TCE Flashcards

(93 cards)

1
Q

No atendimento de um TCE, qual o fluxo a seguir?

A

ATLS! XABCDE!

How well did you know this?
1
Not at all
2
3
4
5
Perfectly
2
Q

Qual a causa mais comum de TCE?

A

Quedas! - DISPARADO!

Obs: na adolescência, acidentes esportivos ganham importância.

How well did you know this?
1
Not at all
2
3
4
5
Perfectly
3
Q

Paciente com TCE e choque hipovolêmico, qual a fonte do sangramento?

A

Outro órgão! Provavalemente não é cerebral, pois não corre sangramento volumoso no TCE!

How well did you know this?
1
Not at all
2
3
4
5
Perfectly
4
Q

Qual a sequência de tecidos até chegar no parênquima cerebral?

A
  1. Pele + Couro cabeludo
  2. Crânio
  3. Meninges (dura-máter; aracnoide-máter e pia-máter)
  4. Cérebro
How well did you know this?
1
Not at all
2
3
4
5
Perfectly
5
Q

Abaixo do crânio, o que temos?

A

Espaço epidural/Extradural

How well did you know this?
1
Not at all
2
3
4
5
Perfectly
6
Q

Abaixo da dura-mater, o que temos?

A

Espaço subdural

How well did you know this?
1
Not at all
2
3
4
5
Perfectly
7
Q

Abaixo do espaço subdural, o que temos?

A

Aracnoide mater

How well did you know this?
1
Not at all
2
3
4
5
Perfectly
8
Q

Abaixo da aracnóide mater, o que temos?

A

Espaço sub-aracnoideo

How well did you know this?
1
Not at all
2
3
4
5
Perfectly
9
Q

Abaixo do espaço subaracnoídeo, o que temos?

A

Pia máter

How well did you know this?
1
Not at all
2
3
4
5
Perfectly
10
Q

Abaixo da pia mater, o que temos?

A

Encefalo

How well did you know this?
1
Not at all
2
3
4
5
Perfectly
11
Q

O que seriam lesões intra e extra-axiais?

A
  • Extra-axiais (fora do parênquima cerebral):
    -Meninge
    -Epidural/subdural
    -Calota craniana
  • Intra-axiais: (dentro do parênquima):
    -HSA ou intraparenquimatosa
How well did you know this?
1
Not at all
2
3
4
5
Perfectly
12
Q

TCE são lesões primarias ou secundarias de SNC?

A

Entenda:

  • Lesões primárias (TCE primário) - Dano imediato causado pelo trauma!:
    -Fraturas
    -Hematomas
    -LAD
  • Lesões secundarias (TCE secundário - agravos devido ao trauma:
    -Hipoxemia
    -Hipotensão
    -HIC
How well did you know this?
1
Not at all
2
3
4
5
Perfectly
13
Q

No que consiste a pressão intracraniana?

A

Pressão dentro do crânio exercida pelas estruturas adjascentes

Normal se em torno de 10 (5-15)

How well did you know this?
1
Not at all
2
3
4
5
Perfectly
14
Q

Quando o paciente possui Hipertensão intracraniana?

A

Pressão intracraniana > 20/22

PIC normal se entre 5-15 (10)

How well did you know this?
1
Not at all
2
3
4
5
Perfectly
15
Q

No que consiste a pressão de perfusão cerebral?

A

Consiste na pressão de fluxo sanguíneo cerebral:

PPC = PAM (pressao arterial media) - PIC (pressao intracraniana)

Ou seja, você manter uma boa volemia, tirar de hipotensao tambem é ajudar no neurológico!

How well did you know this?
1
Not at all
2
3
4
5
Perfectly
16
Q

No que consiste a doutrina de Monro-Kellie?

A

A DOUTRINA DE MONRO-KELLIE VAI ABORDAR SOBRE O AUMENTO DESSA PRESSÃO INTRACRANIANA DE ACORDO COM O AUMENTO DO TAMANHO DO EDEMA/MASSA ALI PRESENTE.

ENTÃO:

  1. PRIMEIRO REDUz LCR

Se não for suficiente

  1. Reduz sangue

Se não for suficiente

  1. Reduz SANGUE VENOSO E DEPOIS ARTERIAL

Se não for suficiente

  1. Ocorre A HERNIAÇÃO
How well did you know this?
1
Not at all
2
3
4
5
Perfectly
17
Q

Qual a sequência de redução de acordo com a doutrina de monro-kellie?

A
  1. LCR
  2. Sangue venoso
  3. Sangue arterial
  4. Herniação - Parênquima
How well did you know this?
1
Not at all
2
3
4
5
Perfectly
18
Q

Paciente com TCE, como classificar a gravidade do TCE?

A

Escala de Coma de Glasgow - ECG

  • Leve: 13-15
  • Moderado: 9-12
  • Grave: 8 ou menos

Obs: tem referência que fala de 9-13 e 14-15!

How well did you know this?
1
Not at all
2
3
4
5
Perfectly
19
Q

Paciente com TCE grave que você realiza uma IOT, qual a principal complicação e preocupação no momento?

A

Aumento da PIC!!!!!!!!

How well did you know this?
1
Not at all
2
3
4
5
Perfectly
20
Q

Quais são os critérios avaliados no parâmetro ocular da ECG?

A

4 Pontos:

4: abre espontaneamente
3: abre aos chamados
2: abre ao estimulo doloroso
1. não abre

How well did you know this?
1
Not at all
2
3
4
5
Perfectly
21
Q

Quais são os critérios avaliados no parâmetro da fala da ECG?

A

5 Pontos:

5: fala orientada
4: fala desorientada
3: palavras inapropriadas
2: sons (gemidos/grunhidos) ou palavras INCOMPREENSÍVEIS)
1: não fala

How well did you know this?
1
Not at all
2
3
4
5
Perfectly
22
Q

Quais são os critérios avaliados no parâmetro motor da ECG?

A

6 Pontos:

6: obedece comando
5: localiza a dor
4: flexão anormal/movimento de retirada
3: Flexão anormal (decorticação)
2. Extensão anormal (descerebração)
1. Nenhuma

How well did you know this?
1
Not at all
2
3
4
5
Perfectly
23
Q

Se um paciente pontua 5 de um lado e 3 do outro lado na ECG, qual levar em consideração?

A

A melhor resposta!

How well did you know this?
1
Not at all
2
3
4
5
Perfectly
24
Q

Quais são os sinais clínicos após um TCE que sugerem fratura de base de crânio?

A
  • Rinorreia ou Otorreia
  • Sinal de Battle
  • Sinal do Guaxinim
  • Lesão de I; VII; VIII

OBS: anosmia, paralisia facial e surdez/ataxia respectivamente.

How well did you know this?
1
Not at all
2
3
4
5
Perfectly
25
Achado?
Sinal de Battle
26
Achado?
Sinal do Guaxinim
27
No que consiste o hematoma subgaleal?
Famoso galo na cabeça! Hematoma entre a aponeurose gaelal e o crânio
28
Após um TCE, quais são os tipos de lesões possíveis de acordo com a morfologia?
* Lesões difusas: -Concussão -Lesão axonal difusa (LAD) -Edema cerebral difuso * Lesões focais -Hematoma epidural -Hematoma subdural -Hematoma intraparenquimatoso -Hematoma subaracnoideo
29
Após um TCE, quais são os tipos de lesões difusas?
* Concussão * LAD * Edema cerebral difuso
30
Após um TCE, quais são os tipos de lesões focais?
* Hematoma epi/extradural * Hematoma subdural * Hematoma intraparenquimatoso * Hemorragia subaracnoidea
31
Quando suspeitar de uma consussão após TCE?
Perda de consciencia reversível e < 6h
32
Quando suspeitar de uma LAD após TCE?
Alteração da consciência que perdura por > 6h + TC inocente Obs: pode durar dias ou semanas e até mesmo ser irreversível
33
Quando suspeitar de LAD pela clinica e TC?
* Reb de nível de consciencia > 6h + * Inocente (nada) * Lesão Hiperdensa (TC)/hiperintensa (RM) em: -Capsula interna após TCE -Pontos hemorrágicos esparsos na TC
34
Paciente com TCE que evolui para quadro muito grave, TC sem alteracoes e que foi liberado com anisocoria, algumas paresias e tal, o que pensar?
LAD
35
Quando suspeitar de um edema cerebral difuso após TCE?
TCE + alteração da consciencia + TC com edema e aumento da PIC
36
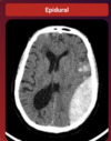
No que consiste um hematoma epidural?
Sangramento originado em região epidural (extradural) - acima da dura mater Terá formato biconvexo (bucho) na TC que não ultrapassa suturas - Fica colado no crânio!
37
No que consiste um hematoma subdural?
Sangramento originado no espaço subdural Na TC terá aspecto côncavo e convexo (foice) - costuma ultrapassar suturas
38
Como saber se um hematoma subdural é agudo ou crônico?
* Agudo: achado hipertenso * Crônico: achado hipodendo
39
No que consiste um hematoma subaracnoideo?
Sangramento em região subaracnoidea que pode ir para ventrículos, fissuras e cisternas
40
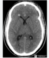
Achado?
HSA
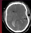
41
Hemorragia intraparenquimatosa?
42
Quando suspeitar de hematoma epidural apenas pela clinica do paciente?
Intervalo Lúcido! 1º Perde a consciência 2º Recobra consciência 3º Perde consciência novamente Ou Ele é atendido de forma consciente e depois perde a consciência!
43
Qual o principal vaso acometido após um hematoma extradural?
Arteria meningea média
44
Qual o principal vaso acometido após um hematoma subdural?
Plexo venoso - Veias ponte
45
Diante de um TCE, quais procedimentos do XABCDE quem ficam inacessíveis para esse paciente?
* Hipotensão permissiva * Sonda nasotraqueal Obs: Transamin pode sim!
46
Pode dar transamin no paciente com TCE?
ORAAA! CLARO!
47
Paciente com TCE, o que fazer?
1. XABCDE 2. Avaliação secundária 3. SOFT PACK
48
No que consiste o SOFT PACK?
SOFT PACK S: Sedação RASS 0 O: O2 se < 94% F: Free head - Elevar cabeceira 30-45º T: Temperatura > 36 e < 38 P: PAS > 100 (50-69) e > 110 (< 50 e > 70) A: Analgesia C: CO2 - 35-45 K: Controle -Glicose 80-180 -SatO2 > 95% e PaO2 > 100 -PLQ > 75K, INR < 1,4 e Hb > 7 -PIC < 15 e PPC > 60-70
49
Pode hiperventilar no TCE?
Depende! - Manter capnia normal (35-45!) Hipercapnia pode causar vasodilatação cerebral e aumentar o edema! Hipocapnia pode causar vasoconstriccão e gerar isquemia! Entretanto, se o paciente está com HIC com sinais de herniação uncal e sem neurocirurgião ou se ele vai demorar = Pode tentar hiperventilar e manter hipocapnia 30-35
50
Paciente com TCE, qual exame de imagem solicitar?
* TC de crânio após estabilização hemodinâmica
51
Quando solicitar TC para um TCE leve?
* Idade >= 65 anos * Anticoagulado * Glasgow < 15 após 02h * Vômitos >=/ > 2x * Uso de anticoagulante * Perda de consciencia > 5min * Amnésia retrograda > 30min * Cefaleia intensa * Deficit neurologico focal * Fx de crânio (afundamento ou abalamento ou base) e/ouTrauma de alta energia
52
Quando solicitar TC para um TCE leve em criança <02 anos?
PECARN * Alto risco: -Glasgow < 15 (14 ou menos) -Fx de base de crânio ou afundada ou mecanismo de trauma grave -Alteracao de consciencia ou comportamento
53
Quando um TCE é de alto risco pelo PECARN em < 02a?
-Glasgow < 15 (14 ou menos) -Fx palpável de crânio -Alteracao de consciencia
54
Quando um TCE é de alto risco pelo PECARN em > 02a?
-Glasgow < 15 (14 ou menos) -Fx de base de crânio -Alteracao de consciencia
55
Criança > 02a com TCE sem critérios de alto riso, o que fazer?
Avaliar critérios de moderado risco: -História de perda de consciencia -Vomito -Cefaleia severa -Mecanismo de trauma de grande energia Obs: se qualquer um, observar por pelo menos 4-6h ou fazer TC
56
Criança < 02a com TCE sem critérios de alto riso, o que fazer?
Avaliar critérios de moderado risco: -História de perda de consciencia > 5s -Hematoma subgaleal não frontal -Não está agindo normalmente (alt. de comportamento) -Mecanismo de trauma de grande energia Obs: se qualquer um, observar por pelo menos 4-6h ou fazer TC
57
O que seria um mecanismo de trauma com alta energia na pediatria?
* Morte na cena * Ejeção do veiculo * Queda > 90cm (< 02 anos) ou > 1,5m (>02 anos) * Velocidade > 50/60km/h
58
Paciente pediátrico vítima de TCE sem qualquer sinal de alto risco ou moderado risco, o que fazer?
Alta com orientações após observação
59
Paciente pediátrico com TCE leve sem indicacao de TC, o que fazer?
Observação durante mínimo de 4h e máximo de 6-8h
60
Apos um TCE, quando repetir a TC de crânio?
* 12-24h após o trauma * Alt. neurológica nova
61
Como deve ser a TC do TCE?
TC de crânio sem contraste!
62
Como manejar um TCE leve?
1. ATLS + SOFT PACK 2. Pesquisar por alcoolismo e anticoagulantes! - Exames laboratoriais 3. Observação por 24h e TC se indicada
63
Quando chamar o neurocirurgião no TCE leve?
* Exame anormal * TC alterada * Deterioração clínica Obs: TCE mod-grave = sempre chamar neurocirurgião
64
Quando internar um TCE leve?
* Indicacao de TC sem TC disponível * TC anormal * Deficit neurológico focal * ECG não volta para 15 após 2h * Intoxicação significativa * TCE penetrante * Perda de consciencia > 5min * Cefaleia mod-grave * Falta de acompanhante
65
Quando solicitar TC em TCE mod-grave?
Sempre!
66
Como manejar um TCE moderado?
1. ATLS + SOFT PACK 2. Pesquisar por alcoolismo e anticoagulantes! - Exames laboratoriais 3. Solicitar TC e depois TC de controle 4. Solicitar exames laboratoriais
67
Como manejar um TCE grave?
1. ATLS + SOFT PACK 2. Pesquisar por alcoolismo e anticoagulantes! - Exames laboratoriais 3. Solicitar TC e depois TC de controle 4. Solicitar exames laboratoriais 5. Cirurgia rápida! Obs: manitol e capnia > 25
68
Diante de um TCE, quais profilaxias ficam obrigatórias?
* Profilaxia para TEV * Profilaxia para ulcera * Profilaxia de nutrição
69
TCE precisa de profilaxia para crise epiléptica?
* Fraturas com afundamento * Ferimento penetrante * Antecedente de epilepsia * Hematoma intracerebral se GLASGOW < 10
70
Como realizar a profilaxia da crise epiléptica apos TCE?
Hidantização (fenitoína) 1g durante 40-60min + 100mg de 8/8h
71
Paciente com TCE pode evoluir para HIC, como suspeitar?
1. Nauseas, vomitos 2. Cefaleia 3. Reb de consciencia 4. Papiledema 5. Desvio de linha média à TC 6. Sinais de lateralização Obs: pode cursar com tríade de Cushing
72
Quais sao os sinais de lateralização no TCE?
Sinais neurológicos focais - Assimetria!: * Midríase - acomete III par * Hemiplegia * Desvio do olhar conjugado * Afasia
73
Quando o paciente tem TCE ele evolui para plagia ou paresia e midriase, essa vai ser contra ou ipsilateral?
* Plegia: contrlateral - Decussação da pirâmide (bulbo) * Midríase ipsilateral - Acima da decussacao da pirâmides
74
Quando um acometimento abaixo da decussação vira ipsilateral qual o nome?
Fenomeno de Kernohan Ocorre desvio grande do mesencéfalo lateralmente gerando falso sinais.
75
O que é a tríade de Cushing?
Tríade da HIC: -Bradicardia -Hipertensão -Alteracao ventilatória (geralmente bradipneia)
76
Paciente com TCE grave pode cursar com uma respiração especifica, qual o nome?
Cheyne-Stokes Ela vai entrando em dispneia com respiração profunda até entrar em apneia e voltar
77
Paciente com TCE + Rebaixamento de consciencia + midríase ipsilateral, o que pensar?
Herniação uncal
78
Paciente com TCE pode evoluir para HIC, como manejar?
1. Tratar ATLS + SOFT PACK + Analgesia (opioide - fentanil) Se refratário ao SOFT PACK 2. Sedação terapêutica + monitorar PIC com cateter de PIC! Se refratário: 3. Terapia hiperosmolar 4. Ventriculostomia - DVE - > DVP Se refratário: Bloq. neuromuscular -> Hiperventialação -> Craniectomia descompressiva Tratamento definitivo: craniectomia descompressiva
79
Quando monitorizar PIC?
* TCE grave * TCE moderado com lesões focais ou idade avançada ou Glasgow < 10 * Sinais de HIC ou refratariedade da HIC * Rebaixamento de consciencia seja por sedação ou pela lesão
80
Paciente com HIC, pode fazer manitol ou solução salina hipertonica?
Depende! - São terapias de ponte! Devem ser feitas apenas quando o paciente já estiver indo para a cirugia!
81
Como fazer o manitol na HIC?
Manitol 20% 0,25ml/kg
82
Como fazer a solução salina hipertonica na HIC?
* Adulto: -Solução salina hipertonia 3% 0,5ml/kg em 5 min * Criança: -Solução salina hipertonia 3% 2-5ml/kg em 10-20 min
83
Quem é melhor, solução hipertonica 3% ou manitol?
Solução hipertonica possui menor risco de: -Hiponatremia -Hipovolemia Obs: manitol não é contraindicado!
84
Quando indicar craniectomia descompressiva após TCE ?
* Hematoma subdural> 1cm/10mm * Hematoma epidural > 30ml ou espessura > 15mm * HSA > 50cm3 ou reb. de sensório progressivo * Desvio de linha media > 5mm * TCE grave com PIC > 20 e anisocoria
85
Quando realizar creaniecotmia e quando realizar treapano-puncao no TCE?
* Craniotomia - Geralmente para hematomas agudos: -Sangramento espesso (branco na TC - Agudo) -Septado * Trepano-punção - Geralmente para hematomas crônicos: -Sangramento liquefeito (escuro na TC - Crônico)
86
Paciente vítima de TCE com lesão escaupelante, o que fazer?
Desbridamento cirúrgico + hemostasia e sutura
87
TCE com afundamento de crânio, precisa operar?
Apenas se: -Exposta -Contaminada -Perda de continguidade
88
Quais são os tipos de fraturas de crânios do TCE?
* Fratura linear simples: tratamento conservador * Fratura com afundamento: tratamento conservador ou cirúrgico se depressão supera espessura da calota craniana * Fraturas abertas: desbridar + suturar * Fraturas de base de crânio:
89
Paciente com TCE grave que chega em UBS ou UPA e precisa ser regulado, se negarem ou demorarem para responder, o que fazer?
Chamar SAMU! Paciente não pode esperar em UBS ou UPA! - Precisa ir para hospital especializado ligeiro!
90
Quais são os fatores prognóstico do TCE?
* Idade * ECG * Lesões radiológicas * Comorbidades * Alt. pupilar * Alt. da coagulação * Hipotensão e hipoxemia
91
Pode fazer restrição hídrica no paciente com TCE?
Não - Hipovolemia piora a PPC! Mantenha euvolemia
92
Pode usar corticoide no paciente com TCE e HIC?
Não - Mostrou piora dos desfechos
93
Paciente com TCE evoluindo para HIC, qual distúrbio esperar na gasometria?
Acidose respiratória e saturação baixa - Falencia respiratória