Lab 5: Accumulations Flashcards

(24 cards)

1
Q

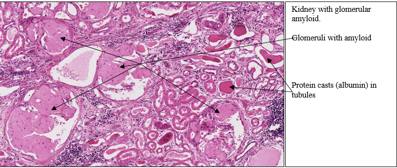
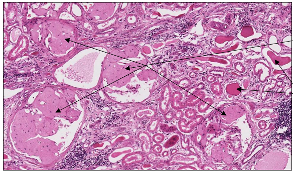
Image from a kidney from a dog with polyuria, polydipsia, and proteinuria.

What is the morpologic diagnosis?

A

Morphologic diagnosis: Renal amyloidosis with hyaline casts.

How well did you know this?
1
Not at all
2
3
4
5
Perfectly
2
Q

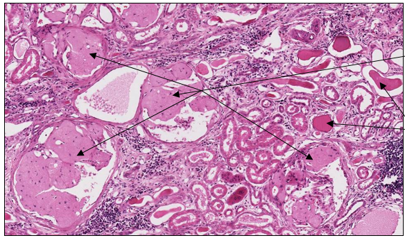
Image from a kidney from a dog with polyuria, polydipsia, and proteinuria.

Describe what you see, and why it’s happening

A

Most glomeruli are enlarged, distorted, or obliterated by a homogeneous, eosinophilic (hyaline) substance. The hyaline material is amyloid as confirmed by the Congo red stain. Amyloid is deposited first in the mesangium and later in the peritubular space. Amyloid disrupts the glomerular filtration mechanism leading to loss of plasma proteins into the urine filtrate.

Amyloid in the glomerulus deposits in the filtration membrane causing it to become leaky to larger proteins. Proteins, especially albumin, are then lost into the filtrate where they form hyaline “casts”. The hyaline casts are made up of albumin while the hyaline in the glomerulus is made of amyloid (usually AA).

How well did you know this?
1
Not at all
2
3
4
5
Perfectly
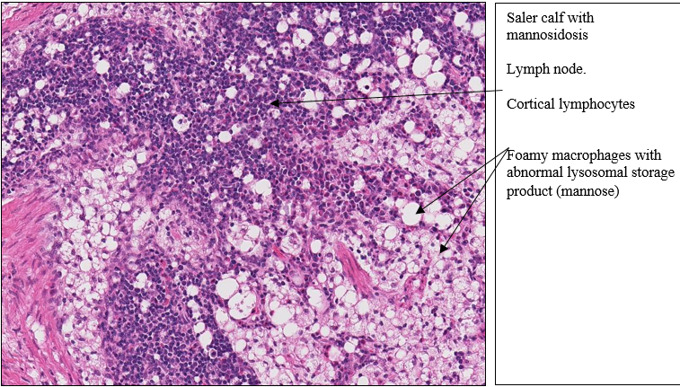
3
Q

Saler calf. This calf was normal at birth but soon died. The head was moderately domed, and there was mild superior brachygnathism. The calf was recumbent and had a head tremor. There was bilateral renal enlargement, severe hypomyelination in the brain and variable thyroid gland enlargement. This tissue is from lymph node.

The medulla of the lymph node contains large numbers of large foamy cells with discrete to somewhat ragged vacuoles. A few neutrophils are also present. Similar foamy vacuoles were also present in neurons and numerous other organs.

What are possibilities for the foamy material in the macrophages of the lymph node?

A

What are possibilities for the foamy material in the macrophages of the lymph node?

Foamy or vacuolated cells can occur due to accumulation of fat, water, glycogen, phagocytosed material such as mycobacteria, and abnormal substrate.

How well did you know this?
1
Not at all
2
3
4
5
Perfectly
4
Q

Saler calf. This calf was normal at birth but soon died. The head was moderately domed, and there was mild superior brachygnathism. The calf was recumbent and had a head tremor. There was bilateral renal enlargement, severe hypomyelination in the brain and variable thyroid gland enlargement. This tissue is from lymph node.

The medulla of the lymph node contains large numbers of large foamy cells with discrete to somewhat ragged vacuoles. A few neutrophils are also present. Similar foamy vacuoles were also present in neurons and numerous other organs.

If these vacuoles are composed of lysosomes as are the vacuolated cells in the other tissues, and if the vacuoles are not triglycerides, what is the likely cause? What is the possible general pathogenesis?

A

If these vacuoles are composed of lysosomes as are the vacuolated cells in the other tissues, and if the vacuoles are not triglycerides, what is the likely cause? What is the possible general pathogenesis?

The fact that macrophages and cells in other tissues have vacuoles and the fact of the animal’s clinical history suggest a lysosomal storage disease. In this case, the disease is an autosomal recessive disease of Saler calves (and goats) called beta mannosidosis. One of the enzymes that catabolize mannose, beta mannosidase, is deficient resulting in incomplete metabolism and storage of saccharides containing mannose in storage vacuoles, likely lysosomes.

How well did you know this?
1
Not at all
2
3
4
5
Perfectly
5
Q

Dog, lung and lymph node. This 10 year old mixed breed dog was hit by a car. It belonged to a farm family.

Lung has multifocal aggregates of macrophages, often adjacent to airways, that contain irregular, clear, refractile crystals and small dark to black particulate matter. The macrophages of the medulla have similar material, both the irregular clear crystals and the small black particles. These were incidental findings in the necropsy, but tell us something about the dog’s history.

What are the crystals or pigments in the macrophages of lung and lymph node?

A

What are the crystals or pigments in the macrophages of lung and lymph node?

The crystals are silica and the black pigment is carbon making this a case of silicosis and anthracosis, or silicoanthracosis, a type of pneumoconiosis.

How well did you know this?
1
Not at all
2
3
4
5
Perfectly
6
Q

Dog, lung and lymph node. This 10 year old mixed breed dog was hit by a car. It belonged to a farm family.

Lung has multifocal aggregates of macrophages, often adjacent to airways, that contain irregular, clear, refractile crystals and small dark to black particulate matter. The macrophages of the medulla have similar material, both the irregular clear crystals and the small black particles. These were incidental findings in the necropsy, but tell us something about the dog’s history.

How did the particles/crystals get there, what is their significance, and what is their fate?

A

How did the particles/crystals get there, what is their significance, and what is their fate?

The particles are inhaled into lung from the environment, e.g. dust and smoke, where they are phagocytosed by pulmonary alveolar macrophages. The particles are not degraded much and remain in macrophages. The macrophages enter the interstitium and tend to accumulate in the interstitium around airways or enter lymphatic and end up in the regional lymph nodes, in this case the tracheobronchial nodes. The significance depends on the type of crystal. In this case the lung has some fibrosis that may be associated with chronic injury due to incomplete clearing of the crystals, but in general, carbon and silica cause little problem. Their presence does indicate a high particulate level in inspired air.

How well did you know this?
1
Not at all
2
3
4
5
Perfectly
7
Q

Case 1 (Bovine 11 and 232 – 13H584)

Signalment and history: Hemisphere from a 2 day old calf that became febrile, acidodic, failed to nurse and died despite intervention. Cerebral fragment from the brain of a 900lb steer with polioencephalomalacia. These brains contain internal lesions. For this lab, focus on the external surface of the tissues.

Describe the lesions.

A

Within the leptomeninges, there are locally extensive and bilaterally simetrical, well demarcated areas of brown to black pigmentation which cover up approximately 40% of the surface of the cerebrum and brainstem and do not extend into the parenchyma on cut surface. The intact hemisphere contains mildly congested meningeal vessels.

How well did you know this?
1
Not at all
2
3
4
5
Perfectly
8
Q

Case 1 (Bovine 11 and 232 – 13H584)

Signalment and history: Hemisphere from a 2 day old calf that became febrile, acidodic, failed to nurse and died despite intervention. Cerebral fragment from the brain of a 900lb steer with polioencephalomalacia. These brains contain internal lesions. For this lab, focus on the external surface of the tissues.

Name the lesion.

A

Lesion: Meningeal melanosis

How well did you know this?
1
Not at all
2
3
4
5
Perfectly
9
Q

Case 1 (Bovine 11 and 232 – 13H584)

Signalment and history: Hemisphere from a 2 day old calf that became febrile, acidodic, failed to nurse and died despite intervention. Cerebral fragment from the brain of a 900lb steer with polioencephalomalacia. These brains contain internal lesions. For this lab, focus on the external surface of the tissues.

What is the significance of the lesion?

A

Melanosis is a congenital, abnormal accumulation of melanin pigment in normally unpigmented areas such as the leptomeninges, aortic intima, and lung/pulmonary visceral pleura. This occurs most commonly in cattle (usually Angus), sheep (usually black-faced breeds) and pigs (e.g. Duroc breed). It is an insignificant (nonpathogenic) finding at necropsy, except that it must be differentiated from other lesions such as melanoma or meningitis; however, if found at the slaughter plant, it may result in condemnation of a particular organ (i.e. heart) due to the unappetizing color.

Melanin is a normal pigment present in the epidermis (made by melanocytes of neural crest origin) and is responsible for the color of skin and hair. It is also normally present in the retina, iris and in small amounts of the pia-arachnoid of black animals (Suffolk sheep) and in the oral mucous membrane of some breeds (Jersey cattle and chow dogs).

How well did you know this?
1
Not at all
2
3
4
5
Perfectly
10
Q

Case 2 (Feline 133, 08H1046)

Signalment and history: Tissue from a 12 year old, mixed breed cat that presented for a three day history of lethargy and complete anorexia. Bloodwork showed dehydration and severe azotemia, with decreased potassium and high calcium and a blood urea nitrogen (BUN) of >200.

Describe the lesions.

A

Describe the lesions:

Stomach: the gastric wall is diffusely and slightly thickened. In the middle area of the body, there is a dark brown band in the mucosa, which was red by the time of the necropsy. The mucosa is and rough due to multifocal and opaque, 1- 2mm in diameter circular lesions with a gritty texture. On the cut surface, the mucosa and submucosa are multifocally white and opaque (mineralization).

How well did you know this?
1
Not at all
2
3
4
5
Perfectly
11
Q

Case 2 (Feline 133, 08H1046)

Signalment and history: Tissue from a 12 year old, mixed breed cat that presented for a three day history of lethargy and complete anorexia. Bloodwork showed dehydration and severe azotemia, with decreased potassium and high calcium and a blood urea nitrogen (BUN) of >200.

Name the lesion. What process is occurring here and what is the pathogenesis?

A

Name the lesion. What process is occurring here and what is the pathogenesis?

This is metastatic calcification. It occurs in normal tissue (unlike dystrophic calcification seen in a previous case) in response to deranged calcium metabolism. It can be due to increased calcium or phosphorous in the blood as long as the calcium phosphorous product is greater than 70. This condition is more frequently seen as part of a syndrome called uremia, in which renal failure often results in hematological and biochemical alterations with secondary lesions such as soft tissue calcification.

How well did you know this?
1
Not at all
2
3
4
5
Perfectly
12
Q

Case 2 (Feline 133, 08H1046)

Signalment and history: Tissue from a 12 year old, mixed breed cat that presented for a three day history of lethargy and complete anorexia. Bloodwork showed dehydration and severe azotemia, with decreased potassium and high calcium and a blood urea nitrogen (BUN) of >200.

What other organs could you likely see this change?

A

What other organs could you likely see this change?

Metastatic calcification is commonly seen in organs in which there is a pH change such as kidney, in addition to the lung and artery.

How well did you know this?
1
Not at all
2
3
4
5
Perfectly
13
Q

Case 3 (Canine 51, 96P2125)

Signalment and history: Tissue removed from the lateral aspect of the right elbow of a 3 year old, intact male, Labrador retriever. Owners were concerned about neoplasia.

Describe the lesion.

A

Describe the lesion.

There is a focal, raised, very firm, partially alopecic, approximately 2 cm diameter nodule with an irregular surface which expands the dermis and subcutis. On cut surface, the nodule is pale tan and composed of multiple, irregular, variably sized, hard foci composed of white, gritty material.

How well did you know this?
1
Not at all
2
3
4
5
Perfectly
14
Q

Case 3 (Canine 51, 96P2125)

Signalment and history: Tissue removed from the lateral aspect of the right elbow of a 3 year old, intact male, Labrador retriever. Owners were concerned about neoplasia.

Name the lesion. What process is occurring here and what is the pathogenesis?

A

Name the lesion. What process is occurring here and what is the pathogenesis?

This is dystrophic calcification. This lesion is called calcinosis circumscripta which occurs frequently at pressure points on the limbs of large breed dogs. The white areas are lakes of mineral (calcium salts) that are abnormally deposited in the subcutaneous tissues. There is probably some fibrosis and maybe some inflammation that surrounds the mineral.

Calcinosis circumscripta is a focal or multifocal type of dystrophic calcification. The lesion occurs most commonly in young rapidly-growing large breed dogs and usually at sites of injury or repeated trauma (olecranon process, tongue). Dystrophic calcification occurs in damaged or dead tissues. Specifically, initial damage to the cell leads to disruption of the semipermeable nature of the cell membrane (either by direct damage to the phospholipid membrane or loss of ATP leading to Na+/K+ pump failure). When this occurs, water is able to enter the cell (either directly through membrane damage or following sodium that was unable to be pumped out) as well as calcium. Calcium is used in the cell signaling pathway to activate phospholipase A which begins to break down cell and organelle membranes. Especially important is the damage it does to mitochondria, as that seems to be the death blow to the cell. In this case, there is repeated damage to cells in this area and the calcium accumulates in these dead and dying cells. There may be some interaction of the active calcium and phosphate metabolism of the young large breed dogs but this is not completely clear. A similar change that occurs less discretely and most frequently associated with natural or iatrogenic hyperglucocorticoidism is known as calcinosis cutis.

How well did you know this?
1
Not at all
2
3
4
5
Perfectly
15
Q

Case 4 (Canine 3)

Signalment and history: Tissue from a 5 year old, castrated male, dog with a 2 month history of exercise intolerance and a mild, non-productive cough.

Describe the lung lesions.

A

Describe the lung lesions.

Diffusely, all lung lobes are poorly inflated, moderately firm and pale yellow brown in color. On the pleural surface, there are multifocal to coalescing, pinpoint to 4x2cm areas of red-brown color and multifocal, opaque, white areas up to 1.5cm in diameter (fibrosis).

How well did you know this?
1
Not at all
2
3
4
5
Perfectly
16
Q

Case 4 (Canine 3)

Signalment and history: Tissue from a 5 year old, castrated male, dog with a 2 month history of exercise intolerance and a mild, non-productive cough.

Name the lung lesions.

A

This is diffuse, pulmonary hemosiderosis.

17
Q

Case 4 (Canine 3)

Signalment and history: Tissue from a 5 year old, castrated male, dog with a 2 month history of exercise intolerance and a mild, non-productive cough.

Explain how heartworms could lead to development of this lesion.

A

The presence of adult and juvenile heartworms within the pulmonary arteries results in damage to the vascular walls leading to perivascular and alveolar hemorrhage. Pulmonary alveolar macrophages engulf the free erythrocytes, metabolize the hemoglobin and retain iron within their cytoplasm in the form of hemosiderin. Retained hemosiderin causes the pulmonary discoloration.

18
Q
Case 5 (Canine 10, 93-P-223)
Signalment and history: Tissue from a 7 year old, castrated male, dog with a one week history of decreased appetite, weight loss, occasional vomiting and a distended abdomen. Approximately 1 month ago, “Chico” was treated for pancreatitis.

Describe the lesion.

A

Describe the lesion.

The kidney is moderately enlarged and diffusely pale. with red streaks present in the medulla. On the capsular and cut surfaces of the cortex, there are multiple, white to tan, pinpoint foci scattered throughout. By the time of the necropsy, red streaks could be seen in the renal medulla.

19
Q
Case 5 (Canine 10, 93-P-223)
Signalment and history: Tissue from a 7 year old, castrated male, dog with a one week history of decreased appetite, weight loss, occasional vomiting and a distended abdomen. Approximately 1 month ago, “Chico” was treated for pancreatitis.

On histopathology of the kidneys, there is diffuse, marked, global expansion of glomerular tufts by homogenous, pale eosinophilic, finely fibrillar material. With a Congo red stain, this material stains red-orange and under polarized light, appears bright, yellow-green. What is this material?

A

The pale homogenous material expanding glomerular tufts is amyloid, which is an abnormal proteinaceous substance, composed of a diverse group of β pleated sheet glycoproteins that can be deposited between cells of many tissues in a variety of clinical settings. The kidney (glomeruli in most animals; interstitium of medulla in cats), liver and spleen are the most commonly affected sites.

This lesion commonly occurs in glomeruli in dogs for a variety of reasons (see Interlude 2.2 in your class notes on page 29). The lesion can occur as a primary or secondary disease (chronic inflammation or neoplasia) and can also occur as idiopathic disease. There is a hereditary predisposition for the development of reactive amyloidosis documented in Abyssinian cats and Shar Pei dogs.

While usually a histologic diagnosis, severe cases will occasionally have visible pin-point tan to red foci throughout the cortex. If stained with Lugol’s iodine and then treated with sulfuric acid, these pinpoint areas (glomeruli expanded by amyloid) will stain purple.

20
Q

Case 6 (Equine 213, 07H4924)

Signalment and history: Tissue is from a 5 year old, miniature mare who had foaled 10 days ago. Mare had a 5 day history of anorexia, depression. On physical exam she had yellow sclera and dehydrated status. Serum chemistry revealed elevated hepatic enzymes (GGT, ALP, AST) and creatine kinase.

Name the overall yellow color.

A

Name the overall yellow color: Icterus or jaundice

21
Q

Case 6 (Equine 213, 07H4924)

Signalment and history: Tissue is from a 5 year old, miniature mare who had foaled 10 days ago. Mare had a 5 day history of anorexia, depression. On physical exam she had yellow sclera and dehydrated status. Serum chemistry revealed elevated hepatic enzymes (GGT, ALP, AST) and creatine kinase.

What are three potential mechanisms for development of this yellow lesion, and which do you think is most likely in this case?

A

Icterus can develop due to increased circulating levels of unconjugated bilirubin (pre-hepatic icterus), liver disease (hepatic icterus), or bile duct obstruction with entrance of conjugated bilirubin into the circulation (post-hepatic icterus). The elevated liver enzymes indicating both hepatic cholestasis (GGT) and hepatocyte damage (AST) suggest that hepatic disease is a component of the observed change.

22
Q

Case 6 (Equine 213, 07H4924)

Signalment and history: Tissue is from a 5 year old, miniature mare who had foaled 10 days ago. Mare had a 5 day history of anorexia, depression. On physical exam she had yellow sclera and dehydrated status. Serum chemistry revealed elevated hepatic enzymes (GGT, ALP, AST) and creatine kinase.

Describe the kidneys and liver lesions.

A

Describe the kidneys and liver lesions.

The liver is diffusely pale yellow, friable and appears to bulge slightly on the cut edge (swelling). Edges are rounded. Renal cortices are expanded, pale, yellow and the organ is friable.

23
Q

Case 6 (Equine 213, 07H4924)

Signalment and history: Tissue is from a 5 year old, miniature mare who had foaled 10 days ago. Mare had a 5 day history of anorexia, depression. On physical exam she had yellow sclera and dehydrated status. Serum chemistry revealed elevated hepatic enzymes (GGT, ALP, AST) and creatine kinase.

Name the liver and kidney lesions.

A

Name the liver and kidney lesions.

Hepatic and renal fatty change (fatty degeneration, renal and hepatic lipidosis).

The diffusely swollen yellow parenchyma and greasy texture are highly suggestive of lipid degeneration; however histology would be needed to confirm this and rule out other causes of vacuolar degeneration (glycogen, water, etc).

24
Q

Case 6 (Equine 213, 07H4924)

Signalment and history: Tissue is from a 5 year old, miniature mare who had foaled 10 days ago. Mare had a 5 day history of anorexia, depression. On physical exam she had yellow sclera and dehydrated status. Serum chemistry revealed elevated hepatic enzymes (GGT, ALP, AST) and creatine kinase.

Explain how such lesions might occur in a case such as this.

A

Explain how such lesions might occur in a case such as this.

In general, fatty change may occur for a variety of reasons (see your lecture notes) that basically result in an imbalance in the production, utilization, or mobilization of lipid within the affected cell. In horses, especially miniatures, hepatic lipidosis is frequently observed in overweight mares whose fat deposits are rapidly mobilized during periods of stress (anorexia) and further complicated by the energy demands of lactation. There is excess delivery of free fatty acids to the liver resulting in triglyceride accumulation within hepatocytes and, in extreme cases, the kidney. The swelling of the hepatocytes induces intrahepatic cholestasis, which results in hyperbilirubinemia leading to jaundice.

A similar mechanism can result in fatty lipidosis and icterus of obese felines that become anorexic during times of stress (moving, for example).