What are the two layers of the retina?
Pigmented Layer: retinal pigment epithelium. contains lots of melanin to ensure no excessive refraction of light rays and stop glare. (albinos don’t have melanin so this is why they struggle with normal light being too bright)
Neural Layer: contains photoreceptors (rods and cones) and horizontal cells which do lateral inhibition that stops neighbouring cells to the highest intensity cells from detecting the light. Bipolar cells are found between photoreceptors and ganglion cells

What is the blood supply to the retina?

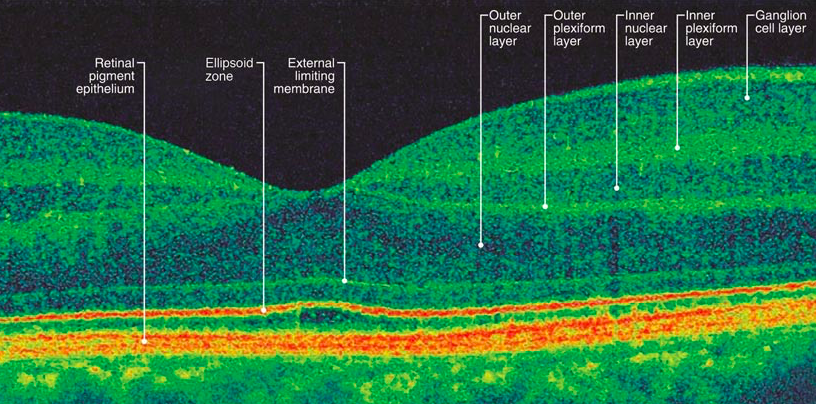
How can we image the retina?
Optical Coherence Tomography

What are some pathological processes that can affect the retina?
What is Amaurosis Fugax?
- Transient monocular blindness

What are the components of the visual pathway and draw a diagram displaying the pathway?
Optic Nerve –> Optic Chiasm –> Optic Tracts –> Lateral Geniculate Nucleus in the Thalamus –> Radiations (superior and inferior) –> Occipital Lobe (primary visual cortex)

What fibres are in the left superior radiation (Baum’s loop)?

Where are each of the radiations?
Superior: parietal lobe
Inferior: temporal lobe
What fibres make up the optic nerve and what part of the visual field does each fibre contribute to?
- Nasal retinal fibres responsible for temporal visual field
- Temporal retinal fibres responsible for nasal visual field

What is the difference between temporal and nasal fibres?

Where are the optic tracts?
After the optic chiasm up to the lateral geniculate nucleus
What is the best way to figure out where a lesion is in the visual pathway?
Visual field defects are names on area of visual loss not the lesion so draw the diagram out!!!

What is monocular blindness and where is the lesion in this case?
- Complete vision loss in on eye
- Lesion in optic nerve so ipsilateral temporal and nasal fibres lost

What type of visual field loss is this, and where is the lesion in the visual pathway?

Bitemporal Hemianopia
- Lesion in optic chiasm

What type of visual field loss is this, and where is the lesion in the visual pathway?

Left homonymous hemianopia
- Lesion in the right optic tract. Contralateral lesion to vision loss, use nasal field loss to guide side of lesion as temporal fibres don’t decussate

What part of the visual field do the optic radiations supply?

What type of visual field loss is this and where is the lesion?

- Left homonymous inferior quadrantanopia
- Lesion in right superior optic radiation (parietal lobe)

What type of visual field loss is this and where is the lesion?

Right superior homonymous quandrantanopia
Apart from a lesion in the optic tract, what other pathology could result in a homonymous hemianopia?
A stroke affecting the MCA could knock out both radiations ipsilaterally, have to look at the clinical history to distinguish between stroke and damage to a tract

What are these visual field defects showing and why does this occur?

- Macular Sparing: still good central vision

Draw the nerve pathway involved in the light reflex.

Draw the nerve pathway involved in the accomodation reflex.
3 C’s:
Cerebral cortex involved as well as midbrain as some image interpretation unlike in the light reflex. Occipital lobe sends fibres back up to midbrain

Label the cranial nerves on this cadaveric specimen.


Where does the fundus sit in relation to the optic disc?
Lateral