What is interstitium?
Interstitium is structural; it’s the material the provides the framework for the cells.
According to Wikipedia: Interstitial fluid (or tissue fluid) is a solution that bathes and surrounds the cells of multicellular animals. It is the main component of the extracellular fluid, which also includes plasma and transcellular fluid. The interstitial fluid is found in the interstitial spaces, also known as the tissue spaces.
What is interstitium composed of?
For this class, we need to know that the interstitium is composed of:
In addition to collagen fibers, what else will we find in interstitium?
There’s a lot of adhesive glycoproteins (for attachment, receptors) and absorptive glycoaminoglycans and proteoglycans (which are hydrophillic).
What’s the maximum distance between a cell and a capillary?
1.0 mm maximum between any given capillary to cell.
How much of our body is made up of water?
How much is intracellular vs extracellular?
60% of our body weight is water.
2/3 of that is intracellular
1/3 of that is extracellular
What is the distribution of extracellular water?
(Remember, 60% of body weight is water. 2/3 of that is intracellular, 1/3 is extracellular)
80% is in the intersitium
20% is in plasma
What inherent components are in place to keep fluid in appropriate places?
What’s 1? 2? 3?

What’s an example of a pressure that exerted on these vessels?
What pressures are exerted on these vessels?
Cross sectional area of the arteries one of the most controlled aspects of that
The vascular tone can be regulated, to some degree. That will impact the pressures. But, given that there’s less smooth muscle in the venous side, then that pressure will by default be decreased as you get into the venous return system
What is velocity of blood flow dependent on?
Velocity of blood flow is dependent on several things:
Endothelium is…?
Endothelium is a single cell layer that lines all vascular structures
They are flat, very active cells. They produce a lot of components (antithrombic, profibrinolytic) to help things move along. (It’s in the endothelial cells best interest to prevent clots from forming)
Endothelium is mostly uniform in structure, but there is some structural variation depending on location.
When endothelium is activated, is it systemic activation or in a localized area?
When endothelium is activated, it’s typically a localized area. A single spot, in most cases.
There are systemic processes (of course), which we’ll cover later.
What causes activation of endothelium?
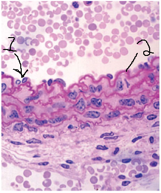
What are we looking at here?
What’s 1? 2?
This is high mag view of a smooth muscle arteriole, with RBC’s in the lumen.
I’m super duper interested in how an endothelial cell serves as a barrier. Tell me about it!
What happens if the cell is injured?
Endothelial cells have both structural and biochemical roles
They are a mechanical barrier simply by their size.
In a normal state, they are low and flat. Cover as much surface area as possible
Usually tightly opposed to the adjacent endothelial cell; in a normal state, there should be no gap in between cells
If the cell is injured, then that will disrupt that endothelial cell to some degree. That will activate the clotting cascade and the aggregation of platelets along that injured cell surface. When that happens, there are biochemical and structural changes to the cells to prevent the loss of further blood at that site.
What happens to endothelial cells, say, in inflammation?
When endothelial cells are activated by systemic effects, in the face of inflammation those cells tend to swell up, they express certain ligands on their cell surface that will attach to structures such as neutrophils. In the process of rounding up and becoming dome shaped, that allows for a gap for things to exit from the vascular space into the perivascular interstitium
Image is depicting a neutrophil marginating and exiting the vascular system. That’s a highly organized process, doesn’t just happen.
Ligands on the endothelial surface that appear in times of activation/inflammation appear and match ligands on the surface of the neutrophils, and essentially pull them through
Similarly, there are situations where fluid from the vascular space may leak into the interstitial space. In part that’s due to the pulling apart of the endo cells, allowing for a gap.
The endothelium produces lots of mediators. What are they?
Endothelium produces a range of mediators:
Endothelial cells have multiple roles. List a few.
Walk me through normal microcirculation.
Normal situation, in health
You’ve got pressure from the heart pumping blood, that will drive some fluid out normally. On the other side of the capillary bed, where things are more dehydrated, you’ve lost fluid but you’ve retained protein in the vascular space
That will cause an osmotic gradient to reabsorb that fluid. Fluid comes out, fluid goes back in. All is good.
Any fluid that is not taken back up, is taken up by lymphatics.
What happens to microcirculation when there’s increased venous pressure?
Increased venous pressure? RH failure, right heart isn’t adequately receiving blood. There will be a backup of blood, that will increase pressure in the venous system.
Water/fluid may not go back into the venule as it should, due to the increased resistance. May be an excess of water that stays in the interstitium
Some will be taken up by lymph, but lymphatics is easily overwhelmed. Will take up extra fluid, but as a slower rate.
What changes in microcirculation happen when there’s damage to the lymph system?
If there’s any damage to the lymph system, that’s going to result in fluid not being taken up
Examples? We haven’t seen any yet. Imagine if you have a tumor in a lymph node that’s blocking incoming lymph drainage. That region won’t be drained, will stay in the site.
What substance plays the biggest role in maintaining osmotic gradients?
Albumin! Hooray!
If there are insufficient amounts of albumin in the postcapillary venule, then water will not diffuse back in along any kind of gradient because that gradient doesn’t exist.
Normal net filtration? Go.
On the arteriole side, there is high hydrostatic pressure
A lot of pressure on the fluid column coming from the heart. That pressure will drive fluid out. There’s somewhat of a filtration process within the interstitium. That fluid is ideally reabsorbed in the post capillary venule.
On the venule side, we know that the hydrostatic pressure is lower. There’s a less tightly controlled diameter of the vessels. Venous system is more pliant. High concentration of proteins, specifically albumin, because of the low of fluid on this side.
Normal net filtration, described through Starling’s Forces?
Think arteriole side first.
It’s awful, I know.
Arteriolar side:
Hydrostatic pressure
Pushing of fluid out of that vascular space, into the interstitium