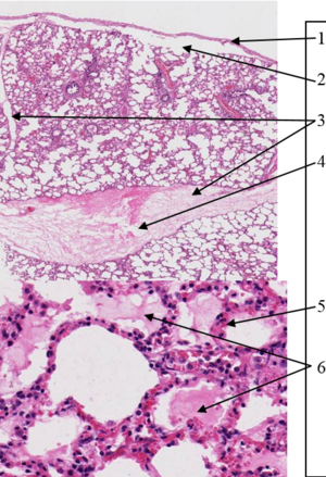
Lung, porcine. Clinically the pig may have had a left side heart murmur.
Lung, porcine. Clinically the pig may have had a left side heart murmur.
Lung, porcine. Clinically the pig may have had a left side heart murmur.
Lung, porcine. Clinically the pig may have had a left side heart murmur.
Lung, porcine. Clinically the pig may have had a left side heart murmur.
Lung, porcine. Clinically the pig may have had a left side heart murmur.
Moderate diffuse pulmonary congestion (passive hyperemia) and edema
Artery, canine
Artery, canine
Artery, canine
How would you name this arterial lesion?
Arterial thrombus (chronic) with chronic arteritis
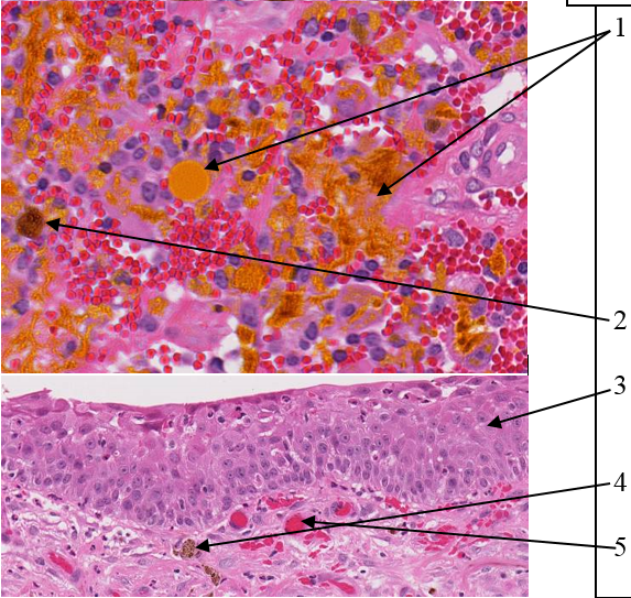
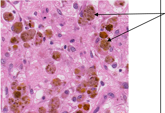
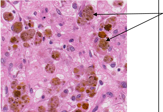
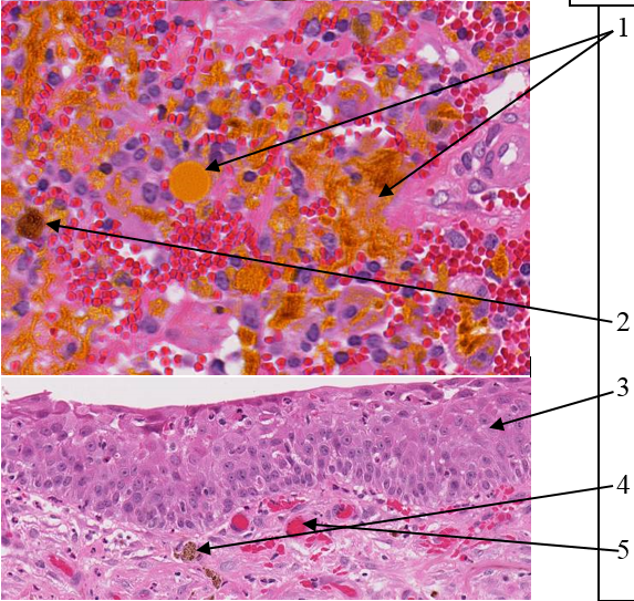
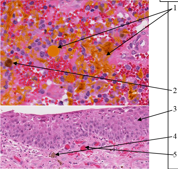
Nasal mass, horse. This specimen is from a mass that has been present in the nasal cavity of a horse for several weeks. Because of the mass, the horse has exhibited epistaxis.
Nasal mass, horse. This specimen is from a mass that has been present in the nasal cavity of a horse for several weeks. Because of the mass, the horse has exhibited epistaxis.
Squamous metaplasia of nasal mucosa.
Nasal mass, horse. This specimen is from a mass that has been present in the nasal cavity of a horse for several weeks. Because of the mass, the horse has exhibited epistaxis.

Hemorrhage, which when it forms a swelling is a hematoma.
Nasal mass, horse. This specimen is from a mass that has been present in the nasal cavity of a horse for several weeks. Because of the mass, the horse has exhibited epistaxis.
Nasal mass, horse. This specimen is from a mass that has been present in the nasal cavity of a horse for several weeks. Because of the mass, the horse has exhibited epistaxis.
Nasal mass, horse. This specimen is from a mass that has been present in the nasal cavity of a horse for several weeks. Because of the mass, the horse has exhibited epistaxis.
Nasal mass, horse. This specimen is from a mass that has been present in the nasal cavity of a horse for several weeks. Because of the mass, the horse has exhibited epistaxis.
calcification of chronically injured tissue—dystrophic calcification
Signalment and history: Tissue from a 2 year old Thoroughbred stallion that presented for fever and dyspnea. Ultrasound revealed moderate amounts of fluid within the thoracic cavity.
Signalment and history: Tissue from a 2 year old Thoroughbred stallion that presented for fever and dyspnea. Ultrasound revealed moderate amounts of fluid within the thoracic cavity.
Signalment and history: Tissue from a 2 year old Thoroughbred stallion that presented for fever and dyspnea. Ultrasound revealed moderate amounts of fluid within the thoracic cavity.
Signalment and history: Tissue from a 2 year old Thoroughbred stallion that presented for fever and dyspnea. Ultrasound revealed moderate amounts of fluid within the thoracic cavity.
The thrombus occluded blood flow to large areas of the pulmonary parenchyma, inducing ischemic necrosis and probable inflammation of the tissue.
Signalment and history: Tissue from a 2 year old Thoroughbred stallion that presented for fever and dyspnea. Ultrasound revealed moderate amounts of fluid within the thoracic cavity.
Signalment and history: Tissue from a 10 year old Paint horse who presented for colic with a distended stomach, producing large volumes of reflux fluid. Abdominal lactate was elevated. Patient improved with analgesics but deteriorated overnight.
A ~2” long segment of small intestine is twisted along its axis (volvulus). The affected segments are distended with fluid and gas, appear dark red to purple in color
Signalment and history: Tissue from a 10 year old Paint horse who presented for colic with a distended stomach, producing large volumes of reflux fluid. Abdominal lactate was elevated. Patient improved with analgesics but deteriorated overnight.