The CNS is normally sterile so how do microorganisms gain entry to cause infections?
- Direct spread (from middle ear, basal skull fracture, even through ethmoid bone)
- Blood bourne (in sepsis or infective endocarditis)
- Iatrogenic (post neurosurgery, ventriculoperitoneal shunt, lumbar puncture)

What is the pathophysiology of acute meningitis and what are the causative organisms?
- Inflammation of the leptomeninges (pia and arachnoid) +/- a non blanching rash (if meningococcal septicaemia)

What is chronic meningitis?

What are some of the complications of meningitis?

What is the pathophysiology of encephalitis?

What are some of the common organisms causing encephalitis?
Different viruses affect different lobes. As chronic inflammation usually presents as headaches. Often self-limiting
Temporal lobe: Herpes viruses (most common)
Spinal cord: Polio (now eradicated)
Brainstem: Rabies (very rare)
What is a prion and how can it cause disease?

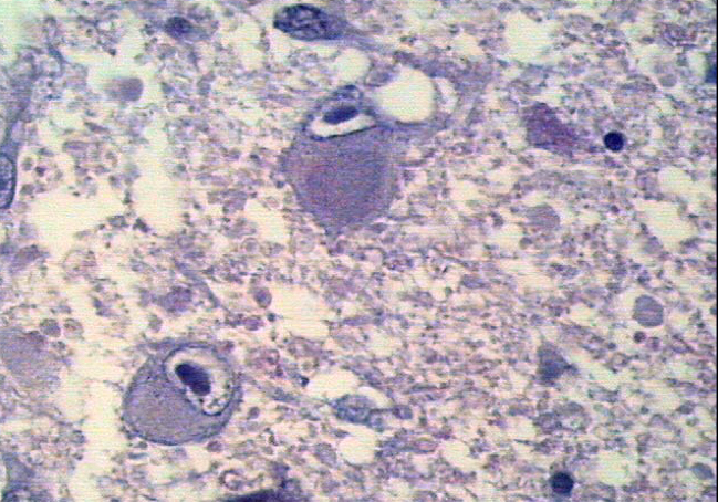
What virus is this?

CMV - can see ‘owl eyes’ which are inclusions of the virus replicating
Why are mutated prions so ‘dangerous’ and more than certain to cause disease?

What are some spongiform encephalopathies caused by prions?

What is variant CJD and how does it differ to classic CJD?

Are prion diseases infections?
Unclear as does not completely fulfil all of Koch’s postulates as found in healthy organisms!!!
What is the definition of dementia and what are the different types?
Acquired global impairment of intellect, reason and personality without impairment of consciousness (delirium would affect consciouness)

What are the different categories of Alzheimer’s disease?

What is the pathophysiology behind Alzheimer’s disease?
Neurofibrillary tangles: intracellular twisted filaments of Tau protein that normally binds to microtubules. Hyperphosphorylation of tau is thought to lead to tangle formation and form a plaque
Senile Plaques: foci of enlarged axons, synaptic terminals and dendrites. Amyloid deposition in centre of tau plaque associated with vessels. (cotton wool balls)

What are some genes associated with Alzheimer’s disease?
o APP
o Presenelin genes 1 and 2

What is normal intracranial pressure and what compensatory mechanisms does the CNS have when the ICP is increased?
- 0-10 mmHg but this increases during coughing and sneezing to around 20mmHg
- Reduced blood flow, reduced CSF volume, brain atrophy (long term)
What are the consequences of a space occupying lesion in the brain?
- Herniation

What are three different types of herniation that can occur in the brain when there is increased intracranial pressure?
- Subfalcine: cingulate gyrus pushed under the falx cerebri and herniated brain can become ischaemic due to compression of ACA that normally loops over corpus callosum and can get pinched
- Tentorial: medial temporal lobe (uncus) pushed through tentorial notch and can compress ipisilateral oculomotor nerve andipsilateral cerebral peduncle causing ipsilateral third nerve palsy but contralateral UMN signs in limbs.
Can be complicated by secondary brainstem haemorraghe (Duret Haemorraghe). Usual mode of death for those with large brain tumour and intracranial haemorraghe
Tonsillar: cerebella tonsils can be pushed in F.Magnum compressing the brainstem

What would you observe with a patient that has tonsillar herniation?

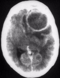
What are some tumours that can occur in the brain, even though in general they are very rare?
Benign: meningioma
Malignant:
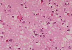
- Astrocytoma: most common. if grade 1 slow growing but difficult to remove. high grade like glioblastoma multiforme is aggressive and can spread by white matter pathways to other parts of CNS and CSF
- Neurofibroma: from schwann cells of peripheral or CN
- Ependymoma: cells lining ventricular system
- Neuronal tumours: very rare
- Lymphomas and metastastes (most common)

What is the definition of a stroke?

What are the risk factors of a stroke and what are the two main categories of stroke?
- Cerebral infarction (85%) or cerebral haemorraghe (15%)

What is the pathogenesis behind a stroke?
- Embolism (most common): various sources like heart (due to AF, mural thrombus), atheromatous debris (carotids), thrombus over ruptured plaque, aneurysms
- Thrombosis: over atheromatous plaque
