Diverticulite Flashcards

(51 cards)

1
Q

O que é a diverticulite?

A

Inflamação dos divertículos, ou seja, não é doença diverticular (diverticulose).

How well did you know this?
1
Not at all
2
3
4
5
Perfectly
2
Q

Em quem a diverticulite é mais comum?

A

Ocidentais, idosos, tabagistas, uso de AINES, sedentários e obesos.

How well did you know this?
1
Not at all
2
3
4
5
Perfectly
3
Q

A diverticulite é mais comum no lado direito ou esquerdo?

A

Esquerdo, porém pode ocorrer no lado direito.

How well did you know this?
1
Not at all
2
3
4
5
Perfectly
4
Q

Quais os segmentos mais acometidos na diverticulite?

A
  1. Sigmoide
  2. Descendente
How well did you know this?
1
Not at all
2
3
4
5
Perfectly
5
Q

Qual a fisiopatologia da diverticulite?

A

Paciente com diverticulose tem os divertículos obstruídos, geralmente por um fecalito, gerando obstrução e inflamação (diverticulite), que pode edemaciar e inflamar (dor) e acumular bactérias (abscesso) e possui vasos, podendo isquemiar a ponto de ulcerar.

How well did you know this?
1
Not at all
2
3
4
5
Perfectly
6
Q

Qual o quadro clínico da diverticulite?

A

Dor em hipogástrio ou QIE
Febre e calafrios (inflamação/complicação)
Peritonite (complicação)
Taquicardia e sudorese (dor forte)/náuseas e vômitos
Pode haver alteração do hábito intestinal pela proximidade (constipação) e urinárias

O quadro clínico pode variar em gravidade dependendo do estágio da diverticulite

How well did you know this?
1
Not at all
2
3
4
5
Perfectly
7
Q

O primeiro quadro de diverticulite costuma ser mais grave com mais?

A

Mais perfurações

O primeiro episódio pode apresentar complicações mais severas devido à inflamação aguda

How well did you know this?
1
Not at all
2
3
4
5
Perfectly
8
Q

Episódios de recidiva de diverticulite costumam ser mais graves ou mais leves?

A

Mais leves, mas com mais chance de sangramento (manifestação de diverticulose)

As recidivas podem indicar um estado mais crônico da doença, mas com riscos adicionais

How well did you know this?
1
Not at all
2
3
4
5
Perfectly
9
Q

Como realizar o diagnóstico de diverticulite?

A

Tomografia de abdome e pelve com contraste (padrão-ouro)
USG de abdome total

A tomografia é considerada o método mais eficaz para o diagnóstico preciso

How well did you know this?
1
Not at all
2
3
4
5
Perfectly
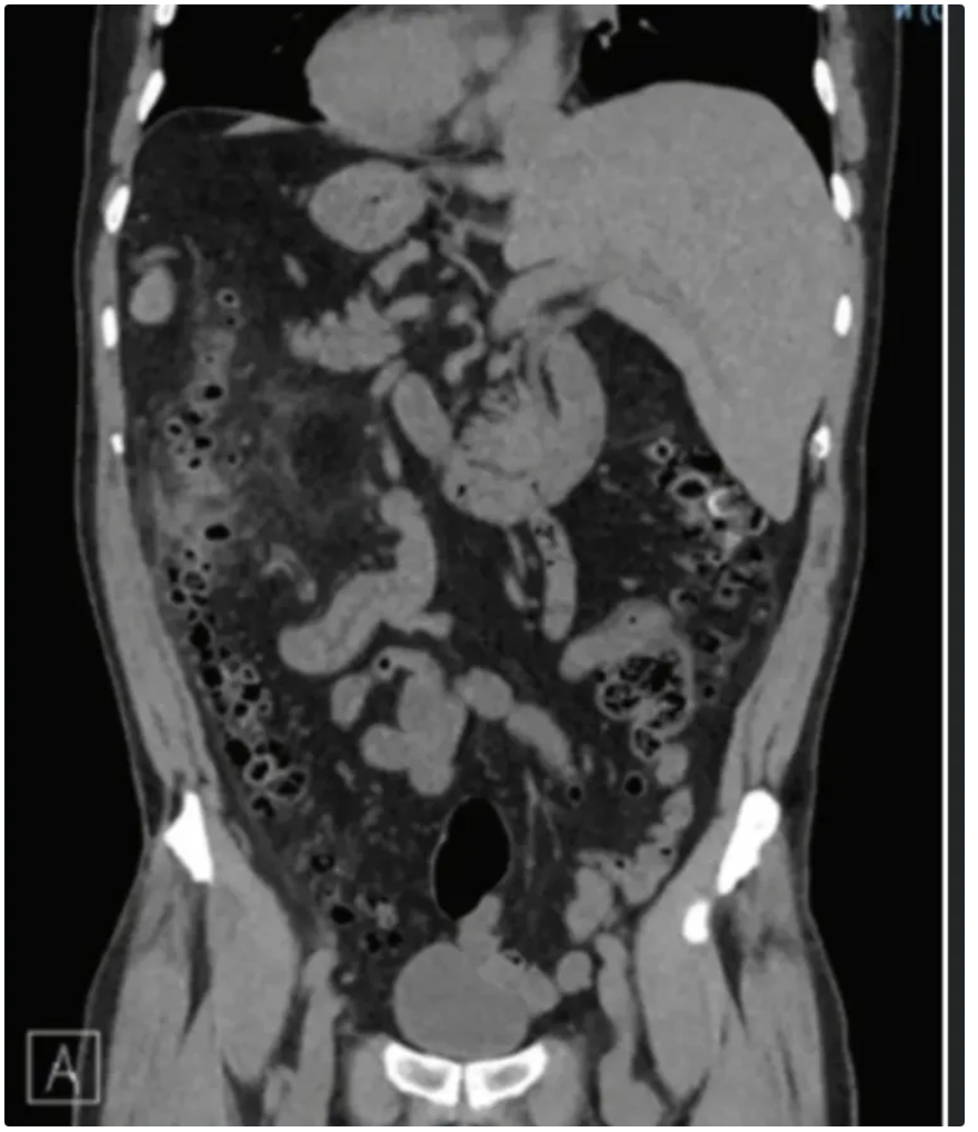
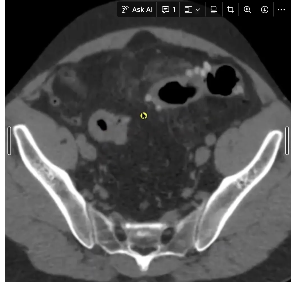
10
Q

Achado?

A

DIVERTÍCULO COM AR DENTRO DELE EM CÓLON DE PAREDE ESPESSADA E BORRAMENTO DE GORDURA

How well did you know this?
1
Not at all
2
3
4
5
Perfectly
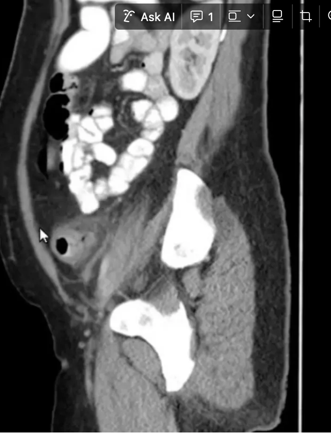
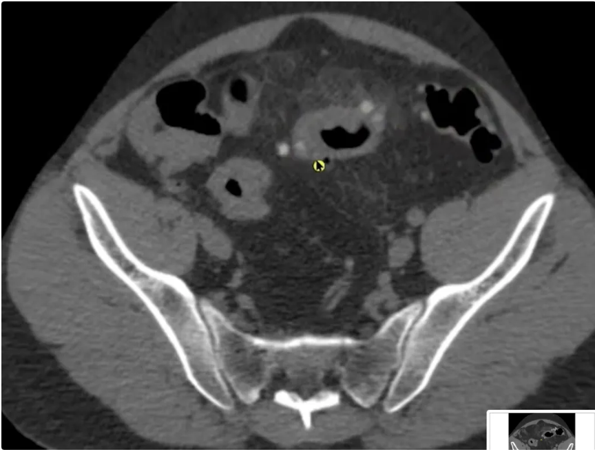
11
Q

Achado?

A

DIVERTÍCULO COM AR DENTRO DELE EM CÓLON DE PAREDE ESPESSADA E BORRAMENTO DE GORDURA

How well did you know this?
1
Not at all
2
3
4
5
Perfectly
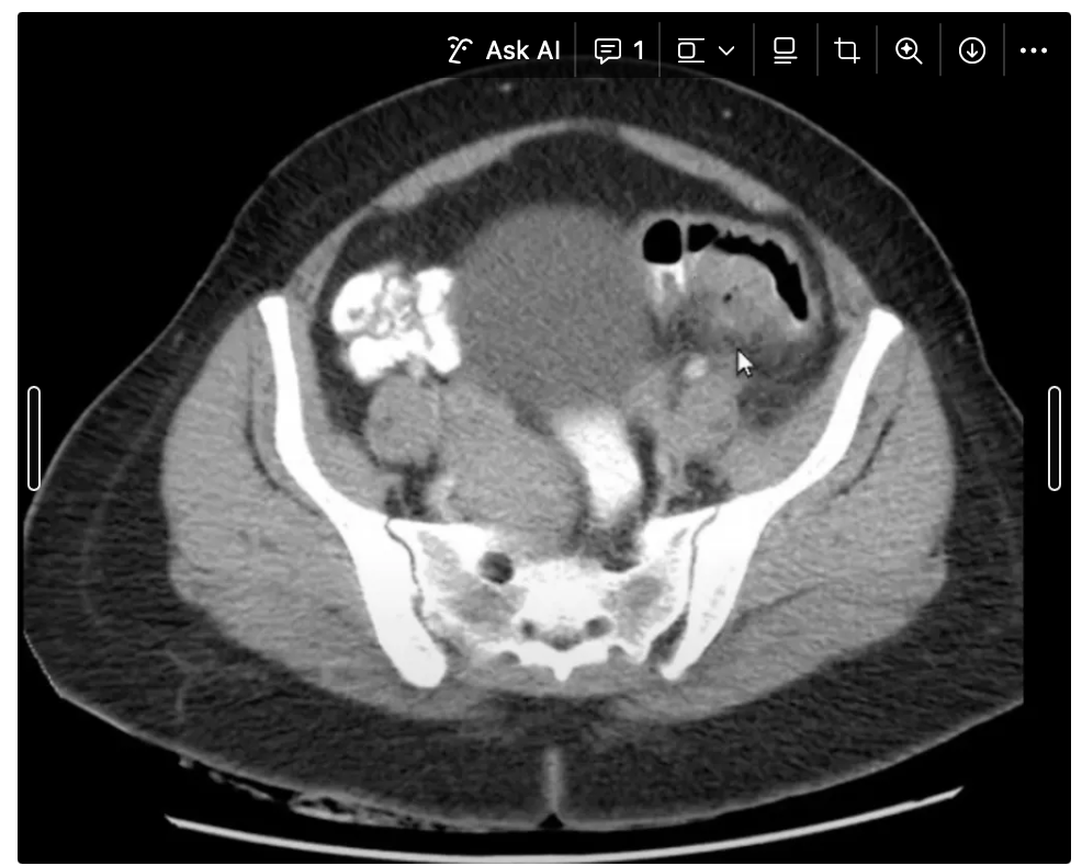
12
Q

Achado?

A

DIVERTÍCULO COM AR DENTRO DELE EM CÓLON DE PAREDE ESPESSADA E BORRAMENTO DE GORDURA

How well did you know this?
1
Not at all
2
3
4
5
Perfectly
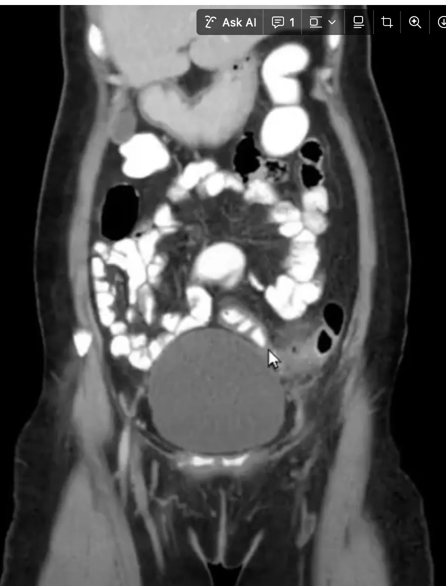
13
Q

Achado?

A

VÁRIOS DIVERTÍCULOS EM COLON DE PAREDE ESPESSADA E BORRAMENTO DE GORDURA

How well did you know this?
1
Not at all
2
3
4
5
Perfectly
14
Q

Achado?

A

VÁRIOS DIVERTÍCULOS EM COLON DE PAREDE ESPESSADA E BORRAMENTO DE GORDURA

How well did you know this?
1
Not at all
2
3
4
5
Perfectly
15
Q

Achado?

A

OS DIVERTÍCULOS SÃO AS BOLINAHS COM INTERIOR PRETO E AO REDOR BRANCO

How well did you know this?
1
Not at all
2
3
4
5
Perfectly
16
Q

Como classificar uma diverticulite?

A

Classificações incluem:
* Classificação de Hinchey
* Classificação de WSES
* Classificação de Kaiser

Cada classificação tem suas especificidades e critérios.

How well did you know this?
1
Not at all
2
3
4
5
Perfectly
17
Q

O que é a classificação de Hinchey?

A

Classificação de Hinchey:
* Hinchey 0: Sem complicação
* Hinchey 1: Abscesso paracólico confinado em mesentério pericólico
* Hinchey 2: Abscesso pélvico ou retroperitoneal
* Hinchey 3: Peritonite purulenta (ruptura de abscesso)
* Hinchey 4: Peritonite fecalóide (perfuração de cólon)

A classificação de Hinchey é amplamente utilizada para categorizar a gravidade da diverticulite.

How well did you know this?
1
Not at all
2
3
4
5
Perfectly
18
Q

O que é a classificação de Hinchey modificada?

A

Classificação de Hinchey Modificada:
* Hinchey 0: Sem complicação
* Hinchey 1:
-IA: Fleimão confinado paracólico
-IB: Abscesso confinado em mesentério paracólico
* Hinchey 2: Abscesso pélvico ou retroperitoneal
* Hinchey 3: Peritonite purulenta (ruptura de abscesso)
* Hinchey 4: Peritonite fecalóide (perfuração de cólon)

How well did you know this?
1
Not at all
2
3
4
5
Perfectly
19
Q

Hinchey I?

A
  • Hinchey 1:
    -IA: Fleimão confinado paracólico
    -IB: Abscesso confinado em mesentério paracólico
How well did you know this?
1
Not at all
2
3
4
5
Perfectly
20
Q

Hinchey II?

A

Hinchey 2: Abscesso pélvico ou retroperitoneal

How well did you know this?
1
Not at all
2
3
4
5
Perfectly
21
Q

Hinchey III?

A

Hinchey 3: Peritonite purulenta (ruptura de abscesso)

22
Q

Hinchey IV?

A

Hinchey 4: Peritonite fecalóide (perfuração de cólon)

23
Q

O que é a classificação de WSES?

A

Classificação de WSES:
* WSES 0: Diverticulite não complicada (espessamento parietal + borramento de gordura)
* WSES 1: IA (bolhas ou líquido pericólico sem abscesso) IB (abscesso ≤ 4cm)
* WSES 2: IIA (abscesso ≥ 4cm) IIB (presença de ar distante > 5cm do segmento inflamado)
* WSES 3: Líquido livre difuso sem presença de ar extrainestinal
* WSES 4: Líquido livre difuso com presença de ar extrainestinal

A classificação de WSES é focada em aspectos radiológicos da diverticulite.

24
Q

WSES 0 DIVERTICULITE?

A
  • WSES 0: Diverticulite não complicada (espessamento parietal + borramento de gordura)
25
WSES 1 DIVERTICULITE?
WSES 1: -IA (bolhas ou líquido pericólico sem abscesso) -IB (abscesso ≤ 4cm)
26
WSES 2 DIVERTICULITE?
WSES 2: -IIA (abscesso ≥ 4cm) -IIB (presença de ar distante > 5cm do segmento inflamado)
27
WSES 3 DIVERTICULITE?
WSES 3: Líquido livre difuso sem presença de ar extrainestinal
28
WSES 4 - DIVERTICULITE
Líquido livre difuso sem presença de ar extrainestinal
29
O que é a classificação tomográfica de Kaiser?
Classificação tomográfica de Kaiser: * Kaiser 0: Diverticulite não complicada com ou sem espessamento de parede do cólon * Kaiser 1a: Espessamento de parede + inflamação ou fleimão pericólico * Kaiser 1b: IA + abscesso pericólico confinado * Kaiser II: IA + abscesso pélvico ou retroperitoneal ou intra-abdominal distante * Kaiser III: Gás livre + líquido livre + espessamento de parede peritoneal * Kaiser IV: Mesmas descobertas do estágio III ## Footnote A classificação de Kaiser é uma abordagem alternativa para categorizar a diverticulite.
30
KAISER 1?
-Kaiser 1a: Espessamento de parede + inflamação ou fleimão pericólico -Kaiser 1b: IA + abscesso pericólico confinado
31
KAISER 2?
Kaiser II: IA + abscesso pélvico ou retroperitoneal ou intra-abdominal distante
32
KAISER 3??
Kaiser III: Gás livre + líquido livre + espessamento de parede peritoneal
33
KAISER 4?
Mesmas descobertas do estágio III
34
Quando ocorre um Hinchey IV, qual sinal podemos encontrar?
Sinal de Rigler - pneumoperitônio por algo que perfurou ## Footnote O sinal de Rigler é um indicativo de ar livre na cavidade abdominal.
35
Quando internar o paciente com diverticulite?
Indicações para internação: * Diverticulite complicada * Dor abdominal intensa * Idosos * Imunossuprimidos (DM descontrolada, uso de imunobiológicos) ## Footnote A internação é necessária em casos de complicações ou risco aumentado.
36
Como realizar o tratamento da diverticulite?
Tratamento segundo a classificação de Hinchey: * Hinchey 0: Suporte (analgesia + hidratação + jejum) +/- ATB + acompanhamento * Hinchey 1: Suporte + ATB + seguimento ( > 4cm =drenagem) * Hinchey 2: Suporte + ATB + drenagem percutânea por radiointervenção * Hinchey 3: Suporte + ATB + cirurgia (colectomia à Hartmann) * Hinchey 4: Suporte + ATB + cirurgia (colectomia à Hartmann) ## Footnote Sempre realizar colonoscopia após 6 semanas.
37
Quantos ml seria um abscesso de 4cm?
30-35ml
38
Qual ATB usar na diverticulite?
* Hinchey I: -Cipro + Metro * Hinchey II/III/IV: -Cef + Metro
39
Paciente que é submetido a cirurgia, mas está todo lascado, com hipotensão refratária à DVA, peritonite fecalóide, o que fazer?
Continua a cirurgia à Hartmann ## Footnote A cirurgia à Hartmann é indicada em casos de complicações severas.
40
Paciente Hinchey III com peritonite supurativa com liquido livre abdominal, mas com estabilidade hemodinâmica, o que fazer?
Terapia nova! -Realizar ressecção segmentar com anastomose primaria para resconstrucao do TGI seguido de ileostomia de proteção
41
Posso realizar colonoscopia para ajudar no diagnóstico de diverticulite aguda?
Não! Está contraindicado! ## Footnote A colonoscopia pode aumentar o risco de perfuração em casos de diverticulite aguda.
42
Quando realizar a colonoscopia após uma diverticulite aguda?
* Após 4-6 semanas 9afastar CA colorretal)
43
Se não for complicada e tiver indicação de internar, como dar ATB?
Internar durante 24-48h e liberar para casa com ATB VO ## Footnote O tratamento ambulatorial é possível em casos não complicados.
44
Quando operar diverticulite mesmo que o Hinchey não seja III/IV?
Indicações para cirurgia: * Recidiva (segunda vez) * Sintomas crônicos (dor em QIE; diarreia/constipação; sangue retal) * Imunodeprimido ## Footnote Aqui é cirurgia eletiva.
45
Qual cirurgia indicar quando o paciente tiver indicação de cirurgia eletiva para diverticulite?
Colectomia (simgoidectomia) VLP! + Anastomose ## Footnote A colectomia VLP é uma abordagem minimamente invasiva.
46
O que é a colectomia à Hartmann?
Retossigmoidectomia + sepultamento do coto distal + colostomia terminal ## Footnote A colectomia à Hartmann é uma técnica cirúrgica utilizada em complicações graves.
47
Qual a principal complicação da diverticulite de repetição?
Fístula colovesical (65%) das fístulas por diverticulite ## Footnote A diverticulite de repetição pode levar a complicações graves, sendo a fístula colovesical uma das mais comuns.
48
Qual o quadro clínico da fístula colovesical?
Pneumatúria, fecalúria, disúria e infecção ## Footnote Pneumatúria refere-se à presença de ar na urina, fecalúria é a presença de fezes na urina, e disúria é a dor ou dificuldade para urinar.
49
Que exame solicitar para detalhar o caminho da fístula colovesical?
RM ## Footnote RM refere-se à ressonância magnética, um exame de imagem que ajuda a visualizar estruturas internas.
50
Como tratar a fístula colovesical?
1. Suporte 2. ATB 3. Cirurgia após passo 1 e 2 ## Footnote ATB refere-se ao tratamento com antibióticos.
51
Qual cirurgia realizar para a fístula colovesical?
Ressecção do segmento acometido + anastomose dos cotos + fistulectomia + reparo da bexiga (rafia) ## Footnote Geralmente é uma cirurgia eletiva, pois o paciente não está em quadro agudo.