoplasma
199
Gram (-) cocci that does not ferment glucose or maltose?
Moraxella catarrhalis
200
What is this?
Secretory endometrium ## Footnote tell between secretory EM carcinoma and complex hyperplasia.