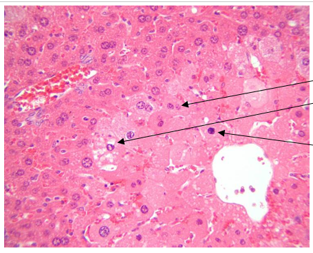
From Wikipedia: Pyknosis, or karyopyknosis, is the irreversible condensation of chromatin in the nucleus of a cell undergoing necrosis or apoptosis. It is followed by karyorrhexis, or fragmentation of the nucleus. Karyolysis is the complete dissolution of the chromatin of a dying cell due to the enzymatic degradation by endonucleases. The whole cell will eventually stain uniformly with eosin after karyolysis. It is usually preceded by karyorrhexis and occurs mainly as a result of necrosis, while in apoptosis after karyorrhexis the nucleus usually dissolves into apoptotic bodies.
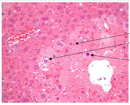
What organ are we in?
What term is appropriate for the process taking place in these cells?
The liver.
Coagulation necrosis
At the periphery of the centrilobular zones, there is a zone in which there are many enlarged hepatocytes with very pale, sometime granular cytoplasm and a perinuclear clear space.
What term is appropriate for these cells?
Acute cell swelling, or hydropic degeneration
What is the pathogenesis of coagulation necrosis?
For coagulation necrosis, when cell and organelle swelling progresses, further loss of ATP occurs, glycolysis ensues, loss of calcium regulation progresses, calcium enters the cell in large amounts resulting in phospholipases being activated (details for later), and the cell begins to die by necrosis.
What is the pathogenesis of acute cell swelling?
For acute cell swelling, metabolism of chloroform by the cytochrome P450 of the SER, especially in centrilobular hepatocytes, leads to production of metabolites (many free radicals) that cause lipid peroxidation of cell and organelle membranes. Damage to mitochondria leads to insufficient ATP production causing inadequate functioning of the Na-K pump, net influx of Na and therefore water, and cell swelling. Damage to the cell plasma membrane may lead to excess leakage and loss of volume control leading to cell swelling as sodium and water enter the cell in amounts exceeding the ability of the pumps to regulate.
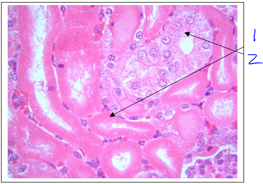
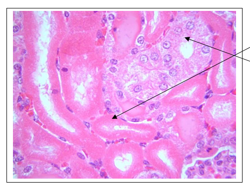
What organ is this?
What’s happening at 1 and 2?
This is a (mouse) kidney
Throughout the renal cortex, tubules are lined by an eosinophilic coagulum of necrotic cells or by pale, swollen epithelial cells. Many swollen cells contain eosinophilic “droplets” which probably represent residual bodies or myelin figures as seen by EM.
Do the swollen cells impinge upon the tubular lumens and interstitial capillaries?
Do these cellular changes correspond to those in the liver?
Do the swollen cells impinge upon the tubular lumens and interstitial capillaries? YES
Do these cellular changes correspond to those in the liver?
Yes, they are very similar, although, hypoxia may play a bigger role in necrosis of the tubular epithelium. Swelling of endothelial cells can lead to hypoxia for the renal epithelium causing cell swelling and necrosis. Again, lipid peroxidation of membranes will also be playing some role.
What are 2 reliable criteria you can use to tell whether a cell is dead or still reversibly swollen?
What are 2 reliable criteria you can use to tell whether a cell is dead or still reversibly swollen?
The most obvious criterion for cell death is disruption of cell integrity (the cell is ruptured or broken apart). Another reliable criterion is nuclear morphology. Cells with nuclei that are absent, pyknotic, karyorrhectic, or karyolytic are dead.
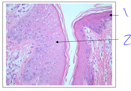
What organ is this?
What’s happening at 1 and at 2?
This is (porcine) skin.
Follow along the epidermis until you find where it is markedly thickened and composed of large clear cells. The nuclei are surrounded by a large clear space in the cytoplasm. This lesion is referred to as acute cell swelling and “ballooning degeneration” when it becomes extreme. The extreme cell swelling is accompanied by cytoplasmic keratinolysis and proteolysis. The lesion is typically caused by pox virus infections or acute thermal injury to epithelium.
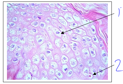
What organ is this?
What’s happening at 1 and at 2?
Still looking at porcine epidermis.
What are possible basic mechanisms for the development of these cellular changes in the epidermis of the pig? Which do you think is most likely here?
What are possible basic mechanisms for the development of these cellular changes? Which do you think is most likely here?
Although hypoxia is a possible mechanism, membrane damage is more likely. Some viral infections lead to insertion of viral proteins into cell membranes causing them to leak and swell as we have described previously. Interference with energy production because of the physical presence of so many viral particles is also possible but less likely.
Case 1
Signalment and history: Tissue from a 5 year old, spayed female DSH with a 2 month history of autoimmune thrombocytopenia which was being treated with corticosteroids (prednisone).
Describe the lesion.

The liver is mildly enlarged, softer than normal, diffusely yellow-tan in color and has a faintly accentuated lobular pattern. Adjacent to the gall bladder on the right medial and caudate process of the caudate lobe, there are irregular areas which are pale green-gray in color (bile imbibition and pseudomelanosis). The margins of the liver are rounded.
What is the morphologic diagnosis of Case 1?

Morphologic diagnosis: Liver: Hepatopathy, diffuse, chronic, severe
In fact, this gross appearance of a pale, swollen, yellow liver could be consistent with lipidosis (fatty change) or hydropic degeneration. The histologic lesions confirm a diagnosis of hydropic degeneration—i.e. storage of excess glycogen (rather than lipid) in the hepatocytes. Take home message: a diffusely pale swollen liver can arrive at that state due to accumulation of either glycogen or lipid; there are different (though overlapping) metabolic routes to these syndrome that we will cover in the future).
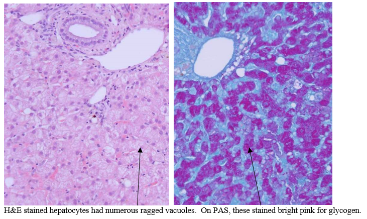
Case 1: Histopathology of the liver revealed diffusely swollen hepatocytes with indistinct, clear vacuoles and ragged, clear vacuoles. With a PAS stain, the cytoplasm of hepatocytes stained bright pink. Name the cytoplasmic substance (and hence the hepatic lesion) and explain the process occurring in the liver.
The substance is glycogen and this is an example of hepatocellular glycogen degeneration. Based on the gross appearance of the organ, you cannot tell if the color change is due to accumulation of lipid or glycogen; you need special stains with histopathology to differentiate lipid from glycogen. The vacuolar change is likely not due to water since hydropic degeneration would not likely result in yellow-tan discoloration of the tissue. The cause in this case is related to therapy with prednisone, a glucocorticosteroid, which causes elevated blood glucose levels. Clinically, the finding is called steroid hepatopathy.
Case 2: Signalment and history: This tissue is from a 17 year old castrated male cat with an acute history of respiratory distress and vocalization. Describe the lesion.
At the aortic-iliac bifurcation there is a pale reddish, friable, firm, cylindrical mass approximately 10 mm in length and 1-2 mm in diameter within the aortic lumen and extending approximately 3 mm within the lumen of the left iliac artery.
Case 2: What is the morphologic diagnosis?
Morphologic diagnosis: Aorta: thrombus, focal, acute, severe
Case 2: What would be some possible sequelae to this lesion?
What would be some possible sequelae to this lesion?
Thrombi cause vascular obstruction and they are a potential source of emboli which may lead to ischemia of the hind limbs causing pain and maybe paralysis. This ischemia would lead to hypoxia, cell swelling, and possibly death of the affected cells. In some cases, there is often enough collateral circulation to keep the muscles of the hind limb alive but function may be lost. In other cases, there may be complete obstruction to the hind legs or distal tail; in advanced cases, thromboembolism may affect the lungs, brain, heart, liver and kidneys.
This lesion is an example of a saddle thrombus in which cardiac thrombi lodge at the bifurcation of the aortic and iliac arteries. This kind of lesion is often seen in cats and dogs with primary cardiomyopathy, as thrombi may form within the left atrium due to turbulent blood flow through the left heart. The occlusion of the aorta and iliac arteries leads to hind limb ischemia and may present as paralysis, cold hind legs.
Case 3 Exotic Museum Squirrel Fibromatosis
Signalment and history: Squirrel submitted by a hunter to a diagnostic lab.
Describe the lesion(s)
Describe the lesion(s):
Multifocally throughout the dermis there are raised, nodular masses. The masses range in size from 0.5 to 2 cm in diameter; round to oval in shape; and are smooth, hairless, and tan in color.
Case 3: What is the morphologic diagnosis?
Morphologic Diagnosis: Skin: Dermatitis, proliferative, multifocal, chronic, severe
Case 3: List differential diagnoses
N
A
G
H
List differential diagnoses.
N – neoplasia
A – abscess
G – granuloma
H – hyperplasia
These lesions are caused by Squirrel poxvirus (a leporipoxvirus) resulting in multiple fibromas, termed squirrel fibromatosis.
CASE 4 (Porcine)
Signalment and history: Tissue from a 16 week-old piglet that presented with unusual skin lesions.
Describe the lesions:
Describe the lesions: On the skin of the face and ears, there are multifocal to coalescing, roughly circular, crusted, raised, red to tan, domed areas (papules) measuring approximately 1-2 cm in diameter. The surface is often irregularly mottled tan and granular.
These lesions are caused by the swinepox virus, which most often affects young growing piglets or neonates. The disease is usually mild with negligible mortality; it is endemic in areas of intensive swine production.
Case 4: What is the morphologic diagnosis?
Morphologic diagnosis: Skin: dermatitis, proliferative, multifocal to coalescing, chronic, severe
Clinical Exercise #1
On a typical Iowa winter morning you are called out to a new swine operation. On entering the farrowing house you find that several of the pigs are dyspneic or ataxic and some are dead. You do a necropsy on a couple and find that the tissues are generally very pink, although not particularly hyperemic. The blood itself is bright red and there are hemorrhages and edema in the brain.
What do you think is the problem?
Carbon monoxide (CO) from faulty combustion and ventilation of heaters is inhaled and binds with hemoglobin more tightly than oxygen. The color change in the hemoglobin takes place (making the blood bright red), but the CO displaces oxygen and does not allow adequate delivery of oxygen to tissues. This causes tissue hypoxia.
Clinical Exercise #1
On a typical Iowa winter morning you are called out to a new swine operation. On entering the farrowing house you find that several of the pigs are dyspneic or ataxic and some are dead. You do a necropsy on a couple and find that the tissues are generally very pink, although not particularly hyperemic. The blood itself is bright red and there are hemorrhages and edema in the brain.
Microscopically there was cell swelling in a variety of tissues.
What is the pathogenesis of the cell swelling in this case?
The pathogenesis of the cell swelling is as we have discussed. Inadequate oxygen at the cellular level leads to decreased production of ATP by mitochondria. The membrane Na/K pump has inadequate ATP to run effectively. Na and therefore water leak in as usual from outside the cell but are not pumped out adequately leading to net accumulation of Na and water within the cell causing cell swelling.